
Детская терапевтическая стоматология
Детская терапевтическая стоматология / под ред. Леонтьева В. К. , Кисельниковой Л. П. - Москва : ГЭОТАР-Медиа, 2019. - 952 с. (Серия "Национальные руководства") - ISBN 978-5-9704-4974-5 |
Аннотация
Национальное руководство по детской терапевтической стоматологии представляет собой второе издание, дополненное и усовершенствованное его авторами в соответствии с развитием специальности и предложениями коллег.
Данное руководство состоит из книги и электронного приложения, содержит современную и актуальную информацию по общим и частным вопросам детской терапевтической стоматологии и профилактике стоматологических заболеваний в детском возрасте, изложенную с позиций доказательной медицины. Издание содержит большое количество иллюстраций, описание технологий, фармакологический справочник и приложения.
Электронное приложение включает основные нормативные документы, регламентирующие деятельность детских врачей-стоматологов и детской стоматологической службы в Российской Федерации, образцы учетно-отчетной документации и описание порядка заполнения медицинской документации. Кроме того, в нем представлены компьютерные программы по составлению схем индивидуальной профилактики кариеса и заболеваний пародонта для детей и подростков.
Руководство предназначено врачам-стоматологам, клиническим ординаторам, интернам, студентам старших курсов стоматологических факультетов.
Д38
Глава 20. Кариес временных зубов
КЛИНИЧЕСКАЯ КАРТИНА
Клиническое течение кариеса у детей раннего возраста
Клиническое течение кариеса у детей раннего возраста обусловлено анатомо-физиологическими особенностями временных зубов, возрастными закономерностями развития ребенка, периодом возникновения патологии.
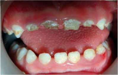
Для детей раннего возраста характерны декомпенсированное, агрессивное течение кариеса зубов, множественность поражений, развитие плоскостной и циркулярной форм кариеса без образования типичной кариозной полости, быстрое разрушение коронок зубов, возникновение осложнений и, как следствие, преждевременное удаление временных зубов. Кариесом поражаются в первую очередь временные зубы с пороками развития твердых тканей (гипоплазия, дисплазия, дисминерализация и гипоминерализация), формирующимися в результате тканевой гипоксии при патологии беременности и родов, заболеваниях ребенка первого года жизни. Кариес развивается как осложнение порока развития, в сочетании с ним или как самостоятельное заболевание. Скорость распространения кариозного процесса высокая, что обусловлено в первую очередь низкой степенью минерализации твердых тканей прорезывающихся временных зубов. Осложнения могут развиваться в течение нескольких месяцев после выявления начальных признаков заболевания. У детей поражаются преимущественно резцы верхней челюсти и первые моляры, нередко - все зубы по мере их прорезывания (рис. 20-1).

Чем раньше у ребенка появилось первое кариозное поражение, тем вероятнее поражение всех зубов и развитие осложнений. В каждом зубе можно обнаружить несколько кариозных полостей или одно поражение, распространяющееся на две-три поверхности или всю коронку зуба. После лечения часто развиваются вторичный и рецидивный кариес, осложнения; сохранность пломбировочных материалов низкая. Используемые ранее названия (острый, острейший, множественный, галопирующий, цветущий кариес, кариозная болезнь) подчеркивали высокую скорость и тяжесть заболевания, а термин «бутылочный кариес» - связь патологии с кормлением младенцев из бутылочки. За рубежом применяют термины: «ранний детский кариес» (early childhood caries - ЕСС), характеризующий кариес временных зубов у детей до 6 лет, и rampant caries - быстротекущее и интенсивное кариозное разрушение зубов, возникающее в любом возрасте.
Временные резцы верхней челюсти поражаются кариесом наиболее часто у детей первых лет жизни. Для периода, когда временные зубы только начинают прорезываться, типично поражение в области режущих краев резцов, быстро распространяющееся и захватывающее всю коронку зуба. Если резцы прорезались наполовину, то кариозное поражение локализуется в центре коронки зуба на вестибулярной или язычной поверхности, затем распространяется в виде пояса на другие поверхности зуба либо в виде плоскостного поражения охватывает полностью одну или несколько поверхностей. Если кариес начинается после полного прорезывания резцов, то поражается в первую очередь пришеечная область зубов, может развиться циркулярная форма кариеса. Возможно также плоскостное распространение кариозного поражения в сторону режущего края, на котором остается тонкая полоска сохраненной эмали либо выявляется полное разрушение эмали (рис. 20-2).

Поражение язычной поверхности зубов чаще возникает у детей, получающих ночные кормления сладкими продуктами и напитками, употребляющих сосательные конфеты, у детей с дуоденогастроэзофагеальным рефлюксом. У детей старше 2 лет преобладают новые кариозные поражения на контактных поверхностях резцов.
Плоскостное и циркулярное кариозное поражение резцов часто приводит к отлому части или всей коронки зуба, развитию пульпита и периодонтита (рис. 20-3, 20-4). Реже отмечают изоляцию корневой пульпы вследствие отложения заместительного дентина и сохранение ее жизнеспособности после отлома коронки зуба.


Начиная с двухлетнего возраста у детей чаще поражаются моляры (по сравнению с резцами и клыками), особенно первые. Кариес начинается на вестибулярной поверхности в пришеечной области и на жевательной поверхности в области фиссур (рис. 20-5), что обусловлено сниженной минерализацией и накоплением биопленки на этих участках.

Кариозное поражение может распространяться по плоскости, охватывая всю вестибулярную и/или жевательную поверхность зуба.
Течение кариеса у детей раннего возраста (до 3 лет) бессимптомное, что обусловлено неспособностью малышей к координации болевых ощущений, незрелостью ЦНС и несформированностью нервных окончаний в пульпе временных зубов. При возникновении кариозного поражения зубов дети не проявляют никаких признаков беспокойства, лишь некоторые отказываются от приема кислых фруктов и овощей, твердой пищи. Отсутствие жалоб - одна из причин позднего обращения к врачу. Родители приводят ребенка, когда у него отламывается коронка зуба или появляется острая боль в результате развития осложнения.
Кариес эмали. Начальные стадии развития кариеса временных зубов в виде очаговой деминерализации эмали (кариес в стадии пятна) и поверхностного кариеса (образование кариозной полости в пределах эмали) проходят незамеченными для родителей, так как участки поражения обычно обильно покрыты зубным налетом, а ребенок не испытывает неприятных ощущений. При профилактических осмотрах кариес эмали временных зубов обнаруживают после тщательного удаления зубного налета и высушивания поверхности. Очаговая деминерализация в виде матовых (без блеска) участков эмали определяется на видимых поверхностях зубов, преимущественно на вестибулярной поверхности в пришеечной области резцов, клыков и моляров. Участки поражения не имеют тенденции к ограничению, эмаль шероховата при зондировании, безболезненна, легко прокалывается и соскребается острым инструментом. При нанесении 1% водного раствора метиленового синего участок деминерализованной эмали окрашивается в синий цвет различных оттенков. На фоне матового пятна может определяться поверхностный дефект эмали, не пересекающий эмалево-дентинное соединение. Края дефекта легко скалываются, дно и стенки податливы при зондировании, безболезненны. Эмаль временных зубов очень тонкая, поэтому быстро развивается следующая стадия поражения кариесом - кариес дентина (средний кариес).
Кариес дентина. При развитии кариеса дентина у детей могут появляться кратковременные боли при приеме холодных или сладких продуктов, однако чаще всего ребенок не может высказать свои ощущения, а родители жалуются только на кариозное поражение. Во временных зубах преобладает средний кариес. У детей первых лет жизни кариозный дентин имеет светлый цвет и трудноотличим от здорового дентина, так как слабоминерализованный дентин временных зубов быстро инфицируется, не успевая пропитываться пищевыми пигментами. Чаще патологически измененный дентин приобретает светло-желтый или светло-серый цвет, реже - желто-коричневый, темно-коричневый или зеленоватый оттенок. Кариозные поражения имеют тенденцию к неограниченному плоскостному и циркулярному распространению, однако с 2 лет могут встречаться ограниченные кариозные полости блюдцеобразной формы. Эмаль по краям кариозного поражения матового цвета, хрупкая, легко скалывается. Измененный дентин без усилий снимается пластами как резиноподобная ткань. После удаления измененного дентина осторожное зондирование выявляет податливость дна и стенок кариозной полости, болезненность в области эмалево-дентинного соединения, иногда в области дна кариозной полости.
В раннем детском возрасте (до 3 лет), как правило, не выявляют глубокий кариес временных зубов, что обусловлено небольшой (1-2 мм) толщиной дентина между эмалью и полостью зуба. Пульпа временных зубов занимает большой объем, рога пульпы высокие, вдающиеся в дентин, сама пульпа незрелая, в связи с этим не происходит отложение вторичного дентина и склерозирование дна кариозной полости. При неглубокой кариозной полости может бессимптомно развиваться воспалительный процесс в пульпе, происходить некротизация пульпы и развитие периодонтита.
