avatar

Детская терапевтическая стоматология

Детская терапевтическая стоматология / под ред. Леонтьева В. К. , Кисельниковой Л. П. - Москва : ГЭОТАР-Медиа, 2019. - 952 с. (Серия "Национальные руководства") - ISBN 978-5-9704-4974-5

Аннотация

Национальное руководство по детской терапевтической стоматологии представляет собой второе издание, дополненное и усовершенствованное его авторами в соответствии с развитием специальности и предложениями коллег.

Данное руководство состоит из книги и электронного приложения, содержит современную и актуальную информацию по общим и частным вопросам детской терапевтической стоматологии и профилактике стоматологических заболеваний в детском возрасте, изложенную с позиций доказательной медицины. Издание содержит большое количество иллюстраций, описание технологий, фармакологический справочник и приложения.

Электронное приложение включает основные нормативные документы, регламентирующие деятельность детских врачей-стоматологов и детской стоматологической службы в Российской Федерации, образцы учетно-отчетной документации и описание порядка заполнения медицинской документации. Кроме того, в нем представлены компьютерные программы по составлению схем индивидуальной профилактики кариеса и заболеваний пародонта для детей и подростков.

Руководство предназначено врачам-стоматологам, клиническим ординаторам, интернам, студентам старших курсов стоматологических факультетов.

Д38

Глава 31. Заболевания пародонта

АНАТОМО-ФИЗИОЛОГИЧЕСКИЕ ОСОБЕННОСТИ ПАРОДОНТА У ДЕТЕЙ

Пародонт - комплекс функционально взаимосвязанных тканей, окружающих зуб. К тканям пародонта относятся:

  • десна;

  • периодонт (периодонтальная связка);

  • костная ткань альвеолы с надкостницей (альвеолярная кость);

  • цемент корня зуба.

Ткани пародонта имеют общие источники иннервации и кровоснабжения. Несмотря на различие строения составляющих элементов, между развитием, функцией и болезнями пародонта существует тесная связь. Эмбриологическая связь подтверждается тем, что все составные части пародонта, кроме десны, развиваются из окружающей зубной зачаток соединительной ткани. Физиологическая связь проявляется в фиксирующей функции тканей пародонта: при потере зуба весь пародонт рассасывается. Патогенетическая связь проявляется распространением патологических процессов с отдельных тканей пародонта на остальные его части.

У детей ткани пародонта длительно находятся в состоянии физиологического напряжения, что связано с формированием, развитием, прорезыванием и рассасыванием временных и постоянных зубов. Основная анатомо-физиологическая особенность пародонта в детском возрасте - постоянная перестройка тканей. У новорожденных пародонт представлен десневыми валиками. По мере прорезывания и формирования корней временных зубов образуется полный комплекс пародонта отдельных зубов, группы зубов и всех зубов временного прикуса. Одновременно с рассасыванием корней и выпадением временных зубов рассасываются и ткани пародон-та. Затем пародонтальный комплекс формируется вновь, в соответствии с прорезыванием и формированием постоянных зубов. Ткани пародонта постоянного прикуса полностью формируются к 15-16 годам. Знание особенностей строения пародонта у детей необходимо врачу, чтобы отличить возрастную норму от патологического процесса.

Десна

  • У детей в возрасте до 2-3 лет десна ярко окрашена из-за обильного кровоснабжения и тонкого слоя эпителия. Кератинизация эпителия слабо выражена, его базальная мембрана тонкая, легко травмируется. С возрастом толщина эпителия увеличивается, ороговение становится более выражено, базальная мембрана утолщается, ее коллагеновые структуры становятся более плотными и упорядоченными; десна приобретает розовый, в период постоянного прикуса - бледно-розовый цвет.

  • Зернистость поверхности десны у детей в возрасте до 5-6 лет не выражена из-за незначительного углубления эпителиальных сосочков. В старшем возрасте эпителиальные сосочки становятся глубже и приобретают более рельефную форму, появляется выраженная зернистость поверхности десны (симптом «лимонной корочки»); ее уменьшение или отсутствие - признак отека и воспаления.

  • Десневые бороздки у детей до 13-14 лет глубокие (до 2-3 мм), особенно в области прорезывающихся зубов, поэтому при массовых обследованиях населения глубину десневых карманов измеряют у детей с 15 лет.

  • Форма десневых сосочков изменчива.

    • У детей раннего возраста десневые сосочки маленькие, напоминают пирамидку с острой вытянутой вершиной у фронтальных зубов и сглаженной - у моляров.

    • С 3-4 лет, по мере образования физиологических диастем и трем, десневые сосочки уплощаются и становятся шире.

    • После выпадения или удаления временных зубов десневые сосочки рассасываются.

    • В процессе прорезывания постоянных зубов десневые сосочки формируются вновь, они большего размера, чем в период молочного прикуса, и создают фестончатую форму десневого края.

  • Форма десневого сосочка зависит от расстояния между зубами.

    • При наличии диастем и трем десневые сосочки трапециевидной формы со сглаженными вершинами.

    • При тесном положении зубов десневые сосочки узкие, вытянутые, с острыми вершинами.

  • Низкая плотность соединительной ткани десны в период временного прикуса объясняется небольшим количеством волокнистых структур, незрелостью и недостаточной ориентированностью коллагеновых волокон, преобладанием клеточных элементов, в основном фибробластов, и отсутствием эластических волокон. У детей старшего возраста коллаген постепенно созревает, снижается проницаемость гистогематических барьеров, появляются периваскулярные скопления лимфоцитов и гистиоцитов, что снижает склонность к диффузным реакциям и создает предпосылки к затяжному течению патологических процессов в десне.

