avatar

Терапевтическая стоматология : национальное руководство / под ред. Л. А. Дмитриевой, Ю. М. Максимовского. - 2-е изд., перераб. и доп. - Москва : ГЭОТАР-Медиа, 2021

ISBN 978-5-9704-6097-9

Аннотация

Второе издание национального руководства по терапевтической стоматологии входит в серию практических руководств по основным медицинским специальностям, включающих всю основную информацию, необходимую врачу для непрерывного дополнительного образования. В настоящем руководстве освещены современные вопросы профилактики, диагностики, фармакотерапии и лечения стоматологических заболеваний в терапевтической стоматологии.

Во второе издание включены гнатологические аспекты комплексного лечения пародонтологических больных, малоинвазивные методы лечения кариеса, новинки в реставрации, методиках коррекции цвета зубов и эндодонтии. Авторами руководства раскрыты актуальные вопросы пародонтологии и болезней периапикальных тканей. В материалы данной книги внесены актуальные для терапевтической стоматологии сведения о зубосохраняющих технологиях, новых аспектах гигиены полости рта.

В подготовке настоящего издания в качестве авторов и рецензентов принимали участие ведущие специалисты-стоматологи страны.

Руководство предназначено врачам-стоматологам, студентам старших курсов медицинских вузов, интернам, ординаторам, аспирантам.

Периодонтит - воспалительное заболевание тканей пародонта в области верхушки корня зуба.

КОД ПО МКБ-10

К04 Болезни пульпы и периапикальных тканей

ЭПИДЕМИОЛОГИЯ

В последнее время апикальный (верхушечный) периодонтит при эпидемиологических исследованиях и в клинике встречаются всё чаще, поражая зубы пациентов уже в детстве. Так, в возрасте 12 лет их распространённость составляет 35-39%, а среднее число поражённых зубов на одного обследованного - 0,69. У пациентов в возрасте 18 лет эти показатели ещё выше - 45 и 1,12% соответственно. По данным некоторых авторов, утрата зубов детьми в возрасте до 14-15 лет вследствие апикального периодонтита достигает 5,5-8%. В возрастной группе 35-44 года утрата зубов составляет 42% от общего значения КПУ, а у лиц в возрасте 65 лет и старше достигает 78%. В среднем у пациентов 16-64 лет на одного человека приходится 3,46 удалённых зубов, а с заболеваниями периодонта среднее число потерянных зубов у одного обследованного достигает 5,57; в том числе 2,61 зуб, ранее подвергнутый эндодонтическому лечению.

Вероятность развития и прогрессирующего течения апикального периодонтита определяет ряд местных и общих факторов. Большинство авторов относят к местным факторам особенности анатомического строения корневых каналов, патологические изменения у корней зубов до начала лечения, наличие воспалительных изменений в области краевого пародонта, ранее проводимое лечение, условия доступа к зубу. К общим факторам, влияющим на результат эндодонтического лечения, относят состояние здоровья пациента, а также клинический опыт и квалификацию врача. Так, по данным анамнеза и заключений общих специалистов и ученых-исследователей в 1988-2004 гг., установлено, что у пациентов, обращающихся за стоматологической помощью, выявлен высокий уровень (61,8%) сопутствующих заболеваний, стоматологический статус которых характеризуется наличием главным образом кариеса и его осложнений. Нередко имеется коморбидность - сочетание нескольких сопутствующих заболеваний. Например, у одного индивидуума болезни глаза и его придаточного аппарата, пищевода, желудка и двенадцатиперстной кишки и/или органов дыхания или костно-мышечной системы и соединительной ткани сочетались с заболеваниями системы кровообращения и т.д. А наличие сопутствующих заболеваний органов и систем организма ещё более усугубляют течение болезней периодонта и снижают процент их успешного лечения.

Повторное эндодонтическое лечение зубов с ранее неэффективно проведённым лечением существенно ухудшает благоприятный прогноз, который не превышает 67%, в то время как при первичном современном эндодонтическом вмешательстве достигает более 90%. Степень деконтаминации системы корневого канала от патогенных бактерий оказывает существенное влияние на отдалённые результаты эндодонтического лечения. Выявление жизнеспособной микрофлоры в системе корневых каналов перед постоянным пломбированием приводит к реинфицированию и обострению воспалительного процесса.

Приведенные эпидемиологические данные свидетельствуют о высокой распространённости болезней пульпы и периапикальных тканей и низкой эффективности их лечения. А значительное повышение количества сопутствующих заболеваний органов и систем организма среди пациентов способствует развитию одонтогенных воспалительных очагов и отягощению течения фоновой патологии.

ПРОФИЛАКТИКА

Первичная профилактика - система общих оздоровительных мероприятий, направленных на предотвращение стоматологических заболеваний с устранением причин и условий их возникновения, цель которой - сохранять здоровье человека. Она заключается в индивидуальной и профессиональной гигиене полости рта.

Вторичная стоматологическая профилактика - раннее выявление болезней твёрдых тканей зубов, особенно кариеса. Она заключается в плановой санации полости рта, оказании качественного лечения кариеса и пульпита, диспансерном наблюдении, регулярных профилактических осмотрах врачом-стоматологом пациентов, имеющих сопутствующие заболевания органов и систем организма, а также формирование стойкой мотивации у них на диспансерное наблюдение и своевременное обращение к врачу, что, в свою очередь, позволит предупредить стоматологические заболевания, а также уменьшить рецидивы общих заболеваний. После лечения и благоприятных исходов периодонтита осмотр пациентов с хронической соматической патологией необходимо проводить не реже 2 раз в год с целью контроля гигиены полости рта, при необходимости - коррекции пломб, лечения заболеваний слизистой оболочки полости рта и курса поддерживающей терапии, профилактических мероприятий.

СКРИНИНГ

У пациентов, предъявляющих жалобы на постоянную боль, болезненность при накусывании на зуб или ощущение выросшего зуба, изменение его цвета, гиперемию или отечность слизистой оболочки по переходной складке с возможным повышением температуры тела и недомоганием, наличие свища, необходимо предположить апикальный периодонтит. Нужно провести сбор анамнеза, объективный осмотр, клиническое обследование, особое значение имеют электроодонтометрическое и рентгенологическое исследования, так как воспалительный процесс приводит к некрозу пульпы и деструкции (резорбции) периодонта и костной ткани в апикальной области корня.

КЛАССИФИКАЦИЯ

По клиническому течению большинство именитых учёных выделяли острый, хронический периодонтит и корневую кисту как самостоятельную разновидность этих воспалений. Хотя исследователи при остром периодонтите различают серозный и гнойный периодонтит, дифференцировать стадии достаточно трудно, и переход серозной формы воспаления в гнойную может протекать быстро, иногда незаметно, он зависит от многих условий, особенно от реактивности организма пациента.

Наиболее часто встречают хронический верхушечный периодонтит. Заболевание имеет различия в зависимости от характера и степени повреждения тканей периодонта. При хроническом периодонтите под влиянием неблагоприятных условий (грипп, переохлаждение организма и др.) может развиться обострение воспалительного процесса, клиническое течение которого похоже на клиническую картину острого периодонтита, однако заболевание имеет свои особенности. Лечение при этой форме направлено на устранение острых воспалительных явлений, а также деструктивных изменений в периодонте и костной ткани. В этой связи принято различать в классификации и хронический периодонтит в стадии обострения.

Однако одна из ведущих классификаций - Международная статистическая классификация болезней, травм и причин смерти (МКБ), которую периодически (раз в 10 лет) пересматривают под руководством ВОЗ. МКБ - нормативный документ, обеспечивающий единство методических подходов и международную сопоставимость материалов. Московский центр по Международной классификации болезней, сотрудничающий с ВОЗ, принял непосредственное участие в подготовке очередного 10-го пересмотра МКБ, реализуя в этой работе опыт специалистов головных клинических институтов и их предложения по адаптации этого международного документа к практике работы медицинских учреждений России. МКБ-10 - единый нормативный документ, согласно которому нужно вести учет заболеваемости в медицинских учреждениях (решение Фонда обязательного медицинского страхования).

В 10-м пересмотре Международной классификации болезней, принятом ВОЗ в 1997 г., в классе[1] «Болезни органов пищеварения» (K00-K93), в разделе «Болезни полости рта, слюнных желёз и челюстей» (K00-K14) под шифром К04 представлены «Болезни пульпы и периапикальных тканей».

Важно отметить, что болезни пульпы и периапикальных тканей в МКБ-10 находятся под одним шифром, при этом классификация воспалительных заболеваний периапикальных тканей (периодонтитов) начинается с острого апикального периодонтита пульпарного происхождения - всё это указывает на этиопатогенетическую связь пульпитов и периодонтитов.

  • К04 Болезни пульпы и периапикальных тканей

    • К04.4 Острый апикальный периодонтит пульпарного происхождения
      Острый апикальный периодонтит

    • К04.5 Хронический апикальный периодонтит
      Апикальная гранулёма

    • К04.6 Периапикальный абсцесс со свищом

    • К04.7 Периапикальный абсцесс без свища

    • К04.8 Корневая киста

    • К04.9 Другие и неуточненные болезни пульпы и периапикальных тканей

Несмотря на то что в алфавитном указателе болезней в основном в начале диагностических гнёзд приведены и неуточненные состояния со знаками без детальных уточнений, необходимо избегать их использования, добиваясь соответствующего классификации уточнения диагноза.

АНАТОМО-ФИЗИОЛОГИЧЕСКИЕ ОСОБЕННОСТИ ПЕРИОДОНТА

Периодонт - соединительнотканное образование, заполняющее периодонтальную щель между корнем зуба и альвеолой. Пучки коллагеновых волокон периодонта с одной стороны входят в цемент корня зуба, а с другой - во внутреннюю компактную пластинку костной альвеолы, не проникая в костномозговые пространства (рис. 13-1).

image

Рис. 13-1. Схема расположения пучков коллагеновых волокон в периодонте

Периодонт имеет мезенхимальное происхождение и появляется в фолликулярной стадии развития зуба с началом формирования корня, развиваясь одновременно с его ростом и образованием кортикальной пластинки альвеолы. Периодонт во все стадии развития зуба расположен в пределах от шейки зуба до сформированной части корня, где сливается с тканью ростковой зоны и находится в связи с пульпой канала корня. По мере формирования корня рентгенологически происходит увеличение толщины периодонтальной щели. Формирование периодонта заканчивается примерно через год после окончания развития верхушки корня зуба.

В период рассасывания корней молочных зубов строение периодонта несколько изменяется. По мере рассасывания корней периодонтальная щель укорачивается, а периодонт замещается грануляциями.

Периодонт, или связка, удерживающая корень зуба в зубной альвеоле, образована плотной волокнистой соединительной тканью, состоящей из клеток и хорошо развитого межклеточного вещества с пучками коллагеновых волокон и основным аморфным веществом. Кровеносные, лимфатические сосуды и нервные волокна находятся в промежутках между пучками коллагеновых волокон в прослойке рыхлой соединительной ткани. Кровеносные сосуды периодонта анастомозируют с сосудами десны, костей и костномозговых пространств челюсти.

В основной массе волокна в периодонте коллагеновые (более 60%), но есть незначительное количество эластических волокон.

Фиброзные волокна периодонта на всем протяжении периодонтальной щели расположены в различном направлении. Коллагеновые зубопериостальные волокна, составляющие основную массу периодонта, идут в косом направлении от стенки лунки к цементу корня в боковых отделах. Места прикрепления фиброзных волокон в кость лунки находятся выше места вхождения их в цемент корня. Такое косое направление волокон создает условия для плотной фиксации зуба в лунке. Наличие тангенциально расположенных волокон препятствует вращению зуба вокруг своей оси. Коллагеновые волокна периодонта не растягиваются, физиологическая же подвижность зуба обеспечена за счет несколько извитого характера этих волокон. В периодонте зубов присутствует небольшое количество тонких аргирофильных волокон, морфологически напоминающих подобные волокна ретикулярной ткани. Расположенные таким образом пучки коллагеновых волокон, напоминая гамачную сетку, плотно фиксируют зуб в его ячейке: зуб как бы висит в альвеоле.

Одна из особенностей периодонта - окситалановые волокна (незрелые эластические), устойчивые к кислотам. Они чаще находятся в составе волокон пришеечной и периапикальной области и являются разновидностью эластических волокон. Окситалановые волокна утолщены в периодонте зубов, испытывающих функциональную перегрузку (Рыбаков А.И., Иванов В.С., 1973).

Возможность функциональной и морфологической перестройки периодонта, например удлинение его волокон, многие авторы связывают с постоянными отложениями цемента на поверхности корня и включением в него новых волокон периодонта с помощью деятельности фибробластов. Этим обусловлена возможность перемещения зуба в процессе ортодонтического лечения без нарушения его связи с окружающими тканями.

В периодонте обновление коллагена и клеточного состава происходит с высокой скоростью, снижающейся с возрастом. Синтез коллагена стимулируют ионы железа, меди, хрома. Для осуществления процесса синтеза коллагена необходим витамин С. Недостаток его в пище приводит к ослаблению тканей пародонта (периодонта) и подвижности зубов.

Клеточные элементы периодонта

Клетки периодонта имеют разную локализацию и разнообразны по строению и по функциям.

Фибробласты - отростчатые клетки с овальным ядром и светлой цитоплазмой, расположенные вдоль коллагеновых волокон. В клетках развиты гранулярная эндоплазматическая сеть, комплекс Гольджи, лизосомы, митохондрии. Ультраструктура фибробластов позволяет им перемещаться и участвовать в строительстве и разрушении или перестройке межклеточного вещества.

Фибробласты замещаются за счёт малодифференцированных клеток мезенхимального происхождения, из которых могут возникать и другие клетки периодонта - цементобласты и остеобласты.

Остеобласты обнаруживают на границе с альвеолярной костью и совместно с остеокластами обеспечивают перестройку кости альвеолы в репаративном остеогенезе. Выполняют пластическую функцию в построении вторичного клеточного цемента.

Цементобласты локализованы на границе периодонта с цементом и участвуют в образовании прецемента; основная их функция - построение костной ткани альвеолы (Фалин Л.И., 1963).

Многоядерные клетки промоноцитарного происхождения - остеокласты и цементокласты расположены на поверхности альвеолярной кости корня зуба в лакунах. Эти клетки, содержащие гидролитические ферменты, осуществляют резорбцию твёрдых тканей, разрушая кость, цемент и дентин.

Макрофаги, тучные клетки и лейкоциты (лимфоциты, моноциты, эозинофилы), локализуясь в интерстициальной рыхлой соединительной ткани периодонта, выполняют защитную функцию. При воспалительных процессах их количество увеличивается.

Плазматические клетки в основном обнаруживают в пришеечной области. Имеют округлую форму с резко базофильной цитоплазмой, круглым ядром и характерным расположением хроматиновых глыбок. Вырабатывают антитела, участвуя в иммунокомпетентных функциях.

Кроме указанных клеток соединительнотканного происхождения, ближе к цементу расположены эпителиальные образования (relictum epitheliale). Предполагают, что эпителиальные образования - остатки зубообразовательного эпителия, который сохраняется в периодонте зубов на протяжении всей жизни. Островки Мелассе, оставшиеся в периодонте после рассасывания гертвиговского влагалища и зубообразовательной пластинки, по предположению многих авторов, участвуют в развитии гранулем, радикулярных кист и опухолей. У лиц в возрасте старше 50 лет количество эпителиальных остатков незначительно.

Кровоснабжение периодонта

В периодонте хорошо развита сосудистая сеть. Кровоснабжение верхушечной части периодонта осуществляют 7-8 продольно расположенных сосудов - зубные веточки (rami dentales), отходящие от главных артериальных стволов aa. alveolaris superior, posterior et anterior на верхней челюсти и a. alveolaris inferior на нижней челюсти. Эти веточки разветвляются, соединяются тонкими анастомозами и образуют густую сеть периодонта, преимущественно по верхушечной части. Кровоснабжение средней и пришеечной части периодонта происходит от межальвеолярных артериальных ветвей (rami interalveolaris), проникающих вместе с венами в периодонт через многочисленные отверстия в стенках альвеолы. Межальвеолярные сосудистые стволики, проникающие в периодонт, анастомозируют с зубными веточками.

Главную роль в кровоснабжении периодонта играют сосуды, выходящие из межальвеолярных перегородок и в меньшей степени ответвления от сосудов, идущих в пульпу и десны. Отмечена тесная связь сосудов периодонта и нервных структур его и сосудов пульпы, что оказывает взаимное влияние заболеваний пульпы и периодонта.

Сосудистая сеть периодонта, помимо трофической функции, выполняет и функцию гидроамортизатора, позволяющую равномерно распределять жевательную нагрузку. Благодаря многочисленным анастомозам между магистральными сосудами периодонта создаются условия для быстрого перераспределения крови во время акта жевания.

Лимфатическая система

Лимфатические сосуды периодонта, как и кровеносные сосуды, расположены вдоль корня, находясь в тесной связи с лимфатическими сосудами пульпы, кости альвеолы и десны. По лимфатическим сосудам сосудисто-нервного пучка происходит отток лимфы из пульпы и периодонта. Лимфатические сосуды надкостницы челюсти и окружающих её мягких тканей, а также лимфатические сосуды наружной и внутренней поверхности тела челюсти образуют совместную крупнопетлистую лимфатическую сеть, отводящие сосуды которой вливаются в подбородочные, подчелюстные и околоушные лимфатические узлы. Сосуды периодонта связаны и с пульпарными сосудами (через добавочные корневые отверстия), что существенно для понимания возможных путей распространения инфекции.

Иннервация периодонта

Периодонт хорошо иннервирован за счёт альвеолярных ветвей тройничного нерва.

Часть волокон от зубных сплетений идет в направлении периодонта, где и заканчивается. Другая часть нервных волокон проникает в периодонт через костномозговые пространства и гаверсовы каналы из кости, а также со стороны десен и периоста челюсти в виде пучков.