Клиническое течение кариеса временных зубов у детей, как и его возникновение, во многом зависят от развития кариесогенной ситуации в полости рта ребенка. Если ребенку не оказана своевременная стоматологическая помощь и не изменена кариесогенная ситуация в полости рта (постоянные ночные кормления сахаросодержащими продуктами и напитками без должного гигиенического ухода за зубами), то скорость развития кариозного процесса очень высока. Отмечаются активное течение кариеса, поражение иммунных зубов (резцов и клыков нижней челюсти), быстрое тотальное кариозное разрушение коронок всех зубов и развитие осложнений. Удаление временных зубов происходит задолго до их физиологической смены.
Благоприятное развитие кариесогенной ситуации возникает после устранения действия или уменьшения количества, частоты влияния и интенсивности патогенных факторов. Включение кариеспротективных факторов и повышение кариесрезистентности зубов (например, применение фторидов, противомикробных препаратов) способствуют улучшению течения кариеса зубов у ребенка, прекращают появление новых кариозных полостей, развитие вторичного кариеса, осложнений. Имеющиеся кариозные поражения ограничиваются, отмечаются пигментация и уплотнение пораженных тканей (эмали и дентина), реминерализация и появление блеска участков деминерализованной эмали. Такое состояние диагностируют как приостановившийся кариес (стабилизировавшийся кариес, arrested caries).
Клиническая картина кариеса у дошкольников
Кариес временных зубов у дошкольников протекает без выраженных клинических проявлений. Основная жалоба - кариозное поражение. Значительно реже отмечают болевые ощущения при приеме пищи (кислых, сладких или холодных продуктов). Преобладающая форма поражения отдельных зубов - кариес дентина (средний кариес).
У детей старше 3 лет выделяют различное течение кариозного процесса в зависимости от степени активности кариеса зубов.
Высокая степень активности кариеса у дошкольников отражает, как правило, дальнейшее развитие заболевания, начавшегося в раннем возрасте.
Значительно реже активное течение кариозного процесса развивается впервые у детей старше 3 лет в результате снижения уровня общего здоровья (например, при ревматизме, пиелонефрите). У дошкольников с высокой степенью активности кариеса сохраняются основные клинические особенности, характерные для детей раннего возраста:
-
локализация поражений на всех поверхностях, несколько кариозных полостей в одном зубе;
-
быстрое развитие осложнений, преждевременное удаление зубов;
-
отсутствие четких различий между пораженными и здоровыми тканями. Кариес эмали практически не встречается, кариес дентина определяют, как правило, в виде среднего кариеса, глубокий кариес отмечают редко. Появляются типичные кариозные полости на контактных поверхностях зубов, так как в этих участках отмечается наибольшая ретенция пищевых остатков, создаются условия для накопления и неблагоприятного воздействия зубной биопленки. Почти у всех дошкольников отмечают осложнения кариеса, в результате чего преждевременно удаляют временные зубы, кроме того, выявляют неудовлетворительное гигиеническое состояние полости рта и неблагоприятные показатели ротовой жидкости. Дети, как правило, страдают хроническими или частыми острыми соматическими заболеваниями. У каждого ребенка можно выявить 4-6 действующих кариесоген-ных факторов (рис. 20-6).

У дошкольников с низкой степенью активности кариеса отмечают небольшое количество пораженных зубов, впервые появившихся после трехлетнего возраста.
Поражения локализуются преимущественно в молярах на жевательной поверхности. В одном зубе возникает, как правило, только одна кариозная полость.
Скорость развития кариозного процесса невысока, нет тенденции к распространению, пораженные ткани пигментированы (явно отличаются от здоровых тканей). Отмечают кариес эмали и кариес дентина. Преобладает средний кариес, однако возможно развитие глубокого кариеса, особенно в центре жевательной поверхности (между рогами пульпы), так как созревшая пульпа начинает вырабатывать заместительный дентин и повышать, таким образом, минерализацию дна кариозной полости, образуя склерозированную зону. Образуются типичные кариозные полости, в которых после удаления размягченного дентина определяются плотные блестящие дно и стенки кариозной полости. Осложнения кариеса, выпадение пломб, вторичный и рецидивный кариес развиваются редко, ежегодный прирост кариеса небольшой или отсутствует. У детей отмечают хорошую гигиену полости рта, благоприятные показатели ротовой жидкости, высокий уровень общего здоровья.
Средняя степень активности кариеса характеризуется параметрами, занимающими промежуточное положение между описанными выше вариантами течения. У дошкольников по основным клиническим признакам (преимущественное поражение моляров, типичные кариозные полости) течение средней степени активности кариеса приближается к низкой степени активности. Однако для средней степени активности кариеса характерно появление нескольких кариозных полостей в одном зубе, поражение не только жевательных, но и контактных и вестибулярных поверхностей зубов, ежегодный прирост новых кариозных поражений. В то же время течение процесса у дошкольников более медленное, а нарушения слюноотделения, состава и свойств ротовой жидкости не столь выражены, как при высокой степени активности кариеса.
Клиническая картина кариеса временных зубов у школьников
У детей школьного возраста наблюдают замедление активности течения кариеса временных зубов, при этом сохраняются основные признаки, присущие данному процессу в дошкольном возрасте.
-
У школьников с высоким риском кариеса большинство временных зубов уже отсутствуют, а в имеющихся зубах, как правило, проведено лечение осложнений кариеса. Заболевание проявляется в виде вторичного и рецидивного кариеса, новых кариозных поражений депульпированных зубов (неуточненный кариес).
-
При средней степени активности кариеса у школьников чаще всего определяют типичные кариозные поражения дентина временных зубов, преобладает средний кариес контактных поверхностей моляров и клыков, который без лечения приводит к развитию осложнений (пульпита и периодонтита).
-
Для школьников с низким риском развития кариеса характерно очень медленное развитие кариозного процесса; поражены, как правило, жевательные поверхности временных моляров. Кариозные поражения эмали и дентина приобретают темно-коричневую или черную пигментацию. Иногда образуются глубокие кариозные полости. После удаления размягченных тканей на дне кариозной полости определяют плотный пигментированный дентин, который трудно удалить ручным способом. Осложнения кариеса возникают редко.
ДИАГНОСТИКА
Диагностика кариеса временных зубов у детей затруднена, так как не всегда возможно узнать о жалобах пациента и анамнез, получить адекватные ответы при проведении зондирования и перкуссии. Иногда невозможно провести рентгенологическое или другое специальное диагностическое исследование вследствие разных причин.
Анамнез
Сведения о возникновении патологии после прорезывания зубов помогают в дифференциальной диагностике с наследственными и врожденными пороками развития эмали, однако кариес зубов может развиваться и как осложнение этих заболеваний. Указания на болевой симптом в прошлом позволяют предположить осложнение кариеса.
Обследование пациента
Обследование ребенка с кариесом зубов включает основные и дополнительные методы.
-
Визуальный осмотр каждого зуба проводят после очищения зубов от налета и высушивания. Осмотр с помощью зеркала позволяет установить кариозную полость, меловые или пигментированные пятна, оценить состояние окружающих тканей. Применение средств увеличения (магнификации) в виде лупы, бинокулярных линз и т.п. может привести к гипердиагностике, ошибочной диагностике кариеса в пигментированных ямках и фиссурах зубов.
-
Инструментальное исследование с помощью зонда позволяет выявить шероховатость, податливость эмали, скрытые кариозные полости, болезненность при прикосновении к стенкам и дну кариозной полости. Диагностическое зондирование временных зубов у детей следует проводить осторожно, используя тупой или пуговчатый зонд, так как острый может повредить слабоминерализованную эмаль зуба, легко проколоть здоровый слабоминерализованный дентин и вскрыть полость зуба.
-
Зондирование дна и стенок кариозной полости до удаления некротизированных тканей не проводят. После экскавации кариозного дентина определяют болезненность в области эмалево-дентинного соединения (средний кариес) и дна кариозной полости (глубокий кариес).
-
У маленьких детей часто невозможно узнать о субъективных ощущениях при проведении зондирования, поэтому диагноз «средний кариес» («кариес дентина») ставят на основании отсутствия сообщения кариозной полости с полостью зуба и клинико-рентгенологических признаков осложнений кариеса.
Среди дополнительных методов наиболее востребованы следующие.
-
Витальное окрашивание пятен с помощью кариес-детектора (например, 1% водный раствор метиленового синего) позволяет выявить кариозные ткани и провести дифференциальную диагностику с некариозными поражениями.
-
Рентгенологическое исследование назначают в целях выявления скрытых кариозных полостей на контактных поверхностях зубов, а также в сложных случаях для дифференциации с осложнениями кариеса.
-
В целях ранней диагностики кариеса применяют приборы инфракрасной лазерной флюоресценции («ДИАГНОдент»), количественной световой флюоресценции (QLF - quantitative light fluorescence), фиброоптической трансиллюминации (FOTI - fibro-optic trans-illumination) и цифрового изображения фиброоптической трансиллюминации (DIFOTI - digital imaging fibro-optic trans-illumination).
Дифференциальная диагностика
Принципиальное значение имеет дифференциальная диагностика кариеса зубов и его осложнений (острый и обострившийся пульпит, периодонтит).
