Клинические рекомендации Минздрава России. Перикардиты, 2022 г. |
|
|
Кодирование по Международной статистической классификации болезней и проблем, связанных со здоровьем: |
I30, I30.1, I30.8, I30.9, I31, I31.1, I31.2, I31.3, I31.8, I31.9, I32, I32.0, I32.1, I32.8 |
Возрастная группа: |
Взрослые |
Год утверждения: |
2022 |
Разработчик клинической рекомендации
При участии
Одобрено на заседании Научно-практического совета Министерства здравоохранения Российской Федерации (заседание от 30.09.2022г.)
Список сокращений
АД — артериальное давление
АСК — ацетилсалициловая кислота**
ВИЧ — вируса иммунодефицита человека
ГКС — глюкокортикоиды
ДНК — дезоксирибонуклеиновая кислота
иАПФ — ингибиторы АПФ
ИБС — ишемическая болезнь сердца
ИМ — инфаркт миокарда
ИРП — идиопатический рецидивирующий перикардит
КТ — компьютерная томография
КФК — креатинфосфокиназа
КФК-МВ — креатинфосфокиназа-МВ
ЛА — легочная артерия
ЛЖ — левый желудочек
МБТ — микобактерии туберкулеза
МЖП — межжелудочковая перегородка
МРТ — магнитно-резонансная томография
МСКТ — мультиспиральная компьютерная томография
НПВП — нестероидные противовоспалительные и противоревматические препараты
ОСН — острая сердечная недостаточность
ОФЭКТ — однофотонная эмиссионная компьютерная томография
ПЖ — правый желудочек
ПП — правое предсердие
ППТ — постперикардиотомный
ППТС — постперикардиотомный синдром
ПЦР — полимеразная цепная реакция
ПЭТ/КТ — позитронно-эмиссионная томография, совмещенная с компьютерной томографией
СЕА — карциноэмбриоантиген
СОЭ — скорость оседания эритроцитов
СППС — синдромы после поражения сердца
СРБ — С-реактивный белок
ТБП — туберкулезный перикардит
ТТГ — тиреотропный гормон
ФК — функциональный класс
ХОБЛ — хроническая обструктивная болезнь легких
ХСН — хроническая сердечная недостаточность
ЦОГ — циклооксигеназа
ЧКВ — чрескожное вмешательство
ЭКГ — электрокардиограмма
ЭхоКГ — эхокардиография
ADA — аденозин-деаминаза
AFP — α-фетопротеин
IGRA — интерферон-гамма
IL — интерлейкин
NYHA — New York Heart Association
T4 — свободный тироксин
Термины и определения
Острый перикардит — это клинический синдром, имеющий полиэтиологическую природу и проявляющийся в типичных ситуациях симптомами воспаления и болями в груди, а в ряде случаев также шумом трения перикарда и/или выпотом в полость перикарда воспалительного экссудата.
Рецидивирующий перикардит — это состояние, при котором повторный эпизод острого перикардита возникает через 4–6 недель бессимптомного периода, возникающего после купирования первого эпизода.
Постоянный перикардит — это перикардит с непрерывным течением после острого эпизода без достижения ремиссии.
Хронический перикардит — это перикардит, относящийся к перикардиальным выпотам, которые продолжаются в течение 3 месяцев.
Констриктивный перикардит — это отдаленное последствие любого патологического процесса, однако редко рецидивирующего перикардита, развивающегося в перикарде, в результате фибринозного утолщения и кальцификации париетального и, реже, висцерального его листков, что препятствует нормальному диастолическому заполнению камер сердца.
Тампонада сердца — это жизнеугрожающее состояние, характеризующееся быстро нарастающим и постепенным сдавлением сердца за счет накопления вокруг него жидкости, крови, гноя, тромботических масс, газа в результате воспаления, травмы, разрыва сердца или диссекции аорты.
Миоперикардит — это перикардит с известным или клинически подозреваемым вовлечением миокарда. По решению Рабочей группы ESC перикардит, сопровождающийся поражением миокарда, необходимо обозначать термином «миоперикардит», а преобладающий миокардит с вовлечением перикарда — «перимиокардит».
Триада Бека — сочетание артериальной гипотензии, ослабление тонов сердца («малое тихое сердце») и высокое венозное давление.
Экссудативно-констриктивный перикардит — редко встречающаяся форма констриктивного перикардита, характеризующаяся сдавлением сердца на фоне наличия выпота, значительно влияющего на гемодинамику. Основной признак — сохранение повышенного давления в правом предсердии (не снижается более чем на 50% от исходного или до уровня менее 10 мм рт.ст.) после снижения давления в полости перикарда до нормального уровня за счет удаления перикардиального выпота.
Симптом Сали–Чудновского — необычное систолическое западение или втяжение нижней части грудины и межреберных промежутков, возникающее при глубоком вдохе, иногда может определяться при констриктивном перикардите.
Медиастиноперикардит — это сочетанное воспаление клетчатки средостения и перикарда, как правило, является осложнением перикардита.
Кардиолиз — это хирургическая операция рассечения сращений между перикардиальными листками и между сердцем и окружающими его тканями.
Перикардэктомия — это хирургическая операция иссечения листков перикарда.
Перикард (околосердечная сумка) — это замкнутая щелевидная полость, окружающая сердце и содержащая до 15–50 мл серозной жидкости.
Синдром Дресслера (постинфарктный синдром) — аутоиммунное осложнение инфаркта миокарда, проявляющееся сочетанием перикардита, плеврита и пневмонита.
Синдромы после поражения сердца (СППС) — это термин, использующийся для обозначения перикардиальных синдромов, которые возникают после каких-либо повреждений оболочек сердечной мышцы. Они включают в себя возникновение перикардита после развития инфаркта миокарда, постперикардиотомный синдром и посттравматический перикардит.
Гидроперикард (перикардиальный выпот) — это чрезмерное скопление транссудата в полости перикарда.
1 Краткая информация по заболеванию или состоянию (группе заболеваний или состояний)
1.1. Определение заболевания или состояния (группы заболеваний, состояний)
Острый перикардит — это воспалительное поражение перикарда с выпотом или без выпота в его полость.
Рецидивирующий перикардит — это состояние, при котором повторный эпизод острого перикардита возникает через 4–6 недель бессимптомного периода, возникающего после купирования первого эпизода.
Постоянный перикардит — это перикардит с непрерывным течением после острого эпизода без достижения ремиссии.
Хронический перикардит — это перикардит, относящийся к перикардиальным выпотам, которые продолжаются в течение 3 месяцев. Констриктивный перикардит — это отдаленное последствие любого патологического процесса, однако редко — рецидивирующего перикардита, развивающегося в перикарде, в результате фибринозного утолщения и кальцификации париетального и, реже, висцерального его листков, что препятствует нормальному диастолическому заполнению камер сердца.
Тампонада сердца — это жизнеугрожающее состояние, характеризующееся быстро нарастающим и постепенным сдавлением сердца за счет накопления вокруг него жидкости, крови, гноя, тромботических масс, газа в результате воспаления, травмы, разрыва сердца или диссекции аорты.
Миоперикардит — это перикардит с известным или клинически подозреваемым вовлечением миокарда. По решению Рабочей группы ESC перикардит, сопровождающийся поражением миокарда, необходимо обозначать термином «миоперикардит», а преобладающий миокардит с вовлечением перикарда — «перимиокардит».
1.2. Этиология и патогенез заболевания или состояния (группы заболеваний, состояний)
Перикардит, представляя собой воспалительный процесс, может быть как самостоятельной нозологической единицей, так и вторичным проявлением другого заболевания.
Этиологические факторы поражения перикарда можно описать как инфекционные, неинфекционные (иммунные и неиммунные — поражение смежных органов, метаболические, неопластические, травматические, ятрогенные и т. д.) и идиопатические [1–4].
Этиология заболеваний перикарда:
-
-
вирусные (обычные) (герпес-вирусы (вирус Эпштейна–Барр, цитомегаловирусы, вирус герпеса 6-го типа), вирусы гриппа, краснухи, энтеровирусы (вирусы Коксаки, ECHO-вирусы), аденовирусы, вирусы гепатитов В и С, вирус иммунодефицита человека, парвовирус В19 (возможная общность с вирусными агентами миокардита) и др.);
-
бактериальные или гнойные (Mycobacterium tuberculosis, реже Mycobacterium avium; Coxiella burnetii, Borrelia burgdorferi; редко S. pneumoniaе, N. meningitidis, S.aureus, Haemophilus parainfluenza, Chlamydophila pneumonia, Mycoplasma pneumoniae, Legionella, Leptospira interrogans, Listeria, Providencia stuartii, Eikenella corrodens и др.);
-
грибковые (редко) (Histoplasma spp. (при сохраненном иммунитете), Candida spp., Aspergillus spp., Blastomyces spp., Cryptococcus neoformans и др. (при иммунодефицитных состояниях);
-
паразитарные (очень редко) (Entamoeba histolytica, Echinococcus spp., Toxoplasma spp. и др.).
-
-
-
Аутоиммунные и иммуновоспалительные:
-
вызванный системными заболеваниями соединительной ткани (системная красная волчанка, ревматоидный артрит, болезнь Стилла взрослых, системная склеродермия, синдром Шегрена, дерматомиозит/полимиозит, системные васкулиты (гигантоклеточный артериит, неспецифический аортоартериит, узелковый полиартериит, эозинофильный гранулематоз с полиангиитом, синдром Бехчета));
-
хроническая реакция «трансплантант против хозяина» после аллогенной трансплантации гемопоэтических стволовых клеток крови;
-
-
-
посткардиотомный синдром (коронарное шунтирование, протезирование клапанов сердца и др.);
-
посттравматический, включая постинтервенционные формы (имплантация искусственного водителя ритма, радиочастотная аблация, транскатетерная имплантация аортального клапана, чрескожное коронарное вмешательство, эндомиокардиальная биопсия);
-
-
Перикардиты, обусловленные поражением сердца и соседних органов:
-
-
Волчаночноподобный синдром (прокаинамид**, метилдопа**, изониазид**, фенитоин**);
-
традиционные противоопухолевые препараты (чаще ассоциированы с вторичной кардиомиопатией, в том числе прямой перикардиопатией) – доксорубицин**, даунорубицин**, блеомицин**, аналоги пиримидина, , фторурацил**, циклофосфамид**, метотрексат**;
-
таргетные противоопухолевые препараты — дазатиниб**, иматиниб**, третиноин**, мышьяка триоксид;
-
ингибиторы контрольных точек Т-клеточного иммунного ответа (АТХ моноклональные антитела) — ипилимумаб**, ниволумаб**, пембролизумаб**, цемиплимаб, атезолизумаб**, дурвалумаб**, авелумаб**;
-
бета-лактамные антибактериальные препараты: пенициллины (перикардит гиперчувствительности, ассоциированный с эозинофилией);
-
стрептокиназа, оральные антикоагулянты (АТХ — антитромботические средства);
-
метисергид, месалазин**, бромокриптин**, пропилтиоурацил, клозапин, циклоспорин**, Ингибиторы фактора некроза опухоли альфа (ФНО-альфа), адалимумаб**, Рекомбинантный гранулоцитарный колониестимулирующий фактор человека [рчГ-КСФ];
-
-
На долю установленных инфекционных причин острого перикардита приходится только 14% [5]. В развитых странах наиболее часто встречается идиопатический/вирусный перикардит (до 85–90% больных), сопровождающийся предшествующими желудочно-кишечными или гриппоподобными симптомами [6–10], несколько чаще наблюдаемый в холодное время года [11], в то время как туберкулез, зачастую на фоне ВИЧ-инфекции, является ведущей причиной данного заболевания в развивающихся странах (64,9–70% в государствах Африки) [12, 13].
В эпоху широкого применения антибиотиков и превентивной вакцинации пациентов групп риска с целью профилактики пневмококковой пневмонии частота бактериальных перикардитов существенно снизилась до 1–2% [29]: в их структуре наиболее распространенным патогеном остается S. aureus, являющийся причиной первичного гнойного абсцесса перикарда и/или гнойного перикардита у 22–31% больных [14]. Однако одновременно возросла этиологическая значимость анаэробных возбудителей (Prevotella spp., Peptostreptococcus spp., Propionibacterium acnes и др.), а также Borellia burgdorferi [6, 5].
Все большую распространенность приобретает цитомегаловирусный перикардит, наблюдающийся у лиц с иммунодефицитом и у ВИЧ-инфицированных больных.
Неинфекционные причины перикардиальных поражений занимают около 15–20% [15, 16]. Среди них 8,9–20% составляет посткардиотомный перикардит, частота которого в развитых странах прогрессивно увеличивается, что связано с ростом инвазивных вмешательств (коронарное шунтирование, имплантация искусственного водителя ритма, радиочастотная аблация, транскатетерная имплантация аортального клапана, реже — чрескожные коронарные вмешательства) [17–24]. Напротив, последние десятилетия характеризуются снижением частоты перикардитов у пациентов с перенесенным инфарктом миокарда c подъемом сегмента ST, обусловленное прогрессом в терапии коронарогенного повреждения миокарда: так частота раннего (эпистенокардического) перикардита снизилась с 10–20% до 6%, а для синдрома Дресслера уменьшение составило с 3-4% до <1% [25]. К другим неинфекционным причинам следует отнести аутоиммунные заболевания (2–24%), терминальную хроническую болезнь почек (5–13% до проведения диализа, 20% — на фоне его проведения), первичный гипотиреоз (как следствие хронического аутоиммунного тиреоидита и послеоперационный) (3–37%), первичные и вторичные новообразования перикарда (5–35%), лучевую терапию рака молочной железы, легкого, пищевода или медиастинальной лимфомы Ходжкина в кумулятивной дозе более 30 гр. [16, 26–32]. Недавно был описан миоперикардит в рамках иммуноопосредованных нежалательных реакций (1%), связанных с использованием моноклональных антител — ингибиторов контрольных точек Т-клеточного иммунного ответа (ипилимумаб**, ниволумаб**, пембролизумаб**) в иммунотерапии злокачественных новообразований (метастатической меланомы, мезотелиомы, немелкоклеточного рака легкого, лимфомы Ходжкина, уротелиального рака) [33–40]. Ведущей этиологической причиной развития миоперикардитов является вирусная инвазия [41–43]. Как и при раздельном поражении миокарда и перикарда, миоперикардит развивается нередко после перенесенной острой респираторно-вирусной инфекции, острого тонзиллита, пневмонии, гастроэнтерита или энтероколита [44, 45]. В развивающихся странах существенное значение в развитии миоперикардита играют другие инфекционные агенты, особенно туберкулез [1].
Важно знать, что дебютирование острого перикардита может быть одним из проявлений паранеопластического синдрома [46, 2, 74, 3, 36]. В связи с этим целесообразно проведение направленного онкологического поиска у курящих пожилых пациентов с избыточной массой тела в случае развития острого перикардита, имеющих более высокий риск развития злокачественного новообразования (4,8% больных) [46, 47].
Идиопатический перикардит, специфическая этиология которого остается неизвестной при рутинном исследовании, наблюдается в развитых странах в 55–80% случаев, тогда как на африканском континенте на его долю приходится только 15% [48, 5]. Предполагается, что в его основе лежит прямое или опосредованное вирусное повреждение перикарда [6, 10, 49]. Вирусологические исследования в условиях острого перикардита имеют низкую мощность и их результаты не оказывают значимого влияния на ведение больных [50]. Следовательно, принципиальным моментом в диагностике идиопатического/предположительно вирусного перикардита и определении дальнейшей тактики ведения пациента является исключение невирусных причин данного заболевания [3].
Констриктивный перикардит развивается менее чем в 1% случаев в исходе острого идиопатического перикардита. Развитие констриктивного перикардита более характерено для специфической этиологии. Риск развития констрикции возрастает до 2–5% при аутоиммунном, иммунно-опосредованном и паранеопластическом перикардитах. Самый высокий риск констрикции, достигающий 20–30%, характерен для бактериального, особенно гнойного и туберкулезного перикардитов [51–54].
Гнойный перикардит встречается редко, менее чем в 1% случаев [55]. Часто он ассоциирован с эмпиемой плевры или пневмонией и вызывается стафилококками, стрептококками, пневмококками или грибами у пациентов с иммунодефицитом или после оперативных торакальных вмешательств [56, 57]. Также распространение инфекции возможно из ротоглотки, гематогенным путем или по ретрофарингеальному пространству, клапанам сердца и из субдиафрагмальной области [55, 58]. Менингококковый перикардит может возникать как первичная менингококковая инфекция или вторичная форма, возникающая в результате диссеминированной менингококкемии [59].
1.3. Эпидемиология заболевания или состояния (группы заболеваний, состояний)
Истинная распространенность перикардитов в популяции неясна ввиду отсутствия специфичных симптомов, которые часто маскируются под клиническую картину других заболеваний, или вовсе не вызывают настороженности как у пациентов, так и у врачей. Это приводит к тому, что среди всех обратившихся за медицинской помощью в стационар диагноз выставляется только в 0,2% случаев [6], в то время как признаки перикардита (активного или перенесенного в прошлом) обнаруживаются на аутопсиях в 1–6,1% [48]. Частота острого перикардита составляет 27,7 случаев на 100000 населения в год в городских поселениях Северной Италии, при этом сочетание с миокардитом наблюдается в 15% случаев [60–64]. При этом, по данным Danish National Patient Registry, за последние два десятилетия наблюдается рост на 47% частоты острого перикардита (с 10,5 на 100000 населения в 1994 году до 15,4 на 100000 населения в 2016 году) [15].
Гнойный перикардит наблюдается в настоящее время редко, составляя 1 случай на 18000 госпитализированных пациентов, причем в половине случаев диагноз устанавливается только по результатам аутопсии [65, 66].
Рецидивирующее течение перикардита в течение первых 18 месяцев наблюдается в 25–30% случаев [60, 7, 67], а вероятность повторного рецидива повышается до 50% [60, 67].
Смертность от острого перикардита в условиях стационара, на фоне проводимой адекватной терапии составляет 1,1% и увеличивается у пожилых пациентов, а также при наличии тяжелых сопутствующих заболеваний (пневмония, сепсис) и факторов риска (ВИЧ-инфекция, иммуносупрессия, неконтролируемый сахарный диабет, диализ, алкоголизм, хирургические вмешательства на сердце) [1]. В то же время наблюдается тенденция к снижению ранней общей смертности у пожилых больных с острым перикардитом (с 7,6% в 1999 году до 5,7% в 2012 году) [68]. Гнойный перикардит, характеризующийся фульминантным течением с быстрым развитием тампонады, средней продолжительностью госпитализации около 3 дней, сопровождается высоким уровнем смертности — от 42 до 77% [65, 69–71].
Заболеваемость туберкулезным перикардитом (ТБП) зависит от степени эндемичности туберкулеза в регионе. В развитых странах его распространенность даже не достигает 4% [13], а в развивающихся составляет 70%, являясь основной причиной острых перикардитов [13, 12, 72]. Пандемия ВИЧ усугубляет бремя ТБП, особенно в южной части Африки [13, 73, 74]. Заболевание может развиться в любом возрасте. Отмечено, что мужчины болеют чаще женщин [13]. Смертность при ТБП крайне высока, несмотря на использование глюкокортикоидов, Безвременника осеннего семян экстракт (источник алкалоида Колхицина) и противотуберкулезных препаратов, которые плохо проникают в перикард, и достигает 40% [75].
1.4. Особенности кодирования заболевания или состояния (группы заболеваний или состояний) по Международной статистической классификации болезней и проблем, связанных со здоровьем
Классификация перикардитов и перикардиальных выпотов по МКБ-10 (русскоязычные издания 1995 и 2019 гг., с версиями МКБ-10, соответственно, 1989 и 2016 гг. Этот раздел МКБ-10 не изменился)
I30 Острый перикардит
Включен: острый перикардиальный выпот
Исключен: ревматический перикардит (острый) — I01.0
I30.0 Острый неспецифический идиопатический перикардит
I30.1 Инфекционный перикардит (включая, пневмококковый, гнойный, стафилококковый, стрептококковый, вирусный, пиоперикардит)
При необходимости идентифицировать инфекционный агент используют второй дополнительный код (B95-B98).
I30.8 Другие формы острого перикардита
I30.9 Острый перикардит неуточненный
I31 Другие болезни перикарда
Исключены: некоторые текущие осложнений острого инфаркта миокарда (I23.0 Гемоперикард как ближайшее осложнение острого инфаркта миокарда, I23.8 Другие текущие осложнения острого инфаркта миокарда), посткардиотомический синдром (I97.0), травма сердца (S26.-), болезни, уточненные как ревматические (I09.2 Хронический ревматический перикардит — слипчивый, а также ревматические медиастиноперикардит, миоперикардит)
I31.0 Хронический адгезивный перикардит (включая слипчивый, адгезивный медиастиноперикардит)
I31.1 Хронический констриктивный перикардит (включая кальциноз перикарда)
I31.2 Гемоперикард, не классифицированный в других рубриках
I31.3 Перикардиальный выпот (невоспалительный) (включая хилоперикард)
I31.8 Другие уточненные болезни перикарда (включая эпикардиальные бляшки, очаговые перикардиальные сращения)
I31.9 Болезни перикарда, неуточненные (включая тампонаду сердца и хронический перикардит без дополнительных указаний)
I32* Перикардит при болезнях, классифицированных в других рубриках
Примечание: по правилам МКБ-10 применяются только как вторые, дополнительные к первым основным кодам (со знаком †). В РФ вторые дополнительные коды не применяются (письма Минздрава России от от 19.01.2009 г. № 14-6/10/2-178 «О порядке выдачи и заполнения медицинских свидетельств о рождении и смерти», от 26.04.2011 г. № 14-9/10/2-4150 «Об особенностях кодирования некоторых заболеваний класса IX МКБ-10», Методические рекомендации Департамента здравоохранения города Москвы «Правила формулировки патологоанатомического диагноза, выбора и кодирования по МКБ-10 причин смерти». Зайратьянц О.В. и соавт. №№ 45-56, 2019. www.mosgorzdrav.ru).
I32.0* Перикардит при бактериальных болезнях, классифицированных в других рубриках
I32.1* Перикардит при других инфекционных и паразитарных болезнях, классифицированных в других рубриках
I32.8* Перикардит при других болезнях, классифицированных в других рубриках
1.5. Классификация заболевания или состояния (группы заболеваний, состояний)
Клиническая классификация перикардитов
Морфологическая классификация болезней перикарда
-
Скопления жидкости в полости перикарда (невоспалительный выпот в перикарде):
-
серозный (транссудат, например при гипоальбуминемии любой этиологии);
-
серозно-геморрагический (транссудат с примесью крови — при опухолях и их метастазах с поражением перикарда, лучевой терапии органов грудной клетки, тупых травмах сердца и грудной клетки);
-
геморрагический — гемоперикард (кровь при разрывах миокарда при инфаркте миокарда или аритмогенной дисплазии правого желудочка, расслоении и разрывах аневризм восходящего отдела дуги аорты, травмах сердца и др.);
-
хилезный — хилоперикард (при обструкции грудного лимфатического протока и нарушении лимфооттока из перикарда любой этиологии);
-
-
Перикардит (воспаление листков перикарда)
-
-
первичные (острый неспецифический идиопатический перикардит, инфекционные и паразитарные перикардиты, чаше вирусные);
-
вторичные (инфекционные, аутоиммунные, неопластические, метаболические, травматические, ятрогенные и др. проявления и осложнения миокардита, различных заболеваний органов грудной клетки, системных заболеваний, оперативных вмешательств на сердце, лучевой терапии и т.д.).
-
-
По характеру воспаления и воспалительного экссудата:
-
серозный, при наличии примеси крови — серозно-геморрагический (острый неспецифический идиопатический перикардит, первичный инфекционный вирусный, при опухолях и их метастазах с поражением эпи- и/или перикарда, тупых травмах сердца и грудной клетки, лучевой терапии органов грудной клетки, после оперативных вмешательств на сердце и др.);
-
фибринозный, «сухой» («волосатое сердце», “bread and butter pericarditis” — первичный инфекционный, при уремии, очаговый фибринозный — при трансмуральном инфаркте миокарда, постинфарктном синдроме Дресслера и др.);
-
фибринозно-гнойный (первичный инфекционный — бактериальный и/или микотический, при инфицировании выпота, других видов перикардита, сепсисе);
-
фибринозно-геморрагический (первичный инфекционный, при опухолях и их метастазах с поражением эпи- и/или перикарда, тупых травмах сердца и грудной клетки, лучевой терапии органов грудной клетки, после оперативных вмешательств на сердце, уремии и др.);
-
гнойный и (редко) гнилостный (пиоперикардит, первичный инфекционный — бактериальный и/или микотический, вторичный — при переходе воспаления с органов средостения, инфицировании выпота, других видов перикардита, сепсисе);
-
казеозный (при туберкулезе, три стадии — сухая — фибринозная, влажная — экссудативная, серозно-фибринозная, и абсорбционно-констриктивная);
-
фиброзный — адгезивный (слипчивый), облитерирующий, констриктивный (стенозирующий), медиастиноперикардит (обычно в исходе других перикардитов, редко — первичный). Вариант хронического фиброзного перикардита — с обызвествлением сращений перикарда — кальциноз перикарда, очаговый и диффузный («панцирное сердце»).
-
-
1.6. Клиническая картина заболевания или состояния (группы заболеваний, состояний)
1.6.1. Клиническая картина перикардита
Для острого вирусного или идиопатического перикардита в дебюте болезни характерны следующие проявления: боль в груди, шум трения перикарда и специфические конкордантные изменения сегмента ST и депрессия интервала PQ или PR. Начало болезни в большинстве случаев острое, первое проявление болезни — боль в груди. Типична острая, разлитая боль, иррадиирущая в плечи, лопатку, спину. Боль усиливается на вдохе, что требует проведения дифференциального диагноза с плевритом, при кашле и глотании (проба с глотком воды). Боль ослабевает в положении лежа на животе. В остром периоде возможны, но не обязательны гипертермия, миалгия, слабость, нарушения ритма. Одышка не типична в раннем дебюте болезни. Ее появление и нарастание свидетельствуют о нарастании объема экссудата. Острый перикардит разрешается через 2–6 недель. У большинства пациентов с острым вирусным или идиопатическим перикардитом благоприятный долгосрочный прогноз [52].
При остром идиопатическом перикардите тампонада сердца развивается редко, ее развитие характерно для злокачественных опухолей, туберкулеза или гнойного перикардита.
1.6.2. Клиническая картина тампонады сердца
Основные жалобы, которые предъявляют больные с тампонадой сердца или ее угрозой при остром перикардите, — это жалобы на приступы резкой слабости, появление головокружения, обмороков, усиление одышки, обусловленной гиповолемией малого круга кровообращения. Типична поза пациента — больной сидит с наклоном вперед. Кожные покровы бледные, холодные, цианоз. Возможны отечность лица, преимущественно левой руки из-за сдавления безымянной вены, появление и нарастание отеков. При осмотре больного отмечаются набухание шейных вен (менее заметное у больных с гиповолемией). Центральное венозное давление повышается до 200–300 мм рт. ст. (за исключением случаев тампонады при низком давлении у больных с гиповолемией), сохранение снижения венозного давления на вдохе. Артериальная гипотензия прогрессирует или может отсутствовать, особенно у больных с ранее наблюдавшейся артериальной гипертензией. Сочетание артериальной гипотензии, ослабления тонов сердца и расширения яремных вен носит название триады Бека. Появляется парадоксальный пульс, нарастает тахикардия. Наблюдается одышка или учащенное дыхание при отсутствии хрипов в легких. Увеличивается печень, появляется асцит.
1.6.3. Клиническая картина рецидивирующего перикардита
Четких клинических предвестников рецидивирующего течения перикардита нет, однако пациенты с долго сохраняющейся лихорадкой более склонны к рецидивам, чем пациенты с нормализацией температурной реакции к 5–7-му дню.
1.6.4. Клиническая картина постоянного и хронического перикардита
Клиническая картина постоянного и хронического перикардита принципиально не отличаются от рецидивирующего перикардита.
1.6.5. Клиническая картина миоперикардита
К наиболее частым жалобам пациентов с миоперикардитом относятся следующие:
-
боль в груди, локализующаяся за грудиной и/или в левой половине грудной клетки, усиливающаяся при глубоком дыхании и в горизонтальном положении. Возможна иррадиация боли в шею, левое плечо и нижнюю челюсть [79]. Боль в груди наблюдается более чем у 90% пациентов [80];
-
неспецифические симптомы, такие как лихорадка (>50%), общая слабость (>50%), потливость и т.д. Внезапная сердечная смерть также может являться (единственным или в сочетании с другими симптомами) фатальным проявлением миоперикардита [81].
1.6.6. Клиническая картина бактериального перикардита
Клиническая картина хронического сдавления сердца чаще всего протекает под маской сердечной недостаточности [13, 82]. Основными проявлениями являются перикардиальный выпот (встречается в 79% случаев), выпотно-констриктивный перикардит и констриктивный перикардит, частота которого в связи с активным использованием противотуберкулезных препаратов снизилась с 30–60% до 5–25% [12].
1.6.7. Клиническая картина констриктивного перикардита
В течение констриктивного перикардита можно выделить 4 периода:
Скрытый период соответствует развитию адгезивного перикардита, когда полость перикарда заполняется нежными спайками, которые не влияют на работу сердца и общую гемодинамику. Отсутствует классическая «триада Бека» (высокое венозное давление, асцит, «малое тихое сердце»). Он может длиться от нескольких месяцев до нескольких лет.
Начальный период, характеризующийся нарастающими гемодинамическими нарушениями, которые проявляют себя только при физической нагрузке. Диастолическая дисфункция желудочков сердца приводит к повышению венозного давления по большому кругу, помимо этого, спайки между париетальным и висцеральным листками перикарда сдавливают верхнюю и нижнюю полые вены в местах их впадения в правое предсердие. Появляется набухание шейных вен, усиливающееся на вдохе, и одутловатость лица.
Особые формы констриктивного перикардита.
Помимо классического хронического констриктивного перикардита, выделяют более редкие формы: преходящую констриктивную и экссудативно-констриктивную.
Преходящий констриктивный перикардит развивается после перенесенного острого или экссудативного с незначительным выпотом воспаления околосердечной сумки и разрешается после проведения противовоспалительной терапии [6, 83]. Характеризуется клиническими проявлениями скрытого или начального периода констриктивного перикардита.
Экссудативно-констриктивный перикардит — редко встречающаяся форма констриктивного перикардита, характеризующаяся сдавлением сердца на фоне наличия выпота, значительно влияющего на гемодинамику [84]. Развивается в результате опухолевого поражения, проведения химиотерапии, бактериальной инфекции (особенно туберкулезной в эндемичных странах), а также после оперативных вмешательств на сердце [85]. Основной признак — сохранение повышенного давления в правом предсердии (не снижается более чем на 50% от исходного или до уровня менее 10 мм рт.ст.) после снижения давления в полости перикарда до нормального уровня за счет удаления перикардиального выпота [84].
2. Диагностика заболевания или состояния (группы заболеваний или состояний), медицинские показания и противопоказания к применению методов диагностики
2.1. Критерии установления заболевания или состояния
Диагноз перикардит ставится на основании характерных жалоб и анамнеза пациента. Жалобы могут варьироваться в зависимости от типа перикардита (острый, рецидивирующий, хронический, перикордиальный выпот, миоперикардит, тампонада сердца, констриктивный перикардит). Жалобы и особенности анамнеза у пациентов с перикардитом подробно описаны в главе 2.2 Жалобы и анамнез.
Выявления признаков перикардита при лабораторном обследовании:
Выявление признаков перикардита при инструментальном обследовании:
2.2. Жалобы и анамнез
2.2.1 Жалобы и анамнез при перикардите
Наиболее характерными являются:
-
Боль в груди, боли острые, интенсивные, жгучие, что практически совпадает с характеристикой боли при остром инфаркте миокарда (отмечается в 85–90%)
-
Одышка присутствует практически во всех случаях острого перикардита и обусловлена развитием диастолической дисфункции.
-
Лихорадка не имеет строгой закономерности, а в ряде случаев отсутствует. Однако большинство авторов считают, что для классического варианта острого перикардита характерна невыраженная субфебрильная температура.
-
При ограниченных малых выпотах больные жалоб не предъявляют [87, 88].
При умеренных выпотах больные предъявляют жалобы на нарастающую одышку, сначала при физической нагрузке, затем в покое, тупые, ноющие боли за грудиной и/или прекардиальной области, которые характеризуют как чувство «распирания» или «наполнения» [89]. При выраженных выпотах и гемодинамических нарушениях появляются жалобы на головокружения и сердцебиения из-за развития гипотонии и рефлекторной тахикардии. При постепенно нарастающих выраженных выпотах могут возникать симптомы сдавления близлежащих органов: тошнота и отсутствие аппетита (сдавление диафрагмы), дисфагия (сдавление пищевода), охриплость голоса (сдавление возвратного гортанного нерва), икота (сдавление диафрагмального нерва).