Л.И. Фалин (1956) указывал на наличие этих двух типов морфологически различных свободных чувствительных нервных окончаний:

  • в виде древовидно ветвящихся кустиков (терминальные веточки кустиковых нервных окончаний, располагаются в нишах альвеолярной стенки и участвуют в защите от избыточного давления при функциональных движениях зуба, обеспечивая амортизирующую - распределяющую давление - функцию периодонта);

  • в форме одиночных и двойных клубочков; обнаружены также нервные концевые структуры в виде усиков, петелек, бляшек, палочек и колб, которые способны воспринимать тактильные раздражения.

Волокна обоих источников образуют вместе нервное сплетение в периодонтальном пространстве. Наиболее богатой чувствительной иннервацией обладает околоверхушечный перицемент, где встречают кустиковидные нервные окончания. Тесная связь кустиковидных нервных окончаний с пучками коллагеновых волокон позволяет отнести их к разряду механорецепторов, сигнализирующих в центральную нервную систему о степени натяжения соответствующих пучков. Эти окончания - начальное звено рефлекса, регулирующего степень жевательного давления. С клубочковыми окончаниями связывают способность довольно точного восприятия тактильных раздражителей.

Таким образом, периодонт с его чувствительными нервными окончаниями - обширное рефлексогенное поле.

Метаболизм периодонта

Для клеточных элементов периодонта характерна высокая интенсивность обменных процессов. В основном веществе периодонта содержатся нейтральные и кислые гликозаминогликаны (ГАГ), их количество в участках периодонтальной щели различно. Кислых ГАГ больше в пришеечной и периапикальной зонах, они играют важную роль в процессах формирования и дифференцировки коллагеновых структур периодонта. Нейтральные ГАГ обнаруживают в клетках, аморфном веществе, волокнистых структурах, а также в стенках сосудов.

Возрастные изменения тканей периодонта

Возрастные изменения тканей периодонта представляют не только большой теоретический, но и практический интерес. Установлено, что структура периодонта непостоянна, а претерпевает ряд характерных изменений, обусловленных возрастом. Эти изменения отмечают как в волокнистых структурах, так и в клеточных элементах.

В возрастных изменениях периодонта можно выделить три основных периода.

  • I период (примерно до 20-24 лет). Характерны развитие и формирование нормальной структуры периодонта, окончательное созревание коллагеновых волокон и становление их пространственной ориентации.

  • II период (25-40 лет). Характеризует стабилизацию строения периодонта; структура периодонта изменяется незначительно.

  • III период (старше 40 лет). Отличают деструктивные изменения в периодонте в виде разволокнения отдельных пучков коллагеновых волокон, изменения тинкториальных свойств; в частности отдельные коллагеновые волокна начинают импрегнироваться серебром в чёрный цвет, подобно аргирофильным волокнам.

Функции периодонта

Периодонт - комплекс тканей, объединённых генетически и выполняющих самые разнообразные функции: защитную, распределяющую давление, опорную, удерживающую, трофическую, пластическую и сенсорную.

Сохранение его функций имеет значение не только для прилежащих к нему тканей, но и для организма в целом, учитывая возможную роль околоверхушечного очага воспаления (периодонтита) в сенсибилизации организма.

При здоровом периодонте прочную фиксацию зубов в лунке костной альвеолы осуществляет связочный аппарат. Коллагеновые волокна периодонта и пародонта, окружающие корень зуба, и движение вязкой жидкости определяют физиологическую подвижность зуба. Однако если подвижность зуба, как по направлению, так и по амплитуде его перемещения, увеличивается, что свидетельствует о нарушении функции опорно-удерживающего аппарата, то такая подвижность - патологическая.

В среднем ширина периодонтальной щели у верхушки равна 0,2-0,25 мм, в средней трети - 0,15-0,2 мм, в пришеечной трети - 0,3 мм и более. Однако это величина переменная, атрофический процесс приводит к уменьшению, гипертрофический - к расширению щели.

Изменение толщины периодонта может изменяться в связи с патологическим процессом. При перегрузке зуба толщина периодонта увеличивается, и наблюдают изменение костной структуры зубной альвеолы. При увеличении цемента корня (гиперцементоз) могут изменяться контуры и величина периодонтальной щели.

Форма и размер гиперцементоза могут быть различными как на рентгенограмме (рис. 13-2), так и на удалённых зубах (рис. 13-3, см. цв. вклейку).

Следствием воспалительного процесса может быть резорбция альвеолы костной ткани и цемента корня (рис. 13-4).

image

Рис. 13-2. Гиперцементоз: а - гистологический срез; б - рентгенограмма зуба 45

image

Рис. 13-4. Резорбция альвеолы костной ткани и цемента корня зубов: а - зуба 22; б - зубов 31 и 41

ЭТИОЛОГИЯ

Верхушечный периодонтит в зависимости от этиологических факторов разделяют на две основные группы.

  • Инфекционной природы.

  • Неинфекционной природы, из которых чаще всего встречаются:

    • обусловленный механическими факторами (травматический);

    • возникающий под действием химических веществ (медикаментозный, токсический, аллергический).

Также возможно их общее взаимодействие в развитии воспалительного процесса.

Инфекционные причины

По данным различных исследователей, в ротовой полости обнаруживают от 300 до 500 видов микроорганизмов. Основу микрофлоры полости рта составляют бактерии; около 50% - грамположительные кокки (стрептококки и пептострептококки), 20-25% - грамположительные палочки (дифтероиды) и 20-25% грамотрицательные анаэробные кокки (Veillonella); и менее 10% принадлежит грамотрицательным анаэробным палочкам (бактероидам), т.е. так называемой агрессивной микрофлоре. Также в полости рта всегда присутствуют грибы (Candida spp.) и простейшие (Entamoeba gingivalis, Trichomonas tenax) (Царев В.Н., Ушаков Р.В., 2004).

Пути проникновения потенциальных возбудителей периодонтита делят на внутризубной (интрадентальный) и внезубной (экстрадентальный). В настоящее время при новых технологиях аэробной и анаэробной культивации исследователи высказывают единодушное мнение, что периодонтит вызывает полибактерильная микрофлора, по своему составу в основном сходная с микрофлорой при кариесе и пульпите.

В ходе кариозного процесса возникают условия для проникновения микробов через дентинные канальцы в пульпу, что приводит к пульпиту. Дальнейшее распространение микробов и продуктов их жизнедеятельности вызывает развитие периодонтита и периапикального абсцесса.

К хроническим одонтогенным очагам инфекции в полости рта относят хронический язвенный пульпит, некроз пульпы, хронический апикальный периодонтит, пародонтит, хронический перикоронтит, хронический синусит, хронический остеомиелит.

Характер микрофлоры, вызывающей воспаление, еще в конце прошлого века был определен как «смешанная инфекция», в составе которой высевались кокковые формы, бациллы, вибрионы и изредка спороносные бациллы.

Микробиоценоз внутрикорневой инфекции. Воспалительная реакция периодонтальных тканей в области верхушки корня зуба играет роль барьера, препятствующего проникновению инфекции вглубь. Латеральная система или фуркационные каналы, открывающиеся в результате патологического процесса или при лечении патологии зубов или тканей пародонта, также могут служить воротами, через которые микроорганизмы способны проникнуть в систему канала корня зуба. Глубокие пародонтальные карманы могут приводить к внедрению в каналы большого количества бактерий. В зубах, прилегающих к участкам поражения пародонта, пародонтопатогенные бактерии могут глубоко проникать в дентинные канальцы. Воспаление периодонта может развиваться также гематогенным путем при острых инфекционных заболеваниях, таких, как грипп, ангина, скарлатина и др. Наряду с периодонтом инфицированию подвергается ткань пульпы.

Однако воздействие патогенной бактериальной микрофлоры на околоверхушечные ткани связано с прогрессированием воспалительного процесса в пульпе и ее деструкцией. В воспаленной пульпе содержится большое количество зеленящих и негемолитических стрептококков (Streptococcus bovis, milleri). При гнойном воспалении пульпа может служить источником гноеродных кокков: золотистых и белых стрептококков, образующих плазмокоагулазу, а также гемолитического стрептококка, которые, как правило, вызывают острое воспаление верхушечного периодонта и примыкающих к нему тканей. При некрозе пульпы обнаруживают стрептококк (milleri, bovis, fetus), анаэробные стрептококки, реже белые или золотистые стафилококки, бактероиды, фузобактерии, спирохеты, грибы и другие микроорганизмы, как правило, участвующие в развитии хронического верхушечного периодонтита. Возможно выделение элементов друз и анаэробной культуры лучистого гриба из апикальных гранулем и при абсцессах.

Есть сведения о сочетании туберкулёзной бактериемии со смешанной микрофлорой (микобактерии, стафилококки, стрептококки) в результате гематогенного распространения инфекции из каналов зуба. Установлена скрытая персистирующая туберкулёзная инфекция в периапикальных очагах, где основная форма вегетирования микобактерий - L-форма микобактерии туберкулеза, что полностью соответствует современной концепции патогенеза скрыто протекающей туберкулёзной инфекции у пациентов.

Возможны также непосредственный переход инфекции с прилежащих зубов и транспорт микроорганизмов в область воспаления пульпы и периапикальных тканей при транзиторной бактериемии даже у здоровых лиц.

Интрадентальный путь распространения чаще всего возникает при отсутствии лечения кариеса и его осложнениях, когда микроорганизмы, их токсины, продукты распада пульпы проникают в околоверхушечные ткани через отверстие корневого канала зуба. Возникает сообщение между периодонтом, полостью рта и внешней средой.

Корневой канал представляет особую экологическую нишу, в которой создаются условия для избирательного селективного размножения ограниченной группы представителей микрофлоры полости рта. Условия в системе корневых каналов наиболее благоприятны для роста анаэробной микрофлоры, способной ферментировать аминокислоты и пептиды и нуждающейся в среде с низким окислительно-восстановительным потенциалом. На долю облигатных анаэробных возбудителей в микробном налете инфицированных корневых каналов приходится до 85-98% всех выделенных видов возбудителей. К числу наиболее важных вирулентных бактерий относят представителей группы Bacteroides и другие грамотрицательные облигатно анаэробные палочки, в том числе Fusobacterium nucleatum, Peptostreptococcus micros, Peptostreptococcus anaerobius, Eubacterium alacto-lyticum, Eubacterium lentium, Wolinella recta.

При периодонте многие микроорганизмы выявляют как самостоятельно, так и в сочетании с другими. До 1976 г. между каким-либо микроорганизмом корневого канала и клиническим течением периодонтита корреляции установлено не было. При бактериологическом исследовании некротизированной ткани пульпы во всех зубах с острым периапикальным воспалением (болезненность, отечность и экссудация) выделили Bacteroides melaninogenicus, которых не было в зубах без этих симптомов. Эти бактерии всегда присутствуют вместе с некоторыми другими микроорганизмами (Peptostreptococcus anaerobius, Peptostreptococcus micros и Campylobacter sputorum).

При изучении микрофлоры у зубов без околоверхушечных деструктивных процессов микробный рост был получен только в 28% случаев, другие авторы выявили, чем больше периапикальная деструкция, тем больше выявлялось анаэробов. Быстрое развитие обострения болезни в периодонте, в том числе спровоцированное эндодонтическим лечением, называют феникс-абсцессом.

В 1960-1970-е годы было признано, что при воспалении периапикальных тканей зуба патогенетическая роль принадлежит стрептококкам, стафилококкам и кишечной палочке.

В 1990-х годах прошлого столетия и начале XXI в. при периодонтите в 65-70% выделяли анаэробные микроорганизмы, относящиеся к грамположительным коккам, грамотрицательным бесспоровым бактериям и грамположительным палочкам рода актиномицетов. Околоверхушечные патологические очаги обсеменены микрофлорой в 100% случаев. Из корневых каналов высевались от 11 до 20 микробных видов, среди которых преобладали стафилококк, стрептококк, реже обнаруживали диплококк, дифтероид, тетракокк, кишечную палочку, протей, дрожжеподобные грибы, клебсиеллы, Clostridium perfringens.

При сообщении периапикального очага с полостью рта, например посредством свищевого хода, превалируют анаэробы.

Наряду с традиционными методами микробиологической диагностики все чаще используют современные молекулярно-генетические технологии. В середине 1980-х годов был создан процесс искусственного многократного копирования ДНК, известный как метод полимеразной цепной реакции (ПЦР), который стали применять для идентификации микрофлоры и в стоматологии.

С помощью ПЦР выяснили, что активная роль в развитии острого апикального периодонтита принадлежит черным пигментированным бактериям, обнаруживаемым в 59,3% случаев периапикального воспаления: Porphyromonas endodontalis выделен в 42,6%, Prevotella nigrescens в 7,4%, Porphyromonas gingivalis в 27,8% (P. endodontalis был найден в 70% образцов гноя, P. gingivalis - в 40%). Большое содержание этих микроорганизмов говорит об остром процессе, сопровождаемым болевой реакцией на перкуссию и экссудацией. Изучение микрофлоры с помощью ПЦР выявило наличие микроорганизма рода Olsenella, который ранее не был выделен. В 2002 г. обнаружили вид Dialister, который отмечали в 77,3% проб отделяемого из корневых каналов при хроническом периодонтите, и в 40% при остром апикальном периодонтите. Те же авторы выявили Treponema denticola при обострении хронического периодонтита в 53,3%, а без обострения - в 34,5%, что говорит об их активном участии в апикальном воспалении.

Отечественные авторы также проводили выявление инфекционных агентов в содержимом корневых каналов при хроническом апикальном периодонтите с помощью ПЦР. При проведении ПЦР-диагностики с применением отечественной тест-системы «Мультидент» с выделением и идентификацией микрофлоры в содержимом каналов зубов с различным клиническим течением периодонтита и обнаружили персистенцию наиболее вирулентных видов бактерий: Actinobacillus actinomycetemcomitans, P. gingivalis, P. intermedia. Впервые в отечественной практике были выявлены ДНК-маркёры T. denticola и B.forsythus, которые при традиционном бактериологическом исследовании не обнаруживались. Генодиагностика показала выявление ДНК-маркёров от 1 до 5 вирулентных бактерий.

В составе микрофлоры при периодонтите были также ассоциации грамположительных (пептококков, стрептококков, актиномицетов) и грамотрицательных (бактериоиды, фузобактерии) анаэробных бактерий, дрожжеподобных грибов. Над представителями основных видов - коринебактериями, пропиони-бактериями, некоторыми стрептококками, преобладали микробы агрессивных облигатно-анаэробных видов (Actinomyces naeslundii, Prevotella intermedia, Eykenella corrodens, Fusobacterium spp., Eubacterium spp.).

Экстрарадикулярная инфекция может быть вызвана внутрикорневой флорой или возникнуть независимо и быть причиной многих клинических проблем, а также приводить к неудаче эндодонтического лечения.

Неинфекционные причины

Травматическое повреждение периодонта возникает в результате острой или хронической механической травмы зуба. Травма (удар или ушиб зуба, повреждение эндодонтическим инструментом, штифтом и др.) приводит к развитию острого воспалительного процесса в периодонте, а при хроническом вялотекущем его течении - к обострению. Хроническая травма периодонта при наличии завышающей прикус коронки или пломбы, некачественного ортодонтического лечения, вредных профессиональных и бытовых привычек, у портных перекусывать нитки, у сапожников и плотников держать гвозди зубами и т.д. могут приводить к развитию в околоверхушечных тканях хронического воспаления. Травматическая нагрузка может привести и к околоверхушечной резорбции компактной пластинки альвеолы.

Медикаментозный причинный фактор возникает при неправильном применении сильнодействующих химических и лекарственных веществ (формальдегида, фенола, мышьяковистой пастыρ и др.) при эндодонтическом лечении пульпита. Данные препараты вызывают повреждение (коагуляционный или коликвационный некроз) тканей периодонта, обусловливая острую воспалительную реакцию периодонта, которая сравнительно тяжело поддается лечению из-за выраженного угнетения репаративных процессов в периапикальных тканях.

Токсическое действие оказывают продукты распада пульпы (биогенные амины и др.) при их проникновении из канала корня в периодонт, что возможно при некрозе пульпы, вызванном токсическим влиянием пломбировочных материалов (пластмассовых, композитных, в том числе и светоотверждаемых), особенно при пломбировании ими без протокола адгезивной техники или её нарушении, а в некоторых случаях без наложения изолирующих, лечебных прокладок по показаниям.

Атопическая аллергия. Её причина - сенсибилизация организма человека к различным лекарственным препаратам, применяемым при эндодонтическом лечении в обычных безвредных концентрациях, но способных вызвать местную иммунную реакцию. Возможны проявления аллергии немедленного или замедленного типа.

Следует учитывать, что компоненты пломбировочных материалов для корневых каналов взаимодействуют с белками организма и образуют антигенно активные вещества, которые могут вызвать аллергическую реакцию. На лекарственные вещества, содержащиеся под повязкой в корневом канале, у пациентов может развиться реакция гиперчувствительности I типа. Существуют данные, что вещества, используемые при эндодонтическом лечении, могут действовать как гаптены. К ним относят фенол и камфору, лекарственные формы с йодом, эвгенол, креозотρ, гипохлорит натрия, водорода пероксид, ЭДТА и местные анестетики. Зная об этих особенностях, для ирригации (орошения), внутриканального лечения и пломбирования необходимо использовать препараты, в наименьшей степени вызывающие ответную воспалительную реакцию.

Следует отметить, что неинфекционные факторы имеют значение только для начальных стадий процесса. В дальнейшем течении воспалительного процесса ведущее значение имеют присутствующие в очаге поражения различные виды бактериальной микрофлоры, что следует учитывать при планировании комплексного лечения апикального периодонтита.

В 1980-1990-е годы получены данные о влиянии на околоверхушечные ткани эндотоксина, образуемого при повреждении оболочки грамположительных бактерий, вегетирующих в корневых каналах зубов, лишенных пульпы. В системе корневых каналах таких зубов обнаружен бактериальный эндотоксин. Его токсическое и пирогенное действие доказано. Попадание эндотоксина в заверхушечные ткани приводит к быстрой дегрануляции тучных клеток. Бактериальные эндотоксины активируют компоненты комплемента, которые, образуя биологически активные вещества, увеличивают проницаемость сосудов. Следствие этого - накопление лимфоцитов и макрофагов.