  • У детей раннего возраста в слизистой оболочке десны содержится большое количество гликогена, а к моменту формирования временного прикуса гликоген в эпителии десны не обнаруживается. Появление гликогена в десне у детей старшего возраста - признак воспаления, поэтому пробу Шиллера-Писарева проводят только у детей старше 3 лет.

  • Десна хорошо иннервируется, имеет богатое лимфо- и кровоснабжение во все периоды детского возраста.

  • Прорезывание временных и постоянных зубов может сопровождаться отеком, гиперемией и утолщением десневого края, увеличением глубины зубо-десневого желобка на величину непрорезавшейся коронки (до 1 см), подвижностью зубов I степени из-за малой длины корня. Возможно образование кисты (киста прорезывания), которая рассасывается после прорезывания зуба и, как правило, не требует лечения.

Цемент корня

Цемент корня временных и постоянных зубов у детей более тонкий, менее плотный, чем у взрослых. Он содержит больше цементобластов, коллагеновых структур и воды, меньше гидроксиапатита и предрасположен к гиперплазии в участках прикрепления эпителия. Бесклеточный цемент образуется одновременно с формированием корней зубов и покрывает всю их поверхность. Клеточный цемент образуется после того, как прорезывающийся зуб начинает контактировать с антагонистом. Клеточный цемент обнаруживается:

  • в период временного прикуса - в области верхушек корней зубов;

  • в период сменного прикуса - покрывает 1/2 длины корней временных моляров (в связи с резорбцией корней число клеток цемента увеличивается);

  • в период постоянного прикуса - в апикальной трети корней зубов и межкорневой области корней моляров и премоляров.

Периодонтальная связка

  • Формируется по мере созревания корня зуба, в несформированных корнях переходит в зону роста.

  • Расширена, рыхлая, коллагеновые структуры представлены тонкими, нежными, в основном незрелыми волокнами.

  • Гидратирована, так как содержит много межуточного вещества и характеризуется усиленным лимфо- и кровотоком.

  • Содержит много клеточных, в том числе незрелых, элементов, преимущественно фибробластов.

  • Хорошо иннервирована.

  • В момент прорезывания зуба через гребень альвеолярного отростка волокнистые структуры соединительной ткани зубного мешочка соединяются с коллагеновыми волокнами десны и образуют комплексы волокон.

  • С трехлетнего возраста в сформированном периодонте временных зубов обнаруживают зихеровское сплетение - пучки волокон, идущие параллельно длинной оси зуба и образующие промежуточное сплетение, наличие которого объясняется приспособленностью периодонта к вертикальному прорезыванию. В период сменного прикуса (9 лет) эти волокна начинают изменять свое направление, располагаясь под углом 45° к оси зуба сверху вниз, а в период постоянного прикуса они еще сохраняются, но по числу значительно уступают другим видам волокон.

Альвеолярная кость

Альвеолярная кость представлена межальвеолярными и межкорневыми перегородками, стенками альвеол и формируется одновременно с развитием корня каждого зуба. В альвеолярной кости у детей постоянно происходят динамические процессы резорбции и аппозиции. В период физиологической смены прикуса стенки зубных альвеол, межальвеолярные и межкорневые перегородки рассасываются одновременно с резорбцией корней временных зубов. В постоянном прикусе процессы аппозиции преобладают, поэтому масса альвеолярной кости постепенно нарастает даже после прекращения роста корней зубов.

Характеристики альвеолярной кости

  • Крупноячеистая структура, малая степень минерализации, высокая проницаемость для макро- и микроэлементов.

  • Плоский гребень, тонкая надкостница (решетчатая, твердая, кортикальная пластинка - другие названия надкостницы).

  • Преобладание губчатого вещества над компактным.

  • Увеличение пространств, содержащих костный мозг, в губчатом веществе и малое количество тонких, нежных, редко расположенных трабекул.

  • Наличие в широких каналах остеонов красного костного мозга с активной гемопоэтической функцией.

  • Усиленное лимфо- и кровоснабжение.

В период постоянного прикуса грубоволокнистая костная ткань альвеолярных отростков трансформируетя в тонковолокнистую компактную кость с хорошо выраженными остеонами, которые впервые появляются в период сменного прикуса, к 9-11 годам.

Структуру альвеолярной кости изучают по данным рентгенологического исследования. С диагностической целью у детей рациональнее проводить панорамную рентгенографию и ортопантомографию. В детском возрасте рентгенологические признаки патологии и проявления процесса формирования структур пародонта схожи, поэтому для детских стоматологов важно знать возрастные характеристики нормы.

Рентгенологическая картина тканей пародонта у детей

  • Для межзубных перегородок разных участков зубного ряда характерны разные очертания, форма вершин перегородок и их высота соответствуют форме зубов и расстоянию между ними.

  • В период временного прикуса вершины перегородок между центральными резцами:

    • на нижней челюсти раздвоены часто, на верхней - всегда;

    • имеют разный уровень высоты справа и слева;

    • достигают уровня эмалево-цементного соединения или расположены вблизи него;

    • имеют округлые или остроконечные очертания во фронтальном отделе;

    • уплощаются при появлении диастем и трем.

  • Вершины межзубных перегородок между молярами всегда плоские.

  • В период постоянного прикуса вершины межзубных перегородок контурируются в боковых участках - на уровне, во фронтальном участке - за уровнем эмалево-цементного соединения.

  • Форма вершин межзубных перегородок:

    • во фронтальном участке - копьевидная, заостренная или округлая;

    • между центральными резцами часто раздвоена;

    • в боковых участках - округлая.

  • При наличии трем и диастем вершины межзубных перегородок снижаются и уплощаются.

  • Независимо от формы вершины и высоты межальвеолярных перегородок они всегда окаймлены непрерывным четко выраженным компактным слоем.