2.3. Физикальное обследование
2.3.1. Физикальное обследование при остром перикардите
Рекомендуется физикальное обследование у всех пациентов с подозрением на перикардит для верификации диагноза [1, 3, 94, 95, 96].
ЕОК IC (УУР А, УДД 3)
Комментарии: в редких ситуациях удается обнаружить характерную позу пациента: он стремится сесть так, чтобы колени были максимально прижаты к грудной клетке, при этом грудная клетка, как правило, наклонена вперед. Эта поза свидетельствует о наличии большого выпота в полости перикарда.
Высокая скорость снижения систолического АД или абсолютные значения систолического АД менее 100 мм рт.ст. являются основанием для предположения о наличии большого объема выпота в перикарде. Аускультативно тоны сердцаприглушены, либо глухие. Шум трения перикарда определяется у трети пациентов в первый день болезни. В последующие дни частота выявления шума резко снижается, составляя единичные случаи.
При выраженных выпотах и высоком риске тампонады появляются признаки гемодинамических нарушений, известных как триады Бека: гипотония, пульсация яремных вен и приглушенные тоны сердца [93].
2.3.2. Физикальное обследование при тампонаде сердца
При объективном обследовании выявляются типичные клинические симптомы и признаки: гипотензия, тахикардия, пульсация яремных вен за счет их растяжения и повышения давления в них, парадоксальный пульс, значительное ослабление звучности тонов сердца на всех точках выслушивания. Парадоксальный пульс является патогномоничным симптомом тампонады сердца и проявляется снижением систолического артериального давления более чем на 10 мм рт. ст. на вдохе при спокойном дыхании [94].
2.3.3. Физикальное обследование при миоперикардите
В большинстве случаев у пациентов обнаруживаются лихорадка и тахикардия. При этом температура тела редко превышает 38°С [95]. При аускультации сердца может выявляться шум трения перикарда, выслушиваемый в области абсолютной сердечной тупости. При развитии тампонады сердца могут быть обнаружены признаки бивентрикулярной сердечной недостаточности.
2.3.4. Физикальное обследование при констриктивном перикардите
Период выраженных клинических изменений характеризуется персистирующим повышением венозного давления (200–300 мм вод. ст.). Из-за выраженного сдавления верхней полой вены появляется характерный внешний вид больного: одутловатая цианотичная голова создает впечатление монументальности («консульская голова»), развивается «воротник Стокса». Обращает на себя внимание отсутствие ортопноэ, несмотря на нарастающий цианоз и учащение дыхания в горизонтальном положении. Прогрессирующая из месяца в месяц одышка носит постоянный характер и никогда не бывает в виде приступов, при физической нагрузке не происходит нарастания интенсивности.
Один из самых характерных признаков при объективном исследовании — это выраженный асцит и гепатомегалия, являющиеся следствием надпеченочной портальной гипертензии. Особенностью констриктивного перикардита является то, что асцит и гепатомегалия предшествуют отеку нижних конечностей.
При глубоком вдохе иногда может определяться необычное систолическое западение или втяжение нижней части грудины и межреберных промежутков (симптом Сали–Чудновского), что объясняется появлением экстракардиальных сращений. При аускультации I и II тоны глухие. Появляется стойкая тахикардия и возможен парадоксальный пульс, который в отличие от тампонады встречается не более чем в 33% случаев [1, 3, 96]. При рубцовом прорастании миокарда предсердий возникает фибрилляция предсердий.
2.4. Лабораторные диагностические исследования
2.4.1. Лабораторные диагностические исследования при остром перикардите
Обязательно определение уровня маркеров воспаления. Повышение маркеров воспаления, в первую очередь С-реактивного белка (СРБ) в сыворотке крови, и увеличение скорости оседания эритроцитов (СОЭ) в общем (клиническом) анализе крови, как и повышение числа лейкоцитов, встречается у большинства пациентов. Повышение уровня этих маркеров рассматривается как диагностически значимый признак, подтверждающий наличие воспалительного заболевания. В силу полиэтиологичности острого перикардита специфических биохимических маркеров не существует. Динамика маркеров воспаления необходима для контроля активности заболевания и эффективности лечения [97]. У пациентов с сопутствующим перикардиту поражением миокарда отмечается повышение уровня специфических маркеров повреждения миокарда активности креатинкиназы МВ фракции в крови (КФК-МВ) и тропонинов I, T в крови [98, 99].
Рекомендовано с целью диагностики всем пациентам с подозрением на острый перикардит определение маркеров воспаления (исследование уровня C-реактивного белка в сыворотке крови) и повреждения миокарда (Исследование уровня/активности изоферментов креатинкиназы в крови — КФК-MB, Исследование уровня тропонинов I, T в крови) [97–99].
ЕОК IC (УУР С, УДД 5)
2.4.2. Лабораторные диагностические исследования при рецидивирующем, постоянном и хроническом перикардите
В 8–50% случаев у пациентов с рецидивирующем перикардитом отмечается повышение аминотрансфераз [100, 101]. У трети больных с рецидивирующим перикардитом регистрируется повышение маркеров повреждения миокарда (тропонин, КФК-МВ) [6]. Кроме того, в анализах крови часто (до 80% случаев) выявляются нейтрофильный лейкоцитоз, ускорение СОЭ и повышение уровня С-реактивного белка. Последний ассоциируется с высоким риском рецидива заболевания. Маркером аутовоспалительной природы заболевания и активации макрофагального звена иммунитета, связанного с повышением уровня интерлейкина-18, является ферритин. Поэтому уровень ферритина необходимо определять во время рецидива заболевания, наряду С-реактивным белком. Оценку цитокинового профиля в реальной клинической практике проводить нецелесообразно, так как концентрация провоспалительных цитокинов широко варьирует в течение суток. Если рецидивирующий процесс не связан с системными заболеваниями соединительной ткани, то уровень ревматоидного фактора, системы комплемента, антинуклеарного фактора и других специфических аутоантител не повышен.
Рекомендовано с целью диагностики всем пациентам с рецидивирующим перикардитом выполнение лабораторного обследования, включающего общий (клинический) анализ крови, определение активности аспартат- и аланинаминотрансфераз, исследование уровня C-реактивного белка в сыворотке крови и исследование уровня ферритина в крови, всем пациентам с подозрением на рецидив перикардита [86,1,101,6].
ЕОК IC (УУР С, УДД 5)
Рекомендовано всем пациентам с рецидивирующим перикардитом определение маркеров повреждения миокарда (исследование уровня тропонинов I, T в крови и уровня/активности изоферментов креатинкиназы в крови), всем пациентам с подозрением рецидив перикардита в рамках дифференциального диагноза болевого синдрома в грудной клетке [86,1,6].
ЕОК IC (УДД 5 УУР C)
Рекомендовано всем пациентам с рецидивирующим перикардитом определение содержания ревматоидного фактора и антител к экстрагируемым ядерным антигенам в крови, всем пациентам с подозрением рецидив перикардита для исключения аутоиммунного генеза заболевания [1,101].
ЕОК нет (УУР С, УДД 5)
2.4.3. Лабораторные диагностические исследования при перикардиальном выпоте
Рекомендовано с целью диагностики всем пациентам при подозрении на выпот в полость перикарда определение маркеров воспаления (исследование уровня C-реактивного белка в сыворотке крови) [1]
ЕОК IC (УУР С, УДД 5)
2.4.4. Лабораторные диагностические исследования при миоперикардите
Основанием для диагноза «миоперикардит» является наличие критериев острого перикардита, сопровождающихся признаками повреждения миокарда (повышение тропонинов I или Т, КФК-МВ). Появление очагового или диффузного снижения функции ЛЖ de novo у пациентов с повышенными биомаркерами миокарда и клиническими признаками острого перикардита указывает на преобладание миокардита с вовлечением перикарда («перимиокардит») [1].
К лабораторным методам диагностики, применяемым у пациентов с миоперикардитом, относят следующие:
Рекомендовано с целью диагностики всем пациентам с миоперикардитом выполнение лабораторного обследования, включающего общий (клинический) анализ крови, для выявления признаков воспаления [1].
ЕОК IC (УУР С, УДД 5)
Рекомендовано с целью диагностики всем пациентам с миоперикардитом определение маркеров воспаления (исследование уровня C-реактивного белка в сыворотке крови) и повреждения миокарда (исследование уровня тропонинов I, T в кровитропонин I или Т, Исследование уровня/активности изоферментов креатинкиназы в крови (КФК-МВ)) [1].
ЕОК IC (УУР С, УДД 5)
2.4.5. Лабораторные диагностические исследования при бактериальном перикардите
Для гнойного перикардита характерна высокая лихорадка. Он может сопровождать сепсис [55]. При подозрении на гнойный перикардит следует как можно быстрее провести диагностический перикардиоцентез. Для перикардиальной жидкости характерно низкое отношение глюкозы перикарда к сыворотке (в среднем 0,3) и повышение количества лейкоцитов в жидкости перикарда с высокой долей нейтрофилов (среднее число клеток 2,8/мкл, 92% нейтрофилов), что отличает гнойную форму от туберкулезной (отношение глюкозы 0,7, число клеток 1,7/мкл, 50% нейтрофилов) и от неопластической (отношение глюкозы 0,8, число клеток 3,3/мкл, 55% нейтрофилов) [106]. Микробиологическое (культуральное) исследование перикардиальной жидкости на аэробные и факультативно-анаэробные микроорганизмы является обязательным.
При подозрении на гнойный перикардит рекомендовано как можно быстрее провести диагностический перикардиоцентез [106].
ЕОК IC (УУР С, УДД 4)
Всем пациентам при подозрении на гнойный перикардит рекомендовано микробиологическое (культуральное) исследование перикардиальной жидкости на аэробные и факультативно-анаэробные микроорганизмы [55].
ЕОК IC (УУР С, УДД 4)
2.5. Инструментальные диагностические исследования
2.5.1 Эхокардиография
Рекомендовано с целью диагностики и при диспансерном наблюдением всем пациентам с известным диагнозом перикардита выполнение трансторакальной эхокардиографии (ЭхоКГ) в сочетании с допплерэхокардиографией [107, 108, 112, 83, 116–118].
ЕОК IC (УУР С, УДД 4)
Комментарии:
Трехмерная ЭхоКГ предоставляет больше возможностей для полноценного анализа всего перикарда в любой анатомической плоскости, и, следовательно, ее выполнение увеличивает вероятность обнаружения локального выпота и гарантирует более точную количественную оценку объема жидкости в нем.
В норме толщина перикарда составляет <3 мм. В целом в оценке толщины перикарда чреспищеводная ЭхоКГ считается более чувствительной и, следовательно, более точной, чем трансторакальная.
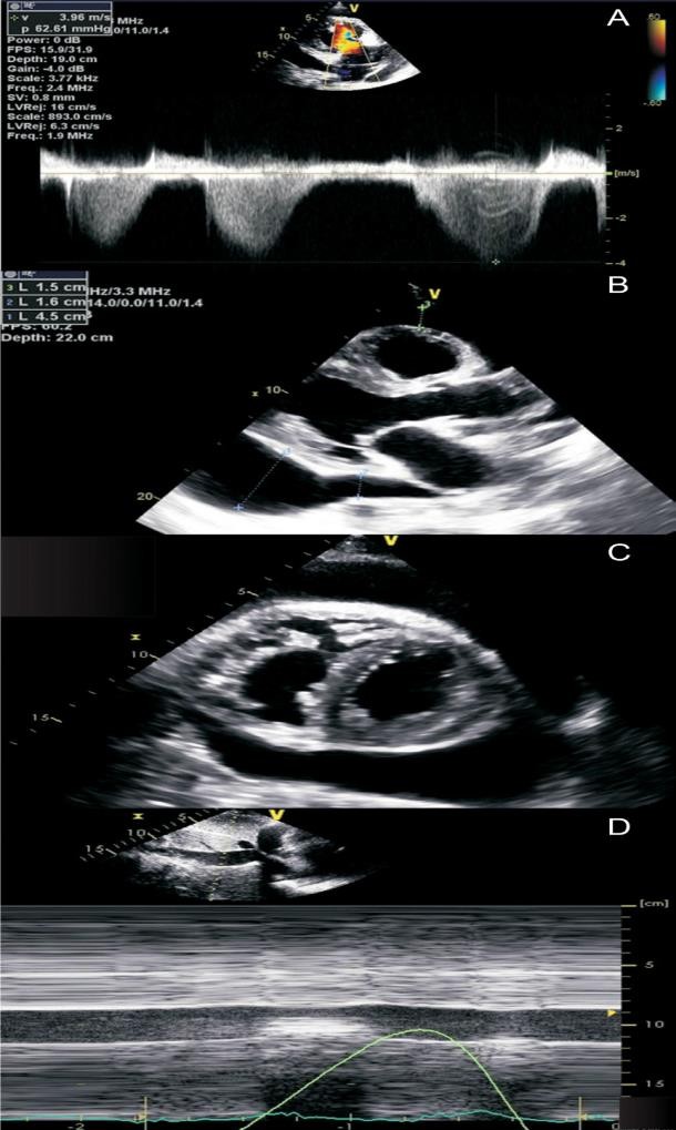
При проведении ЭхоКГ могут быть выявлены ранние признаки констриктивного перикардита, такие как парадоксальное диастолическое движение межжелудочковой перегородки (МЖП) (Приложение А3, рис. 2) [83].
При констриктивном перикардите имеется значительная зависимость профиля кровотока через митральный и трикуспидальный клапаны от фаз дыхания:
-
по данным импульсно-волновой допплерографии, в начале вдоха максимальная скорость трансмитрального пика E уменьшается на ≥25%;
-
в начале выдоха максимальная скорость транстрикуспидального пика E уменьшается на ≥40% (Приложение А3, рис. 2) [116].
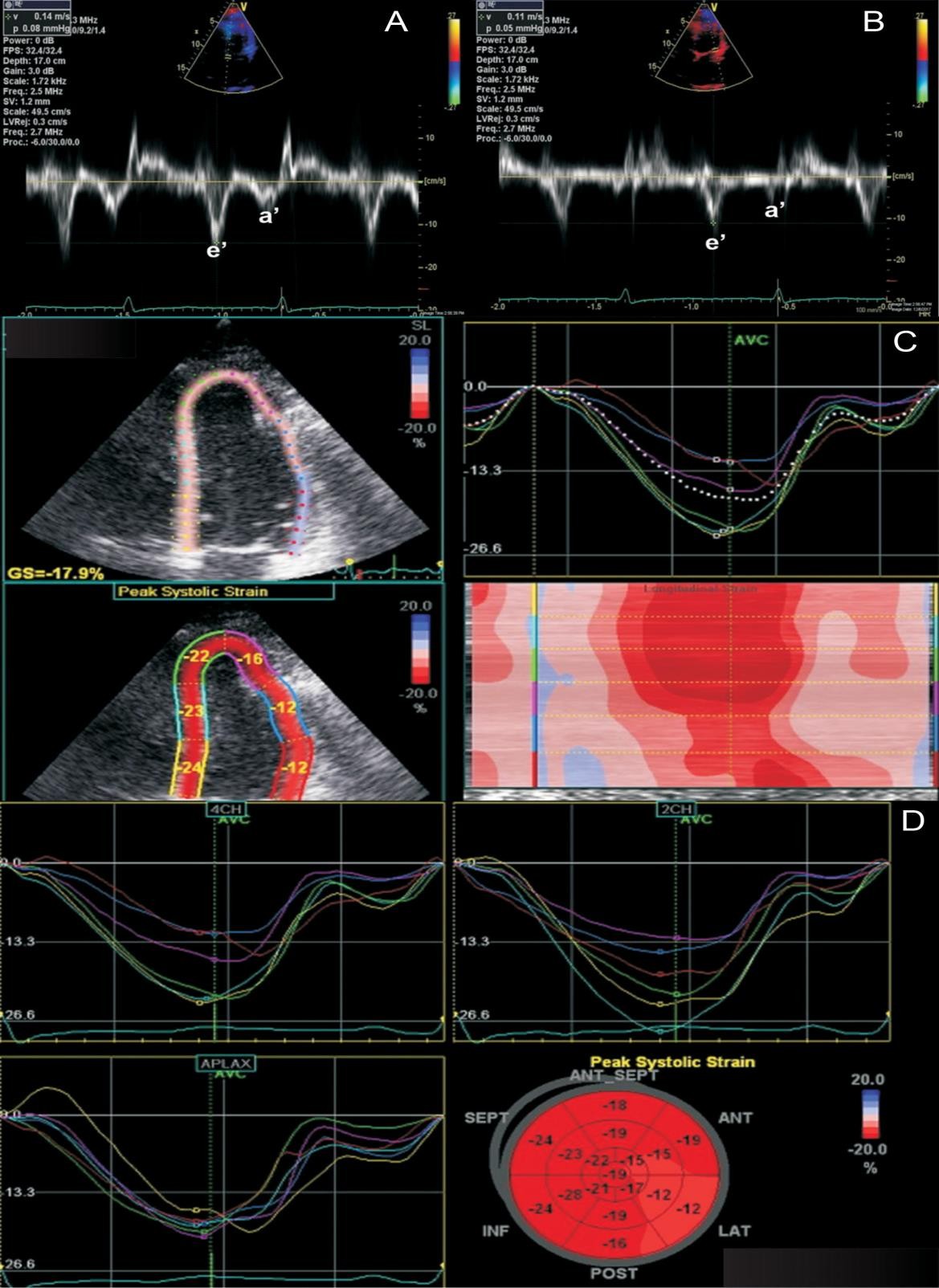
В диагностике констриктивного перикардита также может быть полезна тканевая допплерография, демонстрирующая так называемый феномен “annulus reversus”, заключающийся в том, что нормальная или повышенная ранняя диастолическая скорость движения медиальной части митрального кольца (медиальная е') оказывается выше, чем ранняя диастолическая скорость движения латеральной части фиброзного кольца (латеральная е’) (Приложение А3, рис. 3) [117].
Сочетание разнонаправленного смещения МЖП в зависимости от фаз дыхания с увеличением ранней диастолической скорости движения медиальной части митрального кольца (медиальная е') ≥9 см/сек имеет самую высокую диагностическую чувствительность (87%) и специфичность (91%) [118].
При эхокардиографическом исследовании для выявления констрикции перикарда могут быть использованы дополнительные показатели, в том числе деформация (strain). При констриктивном перикардите глобальная продольная деформация обычно сохранена, тогда как окружностная (циркулярная) деформация, скручивание и раннее диастолическое раскручивание снижены [119]. Этот тип нарушения деформации, “strain reversus”, является аналогом “annulus reversus”, выявляемым при проведении тканевой допплерографии. Показано, что это нарушение является обратимым после проведения перикардэктомии [119].
Констриктивный перикардит
Трансторакальная ЭхоКГ является надежным способом установить это изменение и, при обнаружении утолщения ≥ 3 мм, обладает 95-процентной чувствительностью и 86-процентной специфичностью (Приложение А3, рис. 4) [3].
Более ценной находкой будут участки адгезии, которые при двумерной ЭхоКГ проявляются втяжением перикарда вслед за миокардом во время систолы без изменения эхо-негативного пространства между ними. Обнаружение распространенных участков адгезии перед легочной артерией и за боковой стенкой левого желудочка (при М-модальном исследовании за стенкой левого желудочка) говорит о генерализованном утолщении листков околосердечной сумки.
Парадоксальное движение межжелудочковой перегородки во время ранней диастолы является характерным для пациентов с констриктивным перикардитом. Во время вдоха движение происходит в сторону левого желудочка, во время выдоха — в противоположном направлении [3]. При М-модальном исследовании это проявляется выемкой в раннюю диастолу при определении движения межжелудочковой перегородки, что напоминает нарушения сокращения-расслабления миокарда, наблюдаемые при блокаде левой ножки пучка Гиса или электростимуляции правого желудочка (Приложение А3, рис. 5). При определении этого признака двухмерной ЭхоКГ чувствительность составляет 62%, а специфичность — 93% [3]. Использование допплеровской визуализации тканей можно существенно увеличить чувствительность метода до 82,5% [122].
Допплер-ЭхоКГ позволяет определить парадокс кольца. Он заключается в том, что при относительном сохранении способности миокарда растягиваться в продольном направлении деформация продольной оси левого желудочка и продольная ранняя диастолическая скорость либо нормальные, либо, по мере прогрессирования констриктивного перикардита, увеличиваются. В то время как при рестриктивной кардиомиопатии или при заболеваниях миокарда происходит снижение этих показателей. При этом усредненная максимальная тканевая скорость раннего диастолического смещения септальной части митрального кольца выше латеральной (Приложение А3, рис. 6) [117, 123, 124–128]. Несмотря на высокую чувствительность и специфичность (95% и 96% соответственно), ограничение данного признака при диагностике будет проявляться в случае неоднородности поражения перикарда или при кальцификации кольца митрального клапана.
Характерно динамическое изменение атриовентрикулярного кровотока в зависимости от фазы дыхания (Приложение А3, рис. 7), что отличает констриктивный перикардит от рестриктивной кардиомиопатии. На вдохе пиковая скорость крови уменьшается, а время изометрического расслабления желудочков увеличивается. На выдохе — атриовентрикулярный кровоток возвращается к нормальным значениям. Как правило, прирост пиковой скорости составляет ≥25% на вдохе по сравнению с выдохом [129]. Этот признак обладает 85% чувствительности и 90% специфичности [118].
Однако до 20% пациентов с констриктивным перикардитом могут не иметь характерных изменений кровотока, что связывают с наличием смешанных констриктивно-рестриктивных заболеваний и/или со значительным повышением давления внутри левого предсердия [130].
Другими признаками констриктивного перикардита считаются: уменьшение раскрытия митрального клапана во время предсердной систолы, преждевременное открытие клапана легочной артерии [131].
Застой по большому кругу проявляется отсутствием коллабирования полых и печеночных вен. Особенностью является выявляемый при допплер-ЭхоКГ обратный кровоток, усиливающийся на выдохе больше чем на вдохе (Приложение А3, рис. 8) [132]. В отличие от констриктивного перикардита для рестриктивной кардиомиопатии характерно обратное соотношение.
В легочных венах также определяются изменения кровотока в зависимости от фазы дыхания аналогичные вариациям тока крови через атриовентрикулярные отверстия, но с более выраженными скоростными показателями [133]. При рестриктивной кардиомиопатии наблюдается снижение скорости кровотока во всех фазах дыхательного цикла без выраженных вариаций. Кроме того, констриктивный перикардит часто сопровождается асцитом и гидротораксом, также выявляемыми при эхокардиографии.
| 3 Показатель | 4 Чувствительность, % | 5 Специфичность, % |
|---|---|---|
Изменение пиковой скорости трансмитрального кровотока в фазу раннего диастолического наполнения ≥25%; обратный ток крови в печеночных венах во время вдоха; ≥25% ортоградный диастолический кровоток [129] |
88 |
67 |
Изменение пиковой скорости трансмитрального кровотока в фазу раннего диастолического наполнения ≥10% [124] |
84 |
91 |
Пиковая скорость раннего наполнения желудочков >100 см/сек, цветное М-модальное исследование [125] |
74 |
91 |
Вариабельность систолического/диастолического кровотока в легочных венах в зависимости от фазы дыхания ≥65% на вдохе + изменение пика диастолического трансмитрального кровотока ≥40% [133] |
86 |
94 |
Вариабельность диастолического кровотока в легочных венах в зависимости от фазы дыхания ≥18% [125] |
79 |
91 |
Расширение печеночных вен, W-волна [135] |
68 |
100 |
Отклонение межжелудочковой перегородки, М-модальное исследование [134] |
88 |
80 |
Отклонение межжелудочковой перегородки, двухмерная ЭхоКГ [134] |
62 |
93 |
Двухфазное смещение межжелудочковой перегородки в фазу ранней диастолы, допплеровская визуализация тканей (≥7 см/сек) [122] |
82 |
93 |
Утолщение перикарда, М-модальное исследование [134] |
53/100 |
100/50 |
Утолщение перикарда, двухмерная ЭхоКГ [129] |
36 |
- |
Увеличение левого предсердия, М-модальное исследование [135] |
75 |
100 |
Раннее открытие клапана легочной артерии, М-модальное исследование [135] |
14 |
100 |
92/64 |
100/90 |
5.1.1.1. Перикардиальный выпот
Большое количество выпота в полости перикарда (эхонегативное пространство в диастолу более 20 мл), тампонада сердца, наряду с повышением температуры более 38°С, подострым течением, отсутствием эффекта от нестероидных противовоспалительных препаратов в течение 7 дней являются факторами неблагоприятного прогноза [136, 137, 93]. А при наличии хотя бы одного фактора неблагоприятного прогноза требуются госпитализация и поиск причины [1].
В норме в полости перикарда содержится 10–50 мл жидкости, относящейся к ультрафильтрату плазмы, который служит смазкой между листками перикарда [1]. Воспалительный процесс перикарда ведет к формированию экссудата в полости перикарда, при тяжелой хронической сердечной недостаточности и/или высокой легочной гипертензии за счет снижения реабсорбции при увеличении системного венозного давления между листками перикарда накапливается транссудат [87].
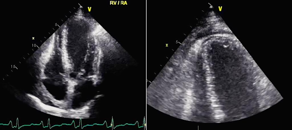
5.1.1.2. Тампонада сердца
Наличие выпота в перикарде при тампонаде сердца может быть легко идентифицировано при ЭхоКГ-исследовании. Как правило, сердце имеет нормальные размеры. При этом определяются небольшие размеры предсердий и желудочков из-за недостаточного их заполнения кровью в диастолу, но отмечается их хорошая систолическая функция (компенсаторный гиперкинез стенок).
Если выпот не очень большой, развитие тампонады определяет скорость накопления жидкости, а не ее количество. Если жидкость накапливается быстро, возможно развитие тампонады сердца с небольшим выпотом в перикард с расхождением его листков всего лишь на 10 мм. И наоборот, тампонада сердца может не развиться даже при большом перикардиальном выпоте, если он накапливается медленно. Как правило, количество выпота в перикарде легко оценить в диастолу при измерении величины выпота между его листками в сантиметрах (перпендикулярно стенкам желудочков), обычно в парастернальной позиции:
-
минимальный перикардиальный выпот обычно видно только в систолу и без гемодинамических последствий;
-
расхождение листков перикарда <1 см соответствует примерно 300 мл выпота;
-
расхождение листков перикарда на 1–2 см — около 500 мл выпота;
-
расхождение листков перикарда на 2 см — обычно соответствует более 700 мл выпота.
-
Симптом «качающегося сердца» возникает при большом перикардиальном выпоте, когда создаются условия для чрезмерных колебательных движений сердца. Это состояние часто сопровождается тампонадой и электрической альтернацией на ЭКГ.
При выполнении трансторакальной ЭхоКГ могут быть обнаружены такие особенности перикардиального выпота, как наличие и локализация в нем фибринозных нитей или сгустков. Перикардиальный выпот, связанный с терминальной стадией заболеваний почек, также может эффективно анализироваться при ЭхоКГ [141].
При нарастании выпота перикарда ЭхоКГ визуализация подтверждает формирование тампонады, что проявляется:
-
стабильным расширением нижней полой вены, которая значимо не спадается на высоте вдоха;
-
уменьшенным объемом прямого трансмитрального кровотока в ЛЖ, выявляемым при допплеровском исследовании;
-
компрессией во время диастолы ПЖ, или его коллабированием в тяжелых случаях;
-
коллабированием правого предсердия (ПП) в систолу [142].
У пациентов с тампонадой сердца при дыхании могут выявляться значительные изменения размеров камер сердца. Так, при вдохе отмечается увеличение ПЖ с сопутствующим уменьшением размеров ЛЖ. Наоборот, во время выдоха ПЖ уменьшается в размерах с одновременным увеличением размеров ЛЖ.
Однако следует отметить, что в определенных условиях некоторые эхокардиографические особенности формирования тампонады сердца, такие как правожелудочковая компрессия, тяжелая легочная гипертензия и гипертрофия ПЖ могут отсутствовать (Приложение А3, рис. 9) [142].
Обычно при тампонаде сердца в разные фазы дыхания наблюдаются значительные изменения трансмитрального и транстрикуспидального потоков. Во время первого сокращения сердца после вдоха максимальная скорость трансмитрального пика E уменьшается более чем на 30%, в то время как во время первого сердечного сокращения после выдоха максимальная скорость транстрикуспидального пика E уменьшается более, чем на 60% [142, 143].
5.1.1.3. Желудочковая взаимозависимость
Обычно перикард позволяет нормально, без ограничений, заполнять кровью левый и правый желудочки, но при тампонаде сердца ПЖ не может свободно расширяться в диастолу во время заполнения кровью, поэтому МЖП смещается влево, а в последующем ЛЖ становится недостаточно заполненным. Это смещение МЖП может быть спровоцировано дыхательными маневрами. Описанная взаимозависимость желудочков может наблюдаться как при тампонаде сердца, так и при констриктивном перикардите.
У пациентов с тампонадой сердца изменения внутригрудного давления хорошо передаются в легочные вены и капилляры, но из-за расширения полости перикарда плохо передаются в ЛЖ. Как следствие, разница давления между легочными капиллярами и ЛЖ во время вдоха заметно уменьшается по сравнению с выдохом, что приводит к снижению наполнения ЛЖ и, следовательно, к уменьшению оттока из него в виде снижения его ударного объем [144].
В результате во время вдоха наблюдаются следующие особенности допплеровских характеристик: в левых отделах сердца снижается эффективный градиент наполнения ЛЖ из-за уменьшения легочного капиллярного давления, в то время как диастолическое давление ЛА и ЛЖ остается относительно сохраненным за счет снижения передачи внутригрудного давления в сердце. Таким образом, наполнение ЛЖ будет снижаться.
Эхокардиография может быть полезна для выявления редкой патологии перикарда, такой как врожденное отсутствие перикарда, которое часто определяется как случайная находка во время визуализации сердца. У пациентов могут отсутствовать симптомы, или может наблюдаться широкий спектр атипичных симптомов, таких как кардиалгии и сердцебиение [145].
Трансторакальная ЭхоКГ также должна быть визуализирующей методикой первой линии у пациентов с подозрением на врожденное отсутствие перикарда.
Особенности визуализации при проведении трансторакальной ЭхоКГ, позволяющие предполагать наличие врожденное отсутствие перикарда, включают:
2.5.2. Лучевая диагностика перикардитов
К методам лучевой диагностики относятся рентгенография, компьютерная томография (КТ) и магнитно-резонансная томография (МРТ). Радионуклидные методы диагностики (ОФЭКТ и ПЭТ/КТ сердца) практически не используются для диагностики болезней перикарда.
В целом следует отметить, что в результате внедрения в практику кардиологии эхокардиогарфии, КТ и МРТ рентгенография в обследовании пациентов с перикардитами играет вспомогательную роль. Если по данным рентгенографии подозревается острый или хронический перикардит, пациент направляется на эхокардиографию, а в некоторых случаях — на КТ или МРТ сердца.
Рекомендовано с целью диагностики пациентам с перикардитом проведение рентгенографии органов грудной клетки [1, 86, 87].
ЕОК IC (УУР С, УДД 5)
Рекомендовано с целью диагностики пациентам в случаях подозрения на осумкованный перикардиальный выпот, утолщения перикарда, образования перикарда или патологию в грудной клетки, проведение КТ или МРТ органов грудной клетки [146–151]
ЕОК IIaC (УУР С, УДД 5)
Рекомендовано с целью диагностики констриктивного перикардита с кальцификацией или без нее проведение МРТ сердца [1].
ЕОК IC (УУР С, УДД 5)
2.5.2.1. Рентгенография
Рентгенография позволяет заподозрить наличие экссудативного перикардита на основании быстрого увеличения тени сердца на рентгенограмме (если имеются серии предыдущих снимков или же при отсутствии в анамнезе болезней, которые могут приводить к кардиомегалии). При экссудативных перикардитах сердце принимает вид горизонтально расположенного овала, распложенного на диафрагме (симптом «фляжки с водой»). Такая конфигурация отличается от кардиомегалии, вызванной расширением всех камер сердца, когда тень увеличенного сердца имеет форму, более близкую к трапециевидной. В случае хронического перикардита с кальцинозом листков перикарда и конструктивного перикардита на рентгенограмме можно видеть участки выраженного обызвествления листков перикарда. Однако чувствительность рентгенографии в выявлении кальцификации листков перикарда уступает таковой КТ. Рентгенография может применяться для быстрой полуколичественной оценки изменений объема жидкости в перикарде на фоне консервативного или интервенционного лечения перикардитов. Этот метод оказывает помощь в тех случаях, когда перикардиты сочетаются с заболеваниями легких (пневмонии, туберкулез) или средостения.
При остром фибринозном перикардите обзорная рентгенография органов грудной клетки выполняется, как правило, с целью исключения патологии органов средостения и легких, которые анатомически близки к околосердечной сумке. В остальных же случаях исследование малоинформативное, по причине отсутствия каких-либо характерных изменений тени сердца [3, 152].