-
Для клинической картины острого и обострившегося хронического пульпита временных зубов характерны самопроизвольные приступообразные боли, возникающие в ночное и вечернее время. Приступ боли провоцируется приемом горячей или холодной пищи, боль не проходит после устранения раздражителя. Длительность болевого приступа от 15-20 мин до нескольких часов. После экскавации кариозных тканей определяется резкая болезненность в области рогов пульпы при зондировании, при обострении хронического пульпита возможно выявление сообщения кариозной полости с полостью зуба.
-
Хронические пульпиты временных зубов у детей чаще протекают бессимптомно, реже пациенты жалуются на боль во время приема пищи. Во время обследования при гипертрофическом пульпите всегда выявляют сообщение кариозной полости с полостью зуба, а при фиброзном и гангренозном пульпите кариозная полость может не сообщаться с полостью зуба. Возможно инфицирование пульпы через широкие дентинные трубочки и развитие первично хронического пульпита при неглубокой кариозной полости без видимого сообщения с полостью зуба. Именно поэтому у маленьких детей не всегда можно правильно поставить диагноз при первичном обследовании. После полного удаления некротизированных тканей и тщательного зондирования дна кариозной полости в области рогов пульпы при хроническом фиброзном пульпите можно выявить болезненность и сообщение с полостью зуба; при гангренозном пульпите зондирование безболезненно. Следует учитывать, что при гангренозном пульпите эмаль зуба теряет блеск, приобретает серый цвет, а на рентгенограмме выявляются изменения в виде расширения перио-донтальной щели зуба, резорбции костной ткани в области верхушек корней и бифуркации. В сложных случаях необходимо применение отсроченных лечебно-диагностических методов, временное пломбирование и наблюдение.
-
Хронический периодонтит временных зубов у детей характеризуется изменениями слизистой оболочки десны (синюшностью, податливостью при пальпации, развитием свищевого хода) и костной ткани (рентгенологическими признаками разрежения и деструкции костной ткани в области бифуркации и верхушек корней зубов), отсутствием блеска и потемнением коронки зуба. Сообщение кариозной полости и полости зуба часто выявляется только в процессе препарирования после полного удаления некротизированного дентина. Зондирование дна, стенок кариозной полости и точки сообщения с полостью зуба безболезненно.
Оценка риска появления новых кариозных поражений
Для назначения оптимального комплекса лечения и контроля ситуации проводят оценку риска развития новых кариозных поражений и прогнозирование течения процесса на основании данных клинических и лабораторных методов исследования.
Наибольшее значение имеют сведения о приросте кариеса за последние 2 года и степени его активности (количество пораженных зубов).
Другими наиболее часто применяемыми прогностическими критериями являются:
Риск оценивается как минимальный, если ребенок в возрасте старше 3 лет проживает в семье с высоким социально-экономическим статусом, имеет высокий уровень общего здоровья, I степень активности кариеса и хорошее гигиеническое состояние полости рта, употребляет умеренное количество кариесогенных продуктов в основные приемы пищи, применяет системные и местные фториды, регулярно наблюдается у стоматолога и в течение двух последних лет у него не образовались новые кариозные полости и очаговая деминерализация эмали. Специальные тесты имеют благоприятные результаты.
Умеренный риск развития кариеса наблюдается у детей в возрасте старше 3 лет, которые проживают в семьях со средним социально-экономическим положением, имеют хороший уровень общего здоровья, II степень активности кариеса, удовлетворительное или неудовлетворительное гигиеническое состояние полости рта, периодически употребляют избыточное количество кариесогенных продуктов и напитков между основными приемами пищи, не получают в достаточном количестве системные фториды, но применяют местные фториды, нерегулярно посещают стоматолога, а в течение последних двух лет у них были выявлены новые кариозные полости и признаки начального кариеса в нескольких зубах. Результаты специальных тестов имеют промежуточные (средние) значения.
Высокий риск дальнейшего развития кариеса зубов характерен для детей, у которых первые кариозные поражения появились в возрасте до 3 лет, и детей старше трех лет, проживающих в семьях с низким социально-экономическим статусом и высоким уровнем поражения кариесом зубов у ближайших родственников с III степенью активности кариеса, с пороками развития твердых тканей зубов, ЗЧА, плохим гигиеническим состоянием полости рта, низким уровнем общего здоровья, принимающих лекарственные препараты, подавляющие слюноотделение и изменяющие состав слюны, пользующихся съемными и/или несъемными ортодонтическими аппаратами, часто употребляющих кариесогенные продукты и напитки между основными приемами пищи, недостаточно обеспеченных системными и местными фторидами, нерегулярно или совсем не посещающих детского стоматолога, в течение последнего года имевших прирост кариеса и множественную очаговую деминерализацию эмали. Специальные тесты дают неблагоприятный прогноз.
В табл. 20-1 представлены критерии оценки риска дальнейшего развития кариеса зубов у ребенка.
Для прогнозирования риска развития кариеса разработаны компьютерные программы, например кариограмма Университета г. Мальме, Швеция. Введение информации о предшествующем поражении зубов кариесом, общем здоровье, характере питания, гигиеническом состоянии зубов, наличии Str. mutans, использовании фторидов, скорости саливации и буферной емкости слюны, а также о клиническом заключении стоматолога позволяет визуализировать риск развития кариеса зубов у ребенка и разработать стратегию индивидуальной профилактики (рис. 20-7).
По результатам обследования определяют степень активности и риск дальнейшего развития кариеса зубов у ребенка. Диагноз целесообразно выносить на первую страницу амбулаторной карты.
Диагноз в отношении локализации и глубины отдельных кариозных поражений выставляют в дневнике лечения по мере санации полости рта ребенка.
Примеры формулировки диагноза
Критерии | Риск развития кариеса зубов у детей | ||
---|---|---|---|
низкий |
умеренный |
высокий |
|
1 |
2 |
3 |
4 |
Общемедицинские и социально-экономические параметры |
|||
Возраст |
Старше 3 лет |
Старше 3 лет |
Младше 3 лет, подростковый |
Общее здоровье |
Хорошее |
Удовлетворительное |
Часто болеет, имеет хроническое заболевание, инвалидность |
Прием медикаментов, неблагоприятно влияющих на состояние полости рта |
Редко |
Периодически |
Часто/постоянно |
Социально-экономический статус |
Высокий |
Средний |
Низкий |
Посещение стоматолога |
Регулярно |
Нерегулярно |
Нерегулярно/не посещает |
Стоматологический статус |
|||
Степень активности кариеса |
II |
II |
III |
ЗЧА |
Не имеет |
Неправильное положение отдельных зубов |
Аномалии и деформации челюстно-лицевой области |
Ношение ортодонтических аппаратов |
Нет |
Нет |
Да |
Гигиена полости рта |
Хорошая |
Удовлетворительная |
Плохая |
Пороки развития твердых тканей зубов |
Нет/флюороз |
Местная гипоплазия одного зуба, флюороз |
Системная гипоплазия, нарушение амелогенеза |
Очаговая деминерализация |
Нет |
Несколько зубов |
Множественная |
Прирост кариеса |
Отсутствует в течение двух лет |
Несколько новых кариозных полостей в течение двух лет |
Новые кариозные полости в течение года |
Глубокие открытые фиссуры и ямки |
Нет |
В нескольких зубах |
В молярах, премолярах, верхних резцах |
Питание |
|||
Сахаросодержащие продукты и напитки, крахмалистая пища |
Редко, мало |
Периодически, умеренно |
Часто, избыточно |
Легкоусвояемые углеводы между основными приемами пищи |
Редко |
Периодически (1-2 раза в день) |
Часто (более 3 раз в день) |
Молочные продукты |
Ежедневно |
Часто |
Редко/не употребляет |
Морепродукты |
Часто |
Периодически |
Редко/не употребляет |
Овощи и фрукты |
Ежедневно |
Часто |
Редко |
Кислые фрукты, напитки |
Редко |
Периодически |
Часто |
Уход за полостью рта |
|||
Частота чистки зубов |
Ежедневно (двукратно) |
Ежедневно (1-2 раза в день) |
Нерегулярно или 1 раз в день |
Флоссинг |
Часто |
Редко |
Не применяет |
Противомикробная зубная паста, полоскание |
Часто |
Редко |
Не применяет |
Применение системных и местных фторидов, других противокариозных препаратов |
|||
Обеспеченность организма фторидами |
Оптимальная |
Субоптимальная |
Низкая |
Фторированная вода (соль, молоко, таблетки, капли); витамины с фторидами |
Регулярно |
Периодически |
Не применяет |
Фторидная зубная паста, гель, полоскание |
Ежедневно |
Часто |
Не применяет |
Витамин D, кальций-фосфатные комплексы, ксилитол (жевательная резинка, леденцы) |
Периодически |
Редко |
Не применяет |
Стоматологические процедуры |
|||
Фторидный лак, гель, раствор |
Регулярно (2-3 раза в год) |
Периодически (1-2 раза в год) |
Нет |
Кальций-фосфатные паста, гель, раствор |
Регулярно (2-3 раза в год) |
Периодически (1-2 раза в год) |
Нет |
Противомикробный лак (гель, раствор), содержащие хлоргексидин, тимол, йод |
Регулярно |
Периодически |
Нет |
Герметизация фиссур и ямок зубов |
Во всех зубах |
В нескольких зубах |
Нет |
Исследование слюны |
|||
Скорость слюноотделения |
Высокая |
Средняя |
Низкая |
Вязкость слюны |
Низкая |
Умеренная |
Высокая |
Значение рН |
>7 |
~7 |
<7 |
Буферная емкость |
Высокая |
Умеренная |
Низкая |
Минерализующий потенциал |
Высокий |
Умеренный |
Низкий |
Кариесрезистентность зубов |
|||
ТЭР |
Благоприятный |
Умеренный |
Неблагоприятный |
КОСРЭ-тест |
Благоприятный |
Умеренный |
Неблагоприятный |
Са/Р коэффициент |
Высокий |
Умеренный |
Низкий |
Микробиологические тесты (количество бактерий) |
|||
Streptococcus mutans |
Низкое |
Умеренное |
Высокое |
Lactobacillum sp. |
Низкое |
Умеренное |
Высокое |

-
51, 52 - глубокий кариес (К02.1), плоскостная форма с поражением вестибулярной, контактных и нёбной поверхностей.