  • Деструктивные патологические процессы в пародонте проявляются сначала нечеткостью структуры, затем - резорбцией кортикальной пластинки на вершинах межзубных перегородок.

  • После выпадения или удаления временного или постоянного зуба альвеолярные перегородки атрофируются.

  • Чтобы отличать период прорезывания зубов от патологических проявлений, нужно знать следующие особенности.

    • В период прорезывания вершины межзубных перегородок выглядят срезанными в сторону прорезывающегося зуба и не достигают эмалево-цементного соединения.

    • В период прорезывания компактная пластинка утолщена и периодонтальная щель расширена, что создает картину «костного кармана».

    • Стенки этого «костного кармана» - поверхность коронки прорезывающегося зуба с одной стороны и утолщенная компактная пластинка межзубной перегородки - с другой.

    • После завершения прорезывания межзубные перегородки принимают очертания, характерные для данного участка зубного ряда.

  • Линии сращения межальвеолярных перегородок выявляются в виде темных полосок вследствие их недостаточной минерализации.

  • Периодонтальные щели всех зубов у детей и подростков почти в 2 раза шире, чем у взрослых, а компактные пластинки более широкие, но менее интенсивные.

  • Рисунок губчатого вещества кости в норме различен у разных детей одного возраста.

    • В период временного прикуса рисунок костной ткани крупнопетлистый, плохо выражен, четко контурируются лишь кортикальные пластинки фолликулов постоянных зубов и периодонта временных. Основные балки, расположенные по силовым линиям, выражены плохо.

    • В период постоянного прикуса: - костная ткань сформирована;

      • губчатое вещество и решетчатые пластинки четко выражены;

      • рисунок костной ткани на верхней челюсти и во фронтальном отделе нижней челюсти - крупнопетлистый, в боковых отделах нижней челюсти - мелкопетлистый;

      • костные балочки утолщены, горизонтально направлены на нижней челюсти и вертикально - на верхней.

  • Интенсивность дифференцировки кости определяется не столько возрастом ребенка, сколько функциональной жевательной нагрузкой.

  • Основные рентгенологические симптомы патологии тканей пародонта:

    • деструкция вершин и снижение высоты межальвеолярных перегородок;

    • расширение периодонтальной щели и образование костных карманов;

    • остеопороз альвеолярной кости.

Для формирования здоровых структур пародонта важна гармония последовательности и сроков смены отдельных групп зубов, их размеров и соответствия размерам челюстей, а также гармония функциональной нагрузки. Качественные изменения структуры, пороки строения или разрушения могут возникать под влиянием различных факторов - генетических, гормональных, иммунологических и др. В детском возрасте патологические процессы протекают в морфологически несовершенной структуре пародонта, поэтому заболевания возникают даже при обычной функциональной нагрузке, а тем более при аномалиях функций, пара-функциях жевательных, мимических мышц и мышц языка и наличии вредных привычек. Знание особенностей формирования и строения тканей пародонта позволит снизить вероятность диагностических ошибок и улучшить результаты лечения заболеваний пародонта у детей.

КОДЫ ПО МКБ-10

По классификации МКБ-10 болезни пародонта относятся к группе заболеваний органов пищеварения (класс XI), разделу «Болезни полости рта, слюнных желез и челюстей».

  • К05. Гингивит и болезни пародонта.

    • К05.0. Острый гингивит.

    • К05.1. Хронический гингивит.

    • К05.2. Острый пародонтит.

    • К05.3. Хронический пародонтит.

    • К05.4. Пародонтоз.

    • К05.5. Другие болезни пародонта.

  • К06. Другие изменения десны и беззубого альвеолярного края.

    • К06.0. Рецессия десны.

    • К06.1. Гипертрофия десны.

    • К06.2. Поражения десны и беззубого альвеолярного края, обусловленные травмой.

    • К06.8. Другие уточненные изменения десны и беззубого альвеолярного края.

    • К06.9. Изменение десны и беззубого альвеолярного края неуточненное.

ЭПИДЕМИОЛОГИЯ

Заболевания пародонта, возникающие в детском возрасте, - основная причина потери зубов у взрослых после 40 лет, что объясняет их большую медико-социальную значимость.

Распространенность заболеваний пародонта у детского населения России составляет от 0-50% (низкая) до 81-100% (высокая). У детей в возрасте до 10 лет заболевания пародонта встречаются редко (5-40%) и чаще вызваны местными факторами. Повышение частоты заболеваний пародонта в период полового созревания связано с гормональной перестройкой организма подростков. Распространенность признаков патологии пародонта составляет у детей в возрасте 12 лет - 48,2%, 15 лет - 56,8%. По данным индекса CPI, у детей преобладают кровоточивость десны и зубной камень; пародонтальные карманы встречаются редко.

В детском возрасте основное заболевание пародонта - хронический катаральный гингивит, который протекает без ярких клинических проявлений и не вызывает беспокойства детей. К стоматологу дети попадают при прогрессировании заболевания и развитии осложнений. Для выявления первых признаков заболеваний пародонта и проведения комплекса лечебно-профилактических мер необходимо ежегодное профилактическое обследование здоровых детей. Признаки патологии пародонта могут быть первыми симптомами серьезных заболеваний организма (эндокринных, гематологических и др.), что повышает ответственность детского стоматолога за их своевременное выявление и лечение.

ПРОФИЛАКТИКА

Профилактика заболеваний пародонта направлена на устранение факторов риска.

Первичная профилактика - предупреждение заболеваний пародонта. Она включает основные меры (гигиеническое воспитание населения, рациональное питание и физическая культура детей и взрослых, предупреждение общесоматических заболеваний и др.) и вспомогательные или специальные меры (обучение гигиене полости рта и контроль ее качества, использование специальных средств и предметов гигиены, профессиональная гигиена полости рта и др.).