Развитие воспалительного процесса в периодонте, наиболее часто возникающего как осложнение пульпита, обусловлено поступлением инфекционно-токсического содержимого корневых каналов через верхушечное отверстие. Этому способствует чрезмерная жевательная нагрузка на зуб, герметизация полости зуба,

с некрозом пульпы; проталкивание инфицированного токсического содержимого корневых каналов за верхушечное отверстие при эндодонтическом лечении. Патогенетическая роль микроорганизмов в развитии воспалительного процесса в периодонте и их участие в местном иммунном ответе очевидны. Условно развитие одонтогенного воспаления можно представить следующим образом:

  • распространение бактерий из очага инфекции и их воздействие на ткани и органы;

  • распространение токсинов из очага и их воздействие на органы;

  • антигенное воздействие бактерий на организм.

Распространение бактерий из очага инфекции. Чистка зубов, кюретаж, удаление зубов, трансплантация могут привести к непродолжительной бактериемии. Кроме того, бактерии из полости рта могут попасть в кровь при тяжелых некротических гингивитах и стоматитах, из пародонтальных карманов, особенно при абсцедировании, из системы корневых каналов при некрозе пульпы, из кист и гранулем, при периодонтите. При нормальном состоянии организма эта непродолжительная бактериемия в худшем случае может проявиться только в повышении температуры тела. При снижении активности факторов резистентности после выхода бактерий из очага можно наблюдать их размножение и колонизацию других тканей. По данным некоторых авторов, в этом плане особенно опасны бактерии из полости рта, так как многие из них обладают способностью к прикреплению к поверхности клеток или других структур. Синтезирующие декстран стрептококки часто вызывают эндокардит, а у наркоманов - сепсис. Эти штаммы стрептококков обладают способностью прилипать не только к поверхности эмали зубов, но и к ткани клапанов сердца.

Микроорганизмы полости рта, особенно одонтогенные, могут стать причиной острого бактериального миокардита, инфекционного эндокардита, воспалительных процессов в головном мозге. Особенно высок риск одонтогенного заражения при заболеваниях, при которых резко снижена резистентность (лейкоз, агранулоцитоз, применение иммунодепрессантов и др.).

Распространение токсинов из очага инфекции. Многие микроорганизмы вырабатывают токсины и другие биологически активные вещества, которые в малом количестве могут вызывать серьезные изменения в тканях и органах макроорганизма. Эндотоксин, или липополисахарид наружной мембраны грамотрицательных бактерий, и другие метаболиты могут вызвать дегенеративные изменения периферических окончаний нервов, что приводит к нарушению их функции (парезам, параличам) и невралгическим болям. Пирогенное действие эндотоксина вызывает субфебрильную лихорадку, головную боль, боль в суставах и мышцах. Экзотоксины стрептококков группы А и некоторых штаммов золотистого стафилококка также in vitro обладают пирогенным действием и нарушают функции лей коцитов.

Антигенное воздействие микроорганизмов. Компоненты над- и поддесневой зубных бляшек могут через десневой желобок и пародонтальный карман проникать в прилежащие ткани и затем попадать в кровь. При чистке зубов, воспалительных процессах, кюретаже, трансплантации зубов микробы бляшки, слюны попадают в ткани и вызывают местный и общий иммунный ответ. Этот иммунный ответ может стать причиной различных заболеваний.

Перекрестно реагирующие антигены. Многие антигены микроорганизмов и тканей человека имеют общие антигенные детерминанты, вследствие чего антитела, вырабатываемые против них, могут взаимодействовать с тканями макроорганизма, вызывая деструкцию тканей и воспаление в результате активации комплемента. Так, сыворотка против S. mutans дает перекрестные реакции с антигеном из сердечной ткани человека и в меньшей степени с антигеном из скелетной мышцы.

Взаимодействие «антиген-антитело», иммунные комплексы. Циркулирующие антигены, комплексы «антиген-антитело» вызывают острые и хронические воспалительные процессы, гиперчувствительность замедленного типа. Длительное наличие антигена в организме приводит к воспалению в миокарде, эндокарде (особенно в клапанах), печени, к развитию диффузного гломерулонефрита, диффузной интерстициальной пневмонии, увеличению селезенки и периферических лимфатических узлов. У многих пациентов с кожными поражениями, заболеваниями глаз (увеиты, иридоциклиты), у больных артритом, гломерулонефритом возникают положительные кожно-аллергические пробы с некоторыми микроорганизмами полости рта.

В определенных случаях санация хронических очагов в полости рта приводит к излечению заболеваний, связанных с наличием очага.

Из многочисленных причин, лежащих в основе генеза кариеса зубов и его осложнений, основную роль играют нарушения обменных процессов и снижение иммунологической реактивности организма.

ВЛИЯНИЕ МИКРОФЛОРЫ НА ИММУНОЛОГИЧЕСКИЕ РЕАКЦИИ ПРИ ПЕРИОДОНТИТЕ

Исследование по изучению влияния микрофлоры на иммунологические реакции при периодонтите способствует пониманию этиопатогенетических процессов развития и течения заболевания.

Одна из главных причин развития острых одонтогенных воспалительных заболеваний - периапикальный абсцесс. По мнению некоторых авторов, этому способствует ряд моментов: диффузия через капсулу гранулёмы токсинов и продуктов тканевого распада, которые оказывают повреждающее действие на тканевые структуры либо, проникая в сосудистое русло, вызывают образование иммунных комплексов, образующих реакцию по типу феномена Артюса; это механическое повреждение капсулы способствует тому, что в инфекционный очаг проникают сенсибилизированные лимфоциты, которые высвобождают активные вещества - экзогенный фактор повреждения. Кроме того, гранулёма, сложная по своему составу, в совокупности с микрофлорой способна оказывать прямое повреждающее действие.

Длительное существование локального очага инфекции сопровождает повышение чувствительности организма - сенсибилизации к действию того или иного раздражителя. Полученные данные свидетельствуют о сенсибилизации пациентов с периапикальными абсцессами к антигену зубной гранулёмы и бактериям, которые наиболее часто выделяют при этом заболевании, что подтверждает предположение о ведущей роли микрофлоры в антигенных свойствах зубной гранулёмы, и, вероятнее всего, механизм обострения хронического периодонтита связан с усилением активности микрофлоры её населяющей.

ПАТОГЕНЕЗ

В основе воспаления тканей периодонта стоит поступление микроорганизмов, их токсинов, продуктов распада пульпы в околоверхушечные ткани. Реакция, в свою очередь, зависит от состояния организма, так как воспаление хотя и местное, но его клинические проявления - отражение общей реактивности организма. Кроме того, местно протекающее воспаление, в свою очередь, оказывает большее или меньшее воздействие на весь организм.

По мере того как антигены проникают из системы канала, возникает воспалительная реакция. В очаге воспаления скапливаются нейтрофилы, макрофаги, лимфоциты, плазматические и тучные клетки, которые, взаимодействуя с антигенами субстанции корневого канала, приводят к образованию большого количества медиаторов воспаления, включая нейропектазу, комплемент, лизоцим и метаболиты арахидоновой кислоты. Известно, что простагландины и лейкоциты играют важную роль в развитии околокорневого поражения.

Основная роль при остром воспалительном процессе принадлежит эндотоксинам грамотрицательных бактерий, которые оказывают выраженное антигенное воздействие на иммунологическую систему околозубных тканей (костную, костномозговую, лимфатическую). Бактериальный эндотоксин, обладающий токсическим и пирогенным действием, приводит к образованию биологически активных веществ и усиливает проницаемость сосудов. Происходит дегрануляция тучных клеток, нарушается синтез гепарина и гистамина. Развитие воспаления протекает с нарушением процессов экссудации, инфильтрации, микроциркуляции и образованием тромбоза, что приводит к гипоксии с угнетением функции периодонта.

Интенсивность острого воспаления околозубных тканей зависит от вирулентности микробной микрофлоры и от состояния иммунитета макроорганизма. Если иммунологические защитные механизмы ослаблены, то ограниченный локальный патологический процесс распространяется за пределы кортикальной пластинки альвеолы на костную ткань челюсти с явлениями общей интоксикации организма.

В случае, если иммунологические защитные реакции смогут сформировать защитные барьеры и ограничить процесс, то он приостанавливается на ранней стадии своего развития, без признаков острой интоксикации организма. В этом случае происходит развитие хронического воспалительного процесса, так как сохраняется постоянное раздражение периодонта антигенами, поступающими из корневого канала.

Установлено, что в патогенезе хронического периодонтита имеют значение два типа иммунных реакций:

  • I тип - образование комплекса «антиген-антитело» (иммунокомплексные реакции типа Артюса) и обусловленные IgЕ реакции (атопия);

  • II тип - гиперчувствительность замедленного типа.

К антителозависимым относят иммунокомплексные и обусловленные IgE реакции. К обусловленным клеточным иммунитетом относят реакции гиперчувствительности замедленного типа.

Для развития иммунокомплексной реакции при хроническом верхушечном периодонтите необходимы три условия: наличие плохо фагоцитируемых иммунных комплексов, системы комплемента и большого количества нейтрофилов. При хроническом периодонтите в периапикальных тканях обнаружен IgE, который обладает способностью в течение длительного времени фиксироваться на рецепторах базофилов и тучных клеток. Антиген связывается на поверхности тучной клетки двумя молекулами IgE, вследствие чего из клетки высвобождаются гистамин, серотонин и другие медиаторы воспаления, которые повышают проницаемость сосудов, и при их расширении в ткани периодонта поступает большое количество лейкоцитов, которые выступают в качестве источника ферментов, разрушающих нежизнеспособные ткани.

Реакции гиперчувствительности замедленного типа отличает от иммунокомплексных то, что при них нет необходимости в антителах, так как со специфическим антигеном реагирует сенсибилизированный Т-лимфоцит. Реакция гиперчувствительности замедленного типа возникает вследствие взаимодействия уже сенсибилизированных лимфоцитов и главным образом клеточных антигенов, что стимулирует размножение лимфоцитов и выделение из них лимфокинов. Некоторые лимфокины вызывают разрушение клеток периодонта (например, лимфотоксин). К лимфокинам также относят фактор, активирующий остеокласты, который осуществляет резорбцию кости. В зоне воспаления макрофаги и нейтрофилы выделяют фермент коллагеназу, которая способствует растворению коллагеновых волокон и вызывает деструкцию костной ткани. В деструкции костной ткани при периодонтите важную роль играют вещества, активирующие элементы остеокластической системы: микробиологические агенты, воспалительные клетки (моноциты, нейтрофилы, макрофаги, лимфоциты) и их продукты (простагландины, гепарин). Известно, что апикальные гранулемы продуцируют фактор, стимулирующий синтез простагландинов. Развитие периапикальной костной резорбции вызвано этими иммунными механизмами.

КЛИНИЧЕСКАЯ КАРТИНА

Клиническая характеристика периодонтита слагается из ряда симптомов и параклинических методов диагностики. Диагноз в целом ряде случаев может быть установлен лишь на основании всего комплекса данных, полученных при сборе анамнеза и применении различных исследований. Обследование пациента включает: жалобы, историю развития настоящего заболевания, статус здоровья, перенесенные и сопутствующие заболевания, клинические исследования (осмотр, пальпация, перкуссия); электроодонтодиагностику, рентгенологические исследования (внутриротовые и внеротовые рентгенограммы в различных проекциях, ортопантомограммы, фистулографию, радиовизиографию, компьютерную томографию и магнитно-резонансную томографию, специальные функциональные методы, лабораторные исследования (цитологические, патоморфологические, клинический анализ крови и иммунограмма, биохимические исследования, анализ мочи и др.).

При сборе анамнеза о стоматологическом заболевании уточняют время появления симптомов, связь с сопутствующим заболеванием, ранее проводимое лечение и его эффективность. Важный этап диагностики для стоматолога - анкетирование больного с выяснением сопутствующей патологии и общего физического состояния организма на момент осмотра.

ОСТРЫЙ АПИКАЛЬНЫЙ ПЕРИОДОНТИТ ПУЛЬПАРНОГО ПРОИСХОЖДЕНИЯ

Острый апикальный периодонтит характеризует прогрессирующее воспаление околоверхушечных тканей с нарастающими симптомами интоксикации. При остром периодонтите возникает резкая локализованная боль усиливающегося характера. Интенсивность боли зависит от количества и характера воспалительного экссудата в околозубных тканях. Продолжительность острого периодонтита от 2-3 сут до 2 нед. Развитие острого воспаления в периодонте с учетом клинических проявлений и патологической анатомии протекает в две взаимосвязанные и переходящие из одной в другую стадии - интоксикации и экссудации (рис. 13-5, см. цв. вклейку).

Острый апикальный периодонтит пульпарного происхождения в начале развития болезни характеризует нерезко выраженная ноющая боль. Она локализована в области причинного зуба, который чувствителен при накусывании.

Объективно: зуб интактен, возможно травматическое повреждение, но чаще всего больной зуб имеет кариозную полость или постоянную пломбу. Зондирование области кариозного поражения безболезненно. Реакция на перкуссию выражена незначительно. Слизистая оболочка десны и переходной складки у зубочелюстного сегмента без воспалительных изменений или гиперемирована, при пальпации возможна незначительная болезненность. Регионарные лимфатические узлы могут быть незначительно увеличены и слабоболезненны, ЭОД свыше 100 мкА. Рентгенологически, как правило, не наблюдают изменений в периодонте.

При прогрессировании воспалительного процесса в периодонте возникает апикальный абсцесс.

Дальнейшее скопление экссудата клинически характеризует интенсивная боль пульсирующего характера. Отток воспалительного экссудата нарушен или не происходит из-за недостаточного дренажа через кариозную полость, наличия коронковой или корневой пломб, ортопедической конструкции и т.д. Боль иррадиирует по ходу ветвей тройничного нерва. Боль постоянная с временным ослаблением. Боль, как правило, постоянная, и пациент может указать на больной зуб. Скопление экссудата у верхушки корня зуба вызывает у больного ощущение удлинения (выталкивания жидкостью) зуба (симптом выросшего зуба). Даже слабое прикосновение к зубу вызывает резкую боль. Развитие апикального абсцесса характеризуют все пять признаков воспаления: местное повышение температуры, боль, отёк, гиперемия, нарушение функции.

Пациенты нередко отмечают общее недомогание, головную боль, нарушение сна, субфебрильную температуру тела.

Объективно: в зубе нередко можно видеть кариозную полость, не сообщающуюся с полостью зуба, или зуб интактен, или под пломбой. Пульпа зуба, как правило, находится в состоянии гангренозного распада. Перкуссия зуба в вертикальном и горизонтальном направлениях вызывает резкую боль, поэтому не рекомендуют проводить ее традиционно - достаточно легкого прикосновения к зубу, чтобы не причинять пациенту дополнительной боли. Подвижность зуба увеличивается. Слизистая оболочка десны в области верхушки корня причинного зуба гиперемирована, отечна, переходная складка может быть сглажена, её пальпация резко болезненна. Определяют увеличение и болезненность как поднижнечелюстных, так и подподбородочных лимфатических узлов. В области поражённого зуба возможен коллатеральный отёк, который при остром периодонтите, сопровождающимся гнойным эксудатом, следует отличать от инфильтрации тканей, наблюдаемой при периостите, абсцессе или флегмоне. При остром апикальном периодонтите определяют лишь пастозность отёчной ткани десны, пальпация которой не вызывает резких ощущений у больного. При флегмоне обнаруживают воспалительный инфильтрат, резко болезненный при пальпации. Кожные покровы над инфильтратом спаяны с подлежащими тканями, напряжены, лоснятся, имеют интенсивно розовый или красный цвет.

Важное отличие острого периостита от острого апикального периодонтита - слабая реакция или отсутствие болевой чувствительности при перкуссии причинного зуба.

При исследовании крови у большинства больных острым апикальным периодонтитом и развитием абсцесса отмечают лейкоцитоз, повышение скорости оседания эритроцитов (СОЭ).

Рентгенологически при остром периодонтите обычно не наблюдают видимых изменений в периодонте. При этом компактная пластинка альвеолы бывает невредимой и гладко очерченной. Ширина и очертания периодонтального пространства не изменены, так как накопившийся в нем серозно-гнойный или гнойный экссудат не обладает рентгеноконтрастностью. При выраженной остеолитической интенсивности процесса можно иногда наблюдать расширение периодонтальной щели и слабые деструктивные изменения. У некоторых больных может определяться потеря чёткости рисунка губчатого вещества костной ткани - диффузия (рис. 13-6).

Если воспалительные явления острого периодонтита продолжаются более недели, процесс может сопровождать резорбция костной ткани дна альвеолы.

В последующем происходит распространение гнойных масс, а исход будет зависеть от путей выхода экссудата из очага воспаления. Таких путей возможно четыре.

Первый путь выхода экссудата - через корневой канал. Экссудат устремляется в канал и выходит наружу при наличии дренажа. Этот путь движения экссудата наиболее благоприятен. Дренирование может произойти как естественным, так и искусственным путем.

Второй путь движения экссудата - распространение его по периодонтальной щели, отстраняя волокна периодонта, экссудат распространяется по направлению к краевому пародонту, достигнув циркулярной связки зуба, выходит через физиологический десневой путь. Обычно этот процесс приводит к увеличению подвижности зуба, так как разрушается его связочный аппарат. Этот путь распространения экссудата менее благоприятен, так как хотя периодонтальная щель и освобождается от избытка экссудата, в то же время нарушается целостность тканей периодонта и пародонта.

image

Рис. 13-6. Острый апикальный периодонтит. Схема диффузии: 1 - стадия интоксикации; 2 - стадия экссудации (апикальный абсцесс); 3 - прогрессирование воспалительного процесса при сохранении кортикальной пластинки альвеолы (поднадкостничный абсцесс); 4 - с разрушением кортикальной пластинки костной альвеолы (поддесневой абсцесс)

Третий путь движения экссудата сложный и тяжёлый - через костномозговые пространства зубочелюстного сегмента под надкостницу с образованием поднадкостничного или поддесневого абсцесса. Это связано с тем, что компактная пластинка альвеолы имеет каналы фолькмановской и гаверсовой системы. При повышенном давлении внутри периодонтальной щели экссудат проникает по этим естественным ходам, которые присутствуют в стенке альвеолы, и достигает надкостницы. Надкостница, не имеющая эластических волокон, не проницаема для экссудата, поэтому проникающий под надкостницу экссудат отслаивает её и образует поднадкостничный абсцесс. Со временем надкостница расплавляется, и гнойный экссудат, проникая в мягкие ткани, скапливается в них, образуя поддесневой абсцесс. При диффузном воспалении надкостницы, захватывающей 2-3 зубочелюстных сегмента, развивается острый периостит челюсти.