В то же время при подозрении на другие формы перикардита, рентгенография может стать дополнительным диагностическим инструментом [1, 3, 96]. Достигая умеренной чувствительности в 70%, она обладает низкой специфичностью — 41%, что делает невозможным использование этого метода в отрыве от клинической картины [1, 3, 149].
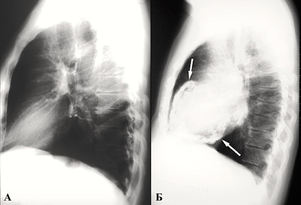
При констриктивном перикардите маленькое «неподвижное» сердце не меняет своего расположения при изменении положения тела или при дыхательной экскурсии. Сжатое сердце теряет свою талию и дифференциацию дуг, появляется неровность контуров, обусловленная многочисленными сращениями в перикардиальной полости.
Выявляются небольшие желудочки при одновременном увеличении предсердий. Характерно отсутствие застоя по малому кругу.
Развитие «панцирного» сердца происходит в 25% случаев констриктивного перикардита. Обызвествленные участки лучше определяются на боковой и передней косой проекциях (Приложение А3, рис. 10) [1, 3].
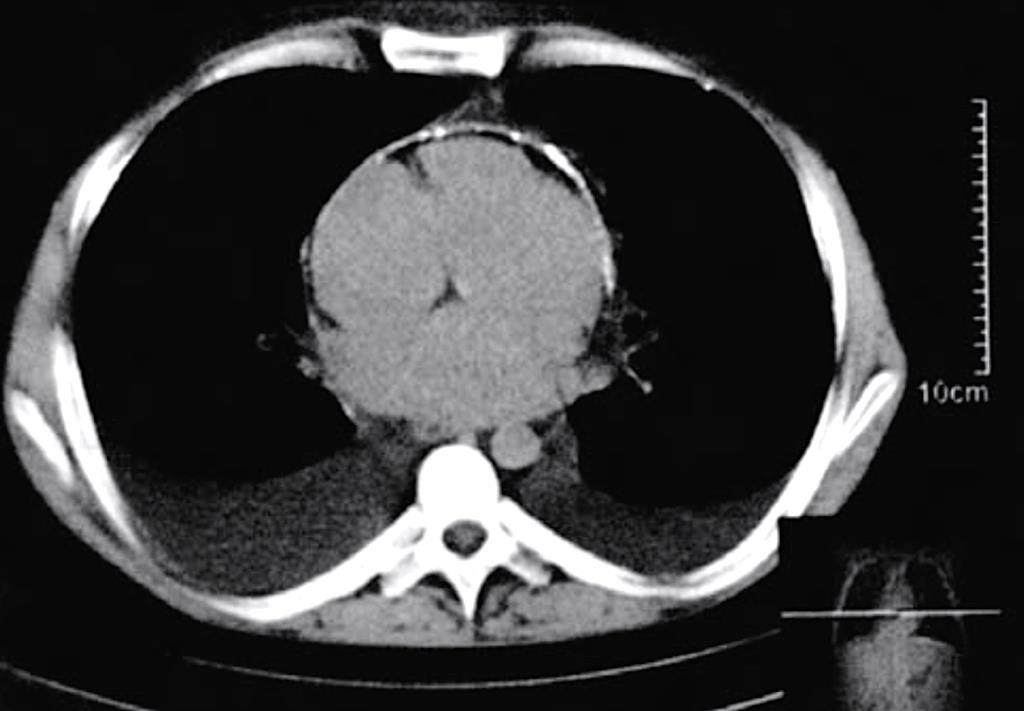
2.5.2.2. Компьютерная томография
Листки перикарда, эпикардиальный жир, жидкость и образования в полости перикарда и его кальциноз очень хорошо видны при КТ. Даже на КТ органов грудной клетки без внутривенного контрастирования камер сердца и сосудов вышеописанные изменения перикарда хорошо видны. КТ дает возможность очень точно оценить объем интраперикардиальной жидкости (на основании суммации ее объемов на срезах), измерить толщину листков перикарда во всех его отделах, измерить (в том числе количественно) степень кальциноза. Однако на сегодняшний день при направлении пациента с перикардитом на КТ, рекомендуется выполнять КТ сердца с кардиосинхронизацией и внутривенным контрастированием камер сердца и сосудов в артериальную фазу (КТ-кардиоангиография). В этом случае получаются изображения сердца, перикарда и средостения с высоким качеством. Возможно создание многоплоскостных и объемных трехмерных реконструкций. КТ сердца при заболеваниях перикарда может быть выполнена на всех современных КТ любого класса (начиная от систем с 16 рядами детекторов и выше), имеющих опцию синхронизации с ЭКГ.
При невозможности выполнить КТ сердца с кардиосинхронизацией, можно выполнить КТ органов грудной клетки с контрастированием (в артериальную или венозную фазы) или же бесконтрастную КТ. При наличии показаний к их применению (см. ниже) эти методики также дадут дополнительную диагностическую информацию.
Основными достоинствами КТ являются:
-
высокая анатомическая детализация всех структур сердца и средостения, листков и полости перикарда без артефактов и проблемы ультразвукового «окна»;
-
возможность трехмерной оценки объемов жидкости в перикарде, точного измерения толщины листков перикарда во всех сегментах;
-
полуколичественная оценка степени кальциноза (на основании измерения плотности кальциноза листков перикарда в единицах Хаунсфилда или же на основании измерения кальциевого индекса областей в единицах Агатстона — по аналогии с анализом кальциноза коронарных артерий при КТ);
-
возможность морфологической и количественной оценки камер сердца, миокарда и сосудов средостения, коронарных артерий;
-
КТ позволяет оценивать плотность выпота в перикард (диагностика выпота с высокобелковым, геморрагическим или хилезным содержимым);
-
детальная визуализация легочных полей, плевры и средостения (информативность КТ для этих органов выше, чем у рентгенографии). Эта особенность имеет значение, если болезни перикарда являются проявлением системных или полиорганных заболеваний.
Противопоказания к применению КТ сердца с контрастированием при перикардитах являются общими (аллергия к рентгеноконтрастным средствам, выраженное нарушение функции почек, нежелательность применения ионизирующего излучения у беременных женщин, детей и молодых людей). Следует отметить, что даже в этих случаях применение КТ возможно при соблюдении определенных мер и предосторожностей, описанных в соответствующих руководствах, или же КТ может быть заменено на МРТ.
Показания к назначению КТ сердца:
-
необходимость уточнения данных эхокардиографии (артефакты, плохое ультразвуковое «окно»);
-
подозрение на опухолевое поражение перикарда или же поражение перикарда, связанное с болезнями легких или средостения;
-
хронический перикардит, особенно в случае частичного или полного кальциноза перикарда или констриктивного перикардита;
-
планирование пункции или оперативного лечения (если необходимо уточнение данных эхокардиографии);
-
наблюдение за пациентами с перикардитом в динамике (при необходимости).
Благодаря высокой разрешающей способности, позволяющей выявлять утолщение листков перикарда от 2 мм (что примерно в 2 раза больше толщины неизмененного перикарда), КТ используется для диагностики констриктивного перикардита с кальцификацией или без нее [1].
Особенностями КТ-картины, позволяющей отличить утолщение листков перикарда от перикардиального выпота являются: наличие очагов пониженной плотности, типичное утолщение передней стенки перикарда, отсутствие изменений в положении больного лежа и усиление сигнала при введении контрастного вещества. Однако при небольшом количестве жидкости КТ не всегда способна выявить это различие, в отличие от МРТ.
Высокая разрешающая способность КТ играет важную роль в дифференциальной диагностике констриктивного перикардита и рестриктивной кардиомиопатии. Выявляемое утолщение париетального листка перикарда в среднем от 4 до 20 мм позволяет разграничить эти состояния [153]. Однако у 28% (18% при аутопсии) больных с констриктивным перикардитом не определяется утолщение перикарда [154].
Кальцификация перикарда, выраженная в той или иной степени, визуализируется у 50% пациентов. При этом КТ позволяет, в отличие от ЭхоКГ, визуализировать отложение кальция на любой поверхности сердца, особенно в местах с большим содержанием эпикардиального жира (атриовентрикулярные борозды и основание сердца) (Приложение А3, рис. 11) [154, 155].
Косвенными признаками констриктивного перикардита будут: уменьшение и циркулярная деформация правого и левого желудочков. Нарушение диастолической функции правого желудочка проявляется расширением нижней полой и печеночных вен, гепатоспленомегалией, асцитом и плевральным выпотом.
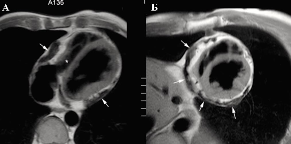
2.5.2.3. Магнитно-резонансная томография
Как и при КТ, МРТ позволяет выполнять прямой анализ количества жидкости в перикарде на основании трехмерной реконструкции ее объема.
МРТ выполняется в режимах «темной» крови и кино-МРТ. Для выявления воспаления листков перикарда и для выявления опухолей перикарда применяется методика МРТ с контрастированием — парамагнитные контрастные средства (гадолинием) в раннюю фазу и в отсроченную (late gadolinium enhancement — LGE).
Следует отметить, что МРТ не позволяет столь же достоверно, как КТ, выявлять и оценивать кальциноз перикарда.
Противопоказания к применению МРТ сердца с контрастированием при перкардитах:
Показания к назначению МРТ сердца:
Рекомендовано выполнение МРТ или КТ пациентам с перикардитом при необходимости уточнения данных эхокардиографии (артефакты, плохое ультразвуковое «окно»), оценки характера выпота в перикард (диагностика выпота с высокобелковым, геморрагическим содержимым), выявления воспаления листков перикарда и оценки его выраженности, выявления и количественной оценки дисфункции камер сердца, вызванных тампонадой или констрикцией, исключения опухолевого поражения перикарда, миокардита, при противопоказаниях к КТ[155, 156, 157, 158].
ЕОК нет (УДД 4 УУР C)
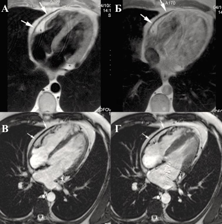
Констриктивный перикардит характеризуется утолщением перикарда, которое больше выражено со стороны правого желудочка и передней атривентрикулярной борозды (Приложение А3, рис. 12) [156].
При этом критериями утолщения листков на МРТ считаются [157]:
Утолщенный перикард имеет слабую интенсивность сигнала не только на Т1- и Т2-взвешенной спин-эхо МРТ, но и на кино-изображениях; в терминальной стадии констриктивного перикардита введения парамагнитных контрастных средств (гадолиний-содержащих) не приводит к увеличению детализации изображения (Приложение А3, рис. 13) [158].
Косвенными признаками констриктивного перикардита будут: расширение предсердий, дилатация полых и печеночных вен, асцит и плеврит.
В случаях констриктивного перикардита выявляются значительное утолщение перикарда, между листками которого обнаруживаются спайки c очагами казеозного перерождения и превращения в рубцовую ткань. Также возможно обнаружение обызвествления околосердечной сумки.
2.5.3. Электрокардиография
Рекомендовано с целью диагностики нарушения ритма и проводимости всем пациентам с перикардитом регистрация 12-канальной электрокардиографии [1, 6, 68, 62, 98, 99].
ЕОК IC (УУР С, УДД 5)
Комментарии: Регистрация электрокардиограммы — обязательная диагностическая процедура у пациента с острым перикардитом (Приложение А3, рис. 14). Характерные изменения ЭКГ отмечаются в 60% случаев острого перикардита. [8, 9].
2.5.4. Анализ выпота и биоптатов
Рекомендовано при подозрении на злокачественный выпот выполнять цитологическое исследование и анализ опухолевых маркеров перикардиальной жидкости [307].
ЕОК нет (УУР С, УДД 5)
Рекомендовано при подозрении на туберкулезный перикардит выполнять молекулярно-биологическое исследование перикардиальной жидкости на микобактерий туберкулеза, определение ДНК микобактерий туберкулеза в перикардиальной жидкости методом ПЦР с целью обнаружения ДНК МБТ [306].
ЕОК нет (УУР С, УДД 5)
Комментарии. Исследование перикардиального выпота позволяет установить диагноз вирусного, бактериального, туберкулезного, грибкового и злокачественного перикардита. При выборе методов следует учитывать клинические проявления.
Геморрагический выпот в перикарде, как правило, сопряжен со злокачественными опухолями, а также встречается после операций на сердце, посттравматических, аутоиммунных, вирусных перикардитах. Геморрагическое окрашивание выпота может быть после ранее выполненного перикардиоцентеза [108].
Биохимический анализ жидкости позволяет отличить транссудат от экссудата, но не указывает на этиологию заболевания.
При подозрении на злокачественный выпот следует выполнить цитологическое исследование и анализ опухолевых маркеров.
При подозрении на туберкулез выполняется исследование перикардиальной жидкости на кислотоустойчивые микобактерии методом прямой микроскопии, на ПЦР с целью обнаружения ДНК МБТ, посевы на жидкие и плотные питательные среды на микобактерии туберкулеза.
ПЦР с целью выявления вирусов позволяет диагностировать вирусный перикардит. Необходимо выполнять посевы перикардиальной жидкости, желательно повторные, для выявления аэробных и анаэробных возбудителей. Быстро выполненное цитологическое исследование также может выявить возбудителя.
Патологоанатомическое исследование биопсийного (операционного) материала перикарда с применением иммуногистохимических методов позволяет установить диагноз опухолевого и туберкулезного перикардитов. Иммуногистохимическое исследование позволяет дифференцировать аутоиммунный перикардит, злокачественные мезотелиомы и аденокарциномы легких [212].
2.6 Иные диагностические исследования
Иные диагностические исследования в рамках диагностики перикардита не предусмотрены, возможно, расширение диагностических исследований по решению врача в зависимости от клинической ситуации и состояния пациента.
3. Лечение, включая медикаментозную и немедикаментозную терапии, диетотерапию, обезболивание, медицинские показания и противопоказания к применению методов лечения
3.1. Консервативное лечение
3.1.1. Лечение острого перикардита
Немедикаментозное лечение. Для не занимающихся спортом на профессиональном уровне показано резкое ограничение физической активности. Всегда предпочтителен либо строго постельный (в первые дни болезни), либо полупостельный режим (объем нагрузок соответствует понятию «сидячий образ жизни»). Продолжительность щадящего режима регламентируется продолжительностью периода болей, лихорадки и нормализации уровня СРБ, т.е. в типичных случаях составляет несколько дней [163].
Профессиональным спортсменам щадящий режим пролонгирован на минимальный срок до 3 месяцев. Возобновление тренировок возможно только после стойкого исчезновения клинической симптоматики и нормализации уровня маркеров воспаления (СРБ, СОЭ), ЭКГ и данных ЭхоКГ [163,164]. Применение в схемах лечения продолжительного щадящего режима оправдано только для профессиональных спортсменов.
Медикаментозное лечение. #Ацетилсалициловая кислота** (АСК), #ибупрофен** и #Безвременника осеннего семян экстракт (источник алкалоида Колхицина) являются основными препаратами для лечения острого неспецифического перикардита. Выбор препарата должен основываться на данных собранного анамнеза, в частности на анализе эффективности препарата в предшествующие периоды, наличии побочных реакций и противопоказаний к приему препарата, наличии сопутствующей патологии. Необходимо предпочесть #АСК** другим НПВП, если он уже используется пациентом как антитромботическое средство. Личный опыт врача не должен доминировать в выборе препарата над принципом обоснованного индивидуального подбора препарата [1, 165].
Препаратом первого выбора может быть #АСК** в больших дозах — от 750 до 1000 мг каждые 8 час. Продолжительность приема — 2–3 г АСК**, до нормализации температуры (как правило, 1–2 недели). В последующем, если сохраняются какие-либо синдромы (наличие экссудата, слабость, недомогание, чувство нехватки воздуха), то прием #ацетилсалициловой кислоты** следует продолжить, но в дозе 500 мг каждые 8 час. в течение 1 недели, а затем перейти на прием #АСК** в дозе 250 мг 2 раза в сутки еще в течение 2 недель [1].
При непереносимости АСК** препаратом выбора является #ибупрофен** в дозе 600 мг каждые 8 час [1]. Продолжительность лечения — до полного исчезновения любых проявлений перикардита обычно 1–2 нед. для неосложненных случаев. Выбор #ибупрофена** в качестве препарата первой линии обусловлен минимальным количеством побочных эффектов. Клинический опыт показывает, что терапия НПВП позволяет стабилизировать 90–95% случаев всех перикардитов. Проведение гастропротекции начиная с первых часов лечения острого перикардита обязательно.
С учетом высокой вероятности рецидива острого перикардита для улучшения ответа на медикаментозную терапию и снижения риска развития рецидива к терапии #АСК** или #ибупрофеном** следует присоединить #Безвременника осеннего семян экстракт (источник алкалоида Колхицина) в низких дозах, по специальной схеме с учетом веса пациента (Приложение А3). #Безвременника осеннего семян экстракт (источник алкалоида Колхицина) может использоваться как монопрепарат при непереносимости НПВП. Продолжительность терапии — до полного исчезновения клинической симптоматики [8, 9, 166–169]. Отменять #Безвременника осеннего семян экстракт постепенно необязательно, но такой режим отмены позволяет дополнительно снизить риски развития рецидива [62, 166].
Глюкокортикоиды следует рассматривать только как средство второй линии терапии острого перикардита у пациентов с противопоказаниями к лечению АСК** или НПВП, или безуспешным применением АСК** или НПВП, поскольку на терапии глюкокортикоидами существует риск хронизации течения заболевания. Для снижения риска хронизации процесса и для улучшения ответа на терапию и предотвращения рецидива необходимо назначать глюкокортикоиды совместно с #Безвременника осеннего семян экстракт. Следует использовать глюкокортикоиды в малых дозах #преднизолон** 0,2 — 0,5 мг/кг в день или в эквивалентных дозах другие глюкокортикоиды. Не рекомендовано использовать высокие дозы глюкокортикоидов (#преднизолон** 1,0 мг/кг в день или в эквивалентных дозах другие глюкокортикоиды) [62, 145]. Начальная доза должна поддерживаться до разрешения симптомов или нормализации СРБ, затем постепенно отменяется [62, 145, 165].
#АСК**, #ибупрофен** и #Безвременника осеннего семян экстракт (источник алкалоида Колхицина) являются основными препаратами для лечения острого неспецифического перикардита [1, 165].
С учетом высокой вероятности рецидива острого перикардита для улучшения ответа на медикаментозную терапию и снижения риска развития рецидива к терапии #АСК** или #ибупрофеном** следует присоединить #Безвременника осеннего семян экстракт в низких дозах, по специальной схеме с учетом веса пациента (режим дозирования указан в Приложении А3). #Безвременника осеннего семян экстракт может использоваться как монопрепарат при непереносимости НПВП. Продолжительность терапии — до полного исчезновения клинической симптоматики [8, 9, 166–168].
Глюкокортикоиды следует рассматривать только как средство второй линии терапии острого перикардита у пациентов с противопоказаниями к лечению АСК** или НПВП, или безуспешным применением АСК** или НПВП [145]
Рекомендовано всем пациентам для лечения острого неспецифического перикардита назначение препаратов: #ацетилсалициловая кислота**, #ибупрофен** и #Безвременника осеннего семян экстракт (источник алкалоида Колхицина), тогда как глюкокортикоиды следует рассматривать только как средство второй линии терапии [1, 145,165].
ЕОК IА (УДД 5 УУР C)
Рекомендовано всем пациентам с острым перикардитом проводить оценку эффективности проводимой противовоспалительной терапии через 1 неделю от начала лечения [171,172].
ЕОК IB (УДД 4 УУР C)
3.1.2. Лечение рецидивирующего перикардита
В качестве первой линии терапии пациентам с рецидивирующим перикардитом назначаются НПВП: #ибупрофен**, #индометацин, #АСК** [173]. #Ацетилсалициловая кислота** редко используется в реальной клинической практике из-за высокого риска нежелательных явлений. При назначении остальных препаратов следует придерживаться максимальных терапевтических суточных доз, которые составляют 1600–3200 мг/сутки для #ибупрофена** с уменьшением дозы на 200–400 мг каждые 1–2 недели и 75–150 мг/сутки для #индометацина. Исследований, подтверждающих возможность применение новых НПВП (селективных ЦОГ-2 ингибиторов) у пациентов с рецидивирующим перикардитом, на сегодняшний день нет.
Также к первой линии терапии у больных с рецидивирующим перикардитом относится #Безвременника осеннего семян экстракт, который применяется либо в качестве монотерапии, либо в комбинации с НПВП. Сочетание НПВП с #Безвременника осеннего семян экстракт в низких дозах (до 1 мг в сутки), как правило, безопасно, и обеспечивает потенцирование противовоспалительного эффекта. Одной из точек приложения #Безвременника осеннего семян экстракт является NLRP3-инфломмасома, активация которой лежит в основе классических аутовоспалительных заболеваний [174]. Также #Безвременника осеннего семян экстракт ингибирует активацию (формирование пор) P2X2, P2X7 рецепторов на поверхности нейтрофилов, что также снижает активацию инфламмасомы [175]. Эффективность #Безвременника осеннего семян экстракт в трех рандомизированных клинических исследованиях (Табл. 2) [6].
| 7 Кол-во пациентов | 8 Режимы терапии | 9 Частота рецидивов | |
|---|---|---|---|
CORE, 2005 |
84 |
I: 3–4 недели #АСК**, |
50,6% в группе #АСК** |
CORP, 2011 |
120 |
3–4 недели АСК**/#ибупрофен**, затем 6 мес #Колхицин (Безвременника осеннего семян экстракт) /плацебо |
55% в группе НПВП |
CORP-2, 2014 (2 и более эпизодов) |
240 |
3-4 нед #АСК**/#ибупрофен**, затем 6 мес #Колхицин (Безвременника осеннего семян экстракт)/плацебо |
42,5% в группе НПВП |
Примечание: АСК** — ацетилсалициловая кислота**, НПВП — нестероидные противовоспалительные препараты.
Глюкокортикоиды (ГКС) относятся ко второй линии терапии. Доза препарата, подбираемая в зависимости от клинической картины, тяжести симптомов, не должна превышать 0,5 мг/кг веса больного. Необходимость их назначения обусловлена неэффективностью первой линии терапии. Действие ГКС реализуется путем блокирования транскрипционных факторов, что в свою очередь приводит к снижению синтеза провоспалительных цитокинов. Достоинством ГКС является их высокая эффективность, быстрое купирование симптомов перикардита и отсутствие нежелательных лекарственных взаимодействий. Вместе с тем назначение этого класса препаратов часто приводит к формированию стероидной зависимости и нежелательных побочных явлений [176]. В случае развития стероидрезистентности и стероидзависимости рекомендовано рассмотреть возможность стероид-сберегающей терапии в комбинации с #азатиоприном**, в/в иммуноглобулинами или ингибиторы интерлейкина (блокаторами интерлейкина-1 бета). При рецидивирующем перикарде необходима медленная отмена ГКС в соответствии с существующим алгоритмом.
#Азатиоприн** как антиметаболит пуриновых оснований имеет хороший спектр безопасности. К наиболее частым побочным явлениям относятся умеренное повышение аминотрансфераз, лейкопения, диспепсия. У пациентов с дефицитом фермента тиопуринметилтрансферазы назначение #азатиоприна** в стандартных дозах (1,5–2,5 мг/кг/день) может вызвать миелодепрессию (режим дозирования в приложении А3). Рекомендации по применению #азатиоприна** в рамках комбинированной иммуносупрессивной терапии в сочетании с ГКС основано на двух небольших пилотных исследованиях, включающих пациентов с ИРП и постперикардиотомным синдромом. Большая эффективность #азатиоприна** у больных постперикардиотомным синдромом свидетельствует о том, что данный класс препаратов целесообразно применять при аутоиммунном генезе перикардита [177].
Ингибиторы интерлейкина ИЛ-1β и ИЛ-1α рассматриваются как основные цитокины в развитии рецидива перикардита, вызывая воспалительную реакцию [295, 296].
Рекомендуется назначение ИЛ-1 блокатора #анакинра** для терапии рецидивирующего перикардита [297–299]. Доза #анакинры**, применяемая в исследовании AIR TRIP 100 мг/сутки — взрослые, 2 мг/кг в сутки (до 100 мг) — дети.
ЕОК — нет (УДД 2 УУР А)
Рекомендуется назначение нестероидных противовоспалительных и противоревматических препаратов (#ибупрофен**, #индометацин, #ацетилсалициловая кислота**, режим дозирования указан в Приложении А3) в качестве первой линии терапии у пациентов с рецидивирующим перикардитом [1,86,6,173].
ЕОК IА (УДД 5 УУР C)
Рекомендуется назначение #ацетилсалициловой кислоты** в дозе 0,5–1,0 г/день каждые 6-8 часов (в диапазоне 1,5–4,0 г/день) пациентам с рецидивирующим перикардитом и ишемической болезнью сердца, требующих применения антитромботической терапии [1].
ЕОК IIaC (УДД 5 УУР C)
Рекомендуется назначение #Безвременника осеннего семян экстракт (источник алкалоида Колхицина) (режим дозирования указан в Приложении А3) в качестве первой линии терапии у пациентов с рецидивирующим перикардитом [1, 86, 6, 174, 175].
ЕОК IА (УДД 3 УУР C)
Рекомендуется продолжать терапию #Безвременника осеннего семян экстракт (источник алкалоида Колхицина) (режим дозирования указан в Приложении А3) у пациентов с рецидивирующим перикардитом не менее 6 месяцев, ориентируясь на клинический ответ [1, 86, 6].
ЕОК IIaC (УДД 5 УУР C)
Не рекомендуется применение глюкокортикоидов в качестве первой линии терапии у пациентов с рецидивирующим перикардитом [1, 86, 6, 176].
ЕОК IIIВ (УДД 4 УУР C)
Рекомендуется применение комбинированной иммуносупрессивной терапии с добавлением #азатиоприна**, #Иммуноглобулина человека нормального** для внутривенного введения или препаратов, блокирующих интерлейкин-1 или селективный блокатор интерлейкиновых (ИЛ-1) рецепторов (АТХ — противоопухолевые препараты, Ингибиторы интерлейкина) (режим дозирования указан в Приложении А3), при отсутствии эффекта на #Безвременника осеннего семян экстракт или при развитии стероидной зависимости у пациентов с рецидивирующим перикардитом [1, 86, 6, 177–180].
ЕОК IIbC (УУР С, УДД 4)
Рекомендуется исследование уровня C-реактивного белка в сыворотке крови в процессе лечения пациентов с рецидивирующим перикардитом для оценки эффективности терапии [1,86,6].
ЕОК IIaC (УДД 5 УУР C)
Рекомендуется ограничить физические нагрузки пациентам с рецидивирующим перикардитом до разрешения симптомов заболевания и нормализации уровня C-реактивного белка в сыворотке крови [1,86,6].
ЕОК IIaC (УДД 5 УУР C)
Рекомендуется ограничить физические нагрузки спортсменам с рецидивирующим перикардитом минимум на 3 месяца до разрешения симптомов заболевания, нормализации уровня C-реактивного белка в сыворотке крови, электрокардиограммы и эхокардиограммы [1,86,6].
ЕОК IIaC (УДД 5 УУР C)
3.1.3. Лечение постоянного и хронического перикардита
Алгоритмы медикаментозной терапии принципиально не отличаются от ведения больных с рецидивирующим перикардитом. В лечении больных с постоянным или хроническим экссудативным перикардитом чаще приходится прибегать к альтернативным методам лечения. В случае неэффективности медикаментозной терапии у больных с хроническим или «постоянным» перикардитом могут обсуждаться хирургические методы лечения.
3.1.4. Лечение перикардиального выпота, тампонады
Лечение перикардиального выпота должно быть максимально направлено на причину его возникновения [93, 140, 181]. Примерно в 50% случаев причина выпота в полость перикарда известна. Если перикардиальный выпот малый или умеренный и связан с перикардитом (воспалением), то проводят лечение #АСК**, НПВП и/или #Безвременника осеннего семян экстракт в соответствие с принципами ведения острого перикардита. Если выпот не связан с воспалением, назначение #АСК**, НПВП или #Безвременника осеннего семян экстракт неэффективно, а его объем нарастает, и увеличивается риск развития тампонады сердца, то необходимо рассмотреть дренирование выпота (перикардиоцентез). Перикардиоцентез с продленным дренажем до 30 мл/24 ч следует рассмотреть для профилактики дальнейшего накопления выпота при повторном его накоплении.
Рекомендовано при малом или умеренном перикардиальном выпоте, связанном с перикардитом (воспалением), проводить лечение в соответствие с принципами ведения острого перикардита [1, 93, 140, 181].
ЕОК нет (УУР C, УДД 5)
Не рекомендовано при наличии тампонады сердца назначение перифирических вазодилататоров и диуретиков [6].
ЕОК IIIC (УУР В, УДД 3)
Не рекомендовано при наличии тампонады применение механической вентиляции легких с положительным давлением дыхательных путей [6].
ЕОК IIIC (УДД 5 УУР C)
3.1.5. Лечение миоперикардита
Рекомендации по соблюдению покоя и ограничению физических нагрузок необходимы всем пациентам с миоперикардитом в течение 6 месяцев. Ведение пациентов с миоперикардитом принципиально не отличается от ведения больных с перикардитом. Госпитализация пациентов необходима в целях постановки диагноза и проведения дифференциальной диагностики.
Препаратами первой линии терапии являются нестероидные противовоспалительные и противоревматические препараты (НПВП):
-
#ибупрофен** 1200–2400 мг/сут [1].
В небольших проспективных исследованиях было показано, что длительный прием НПВП (4 недели) у пациентов с миоперикардитом является безопасным [182].
Препаратами второй линии являются глюкокортикоиды, применяемые в случае непереносимости или неэффективности НПВП.
Максимально частый ЭхоКГ контроль обязателен, при снижении фракции выброса должна начаться терапия иАПФ и бета-адреноблокаторами. Прежний объем нагрузок разрешен только при полном восстановлении фракции выброса, маркеров воспаления и ЭКГ [183,184, 80].
Рекомендуется пациентам с миоперикардитом назначение нестероидных противовоспалительных и противоревматических препаратов (#ибупрофен**), или #ацетилсалициловая кислота** (режим дозирования указан в Приложении А3) в качестве первой линии терапии [182].
ЕОК нет (УДД 4 УУР C)
Рекомендуется применение глюкокортикоидов в качестве второй линии терапии у пациентов с миоперикардитом [301].
ЕОК нет (УУР C, УДД 5)
3.1.6. Лечение бактериального перикардита
Основными целями при ведении пациентов ТБП являются: снижение активности туберкулезного процесса, устранение тампонады сердца и проявлений сердечной недостаточности, а также предотвращение осложнений, таких как ремоделирование перикарда и развитие констриктивного перикардита [13]. Стандартные 4 противотуберкулезные схемы медикаментозного лечения не показали преимуществ при сравнительных исследованиях [75,103]. Плохое проникновение лекарственных препаратов в перикардиальную жидкость обуславливает слабую эффективность терапии, высокую смертность и влечет за собой использование высоких доз препаратов. Использование рифампицина**, изониазида**, пиразинамида** или этамбутола**, как минимум в течение 2 месяцев, с переходом на изониазид** и рифампицин** до 6 месяцев терапии может быть эффективно в лечении внелегочного туберкулеза. Серьезным осложнением ТБП, которое развивается, как правило, в течение 6 месяцев от начала заболевания у 17–40% пациентов, является его трансформация в констриктивный перикардит, нередко с утолщением перикарда [13, 185]. Добавление #Безвременника осеннего семян экстракт и преднизолона** в высоких дозах в течение 6 недель, а также своевременный перикардиоцентез со снижением риска с 30 до 15% [103, 185, 186]. Однако терапию преднизолоном** не следует назначать ВИЧ-инфицированным, ввиду имеющихся данных о росте онкологических заболеваний у них на фоне этой терапии [103].
Гнойный перикардит требует своевременного активного ведения, так как без лечения смертелен, однако при адекватной терапии имеет хороший прогноз в 85% случаев [187].
Внутривенная антимикробная терапия должна быть начата эмпирически до получения результатов посевов. Гнойные выпоты обычно осумковываются и имеют тенденцию к быстрому накоплению, поэтому важно своевременное дренирование. Для профилактики осумкования возможно проведение внутриперикардиального тромболизиса, однако хирургическое лечение часто является единственным верным способом. Проводятся подмечевидная перикардиостомия и промывание полости перикарда [187].
Рекомендовано пациентам с бактериальным перикардитом назначение антибактериальных перпаратов системного действия[103, 185–187].
ЕОК нет (УУР C, УДД 5)
3.1.7. Лечение констриктивного перикардита
Хотя лечение констриктивного перикардита является преимущественно хирургическим, консервативная терапия может быть полезна в трех аспектах:
-
этиологическая терапия (как в случае туберкулезного перикардита) помогает замедлить дальнейшее прогрессирование констрикции [1, 3, 188, 4];
-
противовоспалительное лечение позволяет предотвратить развитие констрикции, наблюдаемой в 10–20% случаев и возникающей в течение нескольких месяцев после разрешения перикардита [1, 3, 4, 189, 93];
-
в качестве симптоматической терапии при далеко зашедших случаях.