Вторичная профилактика - выявление и лечение ранних стадий болезней пародонта для предупреждения прогрессирования и сохранения функции тканей пародонта и зубов.

Третичная профилактика - восстановление функции жевательного аппарата: шинирование зубов, протезирование, имплантаты и др.

Профилактика заболеваний пародонта зависит от возраста пациента. У детей раннего возраста она направлена на полноценное развитие тканей пародонта, формирование функции жевания, предупреждение кариеса зубов и ЗЧА.

В дошкольном возрасте важны обучение гигиене полости рта и контроль ее качества, употребление твердой пищи для хорошей функции жевания, коррекция функций дыхания и глотания, устранение вредных привычек, санация полости рта, при необходимости - ортодонтическое лечение, профилактическое протезирование, миогимнастика для мышц челюстно-лицевой области, пластика уздечки языка (5-6 лет).

У школьников особенно важны полноценная индивидуальная гигиена полости рта, включающая интердентальную очистку и противовоспалительные средства гигиены, регулярная профессиональная гигиена, контроль окклюзионных контактов формирующегося постоянного прикуса, регулярная санация, при необходимости - коррекция уздечек губ, преддверия рта, ортодонтическое лечение, лечение начальных стадий заболеваний пародонта. Необходимо поддержание хорошего уровня слюноотделения, равномерной жевательной нагрузки, своевременное устранение ретенционных пунктов формирования зубных отложений (замена некачественных пломб, полирование пломб и т.д.).

Раннее выявление и своевременное устранение общих факторов риска (эндокринные заболевания, нарушения обмена веществ, болезни крови и др.) позволяют предотвратить болезнь или уменьшить патологические изменения тканей пародонта, устранить которые невозможно. Важный этап профилактики - диспансеризация.

Диспансеризация

Основные задачи диспансеризации - динамическое наблюдение для выявления и устранения факторов риска и ранних форм заболевания, проведение комплексных лечебно-профилактических и социально-гигиенических мероприятий, позволяющих сохранить функции ЗЧС. Так как отдельная детская пародонтологическая служба не выделяется, дети с заболеваниями пародонта наблюдаются в основных диспансерных группах.

Детей с факторами риска заболеваний пародонта без других сформированных стоматологических заболеваний наблюдают во второй диспансерной группе и осматривают каждые 5-6 мес. С детьми и родителями проводят санитарно-просветительскую, воспитательную и обучающую работу для устранения факторов риска болезней пародонта. При наличии у ребенка других стоматологических заболеваний (кариес зубов, ЗЧА и др.) диспансерная группа определяется по основному заболеванию.

Детей с заболеваниями пародонта в раннем возрасте включают в третью диспансерную группу, в дошкольном возрасте - в пятую группу (осмотры не реже чем через 3 мес, проведение комплекса лечебно-профилактических мероприятий). Школьников с гингивитом, вызванным местными, легко устранимыми факторами, наблюдают в третьей диспансерной группе (лечебный комплекс ежегодно, профилактические мероприятия каждые 5-6 мес). В эту же группу включают детей после операций по поводу пародонтом и детей с ремиссией заболеваний пародонта. Если гингивит вызван зубочелюстными аномалиями, проводится ортодонтическое лечение, и школьников наблюдают в четвертой диспансерной группе (лечебный комплекс дважды в год, профилактические мероприятия каждые 3-4 мес). При локализованном или генерализованном пародонтите, пародонтозе, патологии пародонта, вызванной заболеваниями внутренних органов (идиопатические заболевания пародонта, пародонтальный синдром), при сочетании заболеваний пародонта с кариесом зубов и зубочелюстными аномалиями различной степени тяжести детей включают в пятую диспансерную группу (лечебно-профилактические мероприятия 5-6 раз в год).

Основной критерий перевода детей с заболеваниями пародонта в первую диспансерную группу (здоровые) - полное выздоровление в результате устранения причин и/или предрасполагающих факторов и проведения лечебно-профилактических мероприятий, либо стойкая многолетняя ремиссия.

Систематически оценивают эффективность диспансеризации детей, определяя следующие критерии.

  • Выздоровление.

  • Улучшение (ремиссия).

  • Состояние без изменения (стабилизация).

  • Ухудшение.

КЛАССИФИКАЦИЯ

В практической стоматологии в нашей стране наиболее часто применяется классификация 1983 г. с учетом внесенных изменений на заседании секции пародонто-логии стоматологической ассоциации России в 2001 г.

  1. Гингивит - воспаление десны, обусловленное неблагоприятным воздействием местных и общих факторов, которое протекает без нарушения целостности зубодесневого прикрепления и проявлений деструктивных процессов в других отделах пародонта.

Формы: катаральный, язвенный, гипертрофический.

Течение: острое, хроническое.

Фазы процесса: обострение, ремиссия.

Тяжесть: не выделяют. Только в отношении гипертрофического гингивита дополнительно указывают степень разрастания мягких тканей: до 1/3 , до 1/2 , более 1/2 высоты коронки зуба, а также форму гипертрофии: отечная или фиброзная.

Причиной того, что тяжесть катарального и язвенного гингивита не дифференцируется, является отсутствие на сегодняшний день четких и устойчивых объективных критериев.

Распространенность процесса: локализованный (очаговый), генерализованный.

  1. Пародонтит - воспаление тканей пародонта, характеризующееся прогрессирующей деструкцией связочного аппарата периодонта и альвеолярной кости.

Течение: хроническое, быстропрогрессирующее.

Фазы процесса: обострение (абсцедирование), ремиссия.