Процесс образования поднадкостничного абсцесса сопровождают значительное ухудшение общего состояния больного, резкое повышение температуры тела, головная боль, бессонница. Больные предъявляют жалобы на острую нестерпимую пульсирующую боль. Абсцессы чаще всего локализованы с вестибулярной стороны челюстей. На верхней челюсти от нёбных корней моляров верхней челюсти, второго резца возможно развитие нёбного абсцесса; на нижней челюсти от второго моляра - периостит с язычной стороны, от зуба мудрости - позадимолярный периостит, нередко появление тризма.

Наиболее редко наблюдают четвёртый путь движения экссудата - через расплавленную костную ткань. При определенных местных и общих условиях отсутствие ограничительной тканевой реакции, диффузное распространение гноя из периодонта в кость могут обусловливать развитие остеомиелита челюсти.

При своевременном врачебном вмешательстве острый периодонтит может закончиться полным выздоровлением и восстановлением периодонта, но структура периодонта изменяется, вместо правильно расположенных волокон возникает рубцовая ткань. Однако амортизирующая распределяющая давление функция периодонта сохранена.

Другой исход острого апикального периодонтита - переход процесса в хроническое состояние. Острые клинические явления стихают и исчезают, но воспалительный процесс остаётся и принимает хроническое течение, которое даёт ряд типичных для него изменений.

Патологическая анатомия. При воздействии на периодонт бактериальных, физических, химических и других факторов в тканях нарушается клеточный метаболизм, накапливается молочная кислота с развитием ацидоза, возникает отек в околоверхушечных тканях и увеличивается проницаемость сосудистой стенки, что приводит к инфильтрации лейкоцитами. Микроскопически определяют воспалительную гиперемию с картиной периваскулярного воспалительного отёка. Видны инфильтраты с примесью гистиоцитов и лимфоцитов.

Стадию выраженной экссудации характеризует нарастание лейкоцитарной инфильтрации. Микроскопически наряду с обычными признаками острого воспаления можно наблюдать обильную инфильтрацию ткани нейтрофилами. Миграция лейкоцитов приводит к расплавлению ткани и образованию гнойника. Отмечают состояние реактивного воспаления: гиперемию и отёк. Надкостница утолщена, иногда отслоена гнойным экссудатом, определяют резкое полнокровие костного мозга и очаговые нагноения. Острый гнойный процесс в периодонте вызывает изменения тканей, его окружающих (костная ткань стенок альвеолы, периост альвеолярного отростка, околочелюстные мягкие ткани, ткани регионарных лимфатических узлов). Прежде всего изменяется костная ткань альвеолы.

Отмечают резорбцию костной ткани альвеолы. Увеличивается количество кислых ГАГ в периодонте, а количество нейтральных ГАГ изменяется незначительно. В этой стадии острого воспаления процесс распространяется на костный мозг альвеолярного отростка, что можно трактовать как остит или остеомиелит.

В костномозговых пространствах, прилегающих к периодонту и расположенных на значительном протяжении, отмечают отек костного мозга и в различной степени выраженную, иногда диффузную инфильтрацию его нейтрофилами.

В области кортикальной пластинки альвеолы возникают лакуны, заполненные остеокластами, с преобладанием рассасывания. В стенках лунки и в основном в области её дна наблюдают перестройку костной ткани. Преимущественное рассасывание кости ведёт к расширению отверстий в стенках лунки и вскрытию костномозговых полостей в сторону периодонта. Некроза костных балок нет.

Таким образом, нарушается ограничение периодонта от кости альвеолы.

Дифференциальная диагностика. Острый апикальный периодонтит дифференцируют от острого, гнойного пульпита, периостита, остеомиелита челюсти, нагноения корневой кисты, острого одонтогенного гайморита. В отличие от пульпита при остром периодонтите боль бывает постоянной, при диффузном воспалении пульпы - приступообразной. При остром периодонтите, в отличие от острого пульпита, наблюдают воспалительные изменения в прилежащей к зубу десне, перкуссия более болезненна. Кроме того, диагностике помогают данные электроодонтометрии. Дифференциальная диагностика острого периодонтита и острого гнойного периостита челюсти основана на большей выраженности боли, лихорадочной реакции, наличии коллатерального воспалительного отека околочелюстных мягких тканей и разлитой инфильтрации по переходной складке челюсти с образованием поднадкостничного гнойника. Перкуссия зуба при периостите челюсти малоболезненна, в отличие от острого периодонтита. По таким же более выраженным общим и местным симптомам проводят дифференциальную диагностику острого периодонтита и острого остеомиелита челюсти. Для острого остеомиелита челюсти характерны воспалительные изменения прилежащих мягких тканей по обе стороны альвеолярного отростка и тела челюсти. При остром периодонтите перкуссия резко болезненна в области одного зуба, при остеомиелите - нескольких зубов. Причем зуб - источник заболевания, реагирует на перкуссию меньше, чем соседние интактные зубы. Лабораторные данные (лейкоцитоз, СОЭ и др.) позволяют различать эти заболевания.

Апикальный абсцесс следует дифференцировать от нагноения околокорневой кисты. Наличие ограниченного выбухания альвеолярного отростка, иногда отсутствие в центре костной ткани, смещение зубов, в отличие от острого периодонтита, характеризуют нагноившуюся околокорневую кисту. На рентгенограмме при кисте обнаруживают участок резорбции кости округлой или овальной формы.

Острый гнойный периодонтит необходимо дифференцировать от острого одонтогенного воспаления верхнечелюстной пазухи, при котором боль может развиться в одном или нескольких прилежащих к ней зубах. Однако заложенность соответствующей половины носа, гнойные выделения из носового хода, головная боль, общее недомогание характерны для острого воспаления верхнечелюстной пазухи. Нарушение прозрачности верхнечелюстной пазухи, выявляемое на рентгенограмме, позволяет уточнить диагноз.

ХРОНИЧЕСКИЙ АПИКАЛЬНЫЙ ПЕРИОДОНТИТ (АПИКАЛЬНАЯ ГРАНУЛЕМА)

Хронический апикальный периодонтит - хроническое воспаление периодонта, возникающее как переход острого процесса в хронический или формирующееся без острой стадии. Хронический верхушечный периодонтит встречается намного чаще, чем острый; значительное число заболеваний, диагностируемых как острый периодонтит, при углубленном обследовании оказывается периапикальным абсцессом (хроническим периодонтитом в стадии обострения).

Учитывая, что по МКБ-10 клинический диагноз хронического воспаления периодонта определяется как «хронический апикальный периодонтит» или «апикальная гранулема», при диагностике и планировании лечения важно учитывать комплекс факторов его развития, течения и исхода, в том числе клинических, лабораторных, рентгенологических и патоморфологических проявлений. Это несомненно влияет на качество лечения заболевания.

При гистологическом исследовании при хроническом апикальном периодонтите определяется грануляционная ткань, иногда с очагами гнойного расплавления.

Патоморфологическая картина хронического апикального периодонтита разнообразна: различают гранулирующий и гранулематозный периодонтит, который характеризуется диффузным разрастанием грануляционной ткани. Однако при гранулирующей форме разрастание грануляционной ткани в окружающие ткани происходит при сниженных механизмах ограничения роста; тогда как при гранулематозной форме у верхушки корня пораженного зуба разрастание ее отграничивается макроорганизмом с образованием зрелой волокнистой соединительной ткани в виде капсулы, не имеющей соединения с зубной альвеолой кости. Такое образование называется апикальной гранулемой. Что касается фиброзного периодонтита, который как диагноз в классификации ВОЗ отсутствует, то следует принять во внимание, что фиброзно-измененный периодонт не приводит к развитию характерных клинических признаков и рентгенологически выглядит как расширение периодонтальной щели. Такое периапикальное расширение возможно как при функциональных изменениях (у пациентов старших возрастных групп и др.), так и в результате качественного лечения необратимых форм пульпита, острого апикального периодонтита или гранулирующего апикального периодонтита и простой гранулемы, патоморфологически представленных созреванием грануляционной ткани при отсутствии обострения хронического воспалительного процесса.

Морфологическая картина хронического периодонтита разнообразна. Различают гранулирующий, гранулематозный и фиброзный периодонтит (фиброзный периодонтит как диагноз в МКБ-10 отсутствует). Фиброзные изменения периодонта не имеют собственных клинических проявлений. Рентгенологическое расширение периодонтальной щели может быть отмечено как исход качественного лечения острого периодонтита и апикальной гранулемы или пульпита при отсутствии симптомов.

Клиническая картина. При осмотре определяют зуб с некрозом пульпы. Однако в редких случаях чувствительность пульпы может быть сохранена. При периодонтите возможны слабые болевые ощущения и незначительная болезненность при накусывании на зуб. Объективно: зуб редко интактен, запломбирован или с кариозной полостью, сообщающейся с полостью зуба. Зондирование устья корневого канала безболезненно. Перкуссия может быть слабо болезненна. Пальпация по переходной складке безболезненна. Иногда пальпаторно ощущают выпячивание костной стенки при наличии гранулемы и/или кисты, чаще у нёбных корней больших коренных зубов верхней челюсти. Иногда открывается свищ на слизистой оболочке десны, чаще с вестибулярной стороны. Течение хронического периодонтита сопровождают деструктивные изменения тканей периапикальной области, а продукты распада тканевых белков (биогенные амины) представляют большую опасность для организма, вызывая его хроническую интоксикацию и сенсибилизацию.

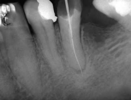
Учитывая, что клиническая картина хронического периодонтита может отсутствовать или быть незначительно выраженной для дифференциальной диагностики обязательно проведение рентгенографии. На рентгенограмме определяют деформацию периодонтальной щели с нарушением четких контуров компактной пластинки кости альвеолы. Многие случаи хронического апикального периодонтита связаны с некачественным эндодонтическим лечением (рис. 13-7).

image

Рис. 13-7. Хронический апикальный периодонтит зуба 35

Однако чаще на рентгенограмме у верхушки корня обычно определяют ограниченный очаг разрежения костной ткани округлой или овальной формы с четкими границами и остеосклерозом (рис. 13-8).

image

Рис. 13-8. Внутриротовая рентгенограмма. Деструкция костной ткани с четкими контурами у верхушек корней зубов 46 (а), 22 (б)

Вокруг участка разрежения можно видеть плотное губчатое вещество костной ткани. При обострении процесса гранулема может принимать нечёткие контуры. Благоприятным исходом при своевременном и правильно проведённом лечении считают регрессию очага деструкции и восстановление костной ткани. Отсутствие или неправильное лечение могут привести к увеличению очага воспаления и резорбции кости с развитием радикулярной кисты (рис. 13-9).

image

Рис. 13-9. Внутриротовые рентгенограммы: а - деструкция костной ткани у верхушки корня зуба 35 (как исход некачественного эндодонтического лечения); б - деструкция костной ткани у верхушки зуба 22

Иногда хронический апикальный периодонтит развивается как активный прогрессирующий процесс в периодонте и в окружающей костной ткани, где происходят разрастание и замещение периодонта грануляционной тканью, патоморфологически - хронический гранулирующий периодонтит. При эндодонтической обработке инструментами корневых каналов могут иногда наблюдаться болезненная реакция и кровоточивость в верхушечной трети. Это возможно при наличии молодой грануляционной ткани у верхушки корня с широким апикальным отверстием, подвергшегося резорбции.

Возможно увеличение и болезненность регионарных лимфатических узлов. Слизистая оболочка десны в области причинного зуба гиперемирована, пальпация по переходной складке слабоболезненна. Для апикального периодонтита характерен симптом вазопареза: при надавливании на слизистую оболочку десны тупым инструментом определяют ее побледнение, которое медленно сменяет стойкая гиперемия. Это объясняют тем, что продукты местного распада вызывают стойкий парез сосудодвигательных нервов, что приводит к нарушению тонуса сосудов и застой ным явлениям.

Характерный симптом - образование свищей на десне, чаще всего они открываются соответственно проекции верхушки корня. Из области свищевого хода нередко выбухают разросшиеся и кровоточащие грануляции. Иногда на месте свища присутствует рубцовое утолщение, свидетельствующее о временном или постоянном его закрытии. Наличие свищевого хода облегчает клиническое течение процесса, так как создает выход продуктов распада и экссудата из очага воспаления в кости. Локализация свищей довольно характерна для процессов, исходящих от определённых зубов. Так, кожные свищевые ходы на подбородке возникают при хроническом периодонтите нижних резцов и клыка, а в области нижнего отдела щеки и у основания нижней челюсти - нижних больших коренных зубов, в скуловой области - первого верхнего большого коренного зуба, у внутреннего угла глаза - верхнего клыка. Сравнительно редко свищи открываются на коже нижних отделов шеи.

Выделения из таких свищевых ходов незначительны. Они имеют серозно-гнойный или кровянисто-гнойный характер. У некоторых больных из устья свищевого хода выбухают грануляции. Иногда отверстие свищевого хода закрыто кровянистой корочкой. На некоторое время свищ может закрываться. Постепенно в результате рубцовых изменений тканей в окружности свищевого хода устье свища втягивается и оказывается в воронкообразном углублении кожи.

Не всегда легко установить связь патологического процесса в области определенного зуба со свищевым ходом на коже. Затруднения встречают, например, при наличии хронических очагов в периодонте у нескольких рядом расположенных зубов. В некоторых случаях при пальпации наружной поверхности альвеолярного отростка или челюсти можно обнаружить плотный рубцовый тяж в области переходной складки слизистой оболочки на уровне того или иного зуба. Это помогает установить причинный зуб. Рентгенография с контрастной массой или гуттаперчевого штифта, введенных через свищевой ход, могут подтвердить клиническое предположение.

Рентгенологическую картину характеризует деструкция тканей у верхушки корня, где образуются различных размеров очаги разрежения костной ткани без четких границ (рис. 13-10).

image

Рис. 13-10. Внутриротовая рентгенограмма. Деструкциия костной ткани с нечеткими контурами у верхушек корней зубов 14, 15

Верхушка корня может быть резорбирована и укорочена. При отсутствии дренажа (свищевого или канального) апикальный периодонтит, сопровождающийся наличием грануляционной ткани у апекса, чаще других форм может обострять клиническое течение.

Диагностика основана на клинической картине и рентгенологических данных. На рентгенограмме при хроническом периодонтите обнаруживают типичные изменения - очаг разрежения костной ткани в области верхушки корня. Линия периодонта в этом отделе не видна из-за инфильтрирующего роста грануляционной ткани, приводящего к рассасыванию стенок лунки, а также цемента и дентина корня. Поверхности их становятся неровными. Эту неровность выявляют более отчётливо со стороны костной ткани, в которую из периодонта идут небольшие выросты. Компактную пластинку стенки альвеолы обнаруживают лишь в боковых отделах. У пациентов с периодонтитом и вовлечением в воспалительный процесс тканей пародонта происходит резорбция кости как по горизонтали, так и по вертикали.

При хроническом периодонтите токсичные продукты воспаления всасываются в кровь, обусловливая общую интоксикацию. Вместе с тем периодонтит наиболее обратим при консервативном лечении, а деструкция костной ткани регрессирует.

Патологическая анатомия. Апикальная гранулёма - менее активная форма, в связи с преобладанием пролиферативных процессов. Однако морфологически при гранулёме участок грануляционной ткани отграничен от кости фиброзной капсулой. В центре капсулы много плазматических клеток, гистиоцитов и нейтрофилов. Гранулёма, кроме грануляционной ткани, имеет эпителиальные тяжи, а при наличии эпителиальной выстилки образуются кистогранулёмы. В зависимости от анатомического строения разделяют простые (неэпителиальные) и сложные (эпителиальные) гранулёмы. В зависимости от строения гранулёмы различают:

  • простую гранулёму, состоящую из элементов соединительной (грануляционной) ткани;

  • эпителиальную гранулёму, в которой между участками грануляционной ткани находятся тяжи эпителия;

  • кистевидную гранулёму, содержащую полости, выстланные эпителием.

Большинство гранулём эпителиальные. Морфологические исследования зрелой гранулёмы указывают на несколько зон, которые представляют единый вид защиты организма от проникновения инфекции из корневого канала (рис. 13-11, см. цв. вклейку).

  • Зона некроза содержит некротизированные ткани и бактерии.

  • Зона контаминации включает лейкоциты, лимфоциты и остеокласты.

  • Зона раздражения содержит грануляционную ткань, макрофаги, остеобласты; живые микроорганизмы отсутствуют.

  • Зона стимуляции характеризуется высокой активностью макрофагов, остеобластов и фибробластов, создающих коллагеновые волокна, а также интенсивным кровоснабжением.

Дифференциальная диагностика. Апикальную гранулёму следует дифференцировать от околокорневой кисты, особенно при выбухании кортикальной пластинки кости; хронического остеомиелита челюстей, брахиогенных свищей лица и шеи, актиномикоза, туберкулёза. Околокорневые гранулёмы чаще локализованы на верхней челюсти (63%), чем на нижней (37%). Наибольшее количество гранулём (54%) выявляют в области больших, а затем малых коренных зубов (38%).

При хроническом периодонтите с поднадкостничной гранулемой и околокорневой кисте имеется выбухание кости. Однако при кисте наблюдают смещение зубов, иногда отсутствует кость в области выбухания. На рентгенограмме при кисте присутствует очаг резорбции кости значительных размеров с чёткими ровными контурами; при периодонтите обнаруживают участок резорбции кости в среднем диаметром до 0,5-0,7 см.

В гранулёме находится небольшое количество гиалуроновой кислоты, а в протоплазме эпителиальных клеток - сульфатированные ГАГ.

Наличие кристаллов холестерина в очаге воспаления характеризует его как кистогранулёму или околокорневую кисту.