3.2 Хирургическое лечение
3.2.1.1. Интервенционные и хирургические методы лечения заболеваний перикарда
В большинстве случаев поражение перикарда вторично, а диагностика причины заболевания часто затруднена. Основными показаниями к интервенционным и хирургическим вмешательствам при заболеваниях перикарда являются наличие выраженного выпота в перикард, тампонада сердца и констриктивный перикардит. Также вмешательство требуется при бактериальном перикардите, с диагностической целью при выраженном и умеренном выпоте неясной этиологии [108, 190].
С целью декомпрессии сердца, дренирования и санации полости перикарда в настоящее время применяются такие методы лечения, как перикардиоцентез, открытое подмечевидное дренирование перикарда с формированием перикардиального окна, торакоскопическое формирование перикардиального окна (или фенестрация перикарда) и перикардэктомия [6,191-193].
С целью повышения диагностической ценности вмешательства подмечевидное дренирование перикарда возможно дополнять перикардиоскопией и прицельным взятием материала для молекулярных, гистологических и иммуногистологических методов исследования для выявления этиологии и патогенеза заболевания [108]. Также при этом подходе имеется возможность внутриперикардиальной терапии путем введения лекарственных препаратов в полость перикарда [194].
Рекомендовано при наличии выраженного выпота в перикард, тампонаде сердца и констриктивном перикардите проведение интервенционных и хирургических вмешательств [108, 190].
ЕОК нет (УДД 4 УУР C)
Рекомендовано проведение интервенционных и хирургических вмешательств с диагностической целью при бактериальном перикардите и выраженном и умеренном выпоте неясной этиологии [108, 190].
ЕОК нет (УДД 4 УУР C)
Рекомендовано проведение перикардиоцентеза, формирование перикардиального окна и перикардэктомия с целью декомпрессии сердца, дренирования и санации полости перикарда пациентам с перикардитом [6, 191–193].
ЕОК нет (УДД 4 УУР C)
Рекомендовано при констриктивном перикардите проведение перикардэктомии [1].
ЕОК IC (УДД 5 УУР C)
3.2.1.2. Перикардиоцентез и дренирование перикарда
Основной целью вмешательства при большом выпоте в полость перикарда и тампонаде сердца является адекватное дренирование. Перикардиоцентез является наиболее простым и быстро выполнимым вмешательством для дренирования перикарда. При тампонаде сердца перикардиоцентез — жизнеспасающее вмешательство [108, 6].
Оптимальным является выполнение перикардиоцентеза в условиях реанимационного отделения или отделения интенсивной терапии или в специально оснащенной рентгеноперационной с анестезиологическим контролем.
Не следует проводить вмешательство вслепую. С целью предупреждения повреждения сердца и других внутренних органов перикардиоцентез должен выполняться под контролем эхокардиоскопии или под контролем ренгеноскопии.
Перикардиоцентез под ЭхоКГ-навигацией выполняется под контролем артериального давления и ЭКГ. Вмешательство выполняется в положении полулежа/полусидя с приподнитым на 45° изголовьем кровати (положение Фаулера). После обработки кожи антисептиком в области мечевидного отростка под местной анестезией 1–2% раствором лидокаина** делается минимальный разрез кожи. Пункция перикарда выполняется в точке Ларрея (точка между мечевидным отростком и левой реберной дугой). Также оптимальным местом дренирования перикарда под управлением ЭхоКГ может быть точка, где максимальное количество выпота предлежит к грудной клетке и нет риска повреждения печени, легкого, внутренней грудной артерии (3–5 см латеральнее парастернальной линии) и межреберного сосудистого пучка по нижнему краю ребра. Пункция проводится либо длиной 18-G тонкостенной иглой, либо иглой Tuohy в направлении на левое плечо под углом 30° постоянным разряжением в шприце. После прокола перикарда и получения жидкости в полость перикарда должен быть проведен проводник 0,035” и 0,038”. По проводнику в полость перикарда проводится катетер типа pigtail, который фиксируется к коже. Оптимальным является использование специальных наборов для дренирования перикарда.
Рекомендована медленная эвакуация жидкости под контролем артериального давления, ЭКГ и ЭхоКГ, во избежание быстрой декомпрессии сердца [108, 191].
ЕОК нет (УДД 3 УУР В)
Перикардиоцентез под контролем рентгеноскопии проводится в гибридной или рентгеноперационной. Оптимально выполнение перикардиоцентеза в правой или левой косой проекциях. Ориентиром может являться эффект перикардиального гало (просветления). После получения жидкости в полость перикарда вводится небольшое количество контраста для того, чтобы убедиться, что игла находится в полости перикарда. После этого в полость перикарда проводится проводник и дренаж.
Перикардиоцентез должен выполняться опытным врачом, т.к. может сопровождаться осложнениями в 4–10% случаев. Наиболее частое и серьезное осложнение перикардиоцентеза — повреждение и перфорация миокарда. Жизнеугрожающие аритмии, повреждение внутренней грудной артерии, пневмо- и гемотракс, повреждение органов брюшной полости, вагальные реакции и инфекционные осложнения также возможны [191].
Выполнять перикардиоцентез без чрескожного дренирования полости перикарда нецелесообразно.
Показание к удалению дренажа — отхождение 50 мл и меньше жидкости в сутки.
Перикардиоцентез ассоциируется с повышенным риском в случае осумкованного выпота по латеральной или задней поверхности сердца, или если эхонегативное пространство по данным ультразвукового исследования менее 10 мм. В этих случаях открытое хирургическое дренирование может быть безопаснее.
Однако перикардиоцентез и чрескожное дренирование ассоциируются с высокой частотой рецидива [191, 195].
Рекомендовано при травматическом перикардите и при бактериальном перикардите отдавать предпочтение сразу хирургическому дренированию [191, 195].
ЕОК нет (УДД 4 УУР C)
3.2.1.3. Хирургические вмешательства в лечении заболеваний перикарда
3.2.1.3.1. Формирование перикардиального окна
Учитывая большой процент рецидивов после перикардиоцентеза и чрескожного дренирования, большинству больных показано формирование перикардиального окна — резекция участка перикарда для обеспечения пролонгированного оттока жидкости из полости перикарда [195]. Существует две наиболее часто применяемые техники.
Хирургическое подмечевидное дренирование выполняется под наркозом или местной анестезией. Вмешательство позволяет резецировать участок перикарда для гистологического исследования, исследовать выпот, выполнить перикардиоскопию и дренировать полость перикарда. Подмечевидное дренирование является эффективным методом лечения пациентов с выпотом в перикард, однако диагностическое значение операции ограничено и многими оспаривается [196–197].
В нашей стране также предложен и с успехом применяется оригинальный способ открытого дренирования перикарда по Минцу–Бисенкову. Это внеплевральный доступ к перикарду, позволяющий выделить большую поверхность диафрагмальной поверхности перикарда и выполнить адекватное дренирование, особенно при бактериальных перикардитах. Данный способ открытого дренирования может быть полезен при осумкованных выпотах после открытых операций на сердце [198].
Другой метод формирования перикардиального окна — чресплевральный. Резекция участка перикарда может осуществляться через миниторакотомию или торакоскопически [192, 196, 199, 200]. Малоинвазивное чресплевральное вмешательство позволяет также осмотреть плевральные полости и взять дополнительный материал для исследования (ткань плевры, легких, лимфоузлов средостения, опухоли). Это позволяет улучшить диагностическое значение операции [201].
Рекомендована резекция участка перикарда через миниторакотомию или торакоскопически для осмотра перикардиальной и плевральной полостей и взятия дополнительного материала для исследования (ткань плевры, легких, лимфоузлов средостения, опухоли) [192, 196, 199, 200, 201].
ЕОК нет (УДД 4 УУР C)
Оба вмешательства заканчиваются установкой дренажа в полость перикарда. Показание к удалению дренажа — отхождение 50 мл и менее жидкости в сутки.
В литературе нет единого мнения, какой метод формирования перикардиального окна лучше. Большинство исследователей считают, что подмечевидное дренирование менее инвазивное вмешательство с рецидивом скопления жидкости в 3,9–9,4% случаев [191, 195]. После чресплеврального формирования перикардиального окна рецидивы встречаются реже, но вмешательство более травматичное. Для выполнения операции требуется однолегочная вентиляция, и вмешательство сопровождается большим по сравнению с подмечевидным дренированием числом осложнений [196].
При злокачественных выпотах операции являются полиативными.
3.2.1.3.2. Кардиолиз и перикардэктомия
При констриктивном и адгезивном перикардитах показаны кардиолиз и перикардэктомия [202, 203]. Показания к операции определяются клиническими данными и результатами инструментальных методов диагностики. Важно отметить, что оперативное вмешательство не следует надолго откладывать в случаях, когда на фоне консервативной терапии появляются первые признаки декомпенсации, т.к. в дальнейшем вторичные изменения в органах не будут способны к обратному развитию.
Кардиолиз — хирургическая операция рассечения сращений между перикардиальными листками и между сердцем и окружающими его тканями. К настоящему времени выделяют три вида кардиолиза:
-
по Делорму — состоит в освобождении сердечной мышцы от сращений с перикардом;
-
по Рену — состоит в рассечении сращений между наружной поверхностью перикарда и средостением с прокладкой из широкой фасции бедра;
-
по Брауеру — сводится к удалению участка ребер, покрывающих сердце, и показана только при затруднении систолы вследствие сращения околосердечной сумки и передней грудной клетки.
Ни одну из существующих методик кардиолиза нельзя считать радикальной и излечивающей; помимо этого, велика вероятность травмы сердца и образования новых сращений.
Перикардэктомия [1] — это единственный способ коррекции стойкой констрикции сердца. Для полного иссечения перикарда, включая области позади диафрагмального нерва, вокруг полых и легочных вен, применяются два доступа [204, 205]: переднебоковая торакотомия (в правом промежутке) и срединная стернотомия (легче получить доступ к аорте и правому предсердию для осуществления экстракорпорального кровообращения).
Техническая сложность будет заключаться в наличии плотных спаек и выраженной кальцификации, которая может распространяться и на миокард. В этом случае для избежания излишнего травматизма и тяжелого кровотечения участки плотного сращения оставляют в виде островков, что приведет к улучшению состояния пациента.
В результате перикардэктомии внутрисердечная гемодинамика восстанавливается у 60% больных [3, 204, 205]. Время раннего диастолического наполнения может сохраняться увеличенным, а минимальные вариации атриовентрикулярного кровотока в зависимости от фазы дыхания сохраняются у 9–25% больных, при этом фракция выброса станет больше за счет улучшения наполнения левого желудочка.
Хирургическая летальность может достигать 10–20%, что обусловлено наличием не выявленных до операции атрофии или фиброза миокарда, ведущих к развитию острой сердечной недостаточности и разрыву стенки сердца [1, 3, 204, 205]. Постоперационная выживаемость снижается у пациентов, которые в прошлом перенесли операцию на сердце [3].
Предикторами неблагоприятного прогноза, в том числе после радикальной перикардэктомии, являются: лучевое воздействие в анамнезе, сопутствующие заболевания (особенно ХОБЛ и снижение функции почек, ИБС и операции на сердце в анамнезе), повышение систолического давления в легочной артерии, снижение систолической функции ЛЖ (особенно ХСН IV ФК по NYHA) и пожилой/старческий возраст [3, 203, 206].
При констриктивном перикардите хирургическое лечение показано пациентам III или IV ФК NYHA с прогрессирующей одышкой и симптомами правожелудочковой диастолической дисфункции такими как: набухшие яремные вены, отеки голеней и стоп, гепатомегалия, асцит, а также сердцебиение, олигоурия и малый сердечный выброс [6].
На сегодняшний день вопрос о том, какую часть перикарда необходимо удалять, до конца не решен. Даже отсутствует единая терминология вмешательств. Большинство авторов считают, что полная (тотальная) перикардэктомия — метод выбора ликвидации констрикции у этих пациентов [207]. Полная перикардэктомия включает удаление всего переднего листка перикарда (от диафрагмального нерва — до диафрагмального нерва), диафрагмальной части перикарда и по возможности части перикарда кзади от левого диафрагмального нерва. Диафрагмальные нервы необходимо сохранить неповрежденными. Также необходимо удалить перикард в области устьев полых вен. Оптимальным доступом для выполнения вмешательства является срединнная стернотомия.
Если полную перикардэктомию технически выполнить невозможно — выполняется частичная перикардэктомия. Частичная перикардэктомия в ряде случаев может быть выполнена из правосторонней или левосторонней торакотомии [207].
Госпитальная летальность после перикардэктомии по поводу констриктивного перикардита составляет 2,5–4,9% [207–209]. В редких случаях требуется повторное вмешательство в связи с рецидивом констриктивного перикардита (0,8–2,4%) [208, 209].
Перикардэктомия может быть рассмотрена у пациентов с хроническим рецидивирующим экссудативным перикардитом в отсутствии эффекта от медикаментозного лечения и перикардиального окна [6].
Рекомендовано рассмотреть возможность перикардэктомии у пациентов с хроническим рецидивирующим экссудативным перикардитом в отсутствии эффекта от медикаментозного лечения и перикардиального окна [6, 303]
ЕОК нет (УДД 3 УУР В)
3.2.1.3.3. Перикардиоскопия и биопсия
Перикардиоскопия и взятие биоптатов обычно являются частью хирургических вмешательств, таких как формирование перикардиального окна или перикардэктомия [108].
Перикардиоскопия дает возможность визуализации полости перикарда, эпикардиальной поверхности сердца и париетального листка перикарда. Макроскопически удается выявить опухолевые массы, растущие в полости перикарда, протрузии опухоли извне, геморрагические и гиперваскулярные участки при злокачественных выпотах. При вирусных, аутоиммунных и лучевых перикардитах в полости перикарды выявить изменения, как правило, не удается [210,211].
Перикардиоскопия может быть выполнена как гибким, так и жестким эндоскопом.
Перикардиоскопия гибким эндоскопом более безопасна, чем жестким [210].
Исследование, выполненное подмечевидным доступом, более информативно, чем чресплевральным доступом, т.к. позволяет визуализировать большую часть поверхности перикардиальных листков [211].
Визуализация патологических изменений позволяет выполнить прицельное взятие материала для исследования.
Рекомендовано исследование большого числа биоптатов эпикарда и/или перикарда, взятых во время перикардиоскопии [108]. Необходимо брать минимум 7–10 кусочков ткани для исследования.
ЕОК нет (УДД 5 УУР C)
Рекомендовано при бактериальном и посттравматическом перикардитах выполнение перикардиоскопии, так как она может быть полезна для санации полости перикарда под визуальным контролем. Визуализация перикардиальной полости позволяет удалить скопления густого гнойного экссудата в синусах перикарда и выполнить адекватное дренирование [211].
ЕОК нет (УДД 4 УУР C)
3.2.1.3.4. Инраперикардиальное лечение
Пациентам с выпотом в перикард после дренирования возможно проводить внутриперикардиальное введение препаратов.
Рекомендовано при злокачественных выпотах, причиной которых является рак легкого или молочной железы, интраперикардиальное введение #цисплатина** (10 мг ежедневно, курсовая доза 50 мг) или #тиотепа (15 мг препарата + 30 мг #гидрокортизона** вводить в 1-3-5 день после дренирования), и может быть применено в комбинации с системной химиотерапией [108, 302].
ЕОК нет (УДД 4 УУР C)
Рекомендовано использование внутриперикардиального введения цитокинов при опухолевых перикардитах (Иммуностимуляторы L03A), прежде всего, #интерлейкина-2 (IL 2) 0,5–1 млн МЕ (0,5–1 мг) 1–5-е сутки и 8–9-е сутки (суммарная доза — 5–7 млн МЕ) [194, 305, 308]_.
ЕОК нет (УДД 4 УУР C)
Отмечена высокая эффективность (86,7–96%) с хорошим профилем переносимости и низкой токсичностью. Внутриперикардиальная IL 2 иммунотерапия может рассматриваться как один из эффективных вариантов комплексного лечения больных с опухолевыми перикардитами). Лечение следует проводить совместно с онкологом [194].
Рекомендовано при аутоиммунном выпоте резистивном к другим видам лечения внутриперикардиально может быть введен #триамцинолон (300 мг/м2 поверхности тела) [304].
ЕОК нет (УДД 3 УУР C)
Рекомендовано при уремическом перикардите #триамцинолон (300 мг/м2 поверхности тела) внутриперикардиально также может быть применен, за исключением пациентов с выраженным геморрагическим выпотом [108].
ЕОК нет (УДД 5 УУР C)
Рекомендовано при бактериальном перикардите применение внутриперикардиального введения фибринолитиков (АТХ Ферментные препараты) и продленный лаваж полости перикарда с целью удаления гнойно-некротических масс и санации полости перикарда [190,309,310].
ЕОК нет (УДД 4 УУР C)
3.2.1.3.5. Перикардиальный доступ для эпикардиальной аблации аритмий
Для аблации эпикардиального субстрата желудочковых тахикардий в 1996 году E. Sosa описал метод пункции «сухого» перикарда под флюроскопическим контролем. Вмешательство проводится под в/в наркозом. Пункция проводится иглой Tuohy в левой или правой косой проекциях. Через иглу проводится проводник, а далее интродьюсер. Через интродьюсер в перикард проводится аблационный катетер. В зависимости от предполагаемой зоны интереса для аблации, пункция может быть выполнена передним или задним доступом [213].
Как альтернативу чрескожной пункции перикарда для эпикардиальной аблации желудочковых аритмий рекомендуется выполнять открытый подмечевидный доступ [108].
ЕОК нет (УДД 5 УУР C)
4. Медицинская реабилитация и санаторно-курортное лечение, медицинские показания и противопоказания к применению методов реабилитации, в том числе основанных на использовании природных лечебных факторов
Методы физической реабилитации у больных перикардитом не разработаны.
Острый перикардит является абсолютным противопоказанием для проведения физических тренировок. Возобновление занятий спортом возможно не ранее, чем через 6 месяцев, при условии нормализации объема полости ЛЖ и отсутствии угрожающих аритмий при холтеровском мониторировании.
Рекомендовано в острую фазу перикардита избегать аэробных физических нагрузок. В период стабилизации состояния пациента (с исчезновением лабораторных признаков воспаления) рекомендуется физическая активность от низкой до умеренной интенсивности [1, 86, 6].
ЕОК нет (УУР C, УДД 5)
5. Профилактика и диспансерное наблюдение, медицинские показания и противопоказания к применению методов профилактики
Пациент, перенесший острый перикардит, должен оставаться под наблюдением врача поликлиники. Рекомендуется в течение первых 12 недель повторить ЭхоКГ (возможен без болевого рецидива с образованием экссудата), в этот же интервал времени определить уровень СРБ. Высокий уровень СРБ должен рассматриваться как возможный предвестник рецидива острого перикардита, кроме того, это важный знак, требующий поиска возможно не выясненного до этого основного заболевания. В течение первых 3–6 мес. не рекомендуется тяжелая физическая нагрузка (гимнастический зал, подъем тяжести и т.д.). Ограничений обычной физической нагрузки нет.
Небольшие перикардиальные выпоты, связанные с перикардитами или идиопатические, ассоциируются с благоприятным прогнозом и низкой частотой осложнений [214]. Объем выпота коррелирует с прогнозом. Умеренные и большие выпоты в полость перикарда, характеризующиеся рецидивирующим течением, чаще взаимосвязаны с бактериальной или неопластической природой и неблагоприятным прогнозом. Идиопатические хронические выпоты у каждого третьего больного осложняются тампонадой сердца. Подострые выраженные выпоты также могут приводить к тампонаде сердца. Также значительной степени прогноз варьируется в зависимости от этиологии. Бактериальные, туберкулезные, связанные с раком и заболеваниями соединительной ткани, выпоты имеют худший прогноз, чем выпоты при идиопатическом перикардите [6].
Небольшие выпоты (<10 мм) обычно протекают бессимптомно и не требуют дальнейшего мониторирования [87]. Умеренный выпот (10–20 мл) после его разрешения требует ЭхоКГ-контроля каждые 6 мес, выраженный выпот — каждые 3 мес. ЭхоКГ-мониторирование приветствуется проводить на одном и том же аппарате и одного и того же исследователя.
Прогноз пациентов с миоперикардитом благоприятный, риск развития сердечной недостаточности и смерти в данной категории пациентов по данным ряда проспективных исследований не увеличен [1, 80, 215, 216].
Описаны случаи внезапной сердечной смерти после значительных физических нагрузок у военных и спортсменов, перенесших миоперикардит в течение 3–6 месяцев.
Рекомендуется проведение общего (клинического) анализа мочи и общего (клинического) анализа крови, развернутого с оценкой уровня гемоглобина и гематокрита, количества эритроцитов, лейкоцитов, тромбоцитов, скорости оседания эритроцитов у всех пациентов с перикардитом в рамках первичного обследования, в процессе динамического наблюдения каждые 6–12 месяцев и при поступлении в стационар [86, 1, 101, 6].
ЕОК нет (УУР C, УДД 5)
Рекомендуется проведение анализа крови биохимического общетерапевтического (исследование уровня калия, натрия, глюкозы, креатинина, общего белка, мочевины, общего билирубина, определение активности аспартатаминотрансферазы и аланинаминотрансферазы в крови, исследование уровня свободного трийодтиронина (СТ3), свободного тироксина (СТ4) и тиреотропного гормона (ТТГ) в крови, С-реактивного белка в крови) для оценки почечной и печеночной функции, исключения воспаления. Определение соотношения белковых фракций методом электрофореза. Исследование уровня общего холестерина крови, уровня холестерина липопротеидов низкой плотности (ХсЛНП) и триглицеридов (ТГ) с целью выявления фактора риска сопутствующего атеросклероза и, при необходимости, коррекции терапии. У всех пациентов с перикардитом в рамках первичного обследования и в процессе динамического наблюдения каждые 6–12 месяцев и при поступлении в стационар [27, 243].
ЕОК нет (УУР C, УДД 5)
Рекомендуется исследование уровня N-терминального фрагмента натрийуретического пропептида мозгового (NT-proBNP) в крови всем пациентам с перикардитом в рамках первичного обследования и далее каждые 6–12 месяцев с целью стратификации риска летальности [3, 203, 206].
ЕОК нет (УУР C, УДД 5)
Рекомендуется исследование выполнение коагулограммы (ориентировочного исследования системы гемостаза) (АЧТВ, ПТВ, ПИ, D-димер, фибриноген, антитромбин). Определение международного нормализованного отношения (МНО), резус-фактора, определение основных групп по системе AB0, определение антигена D системы Резус (резус-фактор), определение фенотипа по антигенам C, c, E, e, Cw, K, k и определение антиэритроцитарных антител для прогноза риска периоперационных кровотечений и величины кровопотери. Определение антигена (HbsAg) вируса гепатита B (Hepatitis B virus) в крови, определение антител к вирусу гепатита C (Hepatitis C virus) в крови, определение антител к бледной трепонеме (Treponema pallidum) в крови, определение антител классов M, G (IgM, IgG) к вирусу иммунодефицита человека ВИЧ-1 (Human immunodeficiency virus HIV 1) в крови, определение антител классов M, G (IgM, IgG) к вирусу иммунодефицита человека ВИЧ-2 (Human immunodeficiency virus HIV 2) в крови всем пациентам с перикардитом для исключения ассоциации с ВИЧ-инфекцией, гепатитом [13, 16, 26, 28, 33].
ЕОК нет (УУР C, УДД 5)
Рекомендовано проведение ультразвуковое исследование органов брюшной полости (комплексное) с целью оценки размеров и структуры органов брюшной послости [13, 16, 26, 28, 33].
ЕОК нет (УУР C, УДД 5)
6. Организация оказания медицинской помощи
6.1. Показания для плановой госпитализации
-
неясность диагноза и необходимость в специальных методах исследования (использование диагностических процедур, проведение которых невозможно или нецелесообразно в условиях поликлиники) для уточнения причины повышения перикардиального выпота;
-
трудности в подборе медикаментозной терапии (рецидивирующий перикардит).
6.2. Показания для экстренной госпитализации:
6.3. Показания к выписке пациента из стационара
6.4. Иные организационные технологии.
При анализе работы медицинской организации с пациентами с перикардитом целесообразно анализировать следующие показатели:
Рекомендовано госпитализация всем пациентам высокого риска развития негативного прогноза течения острого перикардита [171, 172]
ЕОК IВ (УДД 4 УУР C)
Рекомендовано амбулаторное ведение всем пациентам низкого риска развития негативного прогноза течения острого перикардита [171, 172]
ЕОК IВ (УДД 4 УУР C)
Рекомендована госпитализация пациентов с миоперикардитом для диагностики и мониторинга состояния [171, 172].
ЕОК IС (УДД 4 УУР C)
7. Дополнительная информация (в том числе факторы, влияющие на исход заболевания или состояния)
7.1. Синдромы после поражения сердца
Определение. Термин «синдромы после поражения сердца» (СППС) используется для обозначения перикардиальных синдромов, которые возникают после каких-либо повреждений оболочек сердечной мышцы. Они включают в себя возникновение перикардита после развития ИМ, постперикардиотомный синдром (ППТС) и посттравматический перикардит [18].
Особенности анамнеза. Патогенез подобных состояний связан, вероятнее всего, с аутоиммунными процессами, возникающими вследствие некроза миокарда, хирургических вмешательств (ППТ) либо травмы грудной клетки [17]. Обычно между заболеванием сердца и развитием перикардита проходит несколько недель, что в известной мере подтверждает аутоиммунный характер данных состояний. Однако для некоторых перикардитов (ранний постинфарктный, травматический) этот период может составлять всего 2-3 дня. Такие процессы, как кровоизлияния в перикард, рассечение плевры и перикарда при хирургических вмешательствах, являются существенными факторами, вызывающими проникновение аутоантигенов в системный кровоток и запускающими аутоиммунные реакции.
Клиническая картина. В настоящее время разработаны диагностические критерии [217], СППС, которые сформулированы следующим образом:
Важно подчеркнуть некоторое отличие критериев данных видов перикардитов от общепринятых. Это связано с нередким поражением перикарда и плевры при СППС. В некоторых случаях возможно даже развитие легочных инфильтратов [217]. После хирургических вмешательств на сердце и легких иногда возникают признаки наличия жидкости в полостях перикарда и/или плевры вследствие механического повреждения. Однако для того, чтобы диагностировать ППТС, необходимо также иметь признаки воспалительной реакции, которые чаще всего распознаются по повышению уровня СРБ.
Лабораторная и инструментальная диагностика. Для диагностики СППС применяются такие общеклинические методы, как физикальное обследование, ЭКГ. Рентгенография органов грудной клетки позволяет выявить увеличение сердечной тени, наличие жидкости в плевральной полости, легочные инфильтраты [18]. В случаях, вызывающих диагностические затруднения, используются МСКТ и МРТ сердца. Значительное место в диагностике СППС занимает ЭхоКГ, которая позволяет отличить увеличение сердечной тени, связанное с перикардиальным выпотом либо с поражением миокарда. При ИМ иногда имеют место оба процесса. Как уже указывалось, существенное значение имеют доказательства воспалительной природы обнаруженных изменений.
Особенности различных видов СППС
7.1.1. Перикардит после инфаркта миокарда
Выделены 3 вида изменений со стороны перикарда при остром ИМ:
-
Появление жидкости (выпот) в перикардиальной сорочке. Он может появиться в первые дни острого ИМ и связан с развитием острой сердечной недостаточности (ОСН). По мере уменьшения признаков ОСН выпот уменьшается или исчезает. Однако если размер выпота превышает 10 мм, следует подозревать развивающийся разрыв миокарда [218]
-
Ранний инфаркт-связанный перикардит (ранний постинфарктный перикардит). Он возникает на 2–4-й день после развития острого ИМ и по-прежнему является признаком значительного размера ИМ, чаще — передней стенки [219]. В настоящее время данный вид перикардита встречается редко, что связывают с ранней реперфузией путем чрескожного вмешательства (ЧКВ) и/или тромболизиса [219]. Обычно выслушивается шум трения перикарда, который сопровождается болевыми ощущениями, характерными для перикардита. У данной категории больных длительно регистрируется подъем сегмента ST или он возникает вновь с сохранением положительных зубцов Т. Иногда зубцы Т становятся вновь положительными после того, как уже наметилась их отрицательная фаза. Подобная ЭКГ-динамика может служить поводом заподозрить появление новых очагов ИМ. Однако клиническая картина развившегося перикардита с сохранением уровня биомаркеров ИМ позволяет исключить рецидив ИМ. Обычно перикардит носит фибринозный характер, но может сопровождаться появлением выпота
-
Поздний постинфарктный перикардит (дресслеровский), который развивается через 2–3 недели после возникновения ИМ. Частота его в настоящее время не превышает 1%, что также связывают с ранней реперфузией. Развитие данного вида перикардита проходит по типу аутоиммунной реакции и иногда сопровождается появлением эозинофилии в крови и плевритом (синдром Дресслера).
7.1.2. Постперикардиотомный (послеоперационный) перикардит
Перикардиальные выпоты после операций на сердце возникают в 25–30% случаев. Они появляются в первые дни после кардиохирургического вмешательства и протекают у 22% больных бессимптомно в течение приблизительно 2 недель [221]. В подобных случаях прогноз благоприятный. Применение у данной категории пациентов НПВП является излишним и может привести лишь к увеличению нежелательных явлений, связанных с фармакологическими особенностями данной группы лекарственных препаратов [222]. Однако в 10% случаев возникают выраженные выпоты, которые могут привести к тампонаде сердца [223]. Хотя данное осложнение может наблюдаться в течение 1 месяца после операции, чаще оно возникает в первые сутки после вмешательства и связано, как правило, с кровоизлиянием в полость перикарда. Возникновение тампонады сердца вследствие послеоперационного гемоперикарда требует экстренного повторного хирургического вмешательства. Следует отметить, что любое кардиохирургическое вмешательство, даже малоинвазивное (ЧКВ, имплантация электрокардиостимулятора, радиочастотная аблация и др.) могут сопровождаться развитием гемоперикарда и тампонады сердца вследствие перфорации сосуда или полостей сердца.
По данным анализа осложнений кардиостимуляции за 2011–2016 годы, проведенного К.А. Косоноговым и соавт., включавшем 2901 случай имплантации антиаритмических устройств, гемоперикард встречался в 0,2% случаев [224].
По данным систематического обзора D. van Osch et al., независимыми предикторами развития ППТС являлись молодой возраст, постоперационная трансфузия эритроцитарной массы и низкие преоперационные уровни гемоглобина и тромбоцитов [225]. Высокие значения индекса массы тела, напротив, ассоциировались со снижением риска развития ППТС [226].
По данным K. Gabaldo et al. наибольший риск развития ППТС наблюдался у пациентов, перенесших оперативное вмешательство на аорте и/или аортальном клапане (26%), существенно реже — после коронарного шунтирования (7,9%) и вмешательства на митральном клапане (8,3%) [227].
Несмотря на то, что риск развития тампонады сердца у пациентов с ППТС существенно выше (20,9% против 2,5%), 1-летняя выживаемость в данной категории пациентов значимо не отличалась от таковой у больных без ППТС (4,2% против 5,5%) [228]. С другой стороны, по данным Финского национального регистра, развитие ППТС после кардиохирургического вмешательства ассоциировалось с увеличением риска смерти к концу первого года наблюдения в 1,78 раза (95% ДИ 1,12–2,81; p = 0.014) [226].
По данным систематического обзора 2018 года, было показано, что в настоящее время недостаточно данных о возможной эффективности глюкокортикоидов в рамках профилактики ППТС [229].
В систематическом обзоре S.M. Yuan было показано, что наиболее часто в клинической практике для лечения ППТС применяются НПВП (59,2%), глюкокортикоиды (30,8%) и #Безвременника осеннего семян экстракт (9,8%) [230]. При этом среди НПВП в большинстве случаев используются #ацетилсалициловая кислота** (47,5%) и #ибупрофен** (31,4%), а среди глюкокортикоидов — #преднизолон** (56,3%) и #гидрокортизон** (42,6%) (Приложение А3).
В метаанализе 2019 года было установлено, что периоперационный прием #Безвременника осеннего семян экстракта ассоциировался со значимым снижением риска развития ППТС [231].
7.1.3. Травматический перикардиальный выпот
Приблизительно в 20–30% случаев после обширной травмы грудной клетки, особенно ее левой половины, появляются признаки перикардита. Проведение в подобных случаях ЭКГ, рентгенографии органов грудной клетки, ЭхоКГ позволяет уточнить диагноз, оценить размеры выпота и его гемодинамическую значимость. При отсутствии нарушений гемодинамики лечение данного состояния включает в себя применение противовоспалительной терапии. В жизнеугрожающих ситуациях производится экстренная торакотомия, которая имеет преимущество перед предварительным перикардиоцентезом [232, 233].