-
64 - средний кариес (К02.1), жевательная поверхность, I класс.
-
54 - неуточненный кариес (К02.9) - кариес депульпированного зуба, вестибулярная поверхность, V класс.
-
74, 84 - вторичный глубокий кариес (К02.1), медиальная поверхность, II класс.
-
55, 65, 75, 85 - приостановившийся кариес (К02.3), вестибулярная поверхность.
-
55, 65 - средний кариес (К02.1), нёбная поверхность, жевательная поверхность, I класс.
ЛЕЧЕНИЕ
Цели лечения
Основные цели лечения ребенка с кариесом зубов:
Комплексное лечение детей с кариесом временных зубов
-
Мотивация родителей и детей к выполнению рекомендаций стоматолога проводится в первое посещение, поддерживается при каждом посещении. Искусство убеждения, внимание к проблемам ребенка, доверительные отношения с родителями и ребенком повышают мотивацию профилактики и лечения заболеваний полости рта.
-
Психологическая подготовка и коррекция поведения детей; при невозможности коррекции поведения ребенка, наличии психоневрологических заболеваний лечение проводится в условиях общего обезболивания.
-
Рекомендации по питанию: ограничение или полное исключение сахаросодержащих и кислых продуктов и напитков, особенно между основными приемами пищи; запрет сладких кормлений ночью; ограничение мучной, крахмалистой, мягкой, рафинированной и консервированной пищи; введение в достаточном количестве кариеспротекторных продуктов (например, молочных и морепродуктов, зеленого чая, твердых овощей, некислых фруктов, зелени, орехов); для младенцев важно продолжение грудного вскармливания.
-
Следует акцентировать внимание родителей и детей на мерах удаления пищевых остатков из полости рта: немедленная чистка зубов после приема сладкого; после употребления кислых продуктов необходимы полоскание рта нейтрализующими растворами, чистка зубов зубными пастами, нейтрализующими кислоты («Колгейт); сладкие лекарства следует давать ребенку до чистки зубов. Жевательная резинка с кальцием («Орбит детский с кальцием», «Recaldent», «TheraGum plus calcium») применяется у детей с 4 лет в течение 10-15 мин после еды, но не в качестве замены зубной щетки и пасты.
-
Оптимизация гигиенического состояния полости рта начинается с демонстрации ребенку и родителям окрашенных зубных отложений как причины возникновения кариеса зубов и объяснения роли регулярной тщательной индивидуальной гигиены полости рта в устранении заболевания. Обязательно обучение ребенка и родителей уходу за полостью рта, методам контроля гигиенического состояния полости рта, назначение предметов и средств индивидуальной гигиены. Детям, проживающим в регионах с низким и оптимальным содержанием фторида в питьевой воде (менее 0,5-1,2 F-мг/л), рекомендуется применение фторидных зубных паст («Элмекс детский», «Колгейт детский», «Детский жемчуг комплекс») с момента прорезывания первого зуба. Рекомендуется использовать зубные пасты с содержанием фтор-иона не менее 500 ppm. Количество фторидной зубной пасты должно быть небольшим, увеличиваться по мере прорезывания молочных зубов (мазок - рисовое зернышко - горошина). В регионах с повышенным содержанием фторида в питьевой воде (более 1,2 F-мг/л) детям лучше назначать бесфтористые зубные пасты («Splat junior», «R.O.C.S. baby»). При высоком риске развития кариеса детям с высокой активностью течения кариозного процесса рекомендуется применение зубных паст с повышенным содержанием фторида: 1000 F-ppm до 3 лет, 1350-1500 F-ppm с 3 лет.
-
При установлении плотного контакта между зубами показано ежедневное применение флоссинга (родителей обучают, как провести флоссинг у маленьких детей). С 6 лет дети могут полоскать рот фторидсодержащим ополаскивателем: 0,05% раствором ежедневно, 0,2% - 1 раз в неделю. Контролируют состояние гигиены полости рта при каждом посещении ребенка (например, йодисто-калиевый раствор, колор-тест). При необходимости проводят контролируемую чистку зубов, повторное обучение ребенка и родителей до достижения результата - правильной и эффективной чистки зубов. По показаниям рекомендуют профессиональную чистку зубов, полирование шеек зубов и пломб.
-
Противомикробная терапия включает применение препаратов, содержащих хлоргексидин . У детей удобно применять лак «Cervitec», содержащий 1% хлоргексидина и 1% тимола для обработки зубов каждые 1-3-6 мес, проводить назубные аппликации 1% водного раствора или 1% геля хлоргексидина биглюконата в течение 5-6 дней. Дошкольники могут полоскать рот готовыми растворами, содержащими хлоргексидин (например, «Корсодилом»).
-
Локальная флюоризация включает 1-3 процедуры, выполняемые до или в период проведения санации полости рта ребенка: аппликации фторидного геля [например, «Белагель F», «Радогель Ф», «Элмекс гель» («Elmex gel»), «Флюокаль гель» («Fluocal gel»)]; покрытие зубов фторидным лаком [«Дюрафат», «Белак Ф», «Флюоропал» («Fluoropal»), «Нанофлюор», «Би-флюорид 12» («Bifluorid 12»)]; глубокое фторирование эмали («Глуфторэд», «Эмаль-герметизирующий ликвид»). Наиболее удобно у детей использовать фторидные лаки на основе канифоли, которые не требуют предварительного очищения и высушивания, изоляции зубов, застывают при соприкосновении со слюной, исключают опасность проглатывания.
-
Реминерализующая терапия проводится в дополнение к фторидной терапии и включает применение кальций-фосфатных препаратов [«Белагель Са/Р», «R.O.C.S.-mineral», «Тус Мусс» («GC Tooth Mousse»)].
-
Герметизация фиссур и ямок временных моляров проводится у всех детей раннего возраста, имеющих кариес зубов, у дошкольников - по показаниям (глубокие открытые фиссуры). Предпочтительный материал для детей раннего возраста - СИЦ: «Аквион», «Аргецем», «Кавитан» («KAVITAN»), «Фуджи II» («Fuji II»), «Фуджи IX» («Fuji IX»). У дошкольников можно использовать другие материалы: герметики [«Фиссурит FX» («Fissurit FX»)], жидкие компомеры [«Х-флоу» («X-flow»)] и композиты [«Филтек-флоу» («Filtec-flow»)].
Общее лечение
-
Общее лечение назначают детям с высокой активностью течения кариеса, с высоким риском развития кариеса. Назначают прежде всего фторидные добавки (фторированная вода, соль, молоко, таблетки фторида натрия). Препараты кальция и фосфора (цитрата, лактата, глюконата, карбоната, глицерофосфата кальция), комплексов кальция с витаминами («Кальцид», «Кальций-Д3», «Кальцинова») назначают после обследования состояния минерального обмена ребенка. Витамины и микроэлементы («Алфавит», «Мультитабс»), средства повышения неспецифического иммунитета (препараты эхинацеи, элеутерококка) назначают по согласованию с педиатром или семейным врачом.
-
Непосредственное лечение кариозных зубов, включая протезирование значительно разрушенных зубов профилактическими коронками, проводится после установления хорошего контакта с ребенком в процессе выполнения несложных профилактических процедур. После этого лечат небольшие поражения, в последнюю очередь - обширные кариозные полости, осложнения. В одно посещение ребенку лучше лечить не более одного-двух зубов. После лечебных процедур желательно проводить реструктуризацию памяти ребенка, замещая неприятные воспоминания на позитивные путем вручения подарков (наклеек, игрушек, книжек), похвалы, показа мультфильма.
Показания к консультации других специалистов
Направление ребенка на консультацию, обследование и лечение у педиатра, гастроэнтеролога, эндокринолога и других специалистов необходимо при подозрении на наличие соматической патологии или при необходимости коррекции общего лечения.
Диспансеризация
Назначение повторного посещения зависит от возраста ребенка и активности течения кариеса. Детям раннего возраста осмотры назначают через 1-3 мес, дошкольникам с III степенью активности кариеса - через 3 мес, с I и II степенью активности кариеса - через 6 мес.