Наличие свища на лице, слизистой оболочке полости рта, гноетечение из него обусловливают сходство периодонтита и ограниченного остеомиелита челюсти. Вместе с тем для одонтогенного остеомиелита челюсти характерна острая стадия болезни, сопровождаемая симптомами интоксикации. В хронической стадии на рентгенограмме находят очаги резорбции кости, в центре которых тени - секвестры. Соседние интактные зубы становятся подвижными.

Свищи на лице и шее при периодонтите могут напоминать бранхиогенные образования. Правильной диагностике способствуют зондирование свища, рентгенография зуба, фистулография бранхиогенного свища.

Имеют сходство свищи при хроническом периодонтите и актиномикозе лица и шеи. Однако при хроническом периодонтите свищ одиночный, при актиномикозе свищи расположены в центре разлитых или отдельных мелких инфильтратов. Исследование отделяемого и нахождение друз актиномицетов при актиномикозе помогают дифференцировать воспалительные заболевания. Туберкулёзные очаги, как правило, множественные, не связанные с участком челюсти и зубами. Характерно выделение из них плотных творожистых масс. На месте туберкулёзных очагов остаются характерные звездчатой формы рубцы. Микроскопия, цитологическое и морфологические исследования позволяют установить правильный диагноз.

ПЕРИАПИКАЛЬНЫЙ АБСЦЕСС

При обострении деструктивного околоверхушечного очага у некоторых пациентов околокорневая гранулёма или гранулирующий очаг постепенно увеличивается. В ткани гранулёмы, грануляционной ткани возникают гиперемия, отёк, увеличение количества нейтрофилов - абсцедирование. Обострение может возникнуть под влиянием разнообразных причин: переохлаждение, заболевания, травма периодонта во время лечения и т.д., т.е. в появлении обострения играют роль местные причины, а также снижение защитных сил организма.

Периапикальный абсцесс (обострение хронического периодонтита) возникает на фоне уже имеющихся деструктивных изменений в периодонте и прилежащей кости.

При абсцессе нарушается целость капсулы гранулёмы, а в окружающих тканях возникают реактивные воспалительные и дистрофические процессы с преобладанием резорбции прилежащих участков стенок зубной альвеолы.

Клиническая картина. Клиническая картина периапикального абсцесса во многом похожа на таковую при остром периодонтите. В одних случаях появляется некоторая чувствительность, а иногда и болезненность при надавливании на зуб и перкуссии, а в других все симптомы острого периодонтита. Больные предъявляют жалобы на постоянную острую боль в области пораженного зуба с иррадиацией по ходу ветви тройничного нерва, боль при прикосновении к зубу, подвижность зуба. Слизистая оболочка соответственно пораженному зубу гиперемирована и отечна. При пальпации определяют инфильтрат по переходной складке, иногда отмечают дефект костной стенки в проекции верхушки корня поражённого зуба (рис. 13-12, см. цв. вклейку).

Лимфатические узлы обычно увеличены и болезненны. Больные отмечают недомогание, головную боль, плохой сон, повышение температуры тела. В общем анализе крови наблюдают лейкоцитоз, повышение СОЭ.

Морфологическую картину апикального острого воспаления характеризует расширение сосудов, выраженный диапедез, появление экссудата, нейтрофилов, плазматических клеток, лимфоцитов и формирование абсцесса.

Разрушение компактной пластинки кости обычно сопровождает появление гноя под надкостницей, что трактуют как периостит челюсти (субпериостальный абсцесс).

Периостит возникает вследствие непосредственного перехода воспалительного процесса из периодонта в периост челюсти. В зависимости от поражённого зуба и топографических особенностей зубочелюстного сегмента, условий для оттока гноя и сопротивляемости организма, периапикальный абсцесс может регрессировать, но возможно распространение гноя на соседние ткани - надкостницу челюсти, околочелюстные мягкие ткани, костную ткань. Чаще развивается острый периостит челюсти, реже - абсцессы или флегмоны лица и шеи. При прогрессировании процесса на фоне снижения иммунитета и сенсибилизации организма может возникать остеомиелит челюсти, характеризуемый гнойным воспалением костного мозга, кровоизлияниями и тромбозом сосудов, ведущих к некрозу кости.

При рентгенографии обнаруживают деструкцию костной ткани неровных или ровных очертаний, а канал корня частично заполнен пломбировочным материалом или без него. Анамнез болезни при периапикальном абсцессе помогает дифференцировать эту форму от острого апикального периодонтита.

ХРОНИЧЕСКИЙ АПИКАЛЬНЫЙ ПЕРИОДОНТИТ НА ФОНЕ СОПУТСТВУЮЩИХ ЗАБОЛЕВАНИЙ

Клиническая картина. Пациенты отмечают периодические обострения воспалительного процесса в области зубов в виде усиления симптоматики. Больные предъявляют жалобы на ухудшение общего состояния: плохое самочувствие, слабость и быструю утомляемость, головную боль мигренозного характера, плохой сон, выпадение волос, жалобы, связанные с общим заболеванием и обострениями болезней внутренних органов. Чаще они имеют заболевания пищевода, желудка и двенадцатиперстной кишки; неинфекционные энтериты и колиты, костно-мышечной системы и соединительной ткани (синдром Шегрена, системная красная волчанка), ранее перенесли или страдают миокардитом, кардиомиопатией, бронхиальной астмой, заболеваниями эндокринной системы, в том числе сахарным диабетом (рис. 13-13, 13-14).

image

Рис. 13-13. Ортопантограмма. Состояние твёрдых тканей зубных рядов с очагами воспаления у верхушек корней зубов на фоне ревматического заболевания (синдром Шегрена)

image

Рис. 13-14. Хронические апикальные деструктивные очаги у зубов на фоне язвенной болезни желудка. Ортопантомограмма

Как правило, обострение ишемической болезни сердца, гипертонической болезни, бронхиальной астмы протекает на фоне обострения хронического периодонтита. Часто у пациентов состояние полости рта неудовлетворительное (высокий индекс КПУ, некачественно проведенное эндодонтическое лечение и др.).

Для таких пациентов характерно увеличение количества деструктивных поражений в периодонте. Наличие длительно существующих деструктивных очагов инфекции в периодонтальных тканях у 3-4 зубов и более приводит к сенсибилизации организма и к снижению иммунной реактивности (рис. 13-15).

Нередко хронические деструктивные очаги существуют годами (3-8 лет). Установление определённых закономерностей важно как для диагностики, так и для стратегии лечения.

В анамнезе у таких пациентов при эндодонтическом лечении периодонтита возможны обострения воспалительного процесса (феникс-абсцесс), рефрактерность к используемым местным лекарственным препаратам, неудовлетворительные результаты при использовании традиционной консервативной терапии, отсутствие регресса одонтогенных очагов после полной обтурации каналов и развития новых обострений периодонтита после лечения (рис. 13-16).

Часто у больных возникновение периапикального абсцесса напрямую связано с обострением общего заболевания. В анамнезе таких пациентов отмечают аллергические реакции на лекарственные вещества (анестетики, эндоканальные средства, противовоспалительные препараты), настороженность к консервативной терапии.

В общем анализе крови больных, которые имеют одонтогенные деструктивные очаги, на фоне сопутствующих заболеваний обнаруживают различные изменения: анемию, при обострении процесса лейкоцитоз и сдвиг лейкоцитарной формулы влево, увеличение общего количества лимфоцитов, повышение СОЭ, у отдельных пациентов лимфопению. На фоне лимфопении отмечают изменения клеточного звена иммунитета - уменьшение популяции CD3+-клеток и нарушение баланса клеточных субпопуляций. При увеличении количества лимфоцитов наблюдают уменьшение количества Т-лимфоцитов CD3+, изменение соотношения CD4+/CD8+ за счет увеличения количества CD4+ и уменьшения числа CD8+. Наличие морфологических признаков дегенерации в ядрах нейтрофилов и лимфоцитов и токсической зернистости в цитоплазме нейтрофилов (2-3 балла) отражает выраженную интоксикацию организма.

Местный иммунитет чаще характеризует увеличение количества нейтрофилов, снижением количества эпителиальных клеток и IgA в слюне.

Важно учитывать, что при развитии множественных деструктивных периапикальных очагов большую роль играет общее состояние организма и наличие сопутствующих заболеваний. Поражения периодонта развиваются на фоне первичной и вторичной иммунной недостаточности. Течения как хронического апикального периодонтита, так и общего заболевания имеют способность к взаимному отягощению. Хронический периодонтит характеризует длительное и торпидное течение на фоне иммунологического сдвига с развитием у пациентов хронической эндогенной интоксикации.

Показания к консультации других специалистов. Одонтогенный очаг на фоне общего заболевания, взаимно влияя на их хроническое течение и общее состояние пациента, вызывает затруднения в диагностике. В этой связи приходится прибегать к проведению нескольких прицельных рентгенологических снимков, чтобы диагностировать околоверхушечные очаги, а также к визиографическому исследованию зубочелюстного сегмента. Крайне необходимо профилактическое обследование пациентов у врача-стоматолога (и специалиста по профилю общего заболевания) с диспансерным их наблюдением. При сборе анамнеза надо обращать внимание на такие симптомы, как усталость, недомогание, сниженное настроение, сонливость, частую головную боль, даже незначительно проявляющуюся боль в области зубов и слизистой оболочки рта, увеличение регионарных лимфатических узлов. Важны обследование полости носа и верхнечелюстных, лобных пазух, соотношение корней зубов с физиологически значимыми структурами лица, костей лицевого скелета. Клиническое наблюдение наглядно демонстрирует связь периодонтита (одонтогенного очага) с верхнечелюстной пазухой и развитием синусита.

image

Рис. 13-15. Резорбция костной ткани зубов 42, 41, 31, 32. Внутриротовая рентгенограмма

image

Рис. 13-16. Рентгенограмма зуба 36, хронический апикальный периодонтит: а - этап повторного эндодонтического лечения; б - после обтурации корневых каналов; в - через 3 года (увеличение очага деструкции) - апикальная гранулёма

КЛИНИЧЕСКИЙ ПРИМЕР

Пациент Ф., 37 лет, находится на диспансерном наблюдении у оториноларинголога по поводу левостороннего синусита и фронтита, проходил специализированное лечение. После переохлаждения возникло обострение воспалительного процесса в области верхнечелюстной пазухи слева, появилась слабая боль в области зуба 26 при накусывании, пациент обратил внимание на отделяемое из полости рта гнойно-кровянистого характера. Оториноларинголог направил пациента на консультацию и лечение к стоматологу.

На обзорных рентгенограммах и рентгенограммах костей лицевого черепа отмечены участки затемнения в области верхнечелюстной и лобной пазух слева (рис. 13-17).

image

Рис. 13-17. Рентгенограммы пациента Ф.: а - рентгенограмма околоносовых пазух (затемнение слева в области верхнечелюстной пазухи); б, в - ортопантомограмма (у верхушек корней зуба 26 деструктивные изменения кости)

ДИАГНОЗ

Объективно при внешнем осмотре особенностей не выявлено. Слева мостовидный протез в области зубов 24-27 при отсутствующем зубе 24. Ортопедическое лечение было проведено 10-12 лет назад. В корневых каналах пломбировочный материал. В области верхушек корней зуба 26 деструктивные изменения кости у верхушки корней размером 0,4×0,6 см, зондированием и с помощью гуттаперчевого штифта определен глубокий свищевой ход до верхушки корня зуба, с мезиальной контактной поверхности внутрикостный пародонтальный карман с серозно-кровянистым отделяемым. Пальпация слизистой оболочки десны у зуба 26 безболезненная, уплотнений не отмечено, перкуссия слабоболезненная. Проведено микробиологическое исследование содержимого из области свищевого хода, пародонтального кармана. Проведена генодиагностика (идентификации частоты выявления бактерий) и выделены вирулентные виды с частотой более 50% P. intermedia, A. actinomycetemcomitans, P. gingivalis, B. forsythus, T. denticola. Посев на чувствительность к антибиотикам для последующей комплексной терапии.

Проведены иммунологические исследования. Отмечены снижение СОЭ до 7 мм/ч, увеличение количества эозинофилов до 8%, индекс нагрузки снижен (1,2), отмечена дегенерация ядер нейтрофилов и лимфоцитов. В местной иммунограмме: умеренный лейкоцитоз, снижено количество эпителиальных клеток и повышены процент нейтрофилов и их адгезионная активность, содержание секреторного IgA снижено (рис. 13-18).

image

Рис. 13-18. Показатели иммунологических исследований у пациента Ф.

После обследования больному поставлен диагноз: периапикальный абсцесс зуба 26 (со свищем), хронический левосторонний одонтогенный гайморит, фронтит. Больному рекомендована и проведена санация полости рта с удалением зуба 26, комплексное лечение у оториноларинголога с последующим рациональным протезированием. Противовоспалительные средства, остеоиндуктивные препараты применять с учетом антибиотикограммы. Назначена детоксикационная и иммуномодулирующая терапия. Диспансерное наблюдение.

Таким образом, развитие хронического периодонтита и влияние его на организм в целом и сопутствующие заболевания, как правило, связаны с тем, что не устранена одонтогенная причина болезни. Инфекционные агенты от первичного инфекционного очага попадают различными путями во внутренние органы - сердце, легкие, почки, соединительную ткань и др. и вызывает их поражение и общую сенсибилизацию. Диагностика профильными специалистами той или иной патологии заставляет искать источник инфицирования, среди которых обнаруживают патологические околоверхушечные деструктивные очаги. Одновременно, с одной стороны, общая патология, а с другой - одонтогенные очаги инфекции ведут к нарушению иммунитета, что формирует хроническую эндогенную интоксикацию.

Наличие очагов хронического воспаления в околоверхушечных тканях зубов может нарушать защитные ответные реакции при системных заболеваниях следующими путями:

  • очаговая инфекция сама может быть фактором риска развития системной патологии;

  • микробные биоплёнки могут быть резервуаром для накопления грамотрицательной анаэробной микрофлоры и источником поступления в организм бактериальных эндотоксинов;

  • очаги хронического воспаления являются источниками синтеза медиаторов воспаления.

Анатомическая близость скопления микроорганизмов к кровеносному руслу периодонта и близлежащей к альвеоле кости способствует развитию бактериемии и системному распространению бактерий их токсинов и иммунных комплексов. Обострения хронического периодонтита, а также ряд лечебных эндодонтических вмешательств (удаление зуба) могут приводить к массивному поступлению микроорганизмов в кровеносное русло. В последнем случае бактериемия носит, как правило, транзиторный характер и устраняется в течение нескольких минут благодаря функционированию ретикулоэндотелиальной системы. Однако у пациентов с пороками сердца или на фоне патологии системы кровообращения, крови, кроветворных органов и отдельные нарушения, вовлекающие иммунный механизм, даже непродолжительная бактериемия может быть фактором риска, приводя к развитию инфекционного эндокардита, миокардита, кардиодистрофии, острого инфаркта миокарда или инсульта. Усиленная подверженность развитию бактериального эндокардита на фоне хронической одонтогенной инфекции отмечена у пациентов с врожденными пороками сердца и искусственными сердечными клапанами.

В стоматологической практике важно выявить очаг инфекции и верно диагностировать заболевания, вызванные им, поэтому необходимо обращать внимание на наличие зубов с кариесом и его осложнениями, в том числе зубы, не подвергавшиеся эндодонтическому лечению. Необходимо выявлять изменения в костной ткани в околоверхушечной области зубов, особенно при некачественном эндодонтическом лечении. Следует обращать внимание на зубы, являющиеся опорой ортопедических конструкций, нагрузку, падающую на них. Перегрузка опорных зубов может вести к увеличению очагов деструкции кости у верхушек корней, вымыванию из каналов пломбировочного материала.

ПРИМЕР ФОРМУЛИРОВКИ ДИАГНОЗА

См. табл. 13-1.

Таблица 13-1. Пример формулировки диагноза

Основной диагноз Этиология Течение Другие заболевания

Апикальный периодонтит зуба 26

Инфекционный (обычно не указывают)

Хронический

Сахарный диабет 2-го типа

ЛЕЧЕНИЕ

Комплексную терапию необходимо планировать на основании результатов обследования, отражая данные в медицинской карте. Пациент должен быть проинформирован о вариантах предполагаемого лечения, его длительности и эффективности с учетом состояния здоровья больного, возможных осложнениях, альтернативных методах лечения, реабилитационных мероприятиях, диспансерном наблюдении. Не менее важно согласовать с пациентом необходимость правильного соблюдения рекомендаций врача по уходу за полостью рта и назначаемых лекарственных средств и процедур. При получении от пациента информированного согласия проводят лечение.

Цели лечения

Лечебные мероприятия при болезнях тканей периодонта выходят за рамки лечения только причинного зуба и предусматривают одновременное решение нескольких задач: в активном высвобождении организма от патогенной микрофлоры и продуктов их распада, устранении инфекционного очага, предупреждении инфекционно-токсического, аллергического и аутоиммунного воздействия на организм, предотвращении распространения инфекции, развития воспалительных процессов в околозубных тканях и заболеваний внутренних органов. При лечении верхушечного периодонтита необходимо санировать воспалительный очаг в околоверхушечных тканях, добиться восстановления костной ткани в очаге деструкции, обеспечить восстановление функций периодонта и зубочелюстной системы, повышении качества жизни пациентов.

Консервативное лечение возможно при всех формах острого и хронического периодонтита.

Консервативное лечение апикального периодонтита ограничено абсолютными и относительными противопоказаниями.

  • Абсолютные противопоказания:

    • неадекватное психоэмоциональное состояние, олигофрения;

    • продольный перелом;

    • резорбция цемента;

    • глубокие пародонтальные карманы и большая убыль костной ткани у причинного зуба;

    • подвижность зубов III степени;

    • радикулярные кисты диаметром более 2 см или проросшие в верхнечелюстную пазуху, полость носа, нижнечелюстной канал, к подбородочному отверстию и т.д.;

    • невозможность доступа к зубу - ограниченное открывание рта, непереносимость лекарственных препаратов и материалов, острое течение инфаркта миокарда, при нарушении мозгового кровообращения и т.д. или отказ пациента от вмешательств врача.