Ведение пациентов с СППС
Лечение данной категории больных основано на использовании противовоспалительной терапии, что снижает клинические проявления синдрома и уменьшает риск рецидивов. При отсутствии признаков системного воспаления #Безвременника осеннего семян экстракт и НПВП не рекомендуются, т.к. данная терапия не дает существенного эффекта при увеличении числа нежелательных лекарственных эффектов [222, 234]. В случае наличия признаков воспалительной реакции эти препараты показаны с терапевтической целью. #АСК** рекомендуется как препарат первого выбора при постинфарктном перикардите и у пациентов, получающих антитромбоцитарную терапию [1].
7.2. Идиопатический рецидивирующий перикардит
В последние годы показано, что идиопатический рецидивирующий перикардит (ИРП) может быть одним из ведущих симптомов целого ряда аутовоспалительных заболеваний, таких как средиземноморская лихорадка, периодический синдром, ассоциированный с мутацией гена рецептора фактора некроза опухоли альфа (TRAPS), болезнь Стилла и многих других [235, 236]. Высказано предположение, что в ряде случаев за клиническими проявлениями ИРП может стоять маломанифестная форма классических аутовоспалительных заболеваний, связанных с наличием низкопенентрантных мутаций. Эта гипотеза нашла свое подтверждение при проведении молекулярно-генетического обследования пациентов с TRAPS, выполненным в рамках регистра EUROFEVER. В частности, выявлены новые мутации гена TNFRSF1A (R92Q), для которых характерна низкая пенетрантность, клинически проявляющаяся мягко выраженным фенотипом с более поздним началом заболевания, неполной клинической картиной, протекающей атипично как по длительности атаки, так и по вовлечению в патологический процесс органов-мишеней с частой имитацией ИРП [237]. Пациенты-носители данного аллеля R92Q характеризуются отсутствием ответа на терапию #Безвременника осеннего семян экстракт, поэтому генетическое обследование пациентов с ИРП включено в рекомендации Европейского общества кардиологов 2015 года [1, 238]. Однако в связи редкой встречаемостью поражения перикарда при классической средиземноморской лихорадке генетическое обследование оправдано только в 3 случаях: при отсутствии эффекта от терапии #Безвременника осеннего семян экстракт, при формировании AA-амилоидоза и при появлении экстракардиальных симптомов, характерных для средиземноморской лихорадки.
Наиболее часто дифференциальный диагноз ИРП следует проводить с другим аутовоспалительным заболеванием, таким как болезнь Стилла взрослых. В настоящее время предложено несколько вариантов критериев диагностики данного заболевания [239, 240] (Табл. 3). Поражение сердца от субклинических до манифестных форм при этом заболевании встречается более чем в 50% случаев [241].
Критерии Yamaguchi 1992 [237] |
Критерии Fautrel 2002 [238] |
||
2 больших критерия и как минимум 5 малых |
4 и более больших критериев или 3 больших и 2 малых критерия |
||
Большие критерии |
Малые критерии |
Большие критерии |
Малые критерии |
Лихорадка ≥39oС, ≥1 недели Артралгии или артрит, ≥ 2 недель Папулезная незудящая сыпь цвета лосося Лейкоцитоз ≥ 10000/мм3 с нейтрофилезом ≥80% |
Боли в горле Лимфаденопатия Гепато- или спленомегалия Повышение трансаминаз Негативные АНФ и РФ |
Пиковая лихорадка ≥39oС Артралгии Преходящая эритема Фарингит Нейтрофилез ≥80% Гликозилированный ферритин ≤20% |
Макулопапулезная сыпь Лейкоцитоз ≥ 10000/мм3 |
7.3. Гидроперикард при эндокринных заболеваниях
Гидроперикард может развиваться при эндокринных заболеваниях, в частности, при патологии щитовидной железы. Наиболее частой причиной развития гидроперикарда среди эндокринных заболеваний является гипотиреоз.
Выраженность гидроперикарда зависит от степени тиреоидной недостаточности и продолжительности заболевания. Описаны случаи развития гидроперикарда у пациентов пожилого и старческого возраста с субклиническим гипотиреозом [244]. Тампонада сердца при гипотиреозе встречается редко в связи с медленным накоплением жидкости в полости перикарда [245, 246].
Клинические проявления включают как симптомы выпота в полость перикарда, так и гипотиреоза: одышку, боль в груди, слабость, отеки, брадикардию. Кроме того, к часто встречающимся симптомам гипотиреоза относятся сонливость, сухость кожных покровов, выпадение волос, замедленная речь, запоры, снижение памяти, зябкость, охриплость голоса, подавленное настроение. Часто развивается диастолическая артериальная гипертензия. Характерны такие внешние проявления, как общая и периорбитальная отечность, одутловатое лицо бледно-желтушного оттенка, скудная мимика [245]. Недооценка симптомов гипотиреоза у пациентов с гидроперикардом затрудняет установление причины и приводит к позднему началу эффективного лечения.
При лабораторно-инструментальном обследовании выявляются характерные для гипотиреоза выраженная дислипидемия, низкий вольтаж QRS, удлинение интервала QT на ЭКГ. Для диагностики выпота в полость перикарда с оценкой его объема рекомендовано использовать ЭхоКГ, более полную информацию дают КТ и МРТ.
При выявлении выпота в полость перикарда неизвестного происхождения следует прежде всего оценить функцию щитовидной железы, даже когда признаки и симптомы гипотиреоза отсутствуют [243, 247]. Важна своевременная диагностика гипотиреоза как причины развития гидроперикарда. Диагностику гипотиреоза рекомендуется начинать с исследования уровня тиреотропного гормона (ТТГ) в крови. Если уровень ТТГ повышен, следует провести исследование уровня свободного тироксина (СТ4) сыворотки крови и определение содержания антител к тиреопероксидазе в крови [248]. При манифестном гипотиреозе определяется повышенный уровень ТТГ и низкий уровень свободного тироксина (СТ4) в крови, при субклиническом гипотиреозе — повышенный уровень ТТГ.
Следует учитывать, что у больных гипотиреозом (и субклиническим и манифестным) существенно повышен риск ИБС и СН, что определяет сложности диагностики и выбора тактики ведения больных [249, 250].
В настоящее время недостаточно данных об особенностях ведения пациентов с гидроперикардом, обусловленным заболеваниями щитовидной железы. Начало лечения на ранней стадии заболевания и предотвращение осложнений (развития тампонады сердца) зависит от ранней диагностики гипотиреоза [27, 243].
В первую очередь всем пациентам с гипотиреозом и гидроперикардом показана заместительная терапия с целью достижения и поддержания нормального уровня ТТГ и тиреоидных гормонов в крови. Препаратом выбора для заместительной терапии является левотироксин натрия** в силу его эффективности, длительного опыта применения, высокой биодоступности, благоприятного профиля нежелательных явлений. Пациентам с сопутствующей кардиальной патологией рекомендуется начинать терапию с небольших доз (25 мкг ежедневно), с последующим повышением под контролем уровня ТТГ [243, 251].
Рекомендации по лечению гидроперикарда у пациентов с гипотиреозом основываются на данных клинических наблюдений, рандомизированные клинические исследования в этом направлении не проводились. Есть данные об эффективности применения АСК** и НПВП, #Безвременника осеннего семян экстракт, глюкокортикоидов [27, 252]. Однако необходимо учитывать, что дисфункция щитовидной железы может оказывать влияние не только на сердечно-сосудистую систему, но и на метаболизм лекарственных препаратов, их фармакокинетику и фармакодинамику, повышать риск лекарственных взаимодействий.
Известно, что некоторые НПВП могут оказывать влияние на уровень тиреоидных гормонов, затрудняя оценку эффективности заместительной терапии. Вместе с тем, по данным клинических наблюдений, подобное действие не выявлено при использовании #индометацина и #ибупрофена** [252].
При применении #Безвременника осеннего семян экстракт необходимо учитывать, что наличие гипотиреоза требует более осторожного подхода к выбору дозы препарата. Безвременника осеннего семян экстракт выводится через систему P-гликопротеина, экспрессия которой может уменьшаться при снижении функциональной активности щитовидной железы. У пациентов с гипотиреозом может уменьшаться выведение #Безвременника осеннего семян экстракта и увеличиваться его концентрация в плазме, что может приводить к развитию неблагоприятных эффектов (тошнота, диарея, миопатия, нарушения функции печени). Следует обратить внимание, что и гипотиреоз может вызывать развитие миопатии в 25–60% случаев, увеличивая вероятность неблагоприятного эффекта у пациентов, получающих #Безвременника осеннего семян экстракт [252]. В связи с этим у пациентов с гипотиреозом #Безвременника осеннего семян экстракт должен назначаться в меньших дозах, необходим тщательный мониторинг клинических симптомов миопатии, уровня креатинфосфокиназы (КФК). Рекомендовано рассмотреть возможность лечения #Безвременника осеннего семян экстракт до тех пор, пока уровень ТТГ достигнет нормального диапазона [27, 253].
Глюкокортикоиды могут применяться у пациентов с гидроперикардом, индуцированным гипотиреозом, при непереносимости или противопоказаниях к терапии с помощью АСК**, НПВП и #Безвременника осеннего семян экстракт, а также у пациентов с рецидивирующим перикардитом [252]. При этом необходим контроль за уровнем витамина D, т.к. и гипотиреоз, и глюкокортикоиды повышают риск развития остеопороза.
При гипертиреозе выпот в полость перикарда выявляется редко. Описаны случаи развития гидроперикарда у пациентов с выраженным тиреотоксикозом, симптомами застойной сердечной недостаточности, фибрилляцией предсердий [252]. У пациентов с болезнью Грейвса, получавших антикоагулянты (антитромботические средства) в связи с наличием фибрилляции предсердий, наблюдались случаи развития гемоперикарда [254]. Крайне редко встречается тампонада сердца.
Как и при гипотиреозе, у пациентов с гипертиреозом и гидроперикардом необходимо прежде всего лечение, направленное на достижение стойкого эутиреоза. Помимо антитиреоидных препаратов, могут использоваться #АСК**, НПВП, #Безвременника осеннего семян экстракт и/или глюкокортикоиды [27, 242, 244]. Следует учитывать, что при гипертиреозе повышается экспрессия P-гликопротеина, в связи с чем может потребоваться увеличение дозы лекарственных препаратов, в частности, #Безвременника осеннего семян экстракт [255].
7.4. Поражение перикарда при онкологических заболеваниях
Злокачественные опухоли являются наиболее распространенной причиной выпотного перикардита с гемодинамически значимым количеством перикардиальной жидкости. Ранняя диагностика и лечение злокачественного перикардита могут значительно улучшить прогноз пациента [256]. С другой стороны, нелеченый злокачественный выпот в перикарде является потенциально смертельным осложнением рака [257], особенно у пациентов с раком легких [258].
Распространенность онкологических заболеваний при экссудативном перикардите колеблется в пределах от 12 до 23% [46]. У пациентов с раком перикардиальный выпот развивается у 5–15% пациентов и чаще является проявлением поздней стадии заболевания [259]. Перикард может быть поражен прямым распространением опухоли или метастазированием через лимфатическую систему или кровь. Перикардиальный выпот также может развиться в результате химиотерапии, лучевой терапии или в результате оппортунистических инфекций [260, 261]. Опухоли перикарда включают первичные и вторичные раковые заболевания, а также доброкачественные новообразования. Первичные перикардиальные опухоли встречаются редко и составляют около 10% всех первичных опухолей сердца [262], причем их распространенность в общей популяции составляет от 0,001 до 0,007% [30]. Вторичные опухоли или прямое проникновение в перикард встречаются примерно в 1000 раз чаще [28, 263].
Злокачественная перикардиальная мезотелиома составляет 2–3% всех перикардиальных опухолей, и ее распространенность в общей популяции составляет <0,002%. Факторы риска включают воздействие асбеста, генетическую восприимчивость, инфекцию и радиационное облучение. Эта опухоль чаще встречается у мужчин, чем у женщин, и обычно проявляется в средних и поздних возрастных группах. Заболевание имеет плохой прогноз со средней продолжительностью жизни 6 месяцев [263–265].
Другие перикардиальные злокачественные новообразования включают лимфомы и саркомы. Саркомы редки, и подтипы включают ангиосаркому, фибросаркому, липосаркому, рабдомиосаркому, синовиальную саркому и недифференцированную саркому. При этой опухоли прогноз плохой: менее 1 года для всех пациентов [28].
Первичная сердечная лимфома составляет от 1% до 2% всех сердечных новообразований и представляет еще меньший процент от всех экстранодальных лимфом. Приблизительно 1 из 5 первичных лимфом сердца поражает пациентов с ослабленным иммунитетом. Первичные сердечные лимфомы преимущественно вовлекают правые камеры сердца и перикард [266, 267]. Хотя вначале они могут быть бессимптомными, их быстрый рост приводит к появлению симптомов, которые связаны либо с прямым распространением опухоли, либо с опухолевой эмболией. Первичные сердечные лимфомы хорошо реагируют на химиотерапию, схемы которой определяются в первую очередь типом лимфомы [267].
Поражение перикарда вторичными злокачественными опухолями чаще всего наблюдается при раке легких (29%), раке молочной железы (до 10%), злокачественной меланоме, лимфомах, остром миелобластном лейкозе, гораздо реже встречается поражение перикарда при раке желудочно-кишечного тракта, раке мочеполовой системы, остром лимфобластном лейкозе, хроническом миелобластном лейкозе, множественной миеломе [258].
Перикардиальные кисты (мезотелиальные кисты) и липомы являются наиболее распространенными доброкачественными перикардиальными образованиями, часто протекающими бессимптомно. Симптомы, если они возникают, связаны с компрессией и могут в этой ситуации потребовать хирургического удаления. Другие редкие и обычно доброкачественные перикардиальные опухоли включают липобластомы, параганглиомы, опухоли половых клеток, гемангиомы и фибромы [267].
Перикардит может быть маркером скрытого рака. По данным Датского регистра, более чем у 10% из 13 759 человек с перикардитом впоследствии был диагностирован рак [28]. В этом общенациональном когортном исследовании наблюдали более высокую, чем ожидалось, частоту рака легких, неходжкинской лимфомы и миелолейкоза в течение первых 3 месяцев после постановки диагноза перикардит. Несмотря на то, что избыточный риск снижался для нескольких видов рака после первых 3 месяцев, он, тем не менее, сохранялся при раке легкого, неходжкинской лимфоме и раке мочевого пузыря в течение нескольких лет после постановки диагноза перикардита [46].
Заболевания перикарда, связанные с методами лечения рака
Поражение перикарда, вызванное химиотерапией, обычно проявляется как перикардит, с или без ассоциированного миокардита [268]. Развитие перикардита как осложнения химиотерапии возможно при лечении следующими препаратами [268]:
Третиноин** вызывает синдром, характеризующийся лихорадкой, гипотонией, острой почечной недостаточностью и выпотным перикардитом. Высокие дозы бусульфана** могут вызывать перикардиальный и эндомиокардиальный фиброз через 4–9 лет после лечения [273]. Побочным эффектом химиотерапии может быть также развитие миоперикардита, что описано при лечении доксорубицином**, циклофосфамидом**, Третиноин** [28].
Выпотной или констриктивный перикардит также может иметь место у 6–30% пациентов после лучевой терапии [274]. Острый перикардит может возникнуть в течение нескольких дней или месяцев после лучевой терапии; это чаще констриктивный перикардит. Хронический лучевой перикардит часто является констриктивно-выпотным [261, 267].
Диагностика поражения перикарда при онкологических заболеваниях
Диагностика поражения перикарда при онкологических заболеваниях осуществляется с помощью методов визуализации, цитологии перикардиальной жидкости и биопсии.
Трансторакальная ЭхоКГ является методом выбора для первоначальной оценки пациентов с подозрением на перикардиальное заболевание. В большинстве случаев это позволяет не только диагностировать болезнь, но и направлять перикардиоцентез [268].
Трехмерная ЭхоКГ является предпочтительным методом для мониторинга функции ЛЖ и выявления перикардита у пациентов с раком. Преимущества включают более высокую точность определения фракции выброса левого желудочка, лучшую воспроизводимость и более низкую временную изменчивость по сравнению с двухмерной ЭхоКГ у пациентов с раком, получавших химиотерапию.
При ЭхоКГ «пропадание» эндокардиальной границы часто может наблюдаться у пациентов, проходящих химиотерапию (особенно у пациентов с раком молочной железы после мастэктомии и облучения грудной клетки). В этом случае методом выбора является контрастная ЭхоКГ. Согласно текущим рекомендациям, контраст следует использовать, когда 2 смежных сегмента левого желудочка плохо визуализируются на неконтрастных апикальных изображениях. Однако контрастная трехмерная ЭхоКГ не рекомендуется при длительном наблюдении пациентов с раком [268].
В некоторых случаях использование других методов визуализации, таких как КТ или МРТ сердца, может быть полезным дополнением к ЭхоКГ оценке. Их особенно следует учитывать при оценке первичных опухолей сердца, с или без перикардита, или когда диагноз констриктивного перикардита остается неопределенным после тщательной ЭхоКГ оценки. МРТ особенно полезна при определении наличия позднего усиления гадолиния для идентификации пациентов с кратковременной констрикцией, которые выиграют от агрессивных противовоспалительных схем, а не от перикардиэктомии [268].
Окончательный диагноз основан на подтверждении злокачественной инфильтрации перикарда цитологией перикардиальной жидкости или данными биопсии. Цитологический анализ выпота рекомендуется для подтверждения злокачественной природы заболевания (I, B) [275].
Биопсию перикарда и эпикарда следует рассмотреть для подтверждения злокачественного заболевания перикарда (IIa, B)
Комментарий. Злокачественные клетки идентифицируются с помощью анализа перикардиальной жидкости примерно только в 40% случаев [276]. Когда злокачественные клетки не могут быть идентифицированы цитологическим анализом, необходимо предположить другие механизмы. Выпот перикарда может быть связан с обструкцией лимфатической системы средостения путем инфильтрации опухоли или фиброза, вызванного радиотерапией. Другие возможные причины включают оппортунистические инфекции (цитомегаловирус, туберкулез, перикардит, Candida и Aspergillus), системные методы лечения, такие как алкилирующие агенты, местное воспаление, перикардит, вызванный радиацией в грудной клетке, или задержка жидкости, вызванная некоторыми химиопрепаратами [276].
Онкомаркеры (СА-19-9, СА-72-4) следует рассмотреть для различения доброкачественных и злокачественных выпотов (IIa, B) [256, 275]
Комментарий. Диагностическая значимость опухолевых маркеров недостаточно высока, так как ни один из них (раковый эмбриональный антиген, CYFRA 21-1, нейронспецифическая енолаза, СА-19-9, СА-72-4, SCC, GATA-3, сосудистый эндотелиальный фактор роста) не показал достаточную чувствительность и специфичность при разграничении доброкачественных и злокачественных выпотов [28]. Мутация рецептора эпидермального фактора роста имеет диагностическое и прогностическое значение у пациента со злокачественным выпотом при легочной аденокарциноме [28].
Лечение перикардита при онкологических заболеваниях обычно проводится в соответствии с рекомендациями. Однако надо учитывать, что многие больные раком могут иметь предрасположенность к кровотечению из-за нарушений гемостаза, вторичных по отношению к их заболеванию или лечению. Таким образом, может оказаться затруднительным проведение рутинной терапии, такой как нестероидные противовоспалительные препараты. В результате часто наблюдается более широкое и раннее использование других препаратов, например, #Безвременника осеннего семян экстракт и глюкокортикоидов, хотя это может не изменить результаты [28].
Общие принципы лечения перикардита при онкологических заболеваниях включают [277]:
-
Применение соответствующего системного противоопухолевого лечения в подтвержденных случаях неопластической этиологии (I, B) [278].
-
Перикардиоцентез рекомендуется при тампонаде сердца для снятия симптомов и установления диагноза злокачественного выпота (I, B).
Комментарий. Для пациентов с рецидивом перикардиального выпота повторный перикардиоцентез показан у пациентов с ограниченной ожидаемой продолжительностью жизни.
Комментарий. Расширенный перикардиальный дренаж уменьшает частоту рецидивов примерно до 10–20% [277]. У пациентов с более продолжительной ожидаемой продолжительностью жизни хирургический дренаж обеспечивает самый низкий уровень рецидивов. Хирургический подход к выполнению процедуры основан на месте выпота и клиническом состоянии. Субсифоидный и торакоскопический подходы приводят к сходным результатам [273].
Комментарий. Применение склерозирующих агентов также немного уменьшает частоту рецидивов, но сопровождается выраженным болевым синдромом и может привести к констриктивному перикардиту, что уменьшает полезность процедуры. Для интраперикардиальной инстилляции применяются различные склерозирующие агенты, такие как или #доксициклин**, #цисплатин**, #тиотепа, #митомицин**, #блеомицин** #митоксантрон** [257] (Приложение А3). Внутриперикардиальное введение #цисплатина** следует рассмотреть при поражении миокарда при раке легкого, внутриперикардиальное введение #тиотепы следует рассмотреть при перикардиальных метастазах при раке молочной железы (IIa, B) [257, 282, 283].
Лучевую терапию следует рассмотреть для контроля злокачественных выпотов у пациентов с радиочувствительными опухолями, такими как лимфомы и лейкемии (IIa, B) [277].
Комментарий. Однако лучевая терапия сердца сама может вызвать миокардит и перикардит.
Хирургическая перикардиотомия показана, когда перикардиоцентез не может быть выполнен (IIa, B).
Комментарий. Но этот метод связан с более высокой частотой осложнений и не улучшает результаты по сравнению с перикардиоцентезом [273], но он может быть выполнен, если анатомия не подходит для перикардиоцентеза (большое расстояние между кифозным отростком и перикардиальной полостью, увеличенная печень блокирует доступ к перикарду, солидная опухоль, прилипающая к перикарду) или предполагаемый объем жидкости ограничен по данным ЭхоКГ [276].
Чрескожная баллонная перикардиотомия может быть рассмотрена для предотвращения рецидивов злокачественного выпота (IIb, B) [283, 28].
Комментарий. Чрескожная баллонная перикардиотомия создает прямую связь между плевроперикардом и позволяет отводить жидкость в плевральное пространство: при больших злокачественных выпотах из перикарда и рецидивирующей тампонаде она эффективна (90–97%) и безопасна. Эта методика может быть рассмотрена в далеко зашедших случаях тяжелого злокачественного перикардиального выпота. Особенности этой процедуры делают ее особенно полезной для этой группы пациентов, чтобы избежать более агрессивных, плохо переносимых подходов, поскольку у них очень плохой прогноз в отношении их онкологического заболевания [284].
Создание перикардиального окна с помощью левой миниторакотомии может быть рассмотрено при хирургическом лечении злокачественной тампонады сердца (IIb, B) [285, 286].
Плевроперикардиотомия позволяет осуществить дренаж злокачественной перикардиальной жидкости в плевральное пространство. Это связано с более высокой частотой осложнений и не дает никаких преимуществ по сравнению с перикардиоцентезом или перикардиотомией [33].
Перикардиэктомия редко показана, главным образом при констрикции перикарда или при осложнениях предыдущих процедур. Хирургическое удаление перикарда технически сложно, и отдаленные результаты носят смешанный характер. Результаты хуже, если заболевание перикарда было вызвано лучевой терапией [28, 276, 204].
На практике лечение перикардита при онкологических заболеваниях обычно паллиативно и направлено на облегчение симптомов, а не на лечение лежащего в основе онкологического процесса. Однако возможны ситуации, когда лечение перикардита при раке может оказать положительное влияние на прогноз пациента [256, 277].
Прогноз пациентов с поражением перикарда при онкологической патологии
Текущие данные показывают, что наличие перикардиального выпота связано с высокой смертностью у онкологических больных. Наличие симптоматического перикардиального выпота свидетельствует о более прогрессирующем карциноматозном заболевании (особенно в случае солидных опухолей) с прямой инвазией в сердце или тяжелой инфильтрацией средостения. Перикардиальный выпот может быть диагностирован при отсутствии каких-либо ранее выявленных метастазов у одной трети пациентов, и он может быть более сильным прогностическим фактором исходов, чем метастазирование [276, 287].
Тип рака и характер выпота перикарда являются основными факторами, влияющими на длительную выживаемость пациентов, получивших хирургическое лечение. Время выживания в группе гематологических злокачественных новообразований значительно больше, чем в группе рака легкого и других раковых группах, продолжительность жизни в группе рака молочной железы значительно больше по сравнению с этим в группе легкого рака.
8. Критерии оценки качества медицинской помощи
| № | Критерий качества | Уровень убедительности рекомендаций | Уровень достоверности доказательств | ЕОК |
|---|---|---|---|---|
1. |
Выполнена регистрация 12-канальной электрокардиографии |
A |
3 |
IC |
2. |
Выполнено исследование концентрации тропонина Т и/или I, исследование уровня/активности изоферментов креатинкиназы в крови(КФК-MB) |
A |
3 |
IC |
3. |
Выполнен общий (клинический) анализ крови с определением СОЭ |
A |
3 |
IC |
4. |
Выполнено исследование уровня C-реактивного белка в сыворотке крови |
A |
3 |
IC |
5. |
Выполнена трансторакальная эхокардиография (ЭхоКГ) |
A |
3 |
IC |
6. |
Выполнена рентгенография органов грудной клетки |
A |
3 |
IC |
7. |
Выполнено КТ или МРТ органов грудной клетки пациентам в случаях подозрения на осумкованный перикардиальный выпот, утолщения перикарда, образования перикарда или патологию в грудной клетке (в случае отсутствия возможности выполнения направлен в медицинское учреждение для проведения МРТ и\или КТ) |
B |
3 |
IIaC |
8. |
Проведена терапия нестероидными противовоспалительными и противоревматическими препаратами (#ибупрофен**, #индометацин) или #ацетилсалициловой кислотой**) в качестве первой линии терапии |
A |
1 |
IА |
9. |
Выполнено назначение #Безвременника осеннего семян экстракт (источник алкалоида Колхицина) в качестве первой линии терапии у пациентов с рецидивирующим перикардитом |
A |
1 |
IА |
10. |
Выполнено ограничение физической нагрузки |
B |
5 |
IIaC |
11. |
Пациент взят под диспансерное наблюдение |
A |
3 |
IC |
Список литературы
-
Adler Y, Charron P, Imazio M et al. 2015 ESC guidelines for the diagnosis and management of pericardial diseases: The Task Force for the Diagnosis and Management of Pericardial Diseases of the European Society of Cardiology (ESC). Endorsed by: the European Association for Cardio-Thoracic Surgery (EACTS). Eur Heart J 2015;36:2921–64. doi:10.1093/eurheartj/ehv318
-
He Y, Sawalha AH. Drug-induced lupus erythematosus: an update on drugs and mechanisms. Curr Opin Rheumatol. 2018;30(5):490–7. https://doi.org/10.1097/BOR.0000000000000522
-
Zipes D, Libby P, Bonow R, Mann D, Tomaselli G. Braunwald’s Heart Disease: A textbook of cardiovascular medicine, 2-Volume Set 11th. Philadelphia: Elsevier; 2019.
-
Galluzzo A, Imazio M. Advances in medical therapy for pericardial diseases. Expert Rev Cardiovasc Ther. 2018;16(9):635–643. doi:10.1080/14779072.2018.1510315.
-
Maisch B, Rupp H, Ristic A, Pankuweit S. Pericardioscopy and epi- and pericardial biopsy — a new window to the heart improving etiological diagnoses and permitting targeted intrapericardial therapy. Heart Fail Rev 2013;18: 317–28. doi:10.1007/s10741-013-9382-y.
-
Chiabrando JG, Bonaventura A, Vecchié A et al. Management of acute and recurrent pericarditis: JACC state-of-the-art review. J Am Coll Cardiol. 2020;75(1):76–92. doi:10.1016/j.jacc.2019.11.021.
-
Ismail TF. Acute pericarditis: Update on diagnosis and management Clin Med (Lond). 2020;20(1):48–51. doi:10.7861/clinmed.cme.20.1.4.
-
Imazio M, Brucato A, Derosa FG et al. Aetiological diagnosis in acute and recurrent pericarditis: when and how. J Cardiovasc Med (Hagerstown) 2009;10:217–30. doi:10.2459/JCM.0b013e328322f9b1
-
Mager A, Berger D, Ofek H et al. Prodromal symptoms predict myocardial involvement in patients with acute idiopathic pericarditis. Int J Cardiol 2018; 270:197– 9. doi:10.1016/j.ijcard.2018.05.128.
-
Rey F, Delhumeau-Cartier C, Meyer P, Genne D. Is acute idiopathic pericarditis associated with recent upper respiratory tract infection or gastroenteritis? A case- control study. BMJ Open. 2015;5(11):e009141. doi:10.1136/bmjopen-2015-009141.
-
Hammer Y, Bishara J, Eisen A et al. Seasonal patterns of acute and recurrent idiopathic pericarditis. Clin Cardiol 2017;40:1152–5. doi:10.1002/clc.22804.
-
Noubiap JJ, Agbor VN, Ndoadoumgue AL et al. Epidemiology of pericardial diseases in Africa: a systematic scoping review. Heart. 2019;105(3):180–188. doi:10.1136/heartjnl-2018-313922
-
Isiguzo G, Du Bruyn E, Howlett P, Nysekhe M. Diagnosis and management of tuberculous pericarditis: What is new? Curr Cardiol Rep. 2020;22(1):2. doi:10.1007/s11886-020-1254-1
-
Klacsmann PG, Bulkley BH, Hutchins GM. The changed spectrum of purulent pericarditis: an 86 year autopsy experience in 200 patients. Am J Med 1977;63:666–73.
-
Skajaa N, Horváth-Puhó E, Adelborg K et al. Lack of seasonality in occurrence of pericarditis, myocarditis, and endocarditis. Ann Epidemiol. 2019;37:77–80. doi:10.1016/j.annepidem.2019.07.005
-
McNamara N, Ibrahim A, Satti Z, Ibrahim M, Kiernan TJ. Acute pericarditis: a review of current diagnostic and management guidelines. Future Cardiol. 2019;15(2):119–126. doi:10.2217/fca-2017-0102
-
Gouriet F, Levy PY, Casalta JP et al. Etiology of pericarditis in a prospective cohort of 1162 cases. Am J Med 2015;128:784. e1–8. doi:10.1016/j.amjmed.2015.01.040
-
Imazio M, Hoit BD. Post-cardiac injury syndromes. An emerging cause of pericardial diseases. Int J Cardiol 2013;168:648–52. https://doi.org/10.1016/j.ijcard.2012.09.052
-
Llubani R, Bohm M, Imazio M et al. The first post-cardiac injury syndrome reported following transcatheter aortic valve implantation: a case report. Eur Heart J Case Rep 2018;2(4):yty107. doi:10.1093/ehjcr/yty107
-
Lehto J, Gunn J, Karjalainen P et al. Incidence and risk factors of postpericardiotomy syndrome requiring medical attention: The Finland postpericardiotomy syndrome study. J Thorac Cardiovasc Surg 2015;149:1324–9. doi:10.1016/j.jtcvs.2015.01.031
-
Yukumi S, Ichiki H, Funada J et al. Postcardiac injury syndrome following vascular interventional radiofrequency ablation for paroxysmal atrial fibrillation. Respir Med Case Rep 2015;15:89–91. doi:10.1016/j.rmcr.2015.03.008
-
Han J, Zhang Y, Zhou D et al. Uncommon presentation of postcardiac injury syndrome induced by radiofrequency catheter ablation for atrial fibrillation: Only pulmonary parenchymal inflammation. J Cardiol Cases 2016;14:17–20. doi:10.1016/j.jccase.2016.03.002
-
Paiardi S, Cannata F, Ciccarelli M et al. Post-cardiac injury syndrome: an atypical case following percutaneous coronary intervention. Am J Emerg Med 2017;35912):1985.e2. doi:10.1016/j.ajem.2017.09.005
-
Li W, Sun J, Yu Y et al. Clinical features of post cardiac injury syndrome following catheter ablation of arrhythmias: Systematic review and additional cases. Heart Lung Circ 2019; 28(11):1689–96. doi:10.1016/j.hlc.2018.09.001
-
Montrief T, Davis WT, Koyfman A, Long B. Mechanical, inflammatory, and embolic complications of myocardial infarction: An emergency medicine review. Am J Emerg Med. 2019;37(6):1175–1183. doi:10.1016/j.ajem.2019.04.003
-
Lador A, Hasdai D, Mager A et al. Incidence and prognosis of pericarditis after ST- elevation myocardial infarction (from the Acute Coronary Syndrome Israeli Survey 2000 to 2013 Registry Database). Am J Cardiol. 2018;121(6):690–694. doi:10.1016/j.amjcard.2017.12.006
-
Chahine J, Ala CK, Gentry JL, Pantalone KM, Klein AL. Pericardial diseases in patients with hypothyroidism. Heart 2019;105:1027–33. doi:10.1136/heartjnl-2018- 314528
-
Ghosh AK, Crake T, Manisty C, Westwood M. Pericardial disease in cancer patients. Curr Treat Options Cardiovasc Med 2018;20(7):60. doi:10.1007/s11936-018-0654-7
-
Burazor I, Aviel-Ronen S, Imazio M et al. Primary malignancies of the heart and pericardium. Clin Cardiol. 2014; 37(9):582-8. https://doi.org/10.1002/clc.22295
-
Restrepo CS, Vargas D, Ocazionez D et al. Primary pericardial tumors. Radiographics.2013;33(6):1613–30. https://doi.org/10.1148/rg.336135512
-
Szpakowski N, Desai MY. Radiation-associated pericardial disease. Curr Cardiol Rep. 2019;21(9):97. doi:10.1007/s11886-019-1192-y
-
Imazio M, Colopi M, De Ferrari GM. Pericardial diseases in patients with cancer: contemporary prevalence, management and outcomes. Heart. 2020 Jan 24. pii: heartjnl- 2019-315852. doi:10.1136/heartjnl-2019-315852
-
Ala CK, Klein AL, Moslehi JJ. Cancer treatment-associated pericardial disease: epidemiology, clinical presentation, diagnosis, and management. Curr Cardiol Rep. 2019;21(12):156. doi:10.1007/s11886-019-1225-6.