Тяжесть определяется по клинико-рентгенологической картине; основным ее критерием является степень деструкции кости альвеолярных отростков. Степень тяжести процесса:

  • легкая степень - пародонтальные карманы не более 4 мм;

  • средней тяжести - карманы от 4 до 6 мм;

  • тяжелый - глубина карманов более 6 мм.

Распространенность процесса: локализованный (очаговый), генерализованный.

  1. Пародонтоз - атрофически-дистрофический процесс, распространяющийся на все структуры пародонта. Его отличительной чертой является отсутствие воспалительных явлений в десневом крае, отсутствие пародонтальных карманов.

Течение: хроническое.

Тяжесть процесса: легкая, средняя, тяжелая - в зависимости от степени обнажения корней зубов (до 4 мм, 4-6 мм, более 6 мм).

Распространенность: процесс только генерализованный.

  1. Синдромы, проявляющиеся в тканях пародонта. Эта классификационная группа обозначалась раньше как идиопатические заболевания пародонта с прогрессирующим лизисом кости. В данную группу включены поражения паро-донта при симптомах Папийона-Лефевра, Иценко-Кушинга, эозинофильной гранулеме (болезни Таратынова), болезнях крови и т.д.

  1. Пародонтомы - опухоли и опухолеподобные процессы в пародонте: фибро-матоз десен, пародонтальная киста, эпулис.

Течение: хроническое.

Распространенность процесса: локализованный (очаговый), генерализованный.

Формы: выделяются только для эпулиса по гистологической картине.

В 1999 г. международной группой экспертов была предложена новая классификация заболеваний и состояний пародонта, основанная на этиологических и патогенетических принципах.

Согласно этой подробной классификации выделяют восемь групп патологии пародонта.

  • Гингивит.

    • Гингивит, обусловленный зубной бляшкой.

      • Гингивит, вызванный зубной бляшкой (с наличием или без других местных факторов). - Гингивит, модифицированный системными факторами:

      • ассоциированный с эндокринной системой (пубертатный, связанный с менструальным циклом, беременностью, обусловленный диабетом);

      • ассоциированный с болезнями крови (лейкемия и др.). - Гингивит, обусловленный приемом медикаментов.

      • Гингивит, обусловленный недостатками питания (дефицит аскорбиновой кислоты и др.).

    • Гингивит, не связанный с зубной бляшкой.

      • Гингивит специфического бактериального происхождения, вызванный гонококком, бледной трепонемой, стрептококковыми штаммами (Str. viri-dans, Str.pyogenes).

      • Гингивит вирусного происхождения (герпетическая инфекция и др.).

      • Гингивит грибкового происхождения (кандидоз, гистоплазмоз и др.).

      • Заболевания десны генетического происхождения (фиброматоз десны и др.).

      • Гингивиты как проявления системных заболеваний:

      • при заболеваниях кожи и слизистой оболочки (красный плоский лишай, пемфигоид, многоформная эритема, красная волчанка и др.);

      • при аллергических реакциях [на стоматологические материалы (ртуть, никель, пластмасса и др.), зубную пасту, ополаскиватель, жевательную резинку, продукты, пищевые добавки и др.].

      • Травматические повреждения (ятрогенные, случайные): химическая, механическая, термическая травма. - Реакция на инородное тело. - Другой неспецифический гингивит.

  • Хронический пародонтит (локализованный, генерализованный).

  • Агрессивный пародонтит (локализованный, генерализованный).

  • Пародонтит как проявление системных заболеваний.

    • Ассоциированный с гематологическими нарушениями: приобретенная ней-тропения, лейкемия и др.

    • Ассоциированный с генетическими нарушениями: семейная или циклическая нейтропения, синдром Дауна, синдром дефицита адгезии лейкоцитов, синдром Папийона-Лефевра, гистиоцитозы, агранулоцитоз, гипофосфатазия и др.

    • Другой неспецифический пародонтит.

  • Некротизирующие заболевания пародонта (некротизирующий язвенный гингивит/пародонтит).

  • Абсцессы пародонта (десневой, пародонтальный, перикорональный).

  • Пародонтит, ассоциированный с эндодонтическим повреждением.

  • Врожденные и приобретенные аномалии и состояния.

    • Локализованные факторы, изменяющие или предрасполагающие к заболеваниям десны/пародонта, вызванным зубной бляшкой.

      • Анатомия зуба.

      • Реставрации.

      • Использование аппаратов.

      • Переломы корней.

      • Разрушение шейки зуба, цемента.

    • Мукогингивальная рецессия.

      • Рецессия десны и/или мягких тканей (вестибулярно и/или язычно, межзубно и/или папиллярно).

      • Недостаток кератинизированной десны.

      • Мелкое преддверие рта.

      • Неправильное прикрепление уздечек (тяжей).

      • Избыток десны (ложный карман, неровный десневой край, избыточная десна, разрастание десны, изменение цвета).

    • Мукогингивальные нарушения и состояния беззубого гребня.

      • Вертикальный или горизонтальный дефицит гребня.

      • Недостаток десневых кератинизированных тканей.

      • Разрастание десны/мягких тканей.

      • Неправильное прикрепление уздечек (тяжей).

      • Мелкое преддверие рта.

      • Нарушение цвета.

    • Окклюзионная травма (первичная, вторичная).

ЭТИОЛОГИЯ И ПАТОГЕНЕЗ

В детском возрасте чаще встречаются воспалительные заболевания пародонта, причинами которых являются разнообразные эндогенные и экзогенные факторы. Морфологические и патофизиологические варианты течения заболевания больше зависят от локализации и длительности действия, чем от вида этиологического фактора. Выраженность клинических проявлений, интенсивность и распространенность воспалительной реакции зависят от физиологических защитных механизмов тканей пародонта, силы и характера ответной реакции организма. Патогенез болезней пародонта зависит от причины, вызвавшей воспаление, и ответной реакции тканей десны, которая определяется морфологическими и функциональными особенностями строения пародонта и гомеостазом организма ребенка в данном возрасте.