Индивидуальный комплекс
Индивидуальный комплекс назначают ребенку с учетом кариесогенной ситуации в полости рта и степени активности кариеса зубов: при высокой степени активности кариеса - полный комплекс, при низкой - ограниченный (лечение кариозных поражений, рекомендации по питанию и гигиене полости рта). Оценка риска появления новых кариозных поражений у ребенка позволяет осуществить дифференцированный подход к составлению индивидуального комплекса лечения кариеса зубов.
Трудности лечения
-
Опасность случайного вскрытия полости зуба, обусловленная особенностями строения временных зубов (неширокий слой дентина, большой объем полости зуба, высокие рога пульпы, выступающие в дентин), требует осторожности при препарировании дна кариозной полости. Применение низкоскоростных наконечников, крупных твердосплавных и стальных шаровидных боров, ручное удаление размягченного дентина на дне кариозной полости с помощью экскаваторов уменьшают риск вскрытия полости временного зуба.
-
Сложность определения границ между пораженной и здоровой тканью (светлый инфицированный дентин, слабая минерализация здорового дентина), легкость экскавации здорового слабоминерализованного дентина способствуют неполному или чрезмерному препарированию кариозной полости временного зуба. Применение кариес-детектора улучшает визуализацию инфицированного дентина и качество препарирования.
-
Низкая эффективность обычного препарирования и пломбирования кариозных поражений «без стенок» при плоскостном или циркулярном кариесе, тотальном поражении коронки временного зуба требует применения более сложных методов лечения (пульпотомии).
-
Поскольку осложнения кариеса возникают бессимптомно и без видимого сообщения кариозной полости и полости зуба (распространение инфекции через широкие дентинные трубочки и межуточное вещество), высока вероятность диагностических ошибок. Применение отсроченных методов диагностики и лечения снижает риск развития осложнений во временных зубах.
-
Сложность изоляции рабочего поля от ротовой жидкости, обусловленная высокой скоростью слюноотделения, малым объемом подъязычного пространства, мелким преддверием полости рта, низким прикреплением уздечек губ и трудностями применения коффердама, снижает эффективность пломбирования временных зубов у детей в возрасте до 7 лет. Применение пломбировочных материалов с низкой чувствительностью к влаге (СИЦ) уменьшает зависимость эффективности лечения от сухости рабочего поля.
-
Особенности поведения детей (неумение выразить свои ощущения, неспособность к нахождению источника боли или дискомфорта, неадекватность реагирования и прямое сопротивление, быстрое утомление, неумение сидеть неподвижно с открытым ртом, непроизвольные движения языка, головы, закрывание рта) затрудняют правильную диагностику, препарирование и пломбирование временных зубов, снижают эффективность лечения. Коррекция поведения детей, психологическая подготовка к лечению, применение седативных препаратов и малых транквилизаторов, эффективное обезболивание улучшают качество диагностики и лечения кариеса временных зубов.
-
Неадекватные требования родителей (не препарировать зубы, не окрашивать их в черный цвет, не делать обезболивающий укол) затрудняют применение оптимальных методов и средств лечения кариеса временных зубов у ребенка. Согласно российскому законодательству об охране здоровья граждан, лечение детей до 15 лет проводят только с согласия родителя или опекуна ребенка. Повышение информированности и мотивации родителей к профилактике и лечению кариеса зубов помогает оптимизировать план лечения ребенка.
-
При информированном согласии родителя или опекуна ребенка метод лечения кариеса временных зубов зависит от возраста и поведения пациента, степени активности кариеса зубов, групповой принадлежности зуба, степени сформированности (физиологической резорбции) корня зуба, локализации и глубины кариозного поражения.
-
Лечение отдельного кариозного поражения временного зуба у ребенка направлено на защиту пульпы и максимальное сохранение тканей зуба. У детей раннего возраста (до 3 лет) восстановление формы и функции временного зуба имеет второстепенное значение, вопросы эстетики учитываются минимально. Преимущество отдается неинвазивным и малоинвазивным методам лечения. В старшем возрасте (более 3 лет) желательно полностью восстановить форму, функцию и естественный внешний вид зубов, что важно не только для правильного формирования постоянного прикуса, но и для полноценного психологического развития ребенка.
Лечение кариеса эмали временных зубов
Активному лечению подлежат очаги деминерализации белого и серого цвета, без или с дефектами эмали (начальный и поверхностный кариес). Пигментация участков поражения свидетельствует о приостановке кариозного процесса и отсутствии необходимости лечения.
Лечение начального кариеса. Регистрация первоначального состояния эмали (локализация, размер, форма, степень окрашивания пятен кариес-детектором) и мониторинг изменений необходимы для оценки результатов и коррекции лечения. До начала лечения следует мотивировать родителей и детей к выполнению назначений врача.
Комплекс лечения включает следующие этапы.
-
Устранение основных этиопатогенетических факторов - оптимизация диеты и гигиенического состояния полости рта, противомикробная терапия. Без достижения хорошего гигиенического состояния полости рта лечение очаговой деминерализации эмали неэффективно. В период активного лечения назначают зубную пасту, содержащую фторид (1000-1500 F-ppm). Возможно применение зубной пасты, содержащей фторид в сочетании с препаратами кальция и фосфата.
-
Восстановление (реминерализация) участка деминерализованной эмали достигается путем применения фторидов, которые катализируют процесс обогащения эмали зубов кальцием и фосфатами. Локальная флюоризация включает 3-5 процедур. Применяют фториды натрия, олова, аминофторид, подкисленный монофторфосфат и другие препараты в виде растворов (полоскания, аппликации), гелей для аппликаций, гелей и лаков для нанесения на зубы. Применять фторидсодержащие препараты у маленьких детей следует очень осторожно. Фторидсодержащие зубные пасты также можно использовать для аппликаций, втирания. Фторидный лак - наиболее удобная форма флюоризации зубов у маленьких детей.
-
Дополнительно к фторидам применяют кальций и фосфатсодержащие препараты. Для аппликации и втирания в поверхность пораженных участков эмали применяют растворы (10% глюконат кальция; 2,5% глицерофосфат кальция). Гели [кальций-фосфатный гель, комплекс «CPP-ACP-Tyc Mycc» (казеин-фосфопептид-аморфный фосфат кальция), «R.O.C.S.-mineral»] наносят на зубы кисточкой или аппликатором либо применяют стандартные ложки для аппликаций. Кальцийсодержащие зубные пасты наносят на зубы с помощью аппликатора или втирают в эмаль с помощью зубной щетки. Процедуры проводят родители в домашних условиях после соответствующего обучения.
-
Сочетание реминерализации и флюоризации предполагает применение препаратов и методик для последовательного или одновременного обогащения эмали кальцием и фторидом. Методика П.А. Леуса и Е.В. Боровского (20-минутная аппликация 10% раствора глюконата кальция с последующей 3-5-минутной аппликацией 1% раствора фторида натрия) в настоящее время применяется редко. Возможно покрытие зубов фторидным лаком или гелем после аппликации любого реминерализующего средства. Для детей в возрасте до 7 лет удобно применение лака, содержащего соединения кальция и фторида («Bifluorid 12», «Voco»), а также метода глубокого фторирования эмали, который включает последовательное применение фторидного комплекса (силикатно-магниевый и медно-силикатный фториды, фторид натрия) и препарата высокодисперсной гидроокиси кальция.
-
Озонотерапия позволяет существенно снизить количество бактерий в области участка деминерализации и усилить процессы реминерализации эмали.
-
Серебрение - один из наиболее распространенных методов местного лечения кариеса эмали только временных зубов, поскольку вызывает окрашивание участка деминерализации в черный цвет. Применяют 30% раствор азотнокислого серебра с последующим его восстановлением (например, 4% раствор гидрохинона, 5% раствор аскорбиновой кислоты, 40% раствор глюкозы). Разработан комплекс препаратов для серебрения - «Аргенат двухкомпонентный». При проведении процедуры необходима защита слизистой оболочки десны от ожога с помощью вазелина. Восстановленное серебро оказывает бактерицидное действие, откладывается в порах эмали и закупоривает их, способствуя уплотнению эмали и стабилизации кариозного процесса. Применение препаратов на основе 38% диаминофторида серебра («Аргенат однокомпонентный», «Сафорайд») упрощает методику и улучшает результаты лечения. Серебрение проводят 3-5 раз, повторные курсы - через 1-3-6 мес. Применение двух-трех курсов лечения приводит к стойкой стабилизации процесса: черные, буро-коричневые и светло-коричневые участки эмали имеют плотную поверхность и сохраняются в стабилизированном состоянии до физиологической смены зубов.
-
Общее лечение показано детям с высокой активностью кариеса, при быстротекущей форме очаговой деминерализации эмали. Применяют фториды, витаминотерапию, после обследования - препараты кальция.
По окончании курса проводят оценку эффективности лечения. Положительный результат:
Отрицательный результат:
Отрицательный результат требует коррекции лечения: назначение более строгой диеты, увеличение частоты чистки зубов, применение антибактериальных зубных паст, увеличение числа процедур.