-
Altan M, Toki MI, Gettinger SN et al. Immune checkpoint inhibitor-associated pericarditis. J Thorac Oncol 2019;14:1102–8. doi:10.1016/j.jtho.2019.02.026
-
Salem JE, Manouchehri A, Moey M et al. Cardiovascular toxicities associated with immune checkpoint inhibitors: an observational, retrospective, pharmacovigilance study. Lancet Oncol. 2018;19(12):1579–89. https://doi.org/10.1016/S1470-2045(18)30608-9
-
De Almeida DVP, Gomes JR, Haddad FJ, Buzaid AC. Immune mediated pericarditis with pericardial tamponade during nivolumab therapy. J Immunother. 2018; 41(7):329–331. https://doi.org/10.1097/CJI.0000000000000217
-
Yun S, Vincelette ND, Mansour I, Hariri D, Motamed S. Late onset ipilimumab-induced pericarditis and pericardial effusion: a rare but life threatening complication. Case Rep Oncol Med. 2015;2015:794842. https://doi.org/10.1155/2015/794842
-
Nesfeder J, Elsensohn AN, Thind M, Lennon J, Domsky S. Pericardial effusion with tamponade physiology induced by nivolumab. Int J Cardiol. 2016;222:613–4. https://doi.org/10.1016/j.ijcard.2016.08.023
-
Kushnir I, Wolf I. Nivolumab-induced pericardial tamponade: a case report and discussion. Cardiology. 2017;136(1):49–51. https://doi.org/10.1159/000447053.
-
Hu JR, Florido R, Lipson EJ et al. Cardiovascular toxicities associated with immune checkpoint inhibitors. Cardiovasc Res. 2019; 115(5):854–868. https://doi.org/10.1093/cvr/cvz026
-
Imazio M, Demichelis B, Cecchi E, Belli R, Ghisio A, Bobbio M, Trinchero
-
Bonnefoy E, Godon P, Kirkorian G, Fatemi M, Chevalier P, Touboul P. Serum cardiac troponin I and ST-segment elevation in patients with acute pericarditis. Eur Heart J. 2000; 21: 832–836.
-
Imazio M, Trinchero R. Myopericarditis: etiology, management, and prognosis. Int J Cardiol. 2008; 127: 17–26.
-
Скрипка А.И., Бучнева А.В., Ванхин В.В., Лисянская Н.В., Бабырэ В.В., Сенчихин П.В., Соколова А.А., Напалков Д.А., Фомин В.В. Клиническое наблюдение: туберкулезный миоперикардит в практике врача кардиолога. Рациональная фармакотерапия в кардиологии. 2018. Т. 14. № 5. С. 691–698.
-
Saricam E, Saglam Y, Hazirolan T. Clinical evaluation of myocardial involvement in acute myopericarditis in young adults. BMC Cardiovasc Disord. 2017 May 22;17(1):129. doi:10.1186/s12872-017-0564-8
-
Søgaard KK, Farkas DK, Ehrenstein V et al. Pericarditis as a marker of occult cancer and a prognostic factor for cancer mortality. Circulation. 2017;136(11):996–1006. doi.org/10.1161/circulationaha.116.024041
-
Søgaard KK, Sørensen HT, Smeeth L, Bhaskaran K. Acute pericarditis and cancer risk: A matched cohort study using linked UK primary and secondary care data. J Am Heart Assoc. 2018 Aug 21;7(16):e009428. doi:10.1161/JAHA.118.009428
-
Imazio M, Gaita F. Diagnosis and treatment of pericarditis. Heart. 2015;101(14):1159–68. doi:10.1136/heartjnl-2014-306362
-
Brucato A, Imazio M, Cremer PC et al. Recurrent pericarditis: still idiopathic? The pros and cons of a well-honoured term. Intern Emerg Med 2018;13:839–44. doi:10.1007/s11739-018-1907-x
-
Abu Fanne R, Banai S, Chorin U et al. Diagnostic yield of extensive infectious panel testing in acute pericarditis. Cardiology. 2011;119:134–9. doi:10.1159/000330928
-
Fallek Boldes O, Dahan S, Segal Y et al. Characteristics of pericardial biopsy: 100 cases in a single center. Isr Med Assoc J. 2019;21(3):183–188.
-
Young PM, Glockner JF, Williamson EE et al. MR imaging findings in 76 consecutive surgically proven cases of pericardial disease with CT and pathologic correlation. Int J Cardiovasc Imaging 2012;28:1099–109.
-
Mutyaba AK, Balkaran S, Cloete R, du Plessis N, Badri M, Brink J, Mayosi BM. Constrictive pericarditis requiring pericardiectomy at Groote Schuur Hospital, Cape Town, South Africa: causes and perioperative outcomes in the HIV era (1990–2012) J Thorac Cardiovasc Surg 2014;148:3058–65.
-
Imazio M, Brucato A, Maestroni S, Cumetti D, Belli R, Trinchero R, Adler Y. Risk of constrictive pericarditis after acute pericarditis. Circulation 2011;124:1270–75.
-
Itay Zmora, YonitWiener-Well, Evan Avraham Alpert. A case of purulent pneumococcal pericarditis. American Journal of Emergency Medicine 37 (2019) 1006.e5–1006.e7
-
Maedeh Ganjia, Jose Ruiza, William Koglerb,*, Joshua Lungb, Jarelys Hernandezb, Carmen Isache. Methicillin-resistant Staphylococcus aureus pericarditis causing cardiac tamponade. IDCases 18 (2019) e00613
-
Aishwarya Vijay, John C. Stendahl, Lynda E. Rosenfeld. Mycoplasma Pneumoniae Pericarditis. The American Journal of Cardiology 2019. 1384.
-
Yoshihiko Kiyasu, Daiki Akiyama, Yoko Kurihara, Hiroshi Koganemaru, Shigemi Hitomi. Pericarditis caused by Campylobacter fetus subspecies fetus associated with ingestion of raw beef liver. J Infect Chemother 23 (2017) 833–836.
-
Takashi Shinhaa, Hiroshi Fujita. Pericarditis due to Neisseria meningitidis serogroup W135. IDCases 12 (2018) 53–55.
-
Tuck BC, Townsley MM. Clinical update in pericardial diseases. J Cardiothorac Vasc Anesth. 2019;33(1):184–199. doi:10.1053/j.jvca.2018.04.003
-
Schwier NC, Cornelio CK, Epperson TM. Managing acute and recurrent idiopathic pericarditis. JAAPA. 2020;33(1):16–22. doi:10.1097/01.JAA.0000615468.46936.6d
-
Imazio M, Gaita F. Acute and recurrent pericarditis. Cardiol Clin. 2017;35(4):505–513. doi:10.1016/j.ccl.2017.07.004.
-
Brady WJ, Perron AD, Martin ML, Beagle C, Aufderheide TP. Cause of ST segment abnormality in ED chest pain patients. Am J Emerg Med. 2001;19(1):25–8.
-
Kytö V, Sipilä J, Rautava P. Clinical profile and influences on outcomes in patients hospitalized for acute pericarditis. Circulation. 2014;130:1601–1606. doi:10.1161/CIRCULATIONAHA.114.010376
-
Sagrista-Sauleda J, Barrabes JA, Permanyer-Miralda G, Soler-Soler J. Purulent pericarditis: review of a 20-year experience in a general hospital. J Am Coll Cardiol 1993;22:1661–5.
-
Obihara NJ, Walters E, Lawrenson J et al. Tuberculous pericardial effusions in children. J Pediatric Infect Dis Soc. 2018;7(4):346–349. doi:10.1093/jpids/pix087
-
Imazio M, Gribaudo E, Gaita F. Recurrent pericarditis. Prog Cardiovasc Dis 2017;59:360–8. doi:10.1016/j.pcad.2016.10.001
-
Mody P, Bikdeli B, Wang Y, Imazio M, Krumholz HM. Trends in acute pericarditis hospitalizations and outcomes among the elderly in the United States, 1999–2012. Eur Heart J Qual Care Clin Outcomes 2018; 4(2):98–105.
-
Rees MJ, Wilson A. Purulent pneumococcal pericarditis, a vaccine-preventable illness. Oxf Med Case Reports. 2019;2019(8):omz078. doi:10.1093/omcr/omz078
-
Agbor VN, Essouma M, Ntusi NAB et al. Heart failure in sub-Saharan Africa: a contemporaneous systematic review and meta-analysis. Int J Cardiol 2018;257:207–15. doi:10.1016/j.ijcard.2017.12.048
-
Kumar N, Pandey A, Jain P, Garg N. Acute pericarditis-associated hospitalization in the USA: a nationwide analysis, 2003-2012. Cardiology. 2016;135(1):27–35.
-
Xie D, Cheng B, Sheng Y, Jin J. Diagnostic accuracy of adenosine deaminase for tuberculous pericarditis: a meta-analysis. Eur Rev Med Pharmacol Sci. 2015;19(22):4411–8.
-
Fangming Zhonga, 1, Tao Daib,1, Yu Sheng. Correlation study between ADA and IFN-γ gene polymorphisms and the risk of developing tuberculous pericarditis. Gene 676 (2018) 214–218.
-
Christel Gerardin, Arthur Mageau, Khadija Benali et al. Increased FDG-PET/CT pericardial uptake identifies acute pericarditis patients at high risk for relapse. International Journal of Cardiology 271 (2018) 192–194.
-
Jotam G. Pasipanodya, Mwenya Mubanga, Mpiko Ntsekhe, Shaheen Pandie, Beki T. Magazi, Freedom Gumedze, Landon Myer, Tawanda Gumbo, Bongani M. Mayosi. Tuberculous Pericarditis is Multibacillary and Bacterial Burden Drives High Mortality. EBioMedicine 2 (2015) 1634–1639.
-
Письмо Минздрава России от 19.01.2009 г. № 14-6/10/2-178 «О порядке выдачи и заполнения медицинских свидетельств о рождении и смерти».
-
Письмо Минздрава России от 26.04.2011 г. № 14-9/10/2-4150 «Об особенностях кодирования некоторых заболеваний класса IX МКБ-10».
-
Зайратьянц О.В. и соавт. Методические рекомендации Департамента здравоохранения города Москвы «Правила формулировки патологоанатомического диагноза, выбора и кодирования по МКБ-10 причин смерти». №№ 45-56, 2019. www.mosgorzdrav.ru
-
Farzad A, Schussler JM. Acute Myopericardial Syndromes. Cardiol Clin. 2018 Feb;36(1):103–114. doi:10.1016/j.ccl.2017.09.004
-
Imazio M, Cooper LT. Management of myopericarditis. Expert Rev Cardiovasc Ther. 2013 Feb;11(2):193–201. doi:10.1586/erc.12.184
-
Hussain R, Halmai L, Subkovas E. Unexpected sudden death in a young man with myopericarditis — a case report. J Ayub Med Coll Abbottabad. 2015 Jan-Mar;27(1):239–40.
-
Yanhong Ren a, Junke Qiu, Zelin Li , Cheng Li. P-wave terminal force in lead V1 is a predictive indicator for the diagnosis of tuberculous constrictive pericarditis. Heart & Lung 48 (2019) 155–158.
-
Gentry J, Klein AL, Gellis CL.Transient Constrictive Pericarditis: Current Diagnostic and Therapeutic Strategies. Curr Cardiol Rep. 2016;18(5): 41.
-
Miranda WR, Oh JK. Effusive-constrictive pericarditis. Cardiol Clin 2017;35:551–8.
-
Ntsekhe M., Wiysonge C.S., Commerford P.J., Mayosi B.M. The prevalence and outcome of effusive constrictive pericarditis: a systematic review of the literature Cardiovasc. J. Afr. 2012;23:281–85.
-
Imazio M, Lazaros G, Brucato A, Gaita F. Recurrent pericarditis: new and emerging therapeutic options. Nature Reviews Cardiology. 2015;13(2):99–105.
-
Imazio M, Adler Y. Management of pericardial effusion. Eur Heart J 2013;34:1186–1197.
-
Vakamudi S, Ho N, Cremer PC. Pericardial Effusions: Causes, Diagnosis, and Management. Prog Cardiovasc Dis. 2017 Jan — Feb;59(4):380–388. doi:10.1016/j.pcad.2016.12.009
-
Ristic´ AD, Imazio M, Adler Y, Anastasakis A, Badano LP, Brucato A, Caforio AL, Dubourg O, Elliott P, Gimeno J, Helio T, Klingel K, Linhart A, Maisch B, Mayosi B, Mogensen J, Pinto Y, Seggewiss H, Seferovic´ PM, Tavazzi L, Tomkowski W, Charron P. Triage strategy for urgent management of cardiac tamponade: a position statement of the European Society of Cardiology Working Group on Myocardialand Pericardial Diseases. Eur Heart J 2014;35:2279–2284.
-
Imazio M. Pericardial involvement in systemic inflammatory diseases. Heart 2011;97:1882–1892.
-
Hoit BD. Pericardial Effusion and Cardiac Tamponade in the New Millennium. Curr Cardiol Rep. 2017 Jul;19(7):57. doi:10.1007/s11886-017-0867-5
-
Bari G, Érces D, Varga G, Szűcs S, Bogáts G. Pathophysiology, clinical and experimental possibilities of pericardial tamponade. Orv Hetil. 2018 Feb;159(5):163– 167. doi:10.1556/650.2018.30958
-
Imazio M, Brucato A, Mayosi BM, Derosa FG, Lestuzzi C, Macor A, Trinchero R, Spodick DH, Adler Y. Medical therapy of pericardial diseases: part I: idiopathic and infectious pericarditis. J Cardiovasc Med (Hagerstown) 2010;11:712–722.
-
Goldstein JA. Cardiac tamponade in the interventional era: A paradigm shift in etiology and outcomes. Catheter Cardiovasc Interv. 2020 Feb 15;95(3):387–388. doi:10.1002/ccd.28764
-
Herzog E., ed. Management of Pericardial Disease. Springer International Publishing Switzerland 2014, p. 182.
-
Montera MW, Mesquita ET, Colafranceschi AS et al. I Brazillan Guidelines on Myocarditis and Pericarditis Arq. Bras. Cardiol. 2013;100 (4 Suppl. 1):1–36.
-
Chang SA. Tuberculous and infectious pericarditis. Cardiol Clin 2017;35:615–22
-
Imazio M, Spodick DH, Brucato A, Trinchero R, Adler Y. Controversial issues in the management of pericardial diseases. Circulation 2010;121: 916–28.
-
Leitman M, Bachner-Hinenzon N, Adam D et al. Speckle tracking imaging in acute inflammatory pericardial diseases. Echocardiography 2011;28:548–55.
-
Raatikka M, Pelkonen PM, Karjalainen J, Jokinen EV. Recurrent pericarditis in children and adolescents: report of 15 cases. J Am Coll Cardiol 2003; 42(4):759–764.
-
Мячикова В.Ю., Титов В.А., Маслянский А.Л., Моисеева О.М. Идиопатический рецидивирующий перикардит — смена парадигмы? Российский кардиологический журнал. 2019;24(11):155–163.
-
Chetrit M, Xu B, Verma BR, Klein AL. Multimodality Imaging for the Assessment of Pericardial Diseases. Curr Cardiol Rep 2019;21:41.
-
Wiysonge CS, Ntsekhe M, Thabane L, Volmink J, Majombozi D, Gumedze F, Pandie S, Mayosi BM. Interventions for treating tuberculous pericarditis (Review). Cochrane Data base of Systematic Reviews 2017, Issue 9. Art. No.: CD000526.
-
Bian S, Zhang Y, Zhang L, Shi X and Liu X. Diagnostic Value of Interferon-gamma Release Assays on Pericardial Effusion for Diagnosis of Tuberculous Pericarditis. PLoS One. 2016;11: e0165008.
-
Lazaros G, Tousoulis D. Tuberculous Pericarditis: A Complex Puzzle to Put Together. EBioMedicine 2 (2015) 1570–1571
-
Lazaros G, Antonopoulos A.S., Imazio M, Solomou E, Lazarou E, Vassilopoulos D, Adler Y, Stefanadis C, Tousoulis D. Clinical significance of pleural effusions and association with outcome in patients hospitalized with a first episode of acute pericarditis. Internal and Emergency Medicine (2019) 14:745–751.
-
Cosyns B, Garbi M, Separovic J, Pasquet A, Lancellotti P. Education Committee of the European Association of Cardiovascular Imaging A. Update of the echocardiography core syllabus of the European Association of Cardiovascular Imaging (EACVI). Eur Heart J Cardiovasc Imaging 2013; 14:837–9.
-
Adler Y, Charron P, Imazio M, Badano L, Baron-Esquivias G, Bogaert J, Brucato A, Gueret P, Klingel K, Lionis C. ESC guidelines for the diagnosis and management of pericardial diseases. European Heart Journal 2015 36 2921–2964.
-
Imazio M, Adler Y, Charron P. Recurrent pericarditis: modern approach in 2016. Current Cardiology Reports 2016 18 1–8.
-
Main ML, Ryan AC, Davis TE, Albano MP, Kusnetzky LL, Hibberd M. Acute mortality in hospitalized patients undergoing echocardiography with and without an ultrasound contrast agent (multicenter registry results in 4,300,966 consecutive patients). Am J Cardiol 2008;102:1742–6.
-
Mor-Avi V, Lang RM, Badano LP, Belohlavek M, Cardim NM, Derumeaux G et al. Current and evolving echocardiographic techniques for the quantitative evaluation of cardiac mechanics: ASE/EAE consensus statement on methodology and indications endorsed by the Japanese Society of Echocardiography. Eur J Echocardiogr 2011;12:167–205.
-
Alharthi MS, Jiamsripong P, Calleja A, Sengupta PP, McMahon EM, Khandheria B et al. Selective echocardiographic analysis of epicardial and endocardial left ventricular rotational mechanics in an animal model of pericardial adhesions. Eur J Echocardiogr 2009;10: 357–62.
-
Sengupta PP, Narula J. Reclassifying heart failure: predominantly subendocardial, subepicardial, and transmural. Heart Fail Clin 2008;4:379–82.
-
Tanaka H, Oishi Y, Mizuguchi Y, Miyoshi H, Ishimoto T, Nagase N et al. Contribution of the pericardium to left ventricular torsion and regional myocardial function in patients with total absence of the left pericardium. J Am Soc Echocardiogr 2008; 21: 268–74.
-
Bertog SC, Thambidorai SK, Parakh K, Schoenhagen P, Ozduran V, Houghtaling PL, Lytle BW, Blackstone EH, Lauer MS, Klein AL. Constrictive pericarditis: etiology and cause-specific survival after pericardiectomy. Journal of the American College of Cardiology 2004; 43: 1445–1452.
-
Oh JK, Hatle LK, Seward JB, Danielson GK, Schaff HV, Reeder GS, Tajik AJ. Diagnostic role of Doppler echocardiography in constrictive pericarditis. Journal of the American College of Cardiology 1994; 23:154–162.
-
Reuss CS, Wilansky SM, Lester SJ, Lusk JL, Grill DE, Oh JK, Tajik AJ. Using mitral “annulus reversus” to diagnose constrictive pericarditis. European Journal of Echocardiography 2009; 10: 372–375.
-
Welch TD, Ling LH, Espinosa RE, Anavekar NS, Wiste HJ, Lahr BD, Schaff HV, Oh JK. Echocardiographic diagnosis of constrictive pericarditis Mayo Clinic criteria. Circulation: Cardiovascular Imaging 2014; 7: 526–534.
-
Kusunose K, Dahiya A, Popović ZB, Motoki H, Alraies MC, Zurick AO, Bolen MA, Kwon DH, Flamm SD, Klein AL. Biventricular mechanics in constrictive pericarditis comparison with restrictive cardiomyopathy and impact of pericardiectomy. Circulation: Cardiovascular Imaging 2013; 6: 399–406.
-
Welch TD, Oh JK. Constrictive Pericarditis Cardiol Clin. 2017 Nov;35(4):539–549.
-
Akiyama K, Itatani K, Yamashita A, Sawa T. Visualization of suppressed intraventricular flow by constrictive pericarditis J Clin Anesth. 2017 Nov;42:40–41.
-
Sengupta PP, Mohan JC, Mehta V, Arora R, Khandheria BK, Pandian NG. Doppler tissue imaging improves assessment of abnormal interventricular septal and posterior wall motion in constrictive pericarditis J. Am. Soc. Echocardiogr 2005;18:226–230.
-
Veress G, Ling LH, Kim KH, Dal-Bianco JP, Schaff HV, Espinosa RE et al. Mitral and tricuspid annular velocities before and after pericardiectomy in patients with constrictive pericarditis Circ. Cardiovasc. Imaging 2011;4:399–407.
-
Dal-Bianco JP et al. Role of echocardiography in the diagnosis of constrictive pericarditis J. Am. Soc. Echocardiogr. 2009;22(1):24–33.
-
Sohn DW, Kim YJ, Kim HS, Kim KB, Park YB, Choi YS. Unique features of early diastolic mitral annulus velocity in constrictive pericarditis J. Am. Soc. Echocardiogr. 2004;17:222–226.
-
Sengupta PP, Mohan JC, Mehta V, Arora R, Pandian NG, Khandheria BK. Accuracy and pitfalls of early diastolic motion of the mitral annulus for diagnosing constrictive pericarditis by tissue Doppler imaging. Am. J. Cardiol. 2004;93:886–890.
-
Ha JW, Ommen S.R., Tajik AJ, Barnes ME, Ammash NM, Gertz MA et al. Differentiation of constrictive pericarditis from restrictive cardiomyopathy using mitral annular velocity by tissue Doppler echocardiography. Am. J. Cardiol. 2004;94:316– 319.
-
Choi EY, Ha JW, Kim J.M., Ahn JA, Seo HS, Lee JH et al. Incremental value of combining systolic mitral annular velocity and time difference between mitral inflow and diastolic mitral annular velocity to early diastolic annular velocity for differentiating constrictive pericarditis from restrictive cardiomyopathy. J. Am. Soc. Echocardiogr. 2007;20:738–743.
-
Veress G et al. Echocardiography in pericardial diseases: new developments Heart Fail Rev. 2013;8(3):267–75.
-
Oh JK, Tajik AJ, Appleton CP, Hatle LK, Nishimura RA, Seward JB. Preload reduction to unmask the characteristic Doppler features of constrictive pericarditis. A new observation. Circulation. 1997;95:796–9.
-
Wann L.S., Weyman A.E., Dillon J.C., Feigenbaum H. Premature pulmonary valve opening. Circulation. 1977;55:128–33.
-
Klein A.L. et al. American Society of Echocardiography Clinical Recommendations for Multimodality Cardiovascular Imaging of Patients with Pericardial Disease. J. Am. Soc. Echocardiogr. 2013;26:965–1012.
-
Alajaji W et al. Noninvasive Multimodality Imaging for the Diagnosis of constrictive pericarditis. Circ Cardiovasc Imaging. 2018;11(11):e007878.
-
Welch TD et al. Modern Echocardiographic Diagnosis of Constrictive Pericarditis. JACC. 2013;61(10):e1278.
-
von Bibra H, Schober K, Jenni R, Busch R, Sebening H, Blomer H. Diagnosis of constrictive pericarditis by pulsed Doppler echocardiography of the hepatic vein. Am. J. Cardiol. 1989;63:483–488.
-
Imazio M, Cecchi E, Demichelis B, Ierna S, Demarie D, Ghisio A, Pomari F, Coda L, Belli R, Trinchero R. Indicators of poor prognosis of acute pericarditis. Circulation 2007;115:2739–2744.
-
Lilly LS. Treatment of acute and recurrent idiopathic pericarditis. Circulation 2013; 127:1723–1726.
-
Mayosi BM. Contemporary trends in the epidemiology and management of cardiomyopathy and pericarditis in sub-Saharan Africa. Heart 2007;93:1176–1183.
-
Imazio M, Battaglia A, Gaido L, Gaita F. Recurrent pericarditis. Rev Med Interne. 2017 May;38(5):307–311. doi:10.1016/j.revmed.2016.12.006
-
Imazio M, Brucato A, Mayosi BM, Derosa FG, Lestuzzi C, Macor A, Trinchero R, Spodick DH, Adler Y. Medical therapy of pericardial diseases: part II: noninfectious pericarditis, pericardial effusion and constrictive pericarditis. J Cardiovasc Med (Hagerstown) 2010;11:785–794.
-
Rehman KA, Betancor J, Xu B, Kumar A, Rivas CG, Sato K, Wong LP, Asher CR, Klein AL. Uremic pericarditis, pericardial effusion, and constrictive pericarditis in end-stage renal disease: insights and pathophysiology. Clinical Cardiology 2017; 40: 839–846.
-
Appleton CP, Hatle LK & Popp RL. Cardiac tamponade and pericardial effusion: respiratory variation in transvalvular flow velocities studied by Doppler echocardiography. Journal of the American College of Cardiology 1988; 116: 1020– 1030.
-
Kim KH, Miranda WR, Sinak LJ, Syed FF, Melduni RM, Espinosa RE, Kane GC, Oh JK. Effusive-constrictive pericarditis after pericardiocentesis: incidence, associated findings, and natural history. JACC Cardiovascular Imaging 2018; 11: 534–541.
-
Ling LH, Oh JK, Breen JF, Schaff HV, Danielson GK, Mahoney DW et al. Calcific constrictive pericarditis: is it still with us? Ann Intern Med 2000;132:444–50.
-
Cremer PC, Kumar A, Kontzias A, Tan CD, Rodriguez ER, Imazio M, Klein AL. Complicated pericarditis understanding risk factors and pathophysiology to inform imaging and treatment. Journal of the American College of Cardiology 2016; 68:2311– 2328.
-
Bogaert J, Francone M. Cardiovascular magnetic resonance in pericardial diseases. J Cardiovasc Magn Reson 2009;11:14.
-
Misselt AJ, Harris SR, Glockner J, Feng D, Syed IS, Araoz PA. MR imaging of the pericardium. Magn Reson Imaging Clin N Am 2008;16:185–199.
-
Alter P, Figiel JH, Rupp TP, Bachmann GF, Maisch B, Rominger MB. MR, CT, and PET imaging in pericardial disease. Heart Fail Rev 2013;18:289–306.
-
Cosyns B, Plein S, Nihoyanopoulos P, Smiseth O, Achenbach S, Andrade MJ, Pepi M, Ristic A, Imazio M, Paelinck B, Lancellotti P; on behalf of the European Association of Cardiovascular Imaging (EACVI) and European Society of Cardiology Working Group (ESC WG) on Myocardial and Pericardial diseases. European Association of Cardiovascular Imaging (EACVI) position paper: multimodality imaging in pericardial disease. Eur Heart J Cardiovasc Imaging 2014;16:12–31.
-
Imazio M. Contemporary management of pericardial diseases. Curr Opin Cardiol 2012;27:308–317.
-
Bogaert J, Francone M. Pericardial disease: value of CT and MR imaging. Radiology 2013;267:340–356.
-
Харрисон Т.Р. и др. Под ред. Д. Лонго в 10 томах. М.: Практика; McGraw- Hill, 2019.
-
Rajiah P, Kanne JP. Computed tomography of the pericardium and pericardial disease. J. Cardiovasc. Comput. Tomogr. 2010;4:3–18.
-
Edwards W et al. Constrictive pericarditis in 26 patients with histologically normal pericardial thickness. Circulation. 2003;108:1852–57.
-
Манафов С.С., Аббасов Ф.Э., Гейбатов И.Д. Компьютерная томография в диагностике перикардитов в различных фазах его развития // Медицинская визуализация. 2009. №6. С. 53–57.
-
Amal L et al. Use magnetic resonance imaging in assessment of constrictive pericarditis: a Moroccan center experience. Int Arch Med. 2011;4(1):36.
-
Ariyarjah V et al. The utility of cardiovascular magnetic resonance in constrictive pericardial disease. Cardiol Rev. 2009;17(2):77–82.
-
Taylor AM, Dymarkowski S, Verbeken EK, Bogaert J. Detection of pericardial inflammation with late-enhancement cardiac magnetic resonance imaging: initial results. Eur. Radiol. 2006;16:569–574.
-
Thavendiranathan P, Verhaert D, Walls MC, Bender JA, Rajagopalan S, Chung YC et al. Simultaneous right and left heart real-time, free-breathing CMR flow quantification identifies constrictive physiology. JACC Cardiovasc. Imaging. 2012;5:15–24.
-
Oh JK, Chang SA, Choe YH, Young PM. CMR imaging for diastolic hemodynamic assessment fantasy or reality? JACC Cardiovasc. Imaging. 2012;5:25– 27.
-
Francone M, Dymarkowski S, Kalantzi M, Rademakers FE, Bogaert J. Assessment of ventricular coupling with real-time cine MRI and its value to differentiate constrictive pericarditis from restrictive cardiomyopathy. Eur. Radiol. 2006;16:944–951.
-
Welch TD. Constrictive pericarditis: Diagnosis, management and clinical outcomes. Heart 2018;104:725–731.
-
Imazio M, Brucato A, Cemin R et al. Colchicine for recurrent pericarditis (CORP): a randomized trial. Ann Intern Med 2011;155:409–14.
-
Imazio M, Belli R, Brucato A et al. Efficacy and safety of colchicine for treatment of multiple recurrences of pericarditis (CORP-2): a multicentre, double-blind, placebo-controlled, randomized trial. Lancet 2014;383:2232–7
-
Smilde BJ, Woudstra L, Fong Hing G et al. Colchicine aggravates coxsackievirus B3 infection in mice. Int J Cardiol 2016;216:58–65.
-
Maestroni S, Imazio M, Valenti A, Assolari A, Brucato A. Is colchicine really harmful in viral myocarditis? Int J Cardiol 2017;229:42.
-
Mauro A, Mezzaroma E, Torrado J, Carbone S, Van Tassell B, Abbate A, Toldo S. A novel Nlrp3 inflammasome inhibitor prevents acute pericarditis in an experimental mouse model. Circulation 2016;134 Suppl 1:A15152.
-
Choi DH, Choi JS, Li C, Choi JS. Effects of simvastatin on the pharmacokinetics of diltiazem and its main metabolite, desacetyldiltiazem, after oral and intravenous administration in rats: possible role of P-glycoprotein and CYP3A4 inhibition by simvastatin. Pharmacol Rep 2011;63: 1574–82.
-
Imazio M, Bobbio M, Cecchi E et al. Colchicine in addition to conventional therapy for acute pericarditis: results of the COlchicine for acute PEricarditis (COPE) trial. Circulation 2005;112: 2012–2016.
-
Imazio M, Brucato A, Cemin R et al. ICAP Investigators A randomized trial of colchicine for acute pericarditis N Engl J Med 2013 369 1522–1528
-
Imazio M, Demichelis B, Parrini I et al. Dayhospital treatment of acute pericarditis: a management program for outpatient therapy. J Am Coll Cardiol 2004;43:1042–6.
-
Kyto V, Sipila J, Rautava P. Clinical profile and influences on outcomes in patients hospitalized for acute pericarditis. Circulation 2014;130: 1601–6.
-
Schwier N, Tran N. Non-Steroidal Anti-Inflammatory Drugs and Aspirin Therapy for the Treatment of Acute and Recurrent Idiopathic Pericarditis.Pharmaceuticals (Basel). 2016;9(2). pii: E17.
-
Leung YY. Colchicine-Update on mechanisms of action and therapeutic uses. Semin Arthritis Rheum. 2015;45(3):341–50.
-
Xu B, Harb SC, Cremer PC. New insights into pericarditis: mechanisms of injury and therapeutic targets. Current cardiology reports. 2017;19(7):60.
-
Imazio M, Brucato A, Cumetti D et al. Corticosteroids for Recurrent pericaditis: High versus Low doses: A nonrandomized observation. Circulation. 2008;118(6):667– 671.