  • Относительные противопоказания:

    • плохая гигиена полости рта;

    • облом стержневого инструмента в канале;

    • перфорация корня или твёрдых тканей зуба в области фуркаций; выраженное искривление корня;

    • зубы, ранее леченные, но являющиеся причиной прогрессирования воспалительного процесса;

    • острые воспалительные заболевания органов и тканей полости рта.

Необходимо отметить, что совершенствование эндодонтических инструментов, лекарственных средств сужают эти противопоказания. Применение зубосохраняющих операций - ампутацию корня, гемисекцию, резекцию верхушки корня, коронорадикулярную сепарацию, реплантацию следует рассматривать как альтернативные методы лечения, т.е. применимые в тех случаях, когда полноценное эндодонтическое лечение неосуществимо либо не достигает цели.

Проведение консервативно-хирургических методов лечения сопряжено с транзиторной бактериемией, что важно учитывать, например, у пациентов с ревматизмом, инфекционным эндокардитом, врожденным пороком и др.

Обезболивание при лечении периодонтита

Вследствие гибели пульпы зуба основные эндодотические манипуляции безболезненны, однако обезболивание требуется при острых формах течения одонтогенного воспалительного процесса, а также при стоматологических вмешательствах у больных группы риска. Препарирование твёрдых тканей зуба при остром периодонтите резко болезненно. Это обусловлено раздражением околоверхушечных тканей вибрацией, сопровождающей препарирование зуба.

Для успешного осуществления эффективной амбулаторной стоматологической помощи нужно учитывать многовозрастной состав пациентов, часто имеющих общесоматические заболевания разной степени компенсированности. Кроме того, посещение врача-стоматолога для многих пациентов довольно сильный дополнительный фактор стресса, вызывающий психоэмоциональное напряжение различной степени выраженности. Необходимо сохранение контакта с пациентом и диагностика психического статуса, что требует применения соответствующих дифференцированных методов премедикации и обезболивания.

Премедикацию проводят с учетом типа и степени выраженности психоэмоциональной реакции. Необходимо применение индивидуально подобранных и рациональных для каждого конкретного случая лекарственных препаратов. Для психического успокоения при необходимости можно применять транквилизаторы

(диазепам, мидазолам), барбитураты, антидепрессанты, нейролептики (дроперидол), а для уменьшения секреции слизистых оболочек бронхов и слюнных желёз можно назначить препараты красавки (бекарбон) или м-холиноблокаторы (атропин, метоциния йодид). У больных аллергическими заболеваниями применяют антигистаминные препараты (хлоропирамин, клемастин), добиваясь дополнительного седативного действия.

У больных с сопутствующими заболеваниями, кроме указанных препаратов, оправдано использование спазмолитика метамизол натрия (баралгина), β-адреноблокатора пропранолола (анаприлин) и холинолитика атропина. У пациентов без сопутствующих заболеваний при лёгкой и умеренной степени выраженности психоэмоционального состояния эффективно применение диазепама внутрь (0,3 мг/кг) за 30-40 мин до проведения местной анестезии, при выраженной степени (за исключением случаев истерической реакции) - введение 0,5% раствора диазепама в той же дозировке с 0,1% раствором атропина (0,6-0,8 мл) в одном шприце внутривенно. При выраженной тахикардии атропин лучше не вводить. Больным с истерической реакцией при выраженной степени психоэмоционального состояния показано внутривенное введение диазепама (0,3 мг/кг) и лексира¤ (0,5 мг/кг). При введении раствора атропина необходим контроль пульса. Вместе с тем эти назначения должен делать анестезиолог, и лечение проводят под его контролем.

Подготовка пациентов к лечению при сопутствующих заболеваниях.

Некоторые авторы отмечают, что 20-30% пациентов испытывают выраженное нервно-психическое напряжение, связанное с чувством страха перед предстоящим стоматологическим вмешательством. У пациентов с сопутствующей соматической патологией проведение только одной местной анестезии на фоне выраженного нервно-психического напряжения может вызывать различные осложнения.

Поэтому у пациентов группы риска наиболее рациональный вид обезболивания - сочетанная анестезия, достигаемая применением на фоне премедикации местного обезболивания у больных с выраженным рвотным рефлексом и повышенной функцией слюнных желёз.

В результате премедикации снижается психоэмоциональное напряжение, обеспечивается седативный эффект, а также снимаются нейровегетативные реакции, уменьшаются саливация, бронхиальная секреция, и вместе с тем пролонгируется местная анестезия. Стоматолог в условиях поликлинического приема лишён возможности проводить корригирующую терапию сопутствующих заболеваний. Однако недооценка общего состояния больного может привести к тяжелым осложнениям как во время вмешательства в полости рта, так и после. Врач должен чётко представлять особенности подготовки таких больных, чтобы стоматологическое вмешательство не спровоцировало обострения сопутствующего заболевания. Основное в профилактике возможных осложнений у таких больных - обеспечение благоприятного психоэмоционального фона и безболезненности стоматологических вмешательств.

Следует помнить, что при подготовке пациентов с сопутствующими заболеваниями к плановым вмешательствам стоматологу необходимо консультировать их у врачей соответствующих специальностей, которые квалифицированно проведут необходимое лечение.

Больного, у которого в анамнезе была аллергическая реакция на местный анестетик, желательно проконсультировать у врача-аллерголога.

В этой связи врачу-стоматологу необходимо, кроме профессионального выполнения стоматологических манипуляций, владеть вопросами фармакологии профилактической медицины, анестезиологии и реаниматологии, в том числе диагностики и лечения неотложных состояний. Вопросы премедикации и комбинированного обезболивания приобретают особое значение у пациентов с сердечно-сосудистой патологией, аутоиммунными, в том числе эндокринными заболеваниями, аллергическими болезнями, иммунопролиферативными процессами, с наследственными, в том числе психическими, болезнями. В каждом индивидуальном случае в зависимости от нервно-психического статуса и сопутствующих заболеваний с учётом его особенностей надо осуществлять адекватную тактику обезболивания, что одновременно обеспечивает профилактику осложнений общесоматических заболеваний на амбулаторном приёме.

Однако в стоматологии ведущий метод обезболивания - местная анестезия: аппликационная, интралигаментарная, проводниковая, инфильтрационная.

Аппликационная анестезия. Аппликационную поверхностную анестезию используют при незначительных вмешательствах на слизистой оболочке для обезболивания места вкола иглы при выполнении инъекционной анестезии. Аппликацию можно нанести раствором следующих анестетиков: 0,05-0,2% цинхокаина¤, 4-10% тримекаина, 1-2% бумекаинаρ, 2 или 10% лидокаина путем смачивания стерильного ватного шарика и прикладывают на 1-2 мин к обозначенному участку. После этого приступают к вколу иглы для анестезии.

Анестезирующие средства в виде мазей или гелей (бумекаиновая мазьρ, перален ультраρ, пульпонестρ, ксилонорρ) наносят локально на марлевом тампоне (3-5 мин). При поверхностном обезболивании вскрывают поверхностные абсцессы, проводят перевязки и другие мелкие вмешательства.

Интралигаментная (внутрисвязочная) анестезия - разновидность инфильтрационной анестезии, когда местный анестетик вводят непосредственно в околозубную связку под некоторым давлением. В настоящее время для местной анестезии широко используют ксилокаин¤, артикаин, артикаин + эпинефрин (септанест с адреналином), мепивакаин и т.д. Врач может подобрать анестетик с учетом в анамнезе аллергических реакций или сопутствующей патологии. На современном этапе наиболее эффективны и безопасны для обезболивания - местные анестетики на основе 4% раствора артикаина с вазоконстриктором (1:200 000) для пациентов без выраженных заболеваний органов и систем организма. Больным, имеющим противопоказания к использованию эпинефрина, можно применять 3% мепивакаин без эпинефрина (скандонест, мепивастезин).

Раствор анестетика распространяется в сторону десны и надкостницы в губчатое вещество и костно-мозговые пространства кости, в пульпу зуба, даже при незначительном давлении. Применяемые инъекторы позволяют дозировать давление и контролировать количество вводимого анестетика.

Анестезия при введении анестетика без эпинефрина наступает через 15-40 с, продолжительность ее 3-5 мин, анестетик с эпинефрином действует 30-45 мин.

Наиболее эффективны эндодонтические манипуляции в области передних зубов нижней челюсти. Малый расход анестетика и эпинефрина делает этот метод анестезии предпочтительным у лиц с сопутствующими заболеваниями, однако противопоказан при остром гнойном процессе в периодонте и представляет определенную опасность развития осложнений при наличии эндокардита.

Иногда следует начинать лечебные мероприятия под инфильтрационной анестезией, в том числе интралигаментарной или интрапульпарной. Если инфильтрационное обезболивание оказывается неэффективным или малоэффективным, то применяют проводниковую анестезию. В настоящее время выбор средств для местной анестезии достаточно широк, практически существует возможность индивидуального подбора анестетика. В отдельных случаях (неадекватная реакция пациента, непереносимость местных анестетиков и т.д.) возможно применение общего обезболивания. Применение общей анестезии при стоматологических вмешательствах, в том числе и при эндодонтическом лечении, иногда оправданно и позволяет проводить большой объём работы. Вместе с тем врач должен быть ориентирован в показаниях и противопоказаниях к обезболиванию и иметь заключения специалистов, данные лабораторных исследований и т.д.

Пломбирование корневого канала может сопровождать небольшая болезненность, но возникающие при этом ощущения обычно воспринимаются адекватно. Это означает, что применение обезболивания при внутриканальной обтурации в лечении хронического периодонтита в большинстве случаев не показано.

Рекомендуется предусмотреть снятие или уменьшение болевой реакции после проведенного лечения. Следует предупредить пациента о возможности возникновения боли после эндодонтического лечения, что ослабит или снимает чувство напряжения у пациента. Эффективные и широко используемые средства для уменьшения локализованной несильной боли - ацетилсалициловая кислота и метамизол натрия. Суточная доза препарата не должна превышать 4 г. Могут быть использованы анальгетики и противовоспалительные средства (хлоропирамин, клемастин - тавегил, кеторолак, лорноксикам и т.д.).

ЛЕЧЕНИЕ ОСТРОГО АПИКАЛЬНОГО ПЕРИОДОНТИТА

Терапия острого верхушечного периодонтита или периапикального абсцесса направлена на прекращение воспалительного процесса в периодонте и предотвращение распространения гнойного экссудата в окружающие ткани - надкостницу, околочелюстные мягкие ткани, кость. Основные задачи при эндодонтическом лечении периодонтита:

  • устранение очага одонтогенной инфекции;

  • формирование и санация системы канала корня;

  • его полноценная обтурация.

Консервативное лечение проводят под инфильтрационной или проводниковой анестезией с премедикацией у пациентов с рядом сопутствующих заболеваний или при лабильности психологических заболеваний.

Более быстрому стиханию воспалительных явлений способствует блокада - введение по типу инфильтрационной анестезии 5-10 мл 0,25-0,5% раствора анестетика (лидокаина, тримекаина, артикаина) с линкомицином в область преддверия рта по ходу альвеолярного отростка, соответственно пораженному и 2-3 соседним зубам. Противоотёчное действие оказывает введение по переходной складке гомеопатического средства траумель С в количестве 2 мл или наружных повязок с мазью этого препарата.

Необходимо иметь в виду, что без оттока экссудата из периодонта (через канал зуба) блокады малоэффективны, часто безрезультатны. Блокаду можно сочетать с разрезом по переходной складке до кости или с перфорацией передней стенки кости с помощью бора соответственно околоверхушечному отделу корня. Это показано также при безуспешной консервативной терапии и нарастании воспалительных явлений, когда не представляется возможным удалить зуб в силу каких-либо обстоятельств.

После эндодонтических лечебных мероприятий при остром периодонтите, у отдельных больных при выраженном отёке тканей в области пораженного зуба, регионарном лимфадените, чтобы приостановить распространение воспалительных явлений, целесообразно применять холод (пузырь со льдом на область мягких тканей соответственно зубу в течение 1-3 ч). Общее лечение острых форм периодонтита заключается в назначении внутрь производных пиразолона - метамизола натрия, амидопирина¤ (по 0,25-0,5 г), ибупрофена (по 200 мг), диклофенака (по 50 мг), ацетилсалициловой кислоты (по 0,25-0,5 г). Эти препараты обладают аналгезирующим, противовоспалительным, жаропонижающим и десенсибилизирующим свойствами.

Отдельным больным по показаниям назначают сульфаниламидные препараты (сульфадиметоксин, сульфапиридазинρ по 1-2 г/сут). Вместе с тем микрофлора, как правило, бывает часто устойчива к сульфаниламидным препаратам. Зарубежные специалисты при лечении острых форм периодонтита рекомендуют назначать антибиотики за 1 ч до лечения и не менее 5 сут, считая такую терапию также профилактикой эндокардита, миокардита. В этой связи пациентам с иммунодефицитными состояниями, больным пожилого возраста, имеющим сопутствующие заболевания, особенно системы кровообращения, соединительной ткани, болезнями почек, целесообразно назначать антибиотики по показаниям, согласовав выбор препарата и курс его применения с лечащим врачом. Это могут быть препараты группы макролидов (эритромицин, рокситромицин - рулид, азитромицин - сумамед), а также курс лечения канамицином (по 250 000 ЕД 4-6 раз в сутки), линкомицином, ципрофлоксацином (цифран), индометацином и НПВС - диклофенаком (вольтарен) (по 0,025 мг) 3-4 раза в сутки. Далее назначают теплые полоскания, соллюкс, а при стихании воспалительных явлений - другие физические методы лечения: УВЧ, флюктуоризацию, электрофорез дифенгидрамина, кальция хлорида, протеолитических ферментов, воздействие гелиево-неонового и инфракрасного лазера.

При неэффективности лечебных мероприятий и нарастании воспалительных явлений зуб следует удалить. Удаление зуба показано при значительном его разрушении, непроходимости канала или каналов, наличии инородных тел в канале. Как правило, удаление зуба приводит к быстрому стиханию и последующему исчезновению воспалительных явлений. Это можно сочетать с разрезом по переходной складке до кости в области корня причинного зуба.

Особенности лечения острого апикального периодонтита медикаментозной этиологии. При медикаментозных факторах развития периодонтита, возникшего в результате временной или количественной передозировки в полости зуба и корневых каналах токсичных веществ (формальдегид, крезолρ, триклозан, мышьяковистая пастаρ и др.), необходимо, прежде всего, удалить коронковую и корневую пульпу и обработать корневой канал препаратом, полностью нейтрализующим или ослабляющим действие мышьяковистой пастыρ. Оптимален раствор унитиола, который оставляют на бумажном пине на 48 ч или 1% раствор йодинола. Если раздражение периодонта возникло в результате введения в корневой канал кислот, щелочей или сильнодействующих антисептиков, то нейтрализацию проводят обработкой препаратами противоположного действия. Для этого после инструментальной обработки используют нераздражающие медикаменты (йодинол, гидрокортизон и т.д.), затем их оставляют в корневом канале на бумажном штифте под повязкой из искусственного дентина. Больным целесообразно назначить антигистаминные средства, неопиоидные анальгетики. Кроме того, эффективны физиотерапевтические процедуры (анод-гальванизация, электрофорез препаратами йода). Во второе посещение проводят медикаментозную обработку каналов, и при отсутствии жалоб каналы высушивают и пломбируют до верхушечного отверстия.

Особенности лечения острого апикального периодонтита инфекционной этиологии. Тактика врача при лечении острого периодонтита инфекционного происхождения, как правило, зависит от наличия или отсутствия экссудата, инфильтрата у пораженного зуба и жалоб пациента.

В начальном периоде (при отсутствии экссудата) после определения рабочей длины корневого канала, удаления содержимого канала, медикаментозной и инструментальной обработки под анестезией в канале на бумажном пине оставляют лекарственный препарат, обладающий противовоспалительной антибактериальной активностью (лизоцим, гринозольρ, гидроксид кальция и т.д.) и герметично изолируют на 1-2 дня временной повязкой. Во второе посещение при благоприятном течении процесса повторно проводят инструментальную и медикаментозную обработку каналов, после чего их постоянно пломбируют.

При лечении зубов с острым апикальным периодонтитом, апикальным абсцессом под анестезией вскрывают полость зуба и устья каналов корней, что нередко сопровождает выделение серозно-кровянистого или гнойного экссудата. Каналы подвергают инструментальной обработке и ирригации раствором гипохлорита натрия (оптимально 3-3,5%) в течение не менее 15-20 мин, до прекращения экссудации. Затем каналы высушивают и рыхло заполняют пастой гидроксида кальция на 7-14 дней. После введения в канал временного препарата коронковую полость пломбируют СИЦ. Временная антибактериальная повязка и герметичная пломба из СИЦ предотвращают вторичное инфицирование канала и увеличивают успех консервативного лечения.

Если дренирование канала корня продолжается более 20-30 мин, при наличии болей и продолжении выделения экссудата, а также в случае отсутствия времени канал может быть оставлен открытым, как правило, до 24 ч. Не рекомендуется оставлять зуб открытым более чем на 1-2 дня, так как это влечет дальнейшую контаминацию его вторичной микрофлорой. И в таких, и более длительных сроках дренирования каналов корней в очередное посещение их важно тщательно обработать и заполнить гидроксидом кальция на 7-14 дней и более с целью пролонгированной антибактериальной обработки. Коронку зуба закрыть временной герметичной пломбой.

Пациенту назначают регулярный уход за полостью рта: ротовые ванночки с растворами, способствующими разжижению и эвакуации экссудата (теплый раствор гидрокарбоната натрия, отвар трав мать-и-мачехи обыкновенной, шалфея), полоскание раствором хлоргексидина (до 0,1%). Кроме того, при наличии явлений интоксикации организма (головная боль, слабость, повышение температуры тела, изменение формулы крови, регионарный лимфаденит) пациенту назначают антигистаминные препараты (среди выбора: мебгидролин - диазолин, хлоропирамин - супрастин, клемастин - тавегил, хифенадин - фенкарол, лоратадин - кларитин и т.д.), антибиотики широкого спектра действия или сульфаниламидные препараты, метронидазол, неопиоидные и жаропонижающие средства, поливитамины в общепринятых дозах. При необходимости используют физиотерапию (анод-гальванизация и т.д.). Пациента следует предостеречь от использования влажного тепла (грелок). После ликвидации болевых ощущений, прекращения выделения экссудата из корневого канала, безболезненной перкуссии и пальпации десны во второе посещение проводят медикаментозную и инструментальную обработку корневых каналов по обычной схеме с последующим временным пломбированием каналов. Постоянную обтурацию каналов корней до физиологической верхушки можно проводить как во второе, так и в третье посещение. При необходимости для профилактики обострения у пациентов при наличии сопутствующей патологии органов в переходную складку в область проекции верхушки корня можно ввести 0,2-0,5 мл раствора гидрокортизона или 2 мл траумель С, а также назначить домашние мазевые повязки данных препаратов.