В зависимости от эффективности лечения повторные курсы терапии назначают через 1-3-6 мес до достижения стойкого положительного результата. По окончании курса лечения пациентам рекомендуют соблюдать диету, поддерживать идеальную гигиену полости рта, применять фторидные зубные пасты, посещать стоматолога в назначенный срок.
Лечение поверхностного кариеса. Выбор метода лечения поверхностного кариеса во временных зубах зависит от поведения ребенка и согласия родителей. Возможно применение следующих методов:
Лечение кариеса дентина временных зубов
Выбор метода лечения кариеса дентина (средний кариес, глубокий кариес) временных зубов зависит от локализации и степени распространения патологического процесса, сформированности корня зуба, активности течения кариеса и других факторов.
Неинвазивные методы лечения кариеса дентина временных зубов предполагают лечение без пломбирования. Методы серебрения, глубокого фторирования, озоно-терапии проводят при плоскостной и циркулярной формах кариеса, небольших по размеру участках поражения, если существует возможность хорошего гигиенического ухода за зубами ребенка. Данный вариант лечения не требует обезболивания, хорошо переносится детьми. Однако область самостоятельного применения неин-вазивных методов лечения ограничена. Как правило, требуется предварительное удаление экскаватором визуально отличимых измененных тканей и/или создание открытого широкого доступа к кариозной полости для последующего тщательного гигиенического ухода. Наиболее часто неинвазивные методы показаны при лечении фронтальной группы зубов и вестибулярной поверхности моляров. В условиях хорошего гигиенического ухода за полостью рта ребенка и при проведении своевременных повторных курсов лечения неинвазивные методы терапии стабилизируют кариозные поражения. На жевательной и контактной поверхностях моляров, а также в глубоких кариозных полостях неинвазивные методы лечения кариеса дентина малоэффективны.
Метод Hall применяется при небольших кариозных поражениях контактных поверхностей временных зубов. Предполагает после медикаментозной обработки (без препарирования) закрытие кариозных дефектов СИЦ и фиксацию на СИЦ готовых тонкостенных коронок.
При небольших кариозных дефектах на жевательной поверхности моляров после медикаментозной обработки (без препарирования) проводится профилактическое пломбирование СИЦ. Эти методы показаны у детей раннего возраста, у детей с выраженным страхом перед стоматологическим лечением. Могут применяться опытными детскими стоматологами при условии возможности дальнейшего диспансерного наблюдения детей.
Малоинвазивные методы лечения кариеса дентина временных зубов максимально сохраняют ткани зуба и приятны для детей, снижают потребность в обезболивании, их применяют при кариозных поражениях зубов, распространяющихся на одну или две, реже три поверхности зуба.
-
Технология ART (atraumatic restorative treatment - атравматичное восстановительное лечение) предусматривает выскабливание кариозных тканей острыми ручными инструментами с помощью экскаватора и эмалевого ножа и пломбирование СИЦ (см. главу «Реставрационные технологии, используемые при лечении заболеваний твердых тканей зубов»).
-
Химико-механический метод препарирования предполагает предварительное размягчение кариозных тканей с помощью специальных гелей, выскабливание специальными ручными инструментами (наборы «Carisolv», Швейцария; «Кариклинз», Россия) и пломбирование СИЦ (см. главу «Реставрационные технологии, используемые при лечении заболеваний твердых тканей зубов»).
-
Переход на малоинвазивные методы лечения возможен после раскрытия входа в кариозную полость с помощью алмазного бора.
Традиционное препарирование кариозной полости с помощью бормашины и пломбирование различными материалами возможны при любой локализации кариозного поражения. Препарирование с помощью бормашины позволяет быстро удалить инфицированные ткани, однако из-за болезненности процедуры может потребоваться обезболивание. Звук работающей бормашины пугает маленьких детей, способствуя формированию стоматофобии. Применение бормашины повышает риск случайного вскрытия полости зуба, травмы окружающих зуб тканей и слизистой оболочки полости рта у детей. Метод рекомендуется у эмоционально уравновешенных детей дошкольного и школьного возраста, которые спокойно переносят все процедуры, включая обезболивание.
Препарирование проводят осторожно, с учетом строения временных зубов: дно кариозной полости должно повторять форму крыши полости зуба. Формирование кариозной полости должно соответствовать пломбировочному материалу:
Применение при пломбировании технологии целлулоидных колпачков предусматривает предварительное уменьшение высоты коронки зуба. Изолирующие прокладки (СИЦ, фосфат-цемент) обязательны при пломбировании амальгамой, композитом, силикофосфатным цементом. Кальцийсодержащие прокладки необходимы при глубоком кариесе, но могут применяться и в случае среднего кариеса при пломбировании компомером или композитом. Следует избегать применения техники тотального протравливания кариозной полости из-за высокого риска развития осложнений.
Эффективность пломбирования зубов значительно снижается при наличии сочетанных кариозных поражений нескольких поверхностей. В подобных ситуациях рекомендуют профилактическое протезирование: применение тонкостенных коронок из нержавеющей стали, как готовых, так и изготовленных индивидуально (рис. 20-8). Существуют различные методики повышения эстетичности металлических коронок: лабораторное выполнение вестибулярной фасетки из пластмассы, нанесение маскирующего покрытия на вестибулярную поверхность, замена вестибулярной стенки на композит после фиксации коронки на зубе.

Отсроченный метод лечения кариеса дентина временных зубов показан у детей раннего возраста, при несформированном корне временного зуба, у дошкольников с высокой степенью активности кариеса, при глубоком кариесе в случаях невозможности полного удаления размягченного дентина со дна кариозной полости из-за опасности вскрытия полости зуба или в связи с неконтактностью ребенка. Цель метода - повышение минерализации дентина дна и стенок кариозной полости. В первое посещение удаляют видимо измененные ткани и наносят лечебную пломбу (цинк-оксид-эвгеноловый цемент, кальцийсодержащие препараты) для снижения инфицированности дентина и стимулирования выработки заместительного дентина со стороны пульпы. Через 1-3 или 6 мес удаляют лечебную пломбу, окончательно препарируют и пломбируют кариозную полость.
Метод неполного удаления измененного дентина в глубоких кариозных полостях и пломбирования (в одно посещение) не может быть рекомендован к практическому применению из-за недостаточности доказательной базы эффективности метода при лечении кариеса временных зубов.
Особенности лечения кариеса дентина временных зубов у детей
-
Общее и местное обезболивание (инфильтрационная, проводниковая анестезия) при лечении кариеса временных зубов у детей проводится по показаниям. Небольшие кариозные полости даже при применении бормашины могут быть вылечены без обезболивания.
-
Изоляцию рабочего поля с помощью коффердама (рабердам, минидам) проводят при обширном разрушении коронок зубов, лечении нескольких зубов в одно посещение с предварительным обезболиванием.
-
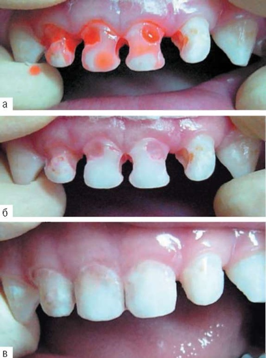
Применение красителей (колор-теста, кариес-детектора), окрашивающих инфицированный дентин в ярко-красный цвет, визуализирует результаты препарирования и позволяет более качественно провести удаление кариозного дентина. Применение красителей показано при любом методе препарирования кариозной полости (рис. 20-9).
-
Особенности медикаментозной обработки при лечении кариеса зубов у детей заключаются в применении низких концентраций теплых водных растворов нераздражающих антисептиков, без резкого запаха (1% раствор перекиси водорода, 0,06% раствор биглюконата хлоргексидина). Для промывания кариозной полости перед пломбированием используют дистиллированную воду.

-
После любого способа препарирования перед пломбированием кариозных полостей целесообразны обработка дна кариозной полости методом глубокого фторирования или озонирования, наложение прокладки, содержащей кальций, для повышения эффективности лечения.
-
Распространение кариозного поражения на все поверхности, наличие глубоких кариозных полостей на контактных поверхностях, распространяющихся ниже уровня десны, значительное разрушение коронки зуба снижают эффективность обычного лечения кариеса и требуют применения метода пульпотомии или пульпэктомии.
-
При значительном разрушении коронки зуба (50% и более) целесообразно после пломбирования покрыть зуб профилактической коронкой (тонкостенные коронки из нержавеющей стали, коронки с композитной облицовкой (см. главу «Восстановление зубов с применением стандартных защитных коронок»).
-
Пломбировочные материалы по степени предпочтения при лечении кариеса дентина временных зубов у детей можно распределить так: СИЦ и керметы, амальгама, компомеры, композиты, ормокеры, силикофосфатные цементы. Применение ярко окрашенных пломбировочных материалов, разработанных специально для временных зубов (например, компомер Tvinci star - «Твинки стар»), повышает заинтересованность детей в лечении. Желание родителей восстановить эстетику передних зубов у детей увеличивает востребованность компомеров и композитов при пломбировании временных зубов.
Часто встречающиеся ошибки и осложнения
Неполные сбор анамнеза и обследование ребенка ведут к возникновению диагностических ошибок, способствующих неправильному лечению.