-
Vianello F, Cinetto F, CavraroM et al. Azathioprine in isolated recurrent pericarditis: a singlecentre experience. Int J Cardiol. 2011; 147:477–478.
-
Imazio M, Lazaros G, Picardi E et al. Intravenous human immunoglobulins for refractory recurrent pericarditis. Journal of Cardiovascular Medicine. 2016;17(4):263– 269.
-
Moll M, Kuemmerle-Deschner JB. Inflammasome and cytokine blocking strategies in autoinflammatory disorders. Clinical Immunology. 2013;147(3):242–75.
-
Imazio M, Andreis A, De Ferrari GM et al. Anakinra for corticosteroid-dependent and colchicine-resistant pericarditis: The IRAP (International Registry of Anakinra for Pericarditis) study.Eur J Prev Cardiol. 2019 Oct 15:2047487319879534.
-
Imazio M, Brucato A, Trinchero R, Spodick DH, Adler Y. Colchicine for pericarditis: hype or hope? Eur Heart J 2009;30:532–539.
-
Berg J, Lovrinovic M, Baltensperger N, Kissel CK, Kottwitz J, Manka R, Patriki D, Scherff F, Schmied C, Landmesser U, Lüscher TF, Heidecker B. Non-steroidal anti- inflammatory drug use in acute myopericarditis: 12-month clinical follow-up. Open Heart. 2019 Apr 23;6(1):e000990. doi:10.1136/openhrt-2018-000990
-
Imazio M, Trinchero R. The spectrum of inflammatory myopericardial diseases. Int J Cardiol. 2009. doi:10.1016/j.ijcard. 2008.12.118. http://www.sciencedirect.com
-
Seidenberg PH, Haynes J. Pericarditis: diagnosis, management, and return to play. Curr Sports Med Rep. 2006; 5: 74–79.
-
Liebenberg J, van der Bijl P. A“vanishing”, tuberculous, pericardial effusion. Korean Circ J. 2016;46(6):879–81.
-
Wiyeh AB et al. A systematic review of the efficacy and safety of intrapericardial fibrinolysis in patients with pericardial effusion. Int J Cardiol. 2018;250:223–8.
-
Doctor NS, Shah AB, Coplan N, Kronzon I. Acute Pericarditis. Progress in cardiovascular diseases 59 (2017) 349–359.
-
Mayosi BM, Ntsekhe M, Bosch J, Pandie S, Jung H, Gumedze F, Pogue J, Thabane L, Smieja M, Francis V, Joldersma L, Thomas KM, Thomas B, Awotedu AA, Magula NP, Naidoo DP, Damasceno A, Chitsa Banda A, Brown B, Manga P, Kirenga B, Mondo C, Mntla P, Tsitsi JM, Peters F, Essop MR, Russell JBW, Hakim J, Matenga J, Barasa AF, Sani MU, Olunuga T, Ogah O, Ansa V, Aje A, Danbauchi S, Ojji D, Yusuf S. Prednisolone and Mycobacterium indicus pranii in tuberculous pericarditis. N. Engl. J. Med. 2014;371:1121–1130.
-
Maisch B. Management of pericarditis and pericardial effusion, constrictive and effusive-constrictive pericarditis. Herz. 2018;43(7):663–78.
-
Косоногов А.Я., Немирова С.В., Поздышев В.И., Никольский А.В., Косоногов К.А., Рыбинский А.Д., Сидоров М.А., Логинова С.В. Жизнеугрожающие состояния при перикардитах различной этиологии: диагностика и лечение. Медицинский альмонах 2019. № 2 (59). С. 40–45.
-
Colak A, Becit N, Kaya U, Ceviz M, Kocak H. Treatment of Pericardial Effusion Through Subxiphoid Tube Pericardiostomy and Computerized Tomography- or Echocardiography — Guided Percutaneous Catheter Drainage Methods. Braz J Cardiovasc Surg. 2019 Mar-Apr;34(2):194–202.
-
Гульмурадов Т.Г., Дадабаев Д.У., Рашидов Ф.Ш., Джаббаров А.А. Видеоторакоскопическое лечение хронического экссудативного перикардита Вестник последипломного образования в сфере здравоохранения 2019. № 1. С. 9–15.
-
Gillaspie EA, Stulak JM, Daly RC et al. A 20-year experience with isolated pericardiectomy: Analysis of indications and outcomes. J Thorac Cardiovasc Surg 2016;152:448–58.
-
Титов К.С., Киселевский М.В. Современная тактика лечения опухолевых перикардитов. Злокачественные опухоли. 2017. Т. 7. № 3-S1. С. 174–175.
-
Petcu СP, Droc I. The Efficiency of Surgical Subxiphoid Pericardial Drainage and Percutaneous Pericardial Drainage in Pericardial Effusions Associated with Cardiac Tamponade Chirurgia (Bucur). 2013 Mar-Apr;108(2): 226–33.
-
Langdon SE, Seery K, Kulik A. Contemporary outcomes after pericardial window surgery: impact of operative technique. J Cardiothorac Surg. 2016 Apr 26;11(1):73.
-
Volk L, Lee LY, Lemaire A. Surgical pericardial drainage procedures have a limited diagnostic sensitivity J Card Surg. 2019 Dec;34(12):1573–1576.
-
Хирургические инфекции груди и живота: руководство для врачей / под ред. проф. Б.Н. Котива и проф. Л.Н. Бисенкова. Санкт-Петербург: СпецЛит, 2016. 671 с.
-
Воскресенский О.В., Тарабрин Е.А., Белозеров Г.Е., Галанкина И.Е., Николаева Е.Б., Радченко Ю.А. Лечение хронической тампонады сердца при его новообразованиях. Неотложная медицинская помощь. Журнал им. Н.В. Склифосовского. 2019. Т. 8. № 1. С. 81–86.
-
Писклова Ю.В., Бучнева О.В. Опыт лечения экссудативных перикардитов с использованием миниинвазивных доступов International Scientific and Practical Conference World science. 2018. Т. 3. № 1 (29). С. 39–41 (торакоскопия).
-
Благова О.В., Алиева И.Н., Недоступ А.В., Кабурова А.Н., Сенчихин П.В., Паршин В.Д., Коган Е.А. Экссудативно-констриктивный туберкулезный перикардит в сочетании с артритом в практике кардиолога: торакоскопическая биопсия как путь к диагнозу и лечению. Терапевтичексий архив. 2018. Т. 90. № 9. С. 81–87.
-
Chowdhury UK, Subramaniam GK, Kumar AS, Airan B, Singh R, Talwar S, Seth S, Mishra PK, Pradeep KK, Sathia S, Venugopal P. Pericardiectomy for constrictive pericarditis: a clinical, echocardiographic, and hemodynamic evaluation of two surgical techniques Ann. Thorac. Surg. 2006;81:522–29.
-
Cho YH, Schaff HV, Dearani JA, Daly RC, Park SJ, Li Z, Oh JK. Completion pericardiectomy for recurrent constrictive pericarditis: importance of timing of recurrence on late clinical outcome of operation. Ann. Thorac. Surg. 2012;93:1236–41.
-
Murashita T, Schaff HV, Daly RC, Oh JK, Dearani JA, Stulak JM, King KS, Greason KL. Experience with Pericardiectomy for Constrictive Pericarditis Over Eight Decades. Ann. Thorac. Surg. 2017;104(3):742–50.
-
Nozohoor S, Johansson M, Koul B, Cunha-Goncalves D. Radical pericardiectomy for chronic constrictive pericarditis. J Card Surg. 2018;33(6):301–7.
-
Wang FF, Hsu J, Jia FW, Lin X, Miao Q, Chen W, Fang LG. Left ventricular strain is associated with acute postoperative refractory hypotension in patients with constrictive pericarditis and preserved ejection fraction. J Thorac Dis. 2018;10(7):4147–55.
-
Gatti G, Fiore A, Ternacle J et al. Pericardiectomy for constrictive pericarditis: a risk factor analysis for early and late failure. Heart Vessels. 2020 Jan;35(1):92–103.
-
Choi MS, Jeong DS, Oh JK, Chang SA, Park SJ, Chung S. Long-term results of radical pericardiectomy for constrictive pericarditis in Korean population. J Cardiothorac Surg. 2019 Feb 6;14(1):32
-
Vistarini N, Chen C, Mazine A et al. Pericardiectomy for constrictive pericarditis: 20 years of experience at the Montreal Heart Institute. Ann Thorac Surg 2015;100:107–13.
-
Nugue O, Millaire A, Porte H et al. Pericardioscopy in the etiologic diagnosis of pericardial effusion in 141 consecutive patients. Circulation. 1996;94(7):1635–1641.
-
Айвазьян С.А., Медведев А.П., Косоногов А.Я., Сидоров М.А. Опыт применения перикардиоскопии для диагностики и лечения заболеваний перикарда. Медицинский альманах. 2011. № 6 (19) С. 236–237.
-
Strobbe A, Adriaenssens T, Bennett J et al.: Etiology and long term outcome of patients undergoing pericardiocentesis. 2017.
-
Romero J, Cerrud-Rodriguez RC, Di Biase L, Diaz JC, Alviz I, Grupposo V, Cerna L, Avendano R, Tedrow U, Natale A, Tung R, Kumar S. Combined Endocardial-Epicardial Versus Endocardial Catheter Ablation Alone for Ventricular Tachycardia in Structural Heart Disease: A Systematic Review and Meta-Analysis. JACC Clin Electrophysiol. 2019 Jan;5(1):13–24.
-
Little WC, Freeman GL. Pericardial disease. Circulation 2006;113:1622–1632.
-
Imazio M, Brucato A, Spodick DH, Adler Y. Prognosis of myopericarditis as determined from previously published reports. J Cardiovasc Med (Hagerstown). 2014 Dec;15(12):835–9. doi:10.2459/JCM.0000000000000082
-
Keskin K, Çetinkal G, Yıldız SS, Sığırcı S, Doğan GM, Orta Kılıçkesmez K. Clinical characteristics and intermediate-term outcomes of young patients with uncomplicated myopericarditis. Turk Kardiyol Dern Ars. 2019 Oct;47(7):581–586. doi:10.5543/tkda.2019.63306
-
Imazio M, Brucato A. Ferrazz P, Spodick DH, Alder Y. Postpericardiotomy syndrome: a proposal for diagnostic criteria. J Cardiovasc Med 2013;14:351–353.
-
Figueras J, Barrabes JA, Serra V at al. Hospital outcome of moderate to severe pericardial effusion complicating ST-elevation acute myocardial infarction. Circulation 2010;122:1902–1909.
-
Imazio M, Negro A, Belli R at al. Frequency and prognostic significance of pericaditis follow-ing acute myocardial infarction treated by primary percutaneous coronary intervention. Am J Cardiol 2009;103:1525–1529.
-
De Vita S, De Biasio M, Zabotti A et al. Successful treatment of complicated pericarditis after myocardial infarction with interleukin-1 blocker [published online ahead of print, 2019 Jul 29]. Rheumatology (Oxford). 2019;kez307. doi:10.1093/rheumatology/kez307
-
Meurin P, Weber H, Renaud N at al. Evolution of the postoperative pericardial effusion after day 15:the problem of the late tamponade. Chest 2004;125:2182–2187.
-
Meurin P, Tabet JY, Thabut G at al. Nonsteroidal anti-inflammatory drug treatment for postoperative pericardial effusion: a multicenter randomized, double- blind tria. Ann Intern Med 2010;152:137–142.
-
Tsang TS, Enruquez-Sarano M, Freeman WK at al. Consecutive 1127 therapeutic echocardiographically guided pericardiocenteses: clinical profile, practice patterns, and outcomes spanning 21years. Mayo Clin Proc 2002;77: 429–436.
-
Косоногов К.А., Майорова М.В., Кацубо Е.М., Косоногов А.Я. Ретроспективный анализ 5-летнего опыта хирургического лечения неинфекционных осложнений кардиостимуляции. Медицинский альманах. 2018. № 1 (52). С. 84–88.
-
van Osch D, Nathoe HM, Jacob KA et al. Determinants of the postpericardiotomy syndrome: a systematic review. Eur J Clin Invest. 2017;47(6):456–467. doi:10.1111/eci.12764
-
van Osch D, Dieleman JM, Bunge JJ et al. Risk factors and prognosis of postpericardiotomy syndrome in patients undergoing valve surgery. J Thorac Cardiovasc Surg. 2017;153(4):878–885.e1. doi:10.1016/j.jtcvs.2016.10.075
-
Gabaldo K, Sutlić Ž, Mišković D et al. Postpericardiotomy syndrome incidence, diagnostic and treatment strategies: experience AT two collaborative centers. Acta Clin Croat. 2019;58(1):57–62. doi:10.20471/acc.2019.58.01.08
-
Lehto J, Kiviniemi T, Gunn J, Airaksinen J, Rautava P, Kytö V. Occurrence of Postpericardiotomy Syndrome: Association With Operation Type and Postoperative Mortality After Open-Heart Operations. J Am Heart Assoc. 2018;7(22):e010269. doi:10.1161/JAHA.118.010269
-
Wamboldt R, Bisleri G, Glover B et al. Primary prevention of post- pericardiotomy syndrome using corticosteroids: a systematic review. Expert Rev Cardiovasc Ther. 2018;16(6):405–412. doi:10.1080/14779072.2018.1475231
-
Yuan SM. Postpericardiotomy Syndrome after Cardiac Operations. J Coll Physicians Surg Pak. 2020;30(1):62–66. doi:10.29271/jcpsp.2020.01.62
-
Lutschinger LL, Rigopoulos AG, Schlattmann P et al. Meta-analysis for the value of colchicine for the therapy of pericarditis and of postpericardiotomy syndrome [published correction appears in BMC Cardiovasc Disord. 2019 Oct 18;19(1):227]. BMC Cardiovasc Disord. 2019;19(1):207. Published 2019 Sep 2. doi:10.1186/s12872-019-1190-4
-
Lee TH, Quellet JF, Cook M, Schreiber MA, Kortbeek B. Pericardiocentesis in trauma: a systematic reviews. J Trauma Acute Care Surg 2013;75:543–549.
-
ATLS Subcommittee, American College of Surgeons Committee on Trauma. International ATLS Working Group. Advanced trauma life support (ATLS); the ninth edition. J Trauma Acute Care Surg 2013;74:1363–1366.
-
Meurin P, Lelay-Kubas S, Pierre B at al. Colchicine for postoperative pericardial effusion: a multicentre, double-blind, randomized controlled trial Heart 2015 Jun 15. 307827.
-
Kougkas N, Fanouriakis A, Papalopoulos I et al. Canakinumab for recurrent rheumatic disease associated-pericarditis: a case series with long-term follow-up. In Rheumatology 2018; 57 (8): 1494–1495.
-
García-García G, Fernández-Auzmendi V, Olgado-Ferrero F et al. Acute Miopericarditis as the Presenting Feature of Adult-Onset Still’s Disease. Reumatología Clínica 2012; 8(1), 31–33.
-
Lachmann HJ, Papa R, Gerhold K et al. The phenotype of TNF receptor- associated autoinflammatory syndrome (TRAPS) at presentation: a series of 158 cases from the Eurofever/EUROTRAPS international registry. Ann Rheum Dis 2014;73(12):2160-2167.
-
Cantarini L, Lopalco G, Selmi C et al. Autoimmunity and autoinflammation as the yin and yang of idiopathic recurrent acute pericarditis. Autoimmunity reviews. 2015;14(2):90–97.
-
Yamaguchi M, Ohta A, Tsunematsu T et al. Preliminary criteria for classification of adult Still’s disease. J Rheumatol. 1992;19(3): 424–30.
-
Fautrel B. Adult-onset Still disease. Best Pract Res Clin Rheumatol. 2008;22(5):773–792.
-
Feist E, Mitrovic S, Fautrel B. Mechanisms, biomarkers and targets for adult-onset Still’s disease.Nature reviews. Rheumatology. 2018;14(10):603–618.
-
Taylor PN, Albrecht D, Scholz A et al. Global epidemiology of hyperthyroidism and hypothyroidism. Nat Rev Endocrinol. 2018 May;14(5):301–316. doi:10.1038/nrendo.2018.18
-
Leonardi A, Penta L, Cofini M, Lanciotti L, Principi N, Esposito S. Pericardial Effusion as a Presenting Symptom of Hashimoto Thyroiditis: A Case Report. Int J Environ Res Public Health. 2017 Dec 14; 14(12). doi:10.3390/ijerph14121576
-
Papakonstantinou PE, Gourniezakis N, Skiadas C, Patrianakos A, Gikas A. Massive pericardial effusion without cardiac tamponade due to subclinical hypothyroidism (Hashimoto’s disease). Rural and Remote Health 2018; 18: 4384. https://doi.org/10.22605/RRH4384
-
Снитко В.Н., Виноградова Т.А., Дедуль В.И., Карева Л.В. Изолированный гидроперикард — следствие поздней диагностики первичного гипотиреоза. Журнал Гродненского государственного медицинского университета. 2017, 15(5), 578–580. doi:10.25298/2221-8785-2017-15-5-578-580
-
Agarwal A, Chowdhury N, Mathur A, Sharma S, Agarwal A. Pericardial Effusion with Cardiac Tamponade as a form of presentation of Primary Hypothyroidism. J Assoc Physicians India. 2016 Dec;64(12):98–100.
-
Schmitt W, Roque D, Germano A. Massive pericardial effusion caused by hypothyroidism. Clin Case Rep. 2018 Mar 1;6(4):766–767. doi:10.1002/ccr3.1447.
-
Pasquali R, Casanueva F, Haluzik M, Hulsteijn L, Ledoux S, Monteiro M P, Salvador J, Santini F, Toplak H, Dekkers O M. European Society of Endocrinology Clinical Practice Guideline: Endocrine work-up in obesity. European Journal of Endocrinology. 2020; 182: 1–32. doi.org/10.1530/EJE-19-0893
-
Floriani C, Gencer B, Collet TH, Rodondi N. Subclinical thyroid dysfunction and cardiovascular diseases: 2016 update. European Heart Journal, 2018, 39, 503–507.
-
Yu Ning, Yun J. Cheng, LiJ. Liu, Jaskanwal D. S. Sara, Zhi Y. Cao, Wei P. Zheng, Tian S. Zhang, Hui J. Han, Zhen Y. Yang,YiZhang, Fei L. Wang et al. What is the association of cardiovascular events and mortality? A meta-analysis of 55 cohort studies involving 1,898,314 participants. BMC Medicine (2017) 15:21. doi:10.1186/s12916-017-0777-9
-
Jonklaas J, Bianco AC, Bauer AJ et al; American Thyroid Association Task Force on Thyroid Hormone Replacement. Guidelines for the treatment of hypothyroidism: prepared by the American Thyroid Association Task Force on thyroid hormone replacement. Thyroid. 2014;24:1670–1751. doi:10.1089/thy.2014.0028
-
Schwier NC, O’Neal K. Pharmacotherapeutic Management Strategies for Thyroid Disease-Induced Pericarditis. Annals of Pharmacotherapy, 2019, 1–10. doi.org/10.1177/10600280198890
-
Schwier NC. Pharmacotherapeutic considerations for using colchicine to treat idiopathic pericarditis in the USA. Am J Cardiovasc Drugs. 2015;15:295–306.
-
Bui PV, Zaveri SN, Pierce JR Jr. Sanguineous Pericardial Effusion and Cardiac Tamponade in the Setting of Graves' Disease: Report of a Case and Review of Previously Reported Cases. Case Rep Med. 2016; 2016:9653412. doi:10.1155/2016/9653412
-
Nishio N, Katsura T, Ashida K, Okuda M, Inui K. Modulation of P-glycoprotein expression in hyperthyroid rat tissues. Drug Metab Dispos. 2005; 33:1584–1587.
-
Pawlak Cieślik A, Szturmowicz M, Fijałkowska A. еt al. Diagnosis of malignant pericarditis: a single centre experience. Kardiol Pol. 2012;70(11):1147–53. PMID: 23180523
-
Kotake M, Imai H, Kaira K et al. Intrapericardial carboplatin in the management of malignant pericardial effusion in breast cancer: a pilot study. Cancer Chemother Pharmacol. 2019 Sep;84(3):655–660. doi:10.1007/s00280-019-03897-0. Epub 2019 Jun 27.
-
El Haddad D, Iliescu C, Yusuf SW et al. Outcomes of cancer patients undergoing percutaneous pericardiocentesis for pericardial effusion. J Am Coll Cardiol. 2015;66:1119–28. doi:10.1016 / j.jacc.2015.06.1332
-
Gornik HL, Gerhard-Herman M, Beckman JA. Abnormal cytology predicts poor prognosis in cancer patients with pericardial effusion. J Clin Oncol. 2005;23:5211–6. doi:10,1200 / JCO.2005.00.745
-
Labbé C, Tremblay L, Lacasse Y. Pericardiocentesis versus pericardiotomy for malignant pericardial effusion: a retrospective comparison. Curr Oncol. 2015 Dec;22(6):412–6. doi:10.3747/co.22.2698.
-
Hui-Ming Chang, Okwuosa TM, Scarabelli T et al. Cardiovascular Complications of Cancer Therapy: Best Practices in Diagnosis, Prevention, and Management — Part 2 J Am Coll Cardiol. 2017 Nov 14; 70(20): 2552–2565. doi:10.1016/j.jacc.2017.09.1095
-
Patel J, Sheppard MN. Pathological study of primary cardiac and pericardial tumours in a specialist UK Centre: surgical and autopsy series. Cardiovasc Pathol. 2010;19:343–352. doi:10.1016/j.carpath.2009.07.005
-
Rosenbaum AN, Bois MC, Xin Zhang et al. A Clinical Case Series Illustrating the Necessity of a Multidisciplinary Approach JACC: Case Reports Volume 1, Issue 2, August 2019. doi:10.1016/j.jaccas.2019.06.012
-
Karagodin I, Nagle K, Scheidemantle B et al. Metastatic pericardial mesothelioma: a rare case of constrictive pericarditis Journal of the American College of Cardiology Volume 73, Issue 9 Supplement 1, March 2019 doi:10.1016/S0735-1097(19)33246-2
-
Muta H, Sugita Y, Ohshima K, Otsubo H. Primary malignant pericardial sarcomatoid mesothelioma: An autopsy report. Pathol Int. 2017 Jun;67(6):311–315. doi:10.1111/pin.12535. Epub 2017 May 1
-
Stone CR, Mickle AT, Boyne DJ et al. Treatment for lymphoma and late cardiovascular disease risk: A systematic review and meta-analysis. Health Sci Rep. 2019 Aug 13;2(10):e135. doi:10.1002/hsr2.135. eCollection 2019 Oct.
-
Maleszewski JJ, Bois MC, Bois JP, Young PhM, Stulak JM, Klarich KW. Neoplasia and the Heart. Pathological Review of Effects With Clinical and Radiological Correlation Journal of the American College of Cardiology Volume 72, Issue 2, July 2018. doi:10.1016/j.jacc.2018.05.026
-
Plana JC, Galderisi M, Barac A et al. Expert consensus for multimodality imaging evaluation of adult patients during and after cancer therapy: a report from the American Society of Echocardiography and the European Association of Cardiovascular Imaging. J Am Soc Echocardiogr. 2014;27:911–39. doi:10.1016 / j.echo.2014.07.012
-
Yang X, Liu W, Lyons A et al. Pericarditis associated with cytarabine therapy for acute myelocytic leukemia: a case report. Eur J Clin Pharmacol. 2018 Feb;74(2):181– 182. doi:10.1007/s00228-017-2355-7. Epub 2017 Oct 27.
-
Wattal S, Rao MS, Chandra GN et al. Dasatinib Induced Cardiac Tamponade-A Rare Association. J Clin Diagn Res. 2017 Feb;11(2):FD03-FD04. doi:10.7860/JCDR/2017/24633.9418. Epub 2017 Feb
-
Shaheen S, Mirshahidi H, Nagaraj G, Hsueh CT. Conservative management of nivolumab-induced pericardial effusion: a case report and review of literature. Exp Hematol Oncol. 2018 May 8;7:11. doi:10.1186/s40164-018-0104-y. eCollection 2018.
-
Malhotra N, Daher G, Hassanieh I, Schoen MW, Helmy T. Pericardial effusion with tamponade physiology as an immune-related adverse event secondary to nivolumab. Journal of the American College of Cardiology. Volume 73, Issue 9 Supplement 1, March 2019. doi:10.1016/S0735-1097(19)33219-X
-
Schusler R, Meyerson SL. Pericardial Disease Associated with Malignancy. Curr Cardiol Rep. 2018 Aug 20;20(10):92. doi:10.1007/s11886-018-1040-5
-
Filopei J, Frishman W. Radiation-induced heart disease. Cardiol Rev. 2012; 20:184–8. doi:10.1097/CRD.0b013e3182431c23.
-
Azarbal A, LeWinter MM. Pericardial Effusion. Cardiol Clin. 2017 Nov;35(4):515–524. doi:10.1016/j.ccl.2017.07.005
-
Audrey Besnard, François Raoux, Nizar Khelil et al. Current Management of Symptomatic Pericardial Effusions in Cancer Patients. JACC: CardioOncology Volume 1, Issue 1, September 2019. doi:10.1016/j.jaccao.2019.07.001
-
Zipes D, Вraunwald E.Braunwald’s Heart Disease. A textbook of cardiovascular medicine, eleventh edition. FRCP. 2018 2019.
-
Hu ZG, Hu K, Li WX, Zeng FJ. Prognostic factors and nomogram for cancer- specific death in non small cell lung cancer with malignant pericardial effusion. PLoS One. 2019 May 16;14(5):e0217007. doi:10.1371/journal.pone.0217007. eCollection 2019.
-
In-Jeong Cho, Hyuk-Jae Chang, Hyemoon Chung et al. Prediction of clinical outcome in patients with pericardial effusion and malignancies: stratified by post- pericardiocentesis constrictive physiology Journal of the American College of Cardiology Volume 65, Issue 10 Supplement, March 2015. doi:10.1016/S0735- 1097(15)61336-5
-
Numico G, Cristofano A, Occelli M et al. Prolonged Drainage and Intrapericardial Bleomycin Administration for Cardiac Tamponade Secondary to Cancer-Related Pericardial Effusion. Medicine (Baltimore). 2016 Apr;95(15):e3273. doi:10.1097/MD.0000000000003273
-
Chen D, Zhang Y, Shi F et al. Intrapericardial bevacizumab safely and effectively treats malignant pericardial effusion in advanced cancer patients. Oncotarget. 2016;7:52436–52441. doi:10.18632 / oncotarget.9420
-
Darocha S, Wilk M, Walaszkowska-Czyż A et al. Determinants of Survival After Emergency Intrapericardial Cisplatin Treatment in Cancer Patients with Recurrent Hemodynamic Instability After Pericardiocentesis. In Vivo. 2018 Mar-Apr;32(2):373– 379. doi:10,21873 / invivo.11248
-
Thill M, Jackisch C, Janni W, Müller V. AGO Recommendations for the Diagnosis and Treatment of Patients with Locally Advanced and Metastatic Breast Cancer: Update 2019. Breast Care (Basel). 2019 Aug;14(4):247–255. doi:10.1159/000500999. Epub 2019 Jul 30.
-
Irazusta FJ, Jiménez-Valero S, Gemma D et al. CRT-800.48 Percutaneous Balloon Pericardiotomy: Treatment Of Choice In Patients With Advanced Oncological Disease And Severe Pericardial Effusion. JACC: Cardiovascular Interventions. Volume 10, Issue 3 Supplement, February 2017. doi:10.1016/j.jcin.2016.12.250
-
Sakanoue I, Hamakawa H, Okubo Y et al. Efficacy and safety of thoracoscopic pericardial window in patients with pericardial effusions: a single-center case series. J Cardiothorac Surg. 2016 Jun 13;11(1):92. doi:10.1186/s13019-016-0488-x
-
Celik S, Celik M, Aydemir B et al. Surgical properties and survival of a pericardial window via left minithoracotomy for benign and malignant pericardial tamponade in cancer patients. World J Surg Oncol. 2012 Jun 28;10:123. doi:10.1186/1477-7819-10-123
-
Samuel Horr, Amgad Mentias and Allan Klein. A changing paradigm in the etiology of pericardial effusions? A 12 year study of pericardiocentesis from the cleveland clinic. Journal of the American College of Cardiology. Volume 67, Issue 13 Supplement, April 2016. doi:10.1016/S0735-1097(16)31612-6
-
Schwier NC, Coons JC, Rao SK. Pharmacotherapy update of acute idiopathic pericarditis. Pharmacotherapy 2015;35:99–111.
-
Демин А.А., Дробышева В.П. Болезни перикарда. Российский кардиологический журнал 2016, 1 (129): 90–98. http://dx.doi.org/10.15829/1560-4071-2016-1-90-98
-
Гуревич М.А. Вопросы диагностики, дифференциации и терапии перикардитов. Трудный пациент. 2016. №04. 05-11-16.
-
Темникова Е.А., Кондратьев А.И., Савилова В.В., Денисова А.С., Колядко А.Е., Темников М.В. Трудный диагноз. Острый инфаркт миокарда или миоперикардит? Лечащий врач. 2019. № 1. С. 71.
-
Lee LN et al. Ultrasound guided pericardial drainage and intrapericardial instillation of mitomycin C for malignant pericardial effusion. Thorax. 1994. 49:594–595.
-
Martinoni A et al. Long-term results of intrapericardial chemotherapeutic treatment of malignant pericardial effusions with thiotepa. Chest. 2004. 126:1412– 1416
-
Maher EA. et al, Pericardial sclerosis as the primary management of malignant pericardial effusion and cardiac tamponade. J Thorac Cardiovasc Surg. 1996. 112:637– 643
-
Imazio M et al. Anti-interleukin-1 agents for pericarditis: a primer for cardiologists European Heart Journal (2021); 1–12. doi:10.1093/eurheartj/ehab452
-
Кlein A.L, Imazio M, Brucato A et al. RHAPSODY: Rationale for and design of pivotal Phase trial to assess efficacy and safety of rilonacept, an interleukin-1α and interleukin -1β trap, in patients with recurrent pericarditis. Am Heart J 2020; 228:81–90. Klein AL, Imazio M et al. N Engl J Med 2021;384:31-41.
-
Brucato A et al. Effect of Anakinra on Recurrent Pericarditis Among Patients With Colchicine Resistance and Corticosteroid Dependence The AIRTRIP Randomized Clinical Trial // JAMA, 2016;316(18):1906-1912
-
Imazio M, Andreis A, De Ferrari GM, et (2020). Anakinra for corticosteroid- dependent and colchicine-resistant pericarditis: The IRAP (International Registry of Anakinra for Pericarditis) study. Eur J Prev Cardiol. 2020 27(9):956–964.
-
Klein AL, Imazio M et al. Phase 3 trial of Interleukin-1 Trap rilonacept in recurrent pericarditis N Engl J Med 2021;384:31-41.
-
https://www.accessdata.fda.gov/drugsatfda_docs/label/2021/125249s049lbl.pdf
-
Gurevich MA, Mravian SR, Grigor’eva NM. Myopericarditis: clinical picture, diagnosis and treatment //Klinicheskaia Meditsina. 1999. Т. 77. №. 7. С. 33–36.
-
Martinoni A et al. Long-term results of intrapericardial chemotherapeutic treatment of malignant pericardial effusions with thiotepa. Chest. 2004. 126:1412– 1416.
-
Khandaker MH et al. Pericardiectomy vs medical management in patients with relapsing pericarditis //Mayo Clinic Proceedings. Elsevier, 2012. Vol. 87. №. 11. P. 1062–1070.
-
Glick Frasiolas JA, Cahoon Jr WD. Intrapericardial triamcinolone administration for autoreactive pericarditis //Annals of Pharmacotherapy. 2010. Vol. 44. №. 10. P. 1641–1646.
-
Титов К.С, Волков С.М. Демидов Л.В. Киселевский М.В. Сельчук В.Ю. Адаптивная внутриперикардиальная иммунотерапия у больных с метастатическими перикардитами. РМЖ. №1 от 16.03.2012. C. 14.
-
Cherian G. Diagnosis of tuberculous aetiology in pericardial effusions
-
Corey G. R. et al. Etiology of large pericardial effusions // The American journal of medicine. 1993. Vol. 95. №. 2. P. 209–213.
-
Титов К.С. и др. Биотерапия опухолевых перикардитов // Российский биотерапевтический журнал. 2009. Т. 8. №. 4. С. 9–12.
-
Defouilloy C. et al. Intrapericardial fibrinolysis: a useful treatment in the management of purulent pericarditis //Intensive care medicine. 1997. Vol. 23. №. 1. P. 117–118.
-
Thavendrarajah V et al. Catheter lavage and drainage of pneumococcal pericarditis // Catheterization and cardiovascular diagnosis. 1993. Vol. 29. №. 4. P. 322–324.