Лечение острого периодонтита зубов с труднопроходимыми или непроходимыми каналами, как правило, предполагает применение хирургических методов с применением блокады нервов анестезией и назначением антибиотиков. Если не удается получить отток экссудата через корневой канал, то по показаниям проводят разрез по переходной складке с дренированием очага или удаление зуба. При сохранении зуба после устранения острых воспалительных явлений предпринимают попытку прохождения каналов стержневыми инструментами, если не удаётся полностью пройти каналы, то необходимо обработать систему каналов с применением депофореза гидроокиси меди и кальция. По показаниям зуб рекомендуют лечить с помощью альтернативных зубосохраняющих методов или удалить.

Особенности лечения острого апикального периодонтита травматической этиологии. Лечение начинают с устранения причины: проводят избирательное пришлифовывание и т.д. Назначают лечебное воздействие на периапикальную область: обезболивающие, противовоспалительные, спазмолитические, антигистаминные лекарственные средства, физические методы, направленные на восстановление кровообращения. Динамику клинического течения оценивают с учётом данных ЭОД.

При некрозе пульпы необходимо эндодонтическое лечение.

При правильном и своевременном консервативном лечении острого апикального абсцесса в большинстве случаев наступает выздоровление. Недостаточное лечение острого периодонтита ведет к развитию хронического воспалительного процесса в периодонте.

Возможно распространение воспалительного процесса из периодонта на надкостницу, костную ткань, околочелюстные мягкие ткани, т.е. могут развиться острый периостит, остеомиелит челюсти, абсцесс, флегмона, лимфаденит, воспаление верхнечелюстной пазухи.

Исход лечения острого периодонтита зависит главным образом от правильно выбранной тактики в комплексной терапии заболевания. Эффективная инструментальная и медикаментозная обработка системы корневых каналов и качественная его обтурация дают основание рассчитывать на благоприятные ближайшие и отдаленные результаты. А при лечении деструктивных форм хронического периодонтита можно наблюдать динамику постепенной ликвидации очага разрежения (резорбции) костной ткани.

Результаты лечения следует проверять не ранее чем через 6-9 мес, так как восстановление костной ткани происходит медленно. Иногда при очаге костной резорбции диаметром 1,5-2 см требуется 3-4 г.

Консервативное лечение может быть безуспешным в следующих случаях:

  • канал корня зуба не запломбирован полностью и при наличии деструктивных изменений в костной ткани, непроходящей боли;

  • апикальный очаг хронического воспаления имеет сообщение с пародонтальным карманом;

  • зуб испытывает повышенную функциональную нагрузку;

  • при выраженном снижении иммунореактивности организма.

В целом современные методы консервативного лечения периодонтита достаточно хорошо отработаны, но не всегда только с их помощью можно добиться излечения. В этих случаях возможно сочетание консервативных и хирургических методов лечения. Они позволяют сохранить весь зуб или часть его, создать условия для функционирования зуба с последующим рациональным протезированием.

Профилактика основана на санации полости рта, своевременном и правильном лечении патологических одонтогенных очагов, функциональной разгрузке зубов с помощью зубопротезирования, а также на проведении гигиенических и общеоздоровительных мероприятий.

ЛЕЧЕНИЕ ХРОНИЧЕСКОГО АПИКАЛЬНОГО ПЕРИОДОНТИТА

Выбор метода лечения хронического периодонтита должен определяться клинической картиной и рентгенологическими данными локального процесса, характером поражения других зубов, состоянием иммунитета и особенностями сопутствующих заболеваний, их степени, а иногда и их сочетания, а также общим состоянием организма.

Объекты терапевтического вмешательства при хроническом апикальном периодонтите - система макро-, микроканалов и патологически изменённые периапикальные ткани.

Первый этап лечения апикальной гранулемы - некрэктомия кариозной полости. Эту процедуру производят особенно тщательно. Это связано с тем, что в лишённом пульпы зубе не может образоваться заместительный дентин, и поэтому удалённый не полностью участок инфицированного дентина приводит в дальнейшем к разрушению оставшейся части коронки зуба. Некрэктомия кариозной полости должна быть осуществлена в пределах макроскопически неизмененных твёрдых тканей зуба.

Раскрытие полости зуба следует проводить для создания хорошего доступа к корневым каналам. Удаление свода полости зуба и воронкообразное расширение устьев корневых каналов создают возможность оптимального доступа стержневых инструментов для их тщательной обработки.

Успешное лечение периодонтита определяет качественная эндодонтическая обработка корневого канала. Только в этом случае удаётся полностью запломбировать последний и исключить его как источник инфицирования и интоксикации, поддерживающий воспалительный процесс в периодонте. Кроме того, через корневой канал возможно медикаментозное воздействие на патологический очаг в околоверхушечных тканях.

В настоящее время принято считать, что лечение хронического периодонтита в однокорневых и в многокорневых зубах с хорошо проходимыми корневыми каналами не представляет особых трудностей. Затруднения возникают при лечении периодонтита многокорневых зубов в связи с наличием в них труднопроходимых, частично проходимых и не проходимых для инструментов корневых каналов. Это усложняет или не дает возможности проведения инструментальной и медикаментозной обработки каналов в полном объеме, лишает возможности формирования хорошего доступа к апикальному отверстию, что мешает воздействию на очаг воспаления в периодонте и делает эндодонтическое лечение в подобной ситуации весьма затруднительным или невозможным.

Узкие или частично облитерированные каналы расширяют механическим способом или сочетают механическое расширение с химическим. В основе химического расширения корневого канала лежит использование комплексонов (ляргаль ультраρ, канал плюс и т.д.) - препаратов, содержащих этилендиаминтетрауксусную кислоту (ЭДТА). Препарат действует как окислитель и способствует более лёгкому продвижению стержневого инструмента для прохождения, очистки и формирования канала.

Трансканальный электрофорез применяют при лечении хронического периодонтита в зубах, не выдерживающих герметизм, с частично или полностью непроходимыми каналами. Хотя в отдельных случаях причина того, что зуб не выдерживает герметизма, - некачественная медикаментозная и инструментальная обработка, нерационально выбранный антисептик. В целях профилактики обострений воспалительного процесса используют одномоментный электрофорез корневых каналов.

При альтернативном методе лечения апикальных гранулём по показаниям можно создавать в деструктивных очагах депо биологически активных веществ (коллапан, коллапол, био-осс и др.), которые входят в состав лечебных гелей, влияющих на процессы репаративного остеогенеза.

Однокорневые зубы с хорошо доступными для обработки корневыми каналами при апикальной гранулёме, радикулярной кисте (диаметром до 2 см) лечат в терапевтическом отделении за одно или два посещения с помощью инструментальной и медикаментозной обработки корневых каналов с последующим их пломбированием. Лечение начинают с препарирования кариозной полости, выведения её на язычную (нёбную) поверхность у резцов и клыков или на жевательную поверхность у премоляров. Выведение полости обеспечивает хороший доступ к корневому каналу, прямое и беспрепятственное введение в него эндодонтических инструментов. Тщательное поэтапное удаление некротического содержимого канала с ирригацией антисептиками (гипохлорит натрия - от 0,5 до 5,25%, чаще 2,5% совместно с ЭДТА; хлоргексидин; реже - 3% раствор пероксида водорода) с помощью эндодонтических шприцов с иглами, предотвращая вывод содержимого в периапикальные ткани.

Затем удаляют инфицированный слой дентина со стенок корневого канала, тем самым устраняют влияние биогенных аминов, играющих существенную роль в патогенезе периодонтита. После повторного промывания канала растворами гипохлорита натрия и ЭДТА, высушивания канала в нем оставляют временный пломбировочный препарат гидроксид кальция или проводят пломбирование с применением силеров и филлеров. Очень важно иметь подтверждение качественной обтурации корневого канала с помощью контактной рентгенограммы или цифровой системы радиовизиографии.

Пломбировочный материал должен заполнять весь канал и плотно закрывать апикальное отверстие, предотвращая поступление бактерий и их токсинов в периодонт. Поэтому тщательное заполнение корневого канала на всем его протяжении является условием, без соблюдения которого нельзя рассчитывать на благоприятный исход. Тщательной обтурации корневого канала можно добиться, используя современные методики пломбирования гуттаперчевыми штифтами или системой «Термафил». Как правило, этого достаточно для восстановления периапикальных тканей, разрушенных в результате патологического процесса. Это говорит о том, что ткань периодонта обладает хорошей регенераторной способностью. Лечение хронического периодонтита можно проводить в одно посещение. Относительное показание для лечения хронического периодонтита в одно посещение - период ремиссии. При обострении после пломбирования каналов показаны физиотерапевтическое лечение или блокады 0,1% раствором гидрокортизона ацетата, а также инъекция траумель С или мазь этого препарата в области слизистой оболочки переходной складки.

Следует констатировать, что проблема лечения хронического периодонтита однокорневых зубов в основном решена. Однако в редких случаях полной облитерации каналов зуба, а также при невозможности повторного эндодонтического лечения, ранее некачественно запломбированных корневых каналов (цементом или резорцинформалиновой пастой) лечение может оказаться безуспешным.

При лечении хронического периодонтита в многокорневых зубах проводят те же манипуляции, что и при лечении однокорневых зубов. Наличие в арсенале лекарственных средств, обладающих антибактериальными свойствами (ирригация каналов раствором гипохлорита натрия, временным заполнением каналов гидроксидом кальция, электрофорез каналов с помощью гидроокиси меди кальция и др.), делает лечение периодонтита многокорневых зубов все более эффективным. После удаления распада пульпы, инструментальной и медикаментозной обработки каналов необходима их обтурация на всю рабочую длину.

Труднодоступные и облитерированные каналы многокорневых зубов не всегда удается хорошо обработать, даже с использованием химических расширителей, и полностью запломбировать. В таких случаях наиболее действенные методы - депофорез гидроокиси меди и кальция и пломбирование цементом «Ацатамит» из комплекса «Купрал-Р», а если возникли показания к альтернативным методам лечения периодонтита, то применить их.

Если больной в очередное посещение не предъявляет жалоб, а перкуссия зуба и пальпация десны в области верхушки корня безболезненны, каналы пломбируют с использованием филлеров и силеров, проводят рентгенологический контроль качества обтурации. После этого коронку зуба реставрируют композитом.

ЛЕЧЕНИЕ ПЕРИАПИКАЛЬНОГО АБСЦЕССА

Клинические проявления периапикального абсцесса во многом сходны с клинической картиной острого апикального периодонтита, поэтому лечение вначале не отличается от такового при остром периодонтите - апикальном абсцессе в стадии выраженной экссудации (создание оттока экссудата через корневой канал, проведение разреза десны по показаниям, назначение общего лечения). После стихания острых воспалительных явлений проводят лечение хронического апикального периодонтита.

Лечение пациентов с хроническим апикальным периодонтитом на фоне сопутствующих заболеваний. На первом этапе общее лечение должно состоять из выполнения назначенных общими специалистами приема лекарств и лечебных процедур, связанных с тем или иным общим заболеванием. Одновременно с началом эндодонтического лечения пациенты продолжают выполнять предписание лечащего врача. У пациентов с наиболее тяжелыми заболеваниями: гипертонической болезнью II степени, сахарным диабетом 2-го типа, бронхиальной астмой, согласовывают объем эндодонтических процедур, наиболее оптимальное время стоматологического вмешательства, перерывы между лечением отдельных зубов.

Перед лечением применяют стандартную премедикацию, с индивидуально подобранными лекарственными веществами, в том числе согласно рекомендации терапевта.

Эндодонтическое лечение направлено на санацию системы макро-, микроканалов и патологических изменений в периапикальных тканях.

За час до эндодонтического вмешательства пациент принимает антибиотик - кларитромицин 500 мг и далее в этой дозе 2 раза в день в течение 5 дней. Назначают полоскания, ротовые ванночки, местное применение 0,1% раствора хлоргексидина утром и вечером в виде полосканий для профилактики транзиторной бактериемии. У больных с заболеваниями пищевода, желудка и двенадцатиперстной кишки, печени назначают по одной капсуле флуконазола 1 раз в день на период приема антибиотиков для профилактики дисбактериоза. Рекомендуют обратиться к терапевту или смежным специалистам для составления плана лечения сопутствующих заболеваний.

У больных периодонтитом, имеющих сопутствующие заболевания на фоне высевания из корневых каналов вирулентных бактерий и снижения показателей иммунитета, медленно идет регресс очага. В этой связи с учетом клинико-микробиологических исследований для местной антисептической обработки системы корневых каналов целесообразно применить препараты гидроксида кальция и биоактивный материал коллапан-гельρ, в том числе для воздействия на деструктивный околоверхушечный очаг с целью ускорения замещения дефектов костной ткани. Необходимо отметить, что коллапанρ содержит искусственный гидроксиапатит, коллаген и один из антибактериальных препаратов (линкомицина гидрохлорид, метронидазол, цефотаксим - клафоран, диоксидин, гентамицина сульфат, рифампицин). Коллапанρ обладает высокой антибактериальной активностью как против грамотрицательной, так и грамположительной микрофлоры, а также обеспечивает остеоиндуктивное и остеокондуктивное действие, оказывает противовоспалительный эффект и предупреждает осложнения одонтогенной инфекции. Выбор состава препарата в зависимости от возбудителя заболевания значительно повышает эффективность лечения.

При лечении апикальных гранулём сроки временной аппликации в канале корня составляют 14-21 день. На завершающем этапе после удаления временной пломбы, протокола ирригации корневых каналов, высушивания их (работа только в пределах рабочей длины корня) ставят постоянную корневую пломбу до физиологического сужения верхушки корня с использованием гуттаперчевых штифтов и силера. Затем проводят реставрацию коронки зуба.

Возможна коррекция иммунитета, заключающаяся в курсовом приеме соответствующих препаратов (лизатов бактерий смесь (имудон), аминодигидрофталазиндион натрия и др.). Пациентам можно назначить энтеросорбцию препаратами энтеросгель при согласовании их с врачом-иммунологом и с лечащим врачом по общему заболеванию с учетом его клинического течения (по 1 столовой ложке 3 раза в день в течение 2 нед) или активированным углём в виде порошка, рекомендовать прием поливитаминов и препаратов кальция, провести коррекцию диеты согласно консультативным заключениям терапевта. Перед приёмом энтеросорбентов важно нормализовать работу кишечника, устранить нарушения перистальтики. Если приём препарата продолжался 2 нед или более, то необходимо назначить поливитамины и препараты кальция, провести коррекцию диеты. Не рекомендуют назначать препарат при язвенной болезни желудка и двенадцатиперстной кишки в стадии обострения, при атонии кишечника.

В среднем регресс деструктивного очага с полным восстановлением костных структур у пациентов с иммунодефицитным состоянием при комплексном лечении наблюдают уже в срок до 12 мес (рис. 13-19).

image

Рис. 13-19. Визиограмма зуба 38. Резорбция костной ткани у верхушек корней: а - до лечения; б - через 12 мес после лечения

Сроки восстановления костной ткани у больных имеют прямую зависимость от возраста пациентов и характера сопутствующего заболевания. Пациенты с хроническими апикальными периодонтитами и имеющие общесоматические заболевания нуждаются в применении биологически активных лекарственных препаратов в местном эндодонтическом лечении, а также назначении детоксикационной, общеукрепляющей терапии и курсового применения иммуномодулирующих препаратов, согласованной с лечащим врачом и пациентом. Именно эти пациенты - группа риска, и им необходимы лечебно-профилактические программы, направленные на ликвидацию патологического очага, устранение или снижение напряженности функционирования иммунной системы и интоксикации организма.

Комплексное лечение заболевания в сочетании с анализом значений показателей иммунограмм позволяют прогнозировать степень активации или напряженности иммунной системы пациента и определять эффективность терапии.

ДАЛЬНЕЙШЕЕ ВЕДЕНИЕ

Очень важно проинформировать пациента о том, насколько часто бывает успешным предлагаемое лечение, и какие дискомфортные ощущения могут быть после каждого посещения. Больной должен знать, как и когда сообщить врачу о возможном резком обострении заболевания, чтобы явиться на прием, и какие лекарственные средства он может принимать. Диспансерное наблюдение больных апикальным периодонтитом, имеющих соматические заболевания, поддерживающая терапия - важные компоненты профилактики осложнений.

ОШИБКИ И ОСЛОЖНЕНИЯ ПРИ ЛЕЧЕНИИ ПЕРИОДОНТИТА

Осложнения можно наблюдать как в процессе эндодонтического лечения периодонтита, так и после пломбирования корневого канала.

  • Неполное или избыточное раскрытие полости зуба, приводящее в первом случае к невозможности полноценной обработки корневых каналов, во втором - к риску облома части коронки зуба или к перелому зуба.

  • Проталкивание путридных масс из корневого канала за апикальное отверстие при эндодонтической обработке корневого канала.

  • Облом стержневого инструмента на разных уровнях корневого канала.

  • Нерациональный выбор антисептика для обработки корневого канала, приводящий к развитию обострения процесса.

  • Травма периодонта при прохождении инструмента за верхушку корня.

  • Перфорация полости зуба в области фуркаций или стенки корневого канала.

  • Использование сильнодействующих препаратов для обработки корневых каналов при широком апикальном отверстии.

  • Неполное пломбирование корневого канала, избыточное выведение пломбировочного материала за пределы апикального отверстия и проникновение его в придаточные пазухи верхней челюсти или нижнечелюстной канал.