-
Ориентация на симптом задержки зонда в фиссуре ведет к ошибочной диагностике фиссурного кариеса в здоровых зубах.
-
Постановка диагноза «кариес» при наличии пульпита, периодонтита и неадекватное для состояния зуба лечение приведут к обострению пульпита или периодонтита, развитию периостита и других воспалительных заболеваний челюстно-лицевой области.
При правильно поставленном диагнозе может быть выбран неадекватный метод лечения, что ведет к развитию осложнений.
Ошибки при выполнении метода лечения (неполное удаление инфицированных тканей, чрезмерное препарирование, неправильная техника пломбирования и др.) способствуют развитию осложнений.
Осложнения после лечения кариеса: развитие вторичного кариеса, пульпита и периодонтита, выпадение пломбы.
Рекомендации для пациента
После завершения лечения ребенка с кариесом зубов родителям рекомендуют:
Осмотр каждого прорезывающегося зуба, своевременная обработка фторидными препаратами, герметизация фиссур и ямок зубов снижают активность течения кариозного процесса у ребенка.
Некоторые частные методики
Неинвазивные методы лечения
Глубокое фторирование (по методу профессора А. Кнаппвоста) проводят при лечении начального, поверхностного, среднего и глубокого кариеса, для профилактики кариеса зубов у детей. Глубокое фторирование проводится с помощью наборов «Глуфторэд», «ВладМиВа», Россия, «Эмаль-герметизирующий ликвид» или «Дентин-герметизирующий ликвид» (оригинальное название «Tiefenfluorid»), «HUMANCHEMIE», Германия. Перед применением метода очищают зубы от налета с помощью 1% раствора перекиси водорода.
Набор для глубокого фторирования состоит из двух жидкостей:
В результате последовательного нанесения на чистые поверхности зубов жидкостей № 1 и № 2 (30-60 с - втирают с помощью микробраша) происходит распад комплексных солей, глубокое проникновение в эмаль/дентин активных ионов. Образуются субмикроскопические кристаллы фторида кальция, фторида магния и гидроксифтористой меди, заключенные в высокомолекулярный полимер кремниевой кислоты, который обеспечивает защиту кристаллов от вымывания, закупоривание пространств и герметизацию эмали/дентина. Образованная плотная полимерная субстанция обладает щелочной реакцией, защищает дентин и пульпу зуба, обладает долговременной бактерицидной активностью.
При лечении среднего кариеса временных зубов, глубокого кариеса временных и постоянных зубов, после удаления измененных тканей, медикаментозной обработки и высушивания кариозной полости слабой струей теплого воздуха или сухим ватным шариком глубокое фторирование дентина следует начинать с применения жидкости № 2 для предотвращения раздражения пульпы. С помощью микробраша дно кариозной полости тушируют жидкостью № 2 в течение 30 с, ватным тампоном удаляют излишки жидкости, подсушивают дентин слабой воздушной струей. Затем проводят обработку дентина жидкостью № 1 (30 с), излишки удаляют ватным тампоном, подсушивают дентин, вновь применяют жидкость № 2. Перед пломбированием следует удалить остатки препарата со стенок кариозной полости.
Глубокое фторирование как самостоятельный метод лечения кариеса дентина временных зубов применяется при широком доступе к кариозной полости и возможности хорошей гигиенической очистки. Как правило, такие условия существуют лишь во фронтальной группе зубов. Глубокое фторирование повторяют 3-5 раз до достижения плотного поверхностного слоя эмали и дентина. Курсы глубокого фторирования повторяют через 1-3-6 мес.
Серебрение проводят с помощью 30% раствора нитрата серебра и восстановителя (4% раствора гидрохинона, 5% раствора аскорбиновой кислоты или 40% раствора глюкозы) или готового препарата «Аргенат двухкомпонентный». Перед проведением зубы очищают от налета с помощью 1% раствора перекиси водорода, при необходимости экскаватором удаляют размягченный кариозный дентин, снимают нависающую эмаль для создания широкого доступа к участку поражения, наносят на десну вазелин для защиты от ожога. Изолируют и высушивают зуб, наносят раствор нитрата серебра, втирают его в участок поражения с помощью микробраша в течение 1 мин. Наносят раствор восстановителя на 1 мин, затем ватным тампоном удаляют остатки реагентов, промывают водой. Процедуру повторяют 3-5 раз. В результате химической реакции происходит восстановление серебра, которое откладывается в дентинных трубочках и закупоривает их, фиксируется на поверхности кариозного дентина и уплотняет его, оказывает выраженное бактерицидное действие. В результате пораженные ткани окрашиваются в черный цвет, очаговая деминерализация прекращается, кариозный процесс стабилизируется. Курсы серебрения повторяют через 1-3-6 мес.
Применение методики серебрения показано при лечении начального и поверхностного кариеса во временных зубах. Распространение кариозного поражения более чем на 1/3 коронки зуба, близкое расположение пульпы являются противопоказанием для проведения серебрения.
Более эффективны для серебрения препараты на основе 38% диаминфторида серебра («Аргенат однокомпонентный», «Сафорайд»), сочетающие полезные свойства серебра и фторида. При использовании диаминфторида серебра на поверхности зуба образуются малорастворимые соединения фторида кальция, фосфата серебра и комплекс серебра с белком. Фторид кальция повышает минерализацию тканей, серебро оказывает выраженное бактерицидное действие, блокируя ферментативные системы бактерий. В результате действия диаминфторида серебра обнаженный дентин и участки эмали со слабой минерализацией окрашиваются в бурый или черный цвет, интенсивность и скорость окрашивания возрастают при контакте с восстановителями (органическими и неорганическими кислотами). Образуется плотная твердая ткань, и кариозный процесс прекращается.
Методика применения диаминфторида серебра заключается в следующем: очистка поверхности, изоляция зубов ватными валиками, высушивание; нанесение препарата одноразовым аппликатором (микробрашем), втирание в эмаль в течение 1-3 мин, снятие ватным тампоном излишков жидкости, промывание водой. При лечении поверхностного кариеса предварительно сошлифовывают острые края эмали. Процедуры повторяют 3-5 раз до получения плотной темной поверхности эмали и дентина. Курсы лечения повторяют через 1-3-6 мес.
При лечении кариеса дентина необходимо предварительно убрать нависающие края эмали и размягченный дентин. Чтобы избежать ожога пульпы при первых обработках кариозной полости, 38% раствор диаминфторида серебра разводят в 3-5 раз дистиллированной водой. Если предполагается дальнейшее пломбирование полостей, то после первой обработки кариозную полость временно пломбируют.
Применение диаминфторида серебра как самостоятельного метода лечения при кариесе дентина показано только при небольшой площади поражения коронки зуба.
Недостатком метода серебрения является изменение цвета зуба, которое затрудняет дальнейшую оценку состояния твердых тканей. Обязательно следует предупреждать родителей об окрашивании измененных тканей зубов в черный цвет и получать их согласие на применение метода серебрения у ребенка.
Малоинвазивные методы лечения
Химико-механический метод препарирования кариозных полостей временных и постоянных зубов проводится с помощью наборов «Кариклинз» и «Carisolv». Перед применением метода очищают зубы от налета с помощью 1% раствора перекиси водорода.
Набор «Carisolv» включает два отдельных или соединенных в систему шприца с реагентами для размягчения кариозного дентина и пять ручных двусторонних инструментов, различных по размеру и форме рабочей части, для выскабливания размягченных тканей.
В одном шприце содержится раствор гипохлорита натрия, в другом - вязкий гель, включающий аминокислоты в низкой концентрации (лизин, лейцин, глута-миновая кислота) и карбоксиметилцеллюлозу. Перед применением содержимое шприцев смешивают вручную или путем выдавливания через одноразовый смеситель. Образующийся прозрачный гель помещают в специальный контейнер, в котором он сохраняет свои свойства в течение 30 мин. Подготовленный гель вносят в кариозную полость с помощью ручного инструмента. Гель действует только на деминерализованные ткани, здоровый дентин не повреждается. В течение 30 с становится заметно помутнение геля из-за растворения кариозного дентина. Размягченный кариозный дентин легко удаляется ручными инструментами выскабливающими и вращательными движениями. Процедуру повторяют до полного удаления измененных тканей. Признак завершения препарирования - сохранение прозрачности последней порции геля. Затем полость пломбируют стеклоионо-мером (перед пломбированием промывать полость не нужно, только высушить с помощью ватного шарика). Химико-механическое препарирование оказывает меньшее травмирующее действие на открытые дентинные трубочки, меньшее раздражение пульпы, не требует обезболивания.
Набор «Кариклинз» (рис. 20-10) содержит 2 шприца (№ 1 и № 2) с аналогичными препарату «Carisolv» гелеобразными реагентами, 6 ручных инструментов и колор-тест для оценки качества препарирования.

Методика применения: в кариозную полость помещают гель № 1 на 30-60 с, промывают, вносят гель № 2 на 30-60 с, затем выскабливают размягченные ткани.
Повторяют процедуру до полного удаления кариозного дентина под контролем колор-теста (кариес-детектора), что позволяет улучшить качество препарирования кариозных полостей химико-механическим методом.