Заболевания пародонта у детей чаще вызваны местными факторами, а в период полового созревания - гормональными изменениями.

Местные факторы заболеваний пародонта

Биологическое повреждение тканей пародонта

Биологическое повреждение тканей пародонта обусловлено воздействием микроорганизмов зубной биопленки (бляшки). В 1 мл слюны содержится от 93 млн до 5,5 млрд бактерий, в десневом желобке и зубной биопленке - до 200 млрд на 1 г зубных отложений. Биопленка на гладких поверхностях зубов, в щелях и ямках содержит стрептококки, грамположительные ветвящиеся и неветвящиеся бактерии и анаэробные грамотрицательные кокки. Десневая борозда обычно заселена строгими анаэробами (Bacteroides и Fusobacterium) и малым числом спирохет. У лиц со здоровым пародонтом под десной на поверхности зуба выявляется ограниченное число микроорганизмов (слой от 1 до 20 клеток, преимущественно грамположительные кокки). Сапрофитные микроорганизмы выделяют экзотоксины, к которым тканевые структуры полости рта невосприимчивы. При гингивите общее число микроорганизмов увеличивается в 10-20 раз, преобладает грамотрицательная анаэробная флора, кокки замещаются палочковидными формами, которые хорошо размножаются в бедной кислородом среде зубной биопленки. Преобладание различных видов актиномицетов часто предшествует развитию гингивита. К пародонтопатогенным относят 10-15 видов различных бактерий, прежде всего Porphyromonas gingivalis, Prevotella melaninogenica, Actinobacillus actinimycetemcomitans.

Основные свойства пародонтопатогенной микрофлоры

  • Устойчивость к иммунитету «хозяина». Один из возможных механизмов - выработка лейкотоксинов, поражающих полиморфноядерные лейкоциты и моноциты человека, что подавляет иммунитет организма и способствует развитию агрессивных форм пародонтита у детей.

  • Способность к адгезии на эпителий, гидроксиапатит и бактерии биопленки с использованием гидрофобного и лиганд-рецепторного механизмов.

  • Возможность продуцировать патогены, повреждающие клетки, соединительнотканные образования и основное вещество [представляет собой коллоид, образованный высокомолекулярными мукополисахаридами, входит в состав межклеточного вещества (является частью межклеточного матрикса)].

    • Медиаторы воспаления и стимуляторы хемотаксиса.

    • Гидролитические и протеолитические ферменты.

    • Экзо- и эндотоксины.

    • Цитотоксины.

    • Гемотоксические факторы.

    • Антигены и другие активные субстанции.

  • Синтез патогенов, которые деполимеризуют межуточное вещество эпителия, повышают проницаемость тканей, дезорганизуют коллагеновые структуры соединительной ткани и увеличивают проницаемость капилляров, способствуют интенсивной защитной воспалительной реакции. Воспаление возникает через 2-4 дня после появления бактериального налета, в эти сроки оно полностью обратимо и проявляется характерными признаками:

    • отек десны;

    • повышение миграции лейкоцитов в зубодесневой борозде;

    • выброс вазоактивных медиаторов (гистамин, серотонин);

    • усиление проницаемости сосудов;

    • развитие поверхностного, а затем и глубокого поражения тканей пародонта.

  • Способность вызывать эндотоксикоз, который проявляется:

    • повышением выработки антител, изменяющих местную реактивность;

    • образованием и фиксацией в тканях пародонта циркулирующих иммунных комплексов;

    • активизацией системы комплемента и развитием аутоиммунного воспаления.

Патогенные анаэробные бактерии часто встречаются при массивных скоплениях зубных отложений, так как они активно размножаются только в глубоких, лишенных кислорода слоях. Между организмом «хозяина» и пародонтопатогенной бактериальной флорой длительное время может поддерживаться определенный баланс, сопровождающийся клинической ремиссией. Снижение специфических и неспецифических механизмов местной и общей защиты организма всегда вызывает резкую активацию микробных скоплений. В ответ развивается воспалительная реакция (обострение заболевания), призванная нейтрализовать ферменты и токсины, выделяемые микроорганизмами и разрушающие ткани, а также уничтожить сами микробные клетки.

Зубной камень - дополнительный фактор повреждения: оказывая механическое давление, он нарушает кровоснабжение и трофику тканей пародонта, способствует их атрофии. Благодаря способности накапливать химические вещества, например соли тяжелых металлов, радионуклиды, зубной камень может оказывать токсическое действие на ткани пародонта и организм в целом. Наддесневой и поддесневой зубной камень всегда покрыт биопленкой, микроорганизмы которой оказывают патогенное действие на внешней и внутренней поверхности десны: в десневой бороздке, зубодесневом и костном карманах. Скорость и интенсивность образования зубной биопленки и зубного камня зависят от реактивности организма, секреции и свойств слюны, характера питания и гигиены полости рта, многих других факторов.

Защитные механизмы, препятствующие прикреплению и размножению микробов на поверхности зуба, одновременно предотвращают воспаление краевого пародонта. Пищевые остатки, попадая под десну и накапливаясь в десневой бороздке, зубодесневых и костных карманах, подвергаются гниению и брожению, вызывая воспалительную реакцию окружающих тканей пародонта. Кроме того, они служат средой для размножения бактерий. Неудовлетворительная гигиена полости рта с накоплением мягкого налета, зубной биопленки и зубного камня - основной местный фактор воспалительных заболеваний пародонта.

Стрептококковая микрофлора (Str. viridans, Str. pyogenes), гонококк, фузоспириллярный комплекс (фузобактерии, боррелии, трепонемы) вызывают заболевания десны, которые редко бывают изолированными и сопровождаются местными изменениями в полости рта и общей реакцией организма.