КОНСЕРВАТИВНО-ХИРУРГИЧЕСКИЕ МЕТОДЫ ЗУБОСОХРАНЯЮЩИХ ОПЕРАЦИЙ

Выделяют следующие методы консервативно-хирургического или альтернативного лечения периодонтита: удаление зуба, резекция верхушки корня, коронорадикулярная сепарация, гемисекция, ампутация корня и реплантация зуба.

Удаление зуба при хроническом периодонтите. Хирургический метод в виде удаления зуба при периодонтите проводится по показаниям, при неотложных состояниях, при острых одонтогенных воспалительных процессах.

После удаления зуба при апикальных гранулемах следует тщательно провести кюретаж грануляционных разрастаний. Для профилактики атрофии кости альвеолу заполняют биоматериалом, мобилизуют прилежащие мягкие ткани и рану зашивают наглухо. При наличии свищевого хода на десне необходимы его ревизия и выскабливание грануляции по всей его протяженности. При хроническом периодонтите, осложненном подслизистой, поднадкостничной, подкожной гранулемами, после удаления зуба гранулематозные разрастания выскабливают из-под слизистой оболочки, надкостницы, подкожной клетчатки, кожи. При удалении патологических тканей в подкожной клетчатке и на коже лица предварительно рассекают тяж по переходной складке и образовавшуюся рану длительно в течение 3-4 нед тампонируют йодоформной марлей. Очаг в мягких тканях выскабливают, иссекают свищевой ход, и рану ушивают. В послеоперационном периоде назначают кетопрофен (артрозилен), метамизол натрия, амидопирин¤, мелоксикам (мовалис) и другие аналгезирующие противовоспалительные средства, на 3-4-й день - физические методы лечения.

Резекция верхушки зуба. На первом этапе во всех проходимых каналах обязательно осуществляют эндодонтическое лечение, а затем хирургическое вмешательство на корнях. Резекция верхушки корня зуба состоит в отсечении верхушки пораженного корня и удалении патологически измененных тканей, прилежащих к ней. Резекция верхушки корня с последующим кюретажем показана:

  • при апикальной гранулеме, когда консервативными методами не удается устранить хронический воспалительный процесс в периодонте;

  • неполном пломбировании корневого канала вследствие анатомического препятствия (изгиб, сужение, дентикли, облитерация канала зуба);

  • обломе стержневого инструмента в канале при эндодонтической обработке;

  • переломе корня зуба в области верхушки;

  • перфорации стенки корня в верхушечной его трети; повреждении верхушки корня во время удаления рядом расположенного ретинированного зуба;

  • одонтогенной кисте;

  • выведении за верхушку корня пломбировочного материала, когда вокруг него образуется патологический процесс или имеется некупируемый болевой синдром;

  • взятии биопсии для проведения дифференциальной диагностики опухолей челюстей одонтогенного происхождения.

Чаще всего показание к операции резекции верхушки корня - наличие гранулёмы и/или околокорневой кисты. Противопоказаниями к операции резекции верхушки корня служат:

  • острый апикальный абсцесс, острый остеомиелит;

  • расположение корней зубов вблизи стенок верхнечелюстной пазухи или нижнечелюстного канала;

  • атрофия альвеолярного отростка более чем на 1/2 длины корня; значительное разрушение коронки зуба и прилегающей к ней поддесневой части корня кариозным процессом и невозможность его восстановления с помощью пломбировочных материалов или культевых вкладок;

  • общие тяжёлые заболевания (системы кровообращения, заболевания крови, кроветворных органов и отдельные нарушения, вовлекающие иммунный механизм, некомпенсированный сахарный диабет, органические изменения почек и др.).

Резекцию верхушки корня, как правило, производят у резцов, клыков, премоляров верхней челюсти и резцов и клыков нижней челюсти. При лечении моляров верхней челюсти, премоляров и моляров нижней челюсти эту операцию делают значительно реже. При резекции верхушек корней моляров операция технически более сложна из-за необходимости удаления большого количества кости, плохого визуального контроля за качеством ретроградного пломбирования каналов зуба, близости анатомических образований (верхнечелюстной пазухи, нижнечелюстного канала).

Перед резекцией верхушки корня особое внимание обращают на проведение эндодонтического лечения корней зубов. С этой целью проводят инструментальную и медикаментозную обработку системы каналов, заполняют каналы пломбировочным материалом до апикального отверстия.

В процессе резекции верхушки корня, как правило, не нарушается корневая пломба и не возникает необходимость ретроградного пломбирования. Однако ятрогенные и анатомические факторы могут вызывать решение хирурга-стоматолога провести ретроградное пломбирование верхушки.

Коронорадикулярную сепарацию применяют при лечении моляров нижней челюсти. Под коронорадикулярной сепарацией понимают рассечение зуба на две части в области бифуркации или трифуркации с последующим проведением кюретажа в этой области и покрытием каждого сегмента зуба спаянными коронками.

Показания к коронорадикулярной сепарации:

  • поражение пародонта в области бифуркации (II-III степень) с лизисом верхушки межкорневой перегородки;

  • перфорация дна полости зуба в результате деструктивного процесса;

  • наличие дополнительных каналов, соединяющих полость зуба с периодонтом в области бифуркации.

Операция противопоказана в случаях, когда бифуркация находится близко к верхушкам корней, и её проведение приведет к удалению большой части тканей зуба, кости и к функциональной неполноценности оставшихся фрагментов зуба.

Гемисекция и ампутация корня зуба. Гемисекцию производят на первых и вторых молярах нижней и верхней челюсти, а ампутацию - на молярах верхней челюсти. Известно, что ампутация корня включает в себя удаление всего корня до места его отхождения без удаления коронковой части зуба. Гемисекция означает удаление корня вместе с прилежащей к нему коронковой частью зуба. Эти способы позволяют сохранить часть зуба на альвеолярном гребне, фрагмент сохраняет проприоцептивную чувствительность и может функционировать при небольших нагрузках. Место ампутации корня необязательно должно совпадать с анатомической шейкой корня зуба, ее необходимо производить на том уровне, где заканчивается участок поражения в тканях пародонта.

Показания к операции гемисекции и ампутации корня многокорневых зубов:

  • наличие глубоких, более чем на 1/2-3/4 длины корня костных карманов в области одного из корней многокорневого зуба;

  • поражение и убыль кости в области фуркации и обнажение одного из корней;

  • переломы корней зубов, вертикальный раскол зуба;

  • перфорация в области бифуркации или стенки корневого канала с наличием разряжения альвеолярной кости;

  • непроходимость каналов одного из корней многокорневого зуба с хроническим периодонтом, облом инструмента, внутриканальные анатомические препятствия, облитерация канала;

  • значительное поражение кариесом цемента и дентина одного из корней;

  • ситуация, при которой сохранение пораженного корня может способствовать распространению патологического процесса на соседние зубы, несмотря на эндодонтическое лечение;

  • наличие мостовидного протеза, с использованием зуба в качестве опоры и значительным разряжением костной ткани у одного из корней;

  • наличие околокорневой кисты, в просвет которой выступает верхушка корня более чем на 1/2 его длины;

  • невозможность проведения резекции верхушки корня зуба из-за анатомических препятствий.

Такие вмешательства могут быть выполнены на многокорневых зубах, если их корни разъединены, и оставшаяся часть зуба может быть использована в качестве опоры для протеза после эндодонтического лечения.

К противопоказаниям относят: невозможность использования оставшегося фрагмента зуба для мостовидного или бюгельного протезирования из-за его функциональной несостоятельности в силу различных причин:

  • острые воспалительные процессы в полости рта и периодонте;

  • общее состояние здоровья пациента;

  • плохой уход за полостью рта.

Не следует проводить гемисекцию при деструкции кости у всех корней зуба, выраженном гиперцементозе удаляемого корня, предполагаемой неэффективности консервативного лечения остающихся каналов корней.

Ампутацию корня зуба производят, предварительно отделив его у места бифуркации. Удаляют чаще всего один из щёчных корней верхних больших коренных зубов, реже - корень нижних моляров.

Реплантация зуба - возвращение в лунку удалённого зуба. Операцию проводят при безуспешности или невозможности консервативной терапии, нежелательности удаления зуба. Различают витальную и девитальную реплантацию. При витальной реплантации сохраняют пульпу. Девитальная имплантация заключается в удалении зуба, выскабливании патологических тканей из альвеолы и с поверхности корня. После пломбирования каналов и резекции верхушек корней зуб вводят в лунку и фиксируют там. Производят реплантацию преимущественно многокорневых зубов. При витальной реплантации зубы могут функционировать дольше, до 10-l2 лет. Большое значение для успеха реплантации имеет сохранность круговой связки.

ПРОГНОЗ

Реабилитация тканей периодонта имеет исключительно важное практическое значение, так как заболевания периодонта могут клинически субъективно не проявляться и иметь бессимптомное течение. После лечения апикального периодонтита реабилитация предусматривает нормализацию функции зуба, восстановление тканей, окружающих верхушку зуба, исключение патогенного воздействия околоверхушечного очага на прилегающие к нему ткани и организм в целом.

Современная триада успешного эндодонтического лечения выглядит следующим образом: диагноз, топографическая анатомия полости зуба и корневых каналов и хирургическая обработка, препарирование корневого канала. Постановка диагноза требует полной интеграции субъективной информации о состоянии здоровья пациента с объективными результатами клинических и рентгенологических исследований с учётом сопутствующих заболеваний органов и систем, а также возраста пациента.

Диагноз может диктовать планирование лечения, правильный выбор которого гарантирует регенерацию периапикальных тканей. Необходимо максимально полно знать строение зуба с трёхмерной оценкой внутренней его анатомии. Это позволяет наиболее полно достичь препарирования коронкового и корневого отдела полости зуба, провести хирургическую обработку системы корневых каналов с последующим их формированием, что имеет первостепенное значение. Конечно, при этом не следует забывать и о роли корневой пломбы, которая состоит в обтурации корневого канала и снижении до минимума возможности краевой проницаемости.

При острых формах периодонтита эффективным считают лечение, которое привело к купированию острого воспалительного процесса, после чего вылеченный зуб участвует в акте жевания, и пациент не испытывает неприятных ощущений. Впрочем, и после успешного лечения острого периодонтита больной в течение 2-3 дней может испытывать болезненность либо чувство неловкости при жевании. На рентгенограмме, сделанной непосредственно после завершения лечения, корневой канал должен быть заполнен на всём протяжении до верхушечного отверстия.

Важны дальнейшее ведение пациентов (табл. 13-2) и диспансерное наблюдение до 4 лет и более.

Таблица 13-2. Ориентировочные сроки временной нетрудоспособности при болезнях органов пищеварения

Код по МКБ-10 Номер строки по форме № 16-ВН Наименование болезни по МКБ-10 Особенности клинического течения болезни, вида лечения и пр. Ориентировочные сроки временной нетрудоспособности, в днях

К00-К14 Болезни полости рта, слюнных желёз и челюстей

К04.4

57, 58

Периодонтит острый

-

3-6

К04.6

57, 58

Периапикальный абсцесс с полостью

Операция

6-7

К04.8

57, 58

Корневая киста

Операция

5-7

Повторное клинико-рентгенологическое обследование проводят через 3, 6 и 12 мес. Если при обследовании через 12-48 мес больной не предъявляет жалоб, а на рентгенограмме в области верхушки корня не обнаруживают патологических изменений, то прогноз благоприятный.

Следует иметь в виду, что сроки восстановления околоверхушечного дефекта не всегда определяются линейными размерами костного дефекта.

В случаях отсутствия положительной динамики при лечении апикальных гранулём (спустя l2-18 мес очаг деструкции не уменьшается), необходимо повторное эндодонтическое лечение с использованием биопрепаратов с предварительным лабораторно-диагностическим тестированием для их индивидуального подбора, а при необходимости устранение периапикального очага с помощью хирургических методов лечения (удаление зуба, резекция верхушки корня и т.д.). Сохранение периапикального хронического воспалительного очага может провоцировать и поддерживать хроническое септическое состояние и отягощать течение сопутствующих заболеваний.

Критерием качества проведенного лечения в настоящее время считают его соответствие научно обоснованным и общепринятым стандартам. Стандарты качества эндодонтического лечения Европейского общества эндодонтологии (1994) определяют следующие требования к эндодонтическому вмешательству. Эндодонтическая обработка должна быть направлена на создание благоприятных биологических условий для профилактики развития или излечения воспалительного процесса в периодонте. Основные задачи эндодонтического лечения: максимально полное удаление из системы корневого канала микроорганизмов и органических субстанций, которые могут быть резервуаром и питательным субстратом для микробных возбудителей; обтурация полости зуба и системы корневых каналов для предотвращения размножения остаточной микрофлоры в канале; профилактика реинфицирования методом герметизации возможных путей проникновения в канал инфекции со стороны коронки или корня зуба после лечения.

Критерии оценки результатов эндодонтического лечения - соблюдение требований, предъявляемых к эндодонтической обработке, а также оценка клинического исхода лечения в отдалённые сроки.

Оценка качества эндодонтической обработки основана на рентгенологических критериях: обработка и пломбирование корневого канала должны быть проведены до дентино-цементной границы (физиологического апикального сужения), т.е. на 0,5-1,5 мм короче рентгенологической верхушки корня; заполнение системы корневого канала должно быть гомогенным, без пустот между пломбировочным материалом и стенкой канала, в материале или в апикальной части канала.

Отдаленные результаты эндодонтического лечения оценивают на основании клинических, рентгенологических и функциональных критериев: отсутствие жалоб, чувствительности при перкуссии, патологической подвижности, свищевого хода, признаков острого воспаления и отёка; отсутствие деструктивных изменений в костной ткани; восстановление функции зуба.

Окончательный успех или неудача в эндодонтическом лечении должны обязательно оцениваться с использованием рентгенологического контроля. Рентгенологическое исследование должно показать плотность и трехмерность заполнения корневого канала до цементно-дентинного соединения.

В поддерживающей терапии для ускорения реабилитации и профилактики обострения в процессе восстановления пациенту необходимо получать достаточно белков, минеральных веществ, комплекс кальция, витаминов групп А, В, С и жидкости (около 2,5 л воды ежедневно).

Поскольку витамин С участвует в образовании костной ткани, то он особенно необходим при периапикальных поражениях.

В комплексном лечении больных периодонтитом на фоне сопутствующих заболеваний организма и систем необходимо совместное наблюдение врачом-стоматологом и профильными врачами по общему заболеванию, а также диспансерное наблюдение отдаленных клинико-рентгенологических и лабораторных данных результатов лечения.

СПИСОК ЛИТЕРАТУРЫ

  1. Боровский Е.В., Леонтьев В.К. Биология полости рта. - М.: Медицинская книга, 2001. - 304 с.

  2. Терапевтическая стоматология. Избранные разделы / Под общ. ред. Е.В. Боровского. - М.: Стоматология, 2005. - 224 с.

  3. Воложин А.И., Порядин Г.В. Патологическая физиология. - М.: МЕДпресс-информ, 1998. - 480 с.

  4. Гемонов В.В., Лаврова Э.Н., Фалин Л.И. Развитие и строение органов ротовой полости и зубов. - М.: ГОУ ВУНМЦ МЗ РФ, 2002. - 256 с.

  5. Дмитриева Л.А. Терапевтическая стоматология: Учебное пособие. - М.: МЕДпресс-информ, 2003. - 896 с.

  6. Иванов B.C. Заболевания пародонта. - М.: Медицинское информационное агентство, 2001. - 300 с.

  7. Лебедев К.А., Понякина И.Д. Иммунная недостаточность. Выявление и лечение. - М.: Медицинская книга, 2003. - 443 с.

  8. Максимовский Ю.М., Митронин А.В. Терапевтическая стоматология. Кариесология и заболевание твердых тканей зубов. Эндодонтия: рук. к практ. занятиям // Учебное пособие. - М.: ГЭОТАР-Медиа, 2014. - 480 с.

  9. Мишин В.Ю., Григорьев Ю.Г., Митронин А.В. и др. Фтизиопульмонология. - М.: ГЭОТАР-Медиа, 2007. - 504 с.

  10. Одонтогенные воспалительные заболевания: руководство для врачей / под общ. ред. Т.Г. Робустовой. - М.: Медицина, 2006. - 664 с.

  11. Петрикас А.Ж., Захарова Е.Л., Образцова Ю.Н. Эпидемиологические данные по изучению эндодонтических поражений зубов // Эндодонтия today. - 2002. - № 3-4. - С. 35-37.

  12. Руководство по первичной медико-санитарной помощи. - М.: ГЭОТАР-Медиа, 2006. - 1584 с.

  13. Стош В.И., Рабинович С.А., Зорян Е.В. Руководство по анестезиологии и оказанию неотложной помощи в стоматологии. - М.: МЕДпресс-информ, 2002. - 288 с.

  14. Терапевтическая стоматология / Под общ. ред. Ю.М. Максимовского. - М.: Медицина, 2002. - 640 с.

  15. Фалин Л.И. Гистология и эмбриология полости рта и зубов. - М.: Медгиз, 1970. - 220 с.

  16. Царев В.Н., Ушаков Р.В. Антимикробная терапия в стоматологии. - М.: МИА, 2004. - 144 с.

  17. Lana M.A., Ribeiro-Sobrinho A.P., Stehling R. et. al Microorganisms isolated from root canals presenting necrotic pulp and their drug susceptibility in vitro // Oral Microbiol. Immunol. - 2001. - Vol. 16. - P. 100-105.

  18. Siquera J.F.Jr., Rocas I.N., Souto R., Uzeda M.(de), Colombo A.P. Actinomyces species, Streptococci, and Enterococcus faecalis in primary root canal infections // J. Endod. - 2002. - Vol. 28. - Р. 168-172.


1. МКБ-10. Адаптированный вариант подготовлен в отделе медицинской демографии и Международной классификации болезней НИИ социальной гигиены, экономики и управления здравоохранением им. Н.А. Семашко РАМН. Введён в действие приказом Минздрава Российской Федерации от 27.05.97 № 170. Дата введения: 01.01.99 г. Краткий вариант, основанный на Международной статистической классификации болезней и проблем, связанных со здоровьем, 10-го пересмотра, принятой 43-й Всемирной ассамблеей здравоохранения. Где указано: К04.6 Периапикальный абсцесс с полостью. К04.7 Периапикальный абсцесс без полости.