После завершения препарирования проводят пломбирование зуба СИЦ.
К преимуществам химико-механического метода препарирования относят безболезненность, повышение комфорта из-за бесшумности, снижение у детей боязни лечения, безопасность для слизистой оболочки полости рта, максимальное сохранение здоровых тканей зуба, возможность ручного расширения эмалевых краев полости, обеспечение свободного входа в полость и доступа к полостям с нависающими краями, уменьшение трудоемкости обработки кариозной полости.
Среди недостатков метода следует отметить относительную длительность процедуры, неприятный запах препарата, сложность удаления плотного пигментированного дентина и открытия входа в кариозную полость ручными инструментами.
Химико-механический метод препарирования показан к применению в следующих случаях лечения кариеса:
Противопоказание - аллергия к компонентам препарата. Химико-механический метод препарирования кариозных полостей не может полностью заменить традиционное препарирование, однако применение этого метода позволяет уменьшить количество пациентов со стоматофобией, сделать более приятным общение маленьких детей и их родителей с детским стоматологом.
Метод ART широко применяется при лечении кариеса временных зубов. Он предусматривает очищение зубов от налета (1% раствором перекиси водорода) и ручное препарирование кариозных поражений с помощью острых экскаваторов и эмалевого ножа, пломбирование с помощью СИЦ. К преимуществам метода относят бесшумность, уменьшение болезненности (по сравнению с применением бормашины), снижение уровня тревоги и страха у детей и родителей, уменьшение риска случайного вскрытия полости зуба и травмы окружающих тканей, легкость выполнения. Недостатки метода следующие: возможность применения только в открытых полостях, сложность удаления пигментированного дентина, болезненность при удалении инфицированного дентина вблизи рога пульпы и в области эмалево-дентинного соединения, больше времени на препарирование.
Метод ART показан к применению у детей до 3 лет, подвижных и капризных дошкольников, у дошкольников с высоким уровнем тревоги и страха при наличии хорошего доступа к кариозной полости. Противопоказание - отсутствие доступа к кариозной полости может быть преодолено путем предварительного раскрытия входа в кариозную полость с помощью бормашины.
Пломбирование кариозных полостей временных зубов с использованием СИЦ. СИЦ («Цемион», «Аквацем», «Кавитан», «Фуджи IX», «Кетак-моляр», «Ионофил») обладают многими полезными качествами, из которых наиболее важны для детской практики следующие:
-
химическая связь с твердыми тканями зуба, что обеспечивает хорошую адгезию и краевое прилегание материала;
-
содержание фторидов, способность поглощать и выделять фториды, что снижает возможность прогрессирования кариеса, развития вторичного кариеса;
-
низкая чувствительность к действию влаги во время пломбирования зуба, что позволяет избежать применения воздушного пистолета при лечении маленьких детей;
-
легкость приготовления, пластичность, достаточное «рабочее время», что делает его удобным для применения у детей.
Введение в состав СИЦ ионов серебра привело к созданию новых материалов - керметов («Аргецем», «Аргион», «Аргион-моляр»), обладающих выраженным бактерицидным действием.
Методика применения СИЦ и керметов при пломбировании временных зубов одинаковая. Удаляют некротизированные ткани и проводят медикаментозную обработку кариозной полости, изолируют зуб от слюны ватными валиками, высушивают кариозную полость ватным шариком, наносят кондиционер на 10-15 с (согласно инструкции производителя). Затем промывают полость дистиллированной водой и высушивают ватным шариком или губкой. У маленьких и у детей с плохо корректирующимся поведением можно проводить пломбирование без предварительного кондиционирования дентина. Пломбировочный материал замешивают и помещают в кариозную полость одной порцией с небольшим избытком, распределяют и уплотняют с помощью штопфера, осуществляют пальцевое прижатие (через перчатку) в течение 1 мин. Затем острой гладилкой удаляют излишки материала, шаровидным штопфером или пальцем сглаживают материал по границе с эмалью зуба. При пломбировании полостей на контактных поверхностях зубов используют матрицы, на вестибулярных поверхностях - чешуйки. При применении светоотверждаемых материалов после формирования пломбы проводят ее отсвечивание в течение 20 с. На пломбу наносят защитное покрытие (аксил, лак) во избежание избыточного поглощения жидкости. Проверяют окклюзию, при необходимости через 4-5 мин после пломбирования удаляют чрезмерное количество материала с помощью полировочной алмазной головки (без воды), затем вновь наносят водоизоляционное покрытие. По возможности следует избегать применения боров и шлифовальных головок сразу после пломбирования, так как это может вызвать растрескивание пломбы, вылущивание поверхности. Небольшое завышение окклюзии допустимо, так как стеклоиономер стирается и пришлифовывается в процессе жевания. У маленьких детей лучше всего сразу формировать пломбу таким образом, чтобы избежать необходимости ее дальнейшей обработки. Окончательную обработку пломбы при необходимости лучше проводить во второе посещение.
ПРОГНОЗ
Прогноз лечения кариеса временных зубов благоприятный при небольших и неглубоких кариозных поражениях у детей дошкольного возраста с низкой активностью кариеса. Прогноз заболевания неблагоприятный при обширных поражениях, распространяющихся на глубокие слои дентина, у детей раннего возраста и при высокой активности течения кариеса в связи с высокой вероятностью развития осложнений кариеса после лечения. Устранение действующих кариесогенных факторов путем улучшения общего здоровья ребенка, оптимизации питания и гигиены полости рта, других мер, а также повышение кариесрезистентности зубов вследствие системной и местной терапии (фториды и др.) снижают риск развития кариеса и ведут к стабилизации процесса. Наоборот, развитие кариесогенной ситуации, включение новых кариесогенных факторов (например, заболевание ребенка) ведут к повышению риска дальнейшего развития кариеса и неблагоприятному прогнозу возникновения как первичного, так и вторичного и рецидивного кариозного поражения зубов.
СПИСОК ЛИТЕРАТУРЫ
Велбери Р.Р., Даггал М.С., Хози М.-Т. Детская стоматология: руководство: пер. с англ. / под ред. Л.П. Кисельниковой. - М.: ГЭОТАР-Медиа, 2013. - 456 с.
Виноградова Т.Ф. Атлас по стоматологическим заболеваниям у детей. - М.: МЕДпресс-информ, 2007. - 164 с.
Даггал М.С., Керзон М.Е.Дж., Фэйл С.А. и др. Лечение и реставрация молочных зубов: пер. с англ. / под ред. Т.Ф. Виноградовой. - М.: МЕДпресс-информ, 2006. - 159 с.
Детская терапевтическая стоматология: учебное пособие / под ред. Л.П. Кисельниковой. - М., 2010. - 208 с.
Кисельникова Л.П., Зуева Т.Е., Кружалова О.А. и др. Кариес временных зубов у детей раннего возраста: обоснование этиопатогенетических подходов к профилактическому лечению // Стоматология детского возраста и профилактика. - 2007. - № 2. - С. 19-22.
Маслак Е.Е., Родионова А.С., Яновская М.Л., Ставская С.В. Современные концепции лечения кариеса молочных зубов у детей раннего возраста // Клиническая стоматология. - 2015. - № 3 (75). - С. 4-8.
Маслак Е.Е., Фурсик Д.И., Куюмджиди Н.В., Хмызова Т.Γ. и др. Лекарственные средства, применяемые в комплексном лечении дошкольников с высокой активностью кариеса зубов // Лекарственный вестник. - 2010. - № 5 (37). - Т. 5. - С. 3-9.
Пахомов Г.Н., Леонтьев В.К. Атравматичное восстановительное лечение кариеса зубов. - Москва; Женева: Инкорал; КМК-Инвест, 2004. - 112 с.
Справочник по детской стоматологии / под ред. A. Камерона, Р. Уидмера; пер. с англ. под ред. Т.Ф. Виноградовой, Н.В. Гинали, О.З. Топольницкого. М.: МЕДпресс-информ, - 2010. - 392 с.
Токарева А.В., Кисельникова Л.П. Опыт применения стандартных защитных коронок при лечении временных зубов // Стоматология детского возраста и профилактика. - 2010. - № 1. - С. 9-13.
American Academy of Pediatric Dentistry. Guideline on pediatric restorative dentistry // Pediatr. Dent. - 2012. - Vol. 34. - P. 173-180.
Arrow P. Restorative Outcomes of a Minimally Invasive Restorative Approach Based on Atraumatic Restorative Treatment to Manage Early Childhood Caries: A Randomised Controlled Trial // Caries Res. - 2015. - Vol. 50, N 1. - P. 1-8.
Koch G., Poulsen S. Pediatric Dentistry: A Clinical Approach. 2nd ed. - Ames, Iowa: Wiley-Blackwell, 2009. - 376 p.
Manton D. Partial caries removal may have advantages but limited evidence on restoration survival // Evid. Based Dent. - 2013. - Vol. 14. - P. 74-75.
McDonald R.E., Avery D.R., Dean J.A. Dentistry for the Child and Adolescent. 8th ed. - Mosby, 2015. - 720 p.