Механическое повреждение тканей пародонта

Механическое повреждение тканей пародонта способствует развитию острых и хронических заболеваний пародонта. Острая механическая травма десны во время приема пищи, чистки зубов, стоматологического лечения и других ситуаций может способствовать развитию острого гингивита или пародонтита, которые обычно локализованы и быстро проходят после устранения причины. Длительное механическое воздействие на ткани пародонта способствует развитию хронического воспалительного процесса.

Факторы хронического механического повреждения тканей пародонта

  • ЗЧА - одна из причин неравномерной жевательной нагрузки зубов и тканей пародонта и морфологической объемной «недостаточности» пародонта. Отсутствие функциональной нагрузки в области зубов, не участвующих в жевании, ведет к развитию дистрофических и атрофических процессов в тканях пародонта:

    • уменьшение минерализации и количества трабекул;

    • потеря кортикального слоя;

    • увеличение порозности костной ткани;

    • снижение высоты межзубных перегородок;

    • рецессия десны.

Перегрузка зубов способствует нарушению кровообращения и трофики, снижает восприятие жевательной нагрузки, уменьшает фиксирующую и регенеративную способность, что ведет к развитию патологических процессов в тканях пародонта. К заболеваниям пародонта у детей часто приводит скученность зубов, при которой выражена морфологическая недостаточность тканей: слой альвеолярной кости вестибулярной и межзубной части пародонта чрезвычайно тонок, через него буквально «просвечивают» корни тесно расположенных зубов. При ЗЧА ухудшаются условия для самоочищения и искусственного очищения зубов, формируются ретенционные пункты, в которых накапливаются зубной налет, пищевые остатки, зубной камень, способствуя биологическому повреждению пародонта. Аналогичные процессы в тканях пародонта у детей возникают при частичной адентии, неравномерных окклюзионных контактах. Лечение ЗЧА с помощью съемных и несъемных ортодонтических аппаратов, профилактическое протезирование также могут быть факторами повреждения тканей пародонта. Хроническая травма тканей пародонта может возникать при чрезмерных нагрузках на перемещаемые зубы, из-за давления на десну базиса аппарата, кламмера, вестибулярной дуги и других элементов. Кроме того, ношение ортодонтических и ортопедических аппаратов, особенно несъемных, ухудшает гигиеническое состояние полости рта, затрудняет самоочищение и искусственное очищение зубов. Возможны аллергические реакции и химическое повреждение тканей пародонта под действием компонентов аппаратов, особенно пластмасс.

  • Аномалии мягких тканей полости рта (короткие, сильные, неправильно прикрепленные уздечки губ, языка, тяжи слизистой, мелкое преддверие рта) способствуют нарушению физиологического состояния тканей пародонта, ограничивают подвижность губ и языка. Во время разговора и приема пищи, при движениях губ и языка ткани десны натягиваются, десневые сосочки перемещаются, расширяется десневая бороздка. Это приводит к уменьшению кровенаполнения сосудов, анемизации, нарушению трофики и атрофии тканей пародонта. В расширенной десневой бороздке накапливаются остатки пищи, зубной налет и камень, вызывая биологическое повреждение десны и усиливая воспаление. Аномалии мягких тканей - одна из ведущих причин локализованных гингивитов и пародонтитов у детей.

  • Несоответствие роста и развития зубов и альвеолярного отростка втречается в двух случаях. В первом случае зуб прорезывается раньше времени, корень и ткани пародонта еще не сформированы, поэтому зуб не выдерживает обычной жевательной нагрузки, нарушается его фиксация в лунке и развивается воспалительный процесс в тканях пародонта. Во втором случае прорезывание зуба происходит своевременно, но альвеолярный отросток недостаточно сформирован, что вызывает нарушение кровоснабжения и трофики пародонта и развитие воспаления.

  • Нарушения функций челюстно-лицевой области.

    • Ротовое дыхание способствует высыханию слизистой оболочки десны, гипоксии тканей и развитию воспаления.

    • Ленивое жевание, жевание на одной стороне челюсти, мягкая пища, подвергнутая современной кулинарной обработке, способствуют снижению и неравномерности функциональной нагрузки на ткани пародонта, развитию дистрофии и атрофии альвеолярной кости. Кроме того, снижается устойчивость жевательного аппарата к внешним повреждающим факторам, и увеличиваются возможности для накопления зубных отложений.

    • Бруксизм повышает нагрузку и ускоряет разрушение тканей пародонта.

    • Нарушения функций дыхания, жевания, глотания, парафункции языка, вредные привычки сосания вызывают развитие у детей ЗЧА, способствующих заболеваниям пародонта.

  • Повреждения при заболеваниях твердых тканей зубов (кариозные полости на контактных поверхностях, в пришеечной области зубов), а также дефекты пломбирования зубов (нависающий край пломбы, шероховатость поверхности пломбы, отсутствие или неправильное формирование контактного пункта смежных зубов, завышение или занижение высоты прикуса) ведут к развитию локализованных патологических процессов в тканях пародонта.

  • Хроническая травма пародонта инородными предметами встречается редко. Инородные тела могут застревать между зубами (мелкие косточки, кусочки веточек и др.) или оказываться надетыми на зуб (резиновое или пластиковое кольцо, нитка, проволочная лигатура). При жевании они продвигаются вглубь, разрушая периодонтальную связку и вызывая локализованный воспалительный процесс, который может привести к потере зуба.

  • Частое повреждение десны во время чистки зубной щеткой, зубочисткой, флоссом (неправильно подобранными или неправильно применяемыми), самоповреждение десны ногтями или предметами (у детей с нарушениями психики и заболеваниями, сопровождающимися зудом) могут вызвать воспаление и рецессию десны, развитие пародонтита.