Приложение А1. Состав рабочей группы по разработке и пересмотру клинических рекомендаций
-
Арутюнов Г.П. — д.м.н., профессор, член-корреспондент РАН, главный терапевт ДЗМ, заслуженный врач РФ, заведующий кафедрой ФГАОУ ВО РНИМУ им. Н.И. Пирогова
-
Палеев Ф.Н. — д.м.н., профессор, член-корр. РАН, заместитель генерального директора по научно-аналитической работе НИИ клинической кардиологии им. А.Л. Мясникова
-
Тарловская Е.И. — д.м.н., профессор, заведующая кафедрой внутренних болезней НижГМА
-
Моисеева О.М. — д.м.н., заведующая научно-исследовательским отделом некоронарогенных заболеваний сердца ФГБУ «НМИЦ им. В.А. Алмазова»
-
Арутюнов А.Г. — д.м.н., профессор ФГАОУ ВО РНИМУ им. Н.И. Пирогова Минздрава России
-
Козиолова Н.А. — д.м.н., профессор, заведующая кафедрой пропедевтики внутренних болезней №2 ФГБУЗ ВО «Пермский государственный медицинский университет имени академика Е.А. Вагнера» МЗ РФ
-
Чесникова А.И. — д.м.н., профессор кафедры внутренних болезней №1 ФГБОУ ВО «Ростовский ГМУ»
-
Ребров А.П. — д.м.н., профессор, заведующий кафедрой госпитальной терапии Саратовского государственного медицинского университета им. В.И. Разумовского, заслуженный врач РФ
-
Шапошник И.И. — д.м.н., профессор, заведующий кафедрой пропедевтики внутренних болезней Южно-Уральского государственного медицинского университета, главный кардиолог г. Челябинска
-
Петрова М. М. — д.м.н., профессор, заведующая кафедрой поликлинической терапии, семейной медицины и ЗОЖ с курсом ПО, ФГБОУ ВО Красноярский ГМУ им. профессора В.Ф. Войно-Ясенецкого МЗ РФ, Красноярск
-
Григорьева Наталья Юрьевна — д.м.н., заведующий кафедрой факультетской и поликлинической терапии, ФГБОУ ВО Приволжский исследовательский медицинский университет МЗ РФ, Нижний Новгород
-
Фомин Игорь Владимирович — д.м.н., профессор, директор Института терапии, заведующий кафедрой госпитальной терапии, ФГБОУ ВО Приволжский исследовательский медицинский университет МЗ РФ, Нижний Новгород
-
Орлова Я.А. — д.м.н., профессор, заведующая отделом возраст-ассоциированных заболеваний МГУ имени М.В. Ломоносова Медицинский научно-образовательный центр
-
Мальчикова Светлана Владимировна — д.м.н., профессор, профессор кафедры госпитальной терапии, заведующая терапевтическим отделением клиники КГМУ, ФГБОУ ВО Кировский государственный медицинский университет МЗ РФ, Киров . Королева Любовь Юрьевна — д.м.н., профессор кафедры госпитальной терапии, ФГБОУ ВО Приволжский исследовательский медицинский университет МЗ РФ, Нижний Новгород
-
Носов Владимир Павлович — д.м.н., профессор кафедры госпитальной терапии, ФГБОУ ВО Приволжский исследовательский медицинский университет МЗ РФ, Нижний Новгород
-
Айвазян Сергей Артемович к.м.н., врач кардиохирург ФБУЗ Приволжский окружной медицинский центр КБ№1 ФМБА России, Нижний Новгород
-
Зайратьянц О.В. — профессор, д.м.н, заведующий кафедрой ФГБОУ ВО МГМСУ им. А.И. Евдокимова Минздрава России, Москва
-
Синицын В.Е. — д.м.н., профессор, заведующий кафедрой лучевой диагностики и терапии Факультета Фундаментальной Медицины МГУ им.М.В.Ломоносова, заведующий отделом лучевой диагностики МНОЦ МГУ им.М.В.Ломоносова, президент Российского Общества Рентгенологов и Радиологов, Москва
-
Васюк Юрий Александрович — д.м.н., профессор, заведующий кафедрой госпитальной терапии № 1 лечебного факультета ФГБОУ ВО МГМСУ им. А.И. Евдокимова Минздрава России, Москва
-
Гендлин Г.Е. — д.м.н., профессор, профессор ФГАОУ ВО РНИМУ им. Н.И. Пирогова Минздрава России
-
Драгунов Д.О. — к.м.н., доцент ФГАОУ ВО РНИМУ им. Н.И. Пирогова Минздрава России
-
Соколова А.В. — к.м.н., доцент ФГАОУ ВО РНИМУ им. Н.И. Пирогова Минздрава России
-
Иртюга О.Б. — к.м.н., доцент ФГБУ «НМИЦ им. В.А. Алмазова» Минздрава России
Члены Рабочей группы подтвердили отсутствие финансовой поддержки / конфликта интересов. В случае сообщения о наличии конфликта интересов член(ы) рабочей группы был(и) исключен(ы) из обсуждения разделов, связанных с областью конфликта интересов.
Приложение А2. Методология разработки клинических рекомендаций
Целевая аудитория данных клинических рекомендаций:
Методы, используемые для сбора/селекции доказательств: поиск в электронных базах данных.
Описание методов, использованных для оценки качества и силы доказательств: доказательной базой для рекомендаций являются публикации, вошедшие в базы данных PubMed, Scopus. Глубина поиска составляла 30 лет.
Методы, использованные для оценки качества и силы доказательств:
-
оценка качества рекомендаций в соответствии с рейтинговой схемой (таблица П1).
-
оценка силы доказательств в соответствии с рейтинговой схемой (таблица П2).
В ходе разработки КР использованы международные шкалы уровня убедительности рекомендаций и уровня достоверности доказательств (Таблицы П1 и П2), а также новая система шкал УДД и УУР для лечебных, реабилитационных, профилактических вмешательств и диагностических вмешательств (Таблицы П3, П4 и П5), введенная в 2018 г. ФГБУ ЦЭККМП Минздрава РФ. Формирование Национальных рекомендаций проводилось на основе рекомендаций ЕОК, с учетом национальной специфики, особенностей обследования, лечения, учитывающих доступность медицинской помощи. По этой причине в тексте настоящих клинических рекомендаций, одновременно использованы две шкалы оценки достоверности доказательств тезисов рекомендаций: уровни достоверности доказательств ЕОК с УУР и УДД. Добавлены классы рекомендаций ЕОК, позволяющие оценить необходимость выполнения тезиса рекомендаций.
| Класс рекомендаций ЕОК | Определение | Предлагаемая формулировка |
|---|---|---|
I |
Доказано или общепризнано, что диагностическая процедура, вмешательство/лечение являются эффективными и полезными |
Рекомендовано/показано |
II |
Противоречивые данные и/или мнения об эффективности/пользе диагностической процедуры, вмешательства, лечения |
Целесообразно применять |
IIa |
Большинство данных/мнений в пользу эффективности/пользы диагностической процедуры, вмешательства, лечения |
|
IIb |
Эффективность/польза диагностической процедуры, вмешательства, лечения установлены менее убедительно |
Можно применять |
III |
Данные или единое мнение, что диагностическая процедура, вмешательство, лечение бесполезны/неэффективны, а в ряде случаев могут приносить вред |
Не рекомендуется применять |
| Уровни достоверности доказательств, ЕОК | |
|---|---|
A |
Данные многочисленных рандомизированных клинических исследований или метаанализов |
B |
Данные получены по результатам одного рандомизированного клинического исследования или крупных нерандомизированных исследований |
C |
Согласованное мнение экспертов и/или результаты небольших исследований, ретроспективных исследований, регистров |
| Уровни достоверности доказательств (УДД) Приказ Министерства здравоохранения Российской Федерации от 28.02.2019 № 103н «Об утверждении порядка и сроков разработки клинических рекомендаций, их пересмотра, типовой формы клинических рекомендаций и требований к их структуре, составу и научной обоснованности, включаемой в клинические рекомендации информации» (зарегистрирован 08.05.2019 № 54588) |
|
|---|---|
1 |
Систематический обзор рандомизированных клинических исследований с применением метаанализа |
2 |
Отдельные рандомизированные клинические исследования и систематические обзоры исследований любого дизайна, за исключением рандомизированных клинических исследований, с применением метаанализа |
3 |
Нерандомизированные сравнительные исследования, в том числе когортные исследования |
4 |
Несравнительные исследования, описание клинического случая или серии случаев, исследование «случай-контроль» |
5 |
Имеется лишь обоснование механизма действия вмешательства (доклинические исследования) или мнение экспертов |
| УДД | Расшифровка |
|---|---|
1 |
Систематические обзоры исследований с контролем референсным методом или систематический обзор рандомизированных клинических исследований с применением метаанализа |
2 |
Отдельные исследования с контролем референсным методом или отдельные рандомизированные клинические исследования и систематические обзоры исследований любого дизайна, за исключением рандомизированных клинических исследований, с применением метаанализа |
3 |
Исследования без последовательного контроля референсным методом или исследования с референсным методом, не являющимся независимым от исследуемого метода, или нерандомизированные сравнительные исследования, в том числе когортные исследования |
4 |
Несравнительные исследования, описание клинического случая |
5 |
Имеется лишь обоснование механизма действия или мнение экспертов |
| Уровень убедительности рекомендации (УРР) Приказ Министерства здравоохранения Российской Федерации от 28.02.2019 № 103н «Об утверждении порядка и сроков разработки клинических рекомендаций, их пересмотра, типовой формы клинических рекомендаций и требований к их структуре, составу и научной обоснованности включаемой в клинические рекомендации информации» (зарегистрирован 08.05.2019 № 54588) |
|
|---|---|
А |
Сильная рекомендация (все рассматриваемые критерии эффективности (исходы) являются важными, все исследования имеют высокое или удовлетворительное методологическое качество, их выводы по интересующим исходам являются согласованными) |
В |
Условная рекомендация (не все рассматриваемые критерии эффективности (исходы) являются важными, не все исследования имеют высокое или удовлетворительное методологическое качество и/или их выводы по интересующим исходам не являются согласованными) |
С |
Слабая рекомендация (отсутствие доказательств надлежащего качества (все рассматриваемые критерии эффективности (исходы) являются неважными, все исследования имеют низкое методологическое качество, их выводы по интересующим исходам не являются согласованными) |
Порядок обновления клинических рекомендаций
Механизм обновления клинических рекомендаций предусматривает их систематическую актуализацию — не реже чем один раз в три года, а также при появлении новых данных с позиции доказательной медицины по вопросам диагностики, лечения, профилактики и реабилитации конкретных заболеваний, наличии обоснованных дополнений/замечаний к ранее утвержденным КР, но не чаще 1 раза в 6 месяцев.
Приложение А3. Справочные материалы, включая соответствие показаний к применению и противопоказаний, способов применения и доз лекарственных препаратов инструкции по применению лекарственного препарата
-
Приказ Министерства здравоохранения Российской Федерации от 15 ноября 2012 г. № 918н «Об утверждении Порядка оказания медицинской помощи больным с сердечно-сосудистыми заболеваниями»
-
Приказ Министерства здравоохранения РФ от 10 мая 2017 г. № 203н «Об утверждении критериев оценки качества медицинской помощи»
-
Приказ Министерства здравоохранения Российской Федерации от 28.02.2019 № 103н «Об утверждении порядка и сроков разработки клинических рекомендаций, их пересмотра, типовой формы клинических рекомендаций и требований к их структуре, составу и научной обоснованности включаемой в клинические рекомендации информации» (зарегистрирован 08.05.2019 № 54588).
Дифференциальный диагноз болевого синдрома при остром перикардите и остром инфаркте миокарда
| Характеристики боли | Острый перикардит | Острый инфаркт миокарда |
|---|---|---|
Локализация |
Прекардиальная зона |
Загрудинная локализация |
Иррадиация |
В плечи, в надключичную зону, в руки, в лопатку (чаще правую) |
В руку (левую), в шею, в челюсти, в плечи (чаще левое) |
Начало |
Острое, но не внезапное |
Характерно внезапное |
Характер боли |
Постоянная интенсивная боль |
Нарастающая боль |
Продолжительность |
Дни |
Часы Сопутствующие явления |
Изменения на ЭКГ у пациентов с острым перикардитом и острым инфарктом миокарда
| Признак | Острый перикардит | Острый инфаркт миокарда |
|---|---|---|
Изменения сегмента ST |
Носят диффузный характер, конкордантны, сочетаются с положительным зубцом Т, сегмент ST возвращается к изолинии в течение нескольких дней |
Носят локальный характер, дискордантны, сочетаются с отрицательным зубцом Т, при неосложненном течении сегмент ST возвращается к изолинии в течение нескольких часов |
Интервал PQ или PR |
Характерна депрессия интервала |
Какие-либо изменения не характерны |
Зубец Q, комплекс QS |
Развитие патологического зубца Q абсолютно не характерно |
Характерно быстрое развитие патологического зубца Q |
Желудочковые и предсердные нарушения ритма |
Не характерны |
Характерны |
Эхокардиографическая дифференциальная диагностика констриктивного перикардита и рестриктивной кардиомиопатии
| Признак | Рестриктивная кардиомиопатия | Констриктивный перикардит |
|---|---|---|
Движение межжелудочковой перегородки |
без изменения |
парадоксальное движение в зависимости от фазы дыхания |
Отношение пиковой скорости кровотока в фазы раннего и позднего диастолического наполнения |
> 1,5 |
> 1,5 |
Время замедления кровотока раннего диастолического наполнения |
< 160 мсек |
< 160 мсек |
Изменение трансмитрального кровотока в зависимости от фазы дыхания |
отсутствует |
обычно присутствует |
Допплер-ЭхоКГ печеночных вен |
усиление обратного кровотока на вдохе |
усиление обратного кровотока на выдохе |
Скорость движения септальной части митрального кольца в фазу раннего диастолического наполнения |
< 8 см/сек |
≥ 8 см/сек |
Скорость движения латеральной части митрального кольца в фазу раннего диастолического наполнения |
больше септальной части митрального кольца |
меньше септальной части митрального кольца |
Дифференциальная диагностика миоперикардита и острого инфаркта миокарда
Наиболее часто в клинической практике требуется проведение дифференциальной диагностики миоперикардита и острого инфаркта миокарда [291]. Необходимым условием постановки верного диагноза является тщательный сбор жалоб и анамнеза, позволяющий выявить характерные для миоперикардита особенности (например, связь с перенесенной инфекцией, лихорадка). Эхокардиография также позволяет выявить характерные для миоперикардита изменения, такие как изменение листков перикарда и гиперэхогенные очаги в миокарде [45]. Проведение коронароангиографии и МРТ сердца также зачастую являются необходимыми для дифференциальной диагностики с инфарктом миокарда.
Электрокардиографические изменения при инфаркте миокарда и миоперикардите
Признак |
Инфаркт миокарда |
Миоперикардит |
Морфология ST |
Выгнутый подъем ST |
Вогнутый подъем ST |
Отведения |
Подъем ST в смежных отведениях, соответствующих зоне кровоснабжения артерии |
Диффузный подъем ST |
Реципрокные изменения |
Характерны |
Нехарактерны, за исключением отведений aVR и V1 |
Зубцы Q |
Наблюдаются в ходе развития трансмурального инфаркта миокарда |
Не наблюдаются |
Сегмент PR |
Не изменен |
Подъем сегмента PR в отведении aVR и депрессия в других отведениях |
Диагностика констриктивного перикардита
Клинические проявления |
Признаки выраженного хронического системного венозного застоя, обусловленного низким минутным объемом сердца: набухание яремных вен, артериальная гипотония с низким пульсовым давлением, увеличение объема брюшной полости, периферические отеки и мышечная слабость |
ЭКГ |
Результаты либо нормальные, либо отмечаются снижение амлитуды комплекса QRS, генерализованная инверсия (или уплощение) зубца Т, изменение электрической активности левого предсердия, фибрилляция предсердий, атриовентрикулярная блокада, нарушение внутрижелудочковой проводимости, в редких случаях псевдоинфарктные изменения |
Рентгенография органов грудной клетки |
Кальцификация перикарда, плевральный выпот |
ЭхоКГ (в М-режиме и двухмерная) |
Утолщение перикарда ≥ 3 мм и его кальцификация, а также непрямые признаки констрикции: увеличение предсердий при нормальной конфигурации желудочков и сохраненной систолической функции; раннее парадоксальное движение межжелудочковой перегородки (признак «диастолического западения и плато»); уплощение волн задней стенки левого желудочка; отсутствие увеличения размеров левого желудочка после фазы раннего быстрого наполнения; нижняя полая вена и печеночные вены расширены и их размеры мало изменяются в зависимости от фаз дыхательного цикла |
ЭхоКГ (в допплеровском режиме) |
Ограничение наполнения желудочков; при оценке кровотока через атриовентрикулярные клапаны различия в уровне наполнения на вдохе и выдохе превышают 25% |
Чреспищеводная ЭхоКГ |
Измерение толщины перикарда |
КТ и/или МРТ сердца |
Утолщение и/или кальцификация перикарда ≥ 4 мм, цилиндрическая конфигурация одного или обоих желудочков, сужение одной или обеих атриовентрикулярных борозд, признаки застоя в полых венах, увеличение одного или обоих предсердий |
Катетеризация сердца |
Признак «диастолического западения и плато» на кривой давления в правом и/или левом желудочках; выравнивание конечно-диастолического давления в желудочках в диапазоне ≥ 5 мм рт. ст. |
Ангиография правого и/или левого желудочков |
Уменьшение размеров желудочков, увеличение размеров предсердий; во время диастолы после фазы раннего быстрого наполнения отсутствует дальнейшее увеличение размеров желудочков (признак «диастолического западения и плато») |
Ангиография коронарных артерий |
Показана всем больным старше 35 лет, а также в любом возрасте при наличии в анамнезе указаний на облучение области средостения |
Инструментальная дифференциальная диагностика констриктивного перикардита и рестриктивной кардиомиопатии
| Исследования | Констриктивный перикардит | Рестриктивная кардиомиопатия |
|---|---|---|
ЭКГ |
|
|
Рентгенография органов грудной клетки |
Кальцификация перикарда (в 1/3 случаев) |
Отсутствует кальцификация перикарда |
ЭхоКГ |
|
|
Катетеризация сердца |
Быстрое наполнение желудочка, характеризующееся скачкообразным подъемом давления в нем, сменяется горизонтальной изолинией — «диастолическое заполнение и плато» («квадратный корень») |
Систолическое давление в правом желудочке > 50 мм рт.ст., также диастолическое давление левого желудочка в покое или при нагрузке больше, чем в правом желудочке на 5 мм рт.ст. или более |
КТ/МРТ сердца |
|
|
Дифференциальная диагностика различных этиологических вариантов перикардиального выпота
| Этиология | Тесты крови | Визуализация | Перикардиальный выпот | Другое |
|---|---|---|---|---|
Подозрение на туберкулез |
Тест выделения интерферона-гамма (т.е. Quantiferon, ELISpot и др.) |
КТ органов грудной клетки |
|
|
Подозрение на неопластический процесс |
Маркеры опухолей неспецифичны или нечувствительны (СА 125 часто повышен в крови при отсутствии опухоли, когда есть серозные выпоты) |
КТ органов грудной клетки и живота, рассмотреть позитронно-эмиссионную томографию для верификации первичного очага |
|
Рассмотреть биопсию перикарда |
Подозрение на вирусный перикардит |
|
Консультация врача-инфекциониста, если тесты положительны |
Поиск генома ПЦР специфических агентов (энтеровирусов, аденовирусов, парвовируса В19, вируса герпеса 6-го типа, Эпштейна–Барр) |
|
Подозрение на бактериальный перикардит |
|
КТ органов грудной клетки |
|
Рассмотреть биопсию перикарда |
Признаки выпота в плевральную полость по данным инструментальных методов исследования
| Метод | ЭхоКГ | КТ грудной клетки | МРТ грудной клетки |
|---|---|---|---|
Выпот в полость перикарда |
|
|
|
Основные параметры для определения при исследовании перикардиального выпота
| Метод | Анализ |
|---|---|
Общая биохимия |
Уровень белка >30 г/л, отношение белка выпот/ сыворотка >0,5, ЛДГ >200 МЕ/л, отношение выпот/сыворотка >0,6a, клетки крови |
Цитология |
Цитология (качество исследования выше, если больше количество жидкости, она центрифугирована и анализ выполнен быстро) |
Полимеразная цепная реакция |
На туберкулез |
Микробиология |
Культура микобактерий, аэробные и анаэробные культуры |
Вирусологическое исследование |
По показания, специфические тесты |
ЭхоКГ при перикардите

Лучевые методы исследования при перикарде
ЭКГ при перекардите
| Препарат | Стартовая дозировка | Продолжительность приема препарата | Снижение дозы |
|---|---|---|---|
#Ацетилсалициловая кислота** |
750–1000 мг каждые 8 ч |
Длительность определяется симптоматикой и уровнем СРБ |
Снижать дозу по 250–500 мг каждые 1–2 нед. |
#Ибупрофен** |
600 мг каждые 8 ч |
Длительность определяется симптоматикой и уровнем СРБ |
Снижать дозу по 200-400 мг каждые 1–2 нед. |
#Безвременника осеннего семян экстракт (источник алкалоида) добавляется к #АСК** или #ибупрофену** для улучшения ответа на терапию и предотвращения рецидива |
0,5 мг один раз в день (масса <70 кг) или два раза в день (>70 кг) |
Длительность определяется симптоматикой и уровнем СРБ |
Снижать дозу по 0,5 мг через день при весе пациента <70 кг или перейти на прием 0,5 мг один раз в день при весе пациента более 70 кг |
#азатиоприн** |
1,5–3 мг/кг/день |
Если в течение 3 месяцев клинический эффект не достигнут, то азатиоприн следует отменить. Длительность определяется симптоматикой и уровнем СРБ |
Поддерживающая доза может колебатся от менее чем 1 мг/кг/день до 3 мг/кг/день и определяется заболеванием, индивидуальным ответом пациента и гематологической переносимостью |
Дозировки и схемы снижения доз препаратов для лечения рецидивирующего перикардита
| Препарат | Стартовые дозы | Длительность терапии | Темпы снижения | Класс рекомендаций |
|---|---|---|---|---|
#Ацетилсали циловая кислота** |
1,5–4,0 г /сутки |
недели/месяцы |
Каждые 1–2 нед по 250–500 мг |
IA |
#Ибупрофен** |
1200–2400 мг/сутки |
недели/месяцы |
Каждые 1–2 нед по 200-400 мг |
IA |
#Индометацин |
75–150 мг/сутки |
недели/месяцы |
Каждые 1–2 нед по 25 мг |
IA |
#Безвременника осеннего семян экстракт |
0,5 мг (<70 кг) |
Не менее 6 мес |
Необязательно, но возможно 0,5 мг ч/день (<70 кг) или 0,5 мг один раз (≥70 кг) в последние недели |
IA |
Темпы снижения дозы глюкокортикоидов при рецидивирующем перикардите
| Исходная доза | Темпы снижения |
|---|---|
Более 25 мг/сутки |
5мг в течение 1–2 недель |
15–25 мг/сутки |
2,5 мг в течение 2–4 недель |
<15 мг/сутки |
1,25–2,5 мг в течение 2–6 недель |
Альтернативная терапия рецидивирующего и хронического перикардита
| Препарат | Дозы |
|---|---|
#Азатиоприн** |
Постепенное увеличение с 1мг/кг/сутки веса до 2–3 мг/кг/сутки на несколько месяцев |
#Иммуноглобулин человека нормальный** (Иммуноглобулин G) для в/в |
400–500 мг в/в в день в течение 5 дней |
#Анакинра** |
С 1-2 мг/кг/день до 100 мг/сутки в течение нескольких месяцев |
Лечение констриктивного перикардита
| Перикардит | Лечение |
|---|---|
Преходящий констриктивный |
Противовоспалительная терапия в течение 2–3 месяцев |
Экссудативно-констриктивный |
|
Констриктивный |
|
Режим дозирования при введении в перикардиальный дренаж
| Название препарата | Режим дозирования для введения в перикардиальный дренаж | Источник |
|---|---|---|
#Доксициклин** |
500–1000 мг развести в 10–20 мл натрия хлорида** |
Maher EA et al. [294] |
#Цисплатин** |
10 мг развести в 10–20 мл натрия хлорида**, вводить ежедневно. Курсовая доза 50 мг |
Darocha S et al. [282] |
#Тиотепа |
15 мг препарата + 30 мг #гидрокортизона** вводить в 1–3–5-й день после дренирования |
Martinoni A et al. [293] |
#Митомицин** |
8 мг развести в 10 мл натрия хлорида** |
Lee LN et al. [292] |
#Блеомицин** |
10 мг развести в 20 мл натрия хлорида**, болюсно вводить в течение 5 минут |
Numico G et al. [280] |
#Карбоплатин** |
150 мг развести в 20 мл натрия хлорида |
Kotake M et al. [257] |
Приложение Б. Алгоритмы действий врача
Этапность в диагностике острого перикардита
Первый этап. При подозрении на острый перикардит проводятся: физикальное обследование, аускультация (шум трения перикарда, равномерное ослабление первого и второго тонов), измерение АД (снижение систолического АД на вдохе), пальпация верхушечного толчка (исчезновение при тампонаде)
При сборе анамнеза обязательно уточняется, осуществлялся ли прием прокаинамида**, изониазида** и противоопухолевых препаратов. В ходе наблюдения за пациентом анализируется динамика стихания клинических симптомов. Для острого перикардита (вирусной этиологии, идиопатического) характерно стихание процесса в ближайшую неделю. В ходе сбора анамнеза и обследования выясняется наличие базового заболевания (наблюдение у врача-эндокринолога, врача-онколога).
На первом этапе диагностического поиска проведение вирусологического исследования нецелесообразно.
В рамках первого этапа диагностического поиска при обнаружении лимфоаденопатии целесообразно проведение биопсии лимфатического узла, при обнаружении инфильтрата в легких — бронхоскопии и компьютерной томографии легких, а также ПЦР (поиск микобактерий туберкулеза).
В 90% случаев объем вмешательств первого этапа бывает достаточным для постановки диагноза и выбора стратегии лечения.
Второй этап диагностического поиска. Осуществляется только при наличии показаний к перикардиоцентезу, имеет жесткие показания и не должен выполняться рутинно. Эта процедура необходима для подтверждения туберкулезной, гнойной или онкологической природы экссудата.
Показания к проведению пункции перикарда
Абсолютные показания для проведения пункции перикарда |
|
Показания для проведения пункции перикарда с диагностической целью при: |
|
В ситуациях, когда объем экссудата мал (толщина эхонегативного пространства на ЭхоКГ менее 10 мм), проведение диагностической пункции и забор биоптатов — проведение процедуры рекомендовано в специализированных центрах |
Таким образом, во всех ситуациях, когда объем жидкости мал (сепарация листков перикарда менее 10 мм), процедура пункции перикарда не является процедурой первого выбора, и, если лечащий врач или консилиум настаивает на ней, должна выполняться в специализированном учреждении. В ходе перикардиоцентеза осуществляют взятие жидкости для последующего анализа. Оптимальный объем исследования жидкости из полости перикарда включает в себя следующие определения: уровня гематокрита (во всех случаях геморрагической жидкости),
определение относительной плотности жидкости (более 1.015), уровня белка (более 3 г/дл), соотношения свободной жидкости к плазме (более 0,5), ЛДГ (более 200 ед/л), уровня глюкозы — что позволяет диагностировать экссудат, но не уточнить диагноз; проведение цитологического анализа (поиск атипичных клеток); посев с целью выделения аэробной и анаэробной флоры, параллельный посев перикардиальной жидкости и трех проб крови на аэробные и анаэробные бактерии при подозрении на гнойный перикардит; молекулярно- биологическое исследование перикардиальной жидкости на микобактерии туберкулеза (Mycobacterium tuberculosis complex), ПЦР для определения кардиотропных вирусов. Определение уровня онкомаркеров: исследование уровня ракового эмбрионального антигена в крови (СЕА); исследование уровня альфа-фетопротеина в сыворотке крови (AFP), углеводородные антигены; исследование уровня антигена аденогенных раков CA 125 в крови; исследование уровня антигена аденогенных раков CA 72-4 в крови; исследование уровня опухолеассоциированного маркера СА 15-3 в крови; исследование уровня антигена аденогенных раков CA 19-9 в крови; исследование фактора некроза опухоли в сыворотке крови (СD 30); CD 25 — при подозрении на онкоперикардит.
Противопоказания к проведению перикардиоцентеза: объем жидкости мал или прогрессивно уменьшается на фоне противовоспалительной терапии, диагноз может быть установлен любым другим методом без использования перикардиоцентеза, неконтролируемая коагулопатия, продолжающаяся терапия антикоагулянтами (АТХ — антитромботические средства), уровень тромбоцитов менее 50x109/л, наличие расслаивающейся аорты (грудной отдел).
При значительных объемах жидкости не рекомендуется эвакуация более 1 литра жидкости сразу, т.к. это может привести к острой дилатации правого желудочка.
В ряде случаев при высокой скорости набора экссудата в полости перикарда после первой пункции целесообразно установить катетер. По катетеру необходимо осуществлять эвакуацию жидкости каждые 4–6 часов. Катетер необходимо оставить до тех пор, пока объем эвакуируемой жидкости не уменьшится до 25 мл/сутки.
Третий этап диагностического поиска при остром перикардите (биопсия перикарда). Биопсия перикарда проводится только в ходе перикардиоскопии, т.е. пациент должен находиться в специализированном хирургическом стационаре. Перикардиоскопия и биопсия перикарда должны относиться к эксклюзивным процедурам и их следует рассматривать только в единичных случаях на третьем этапе диагностики.
Предикторы негативного прогноза. Первичный осмотр пациента с острым перикардитом должен завершиться прогностической оценкой течения болезни — определением высокого, умеренного и низкого риска негативного прогноза.
К большим предикторам высокого риска негативного прогноза относят следующие симптомы: лихорадка >38°С, подострое начало заболевания, выраженный выпот в полость перикарда, тампонаду сердца, отсутствие клинически значимого ответа на терапию #ацетилсалициловой кислотой** или НПВП в течение 1 недели терапии [62, 171, 172, 11]. К малым предикторам высокого риска негативного прогноза относят: развившийся миоперикардит, прием иммуносуппрессивной терапии, травму грудной клетки, прием пероральных антикоагулянтов (антитромботические средства). Достаточно хотя бы одного предиктора негативного прогноза для верификации высокого риска.
К умеренному риску негативного прогноза течения острого перикардита относят клинические случаи, когда нет предикторов негативного прогноза, но терапия НПВП в течение недели не привела к значимому клиническому улучшению.
К низкому риску негативного прогноза течения острого перикардита относят клинические случаи, когда нет предикторов негативного прогноза, а терапия НПВП в течение недели привела к значимому клиническому улучшению.
Любое клиническое проявление, позволяющее заподозрить специфическую, отличную от вирусной, этиологию острого перикардита или присутствие у пациента хотя бы одного предиктора высокого риска негативного прогноза, требует обязательной госпитализации [172, 174, 288, 169]. Пациенты с умеренным и низким риском негативного прогноза заболевания, без признаков осложнения могут получать лечение — эмпирическую противовоспалительную терапию амбулаторно. Контроль состояния должен осуществляться не реже 1 раза в неделю [172].
Алгоритм ведения больного с перикардиальным выпотом
Пошаговый протокол диагностики при подозрении на туберкулезный перикардит
Шаг 1 Исходная неинвазивная оценка |
|
Шаг 2 Перикардиоцентез |
|
Шаг 3 Биопсия перикарда |
|
Шаг 4 Эмпирическая противотуберкулезная терапия |
|
Приложение В. Информация для пациента
Острый перикардит — это клинический синдром, имеющий полиэтиологическую природу и проявляющийся в типичных ситуациях симптомами воспаления и болями в груди, а в ряде случаев — также шумом трения перикарда и/или выпотом в полость перикарда воспалительного экссудата. Острый перикардит чаще всего является осложнением перенесенной инфекции, различных заболеваний внутренних органов и их методов лечения [289, 290].
Необходимо помнить, что возможно развитие такого грозного осложнения перикардита, как тампонада сердца — это состояние, связанное со сдавлением сердца в результате скопления в перикардиальном мешке крови или другой жидкости. Тампонада сердца возникает, когда давление в перикардиальном пространстве превышает давление в одной или нескольких камерах сердца, что, в свою очередь, ведет к ограничению их наполнения с последующим повышением внутрисердечного диастолического давления, нарушением сердечного выброса. Развитие тампонады может быть острым, подострым, а также локальным. Кровь или другая жидкость накапливается между париетальным и висцеральным листками перикарда, что препятствует расширению и полноценному кровенаполнению желудочков в диастолу, и, соответственно, приводит к снижению их насосной функции.
В остром периоде перикардита необходимо избегать интенсивных физических нагрузок. В период реабилитации рекомендуется физическая активность от низкой до умеренной интенсивности, под наблюдением врача-специалиста.