Химическое повреждение тканей пародонта

Химическое повреждение тканей пародонта возникает при самолечении зубной боли сильнодействующими веществами (одеколон, уксус и др.), попадание которых на слизистую оболочку десны вызывает ее ожог. Медикаментозное повреждение тканей пародонта возможно при случайном попадании на десну препаратов, применяемых в стоматологии (мышьяковистая паста, резорцин-формалиновая паста, препараты серебра и др.). Наиболее тяжелые повреждения, приводящие к некрозу тканей пародонта, возникают при длительном воздействии девитализи-рующих препаратов. Не исключена возможность аллергических реакций при длительном контакте десны с материалами для пломбирования зубов, изготовления ортопедических протезов и ортодонтических аппаратов. Возможно проявление контактной аллергии десны на химические вещества, содержащиеся в зубных пастах, гелях для десен. Никелевые сплавы, содержащиеся в элементах ортодонтической аппаратуры, также могут вызывать раздражение и гиперплазию десны.

Физическое повреждение тканей пародонта

Изолированные температурные повреждения десны почти не встречаются. Травма электротоком в бытовых условиях встречается очень редко, однако ее последствия бывают очень тяжелыми, вплоть до полного некроза тканей пародон-та и альвеолярного отростка. Физическое повреждение пародонта на стоматологическом приеме возможно при неправильном проведении диатермокоагуляции, электрофореза и других процедур физиотерапевтического лечения или при неисправности соответствующих приборов. При лечении новообразований головы и шеи возможна лучевая травма пародонта, однако заболевание пародонта чаще вызвано возникающими нарушениями функции слюнных желез, трофики тканей пародонта, местного иммунитета и реактивности организма.

Патологический процесс в тканях пародонта у детей распространяется вглубь:

  • вначале появляются признаки раздражения и воспаления десневого края (гиперемия, отек);

  • затем происходит разрушение эпителиального прикрепления круговой связки зуба и образование зубодесневого кармана;

  • далее развиваются поражение соединительной ткани десны и деструктивные изменения кости.

При развитии болезней пародонта у детей преобладают местные этиологические факторы.

Общие факторы заболеваний пародонта

Общие факторы изменяют реактивность организма и снижают устойчивость тканей пародонта, поэтому способствуют развитию и утяжеляют течение болезней пародонта, вызванных местными факторами (зубная биопленка и др.) или вызывают специфические изменения тканей пародонта, являющиеся манифестными проявлениями общей патологии.

  • Хронические соматические заболевания (патология органов пищеварения, сердечно-сосудистой и мочеполовой системы, коллагенозы, лучевые поражения и др.) и острые инфекционные болезни способствуют развитию генерализованной патологии тканей пародонта, что подтверждается клиническими наблюдениями и экспериментальными исследованиями. Заболевания паро-донта в этом случае - сопутствующая патология, которая отягощает основное заболевание.

  • При некоторых состояниях (например, герпетический стоматит, цинга) изменения пародонта - проявление основного заболевания.

  • Гормональные изменения, возникающие в препубертатный и пубертатный период, при наступлении беременности или приеме оральных контрацептивов, при заболеваниях щитовидной железы (тиреотоксикоз, гипотиреоз, аутоиммунный тиреоидит Хасимото и др.), гиперкортицизме (синдром и болезнь Иценко-Кушинга), гиперпаратиреозе, нарушениях функций гипофиза и половых желез могут вызывать развитие генерализованной, часто симметричной патологии пародонта. Такие заболевания пародонта нередко описываются как специфические состояния: юношеский гингивит, гингивит беременных.

  • Стресс приводит к резкой активации эндокринной и вегетативной нервной систем.

    • Вследствие спазма сосудов нарушается обмен веществ в тканях.

    • Повышенное содержание катехоламинов влияет на проницаемость сосудов.

    • Резко уменьшается содержание аскорбиновой кислоты.

    • Снижается слюноотделение.

Стресс способствует формированию вредных привычек (курение, алкоголь и др.) и снижению качества ухода за полостью рта. Все это подавляет механизмы защиты организма от микробных патогенов. Наиболее яркий пример - развитие язвенно-некротического гингивита у подростков в периоды больших эмоциональных перегрузок.

  • Системные заболевания сопровождаются прогрессирующим разрушением тканей пародонта (гистиоцитозы, наследственная нейтропения, кератозы, диабет 1-го типа и др.).

  • Медикаментозная терапия препаратами, воздействующими на гормональную и иммунологическую систему организма (стероидные гормоны, цитостатики, иммунодепрессанты), способствует развитию генерализованных заболеваний пародонта. В частности, фиброматоз десны бывает вызван приемом циклоспорина, фенитоина, нифедипина.

  • Наследственную предрасположенность выявляют у 30% пациентов с различными формами заболеваний пародонта. Наиболее ярко генетический фактор проявляется при семейном фиброматозе десны.

  • Снижение иммунологической реактивности организма после инфекционных заболеваний, оперативных вмешательств, вследствие врожденного или приобретенного иммунодефицита, эмоционального стресса, недостаточности питания (голодание) и др. способствует развитию болезней пародонта.

  • Более тяжелому течению заболеваний пародонта, вызванного общими причинами, способствуют неудовлетворительное гигиеническое состояние полости рта, ЗЧА и другие местные факторы.

  • Особенности протекания патологических процессов у детей объясняются тем, что ткани пародонта растут, развиваются и перестраиваются, они морфологически и функционально незрелы и по-другому реагируют на факторы, вызывающие заболевания пародонта у взрослых. Например, распознавание болезни пародонта при временном прикусе затруднено необходимостью отличать расшатывание зубов при патологическом процессе от подвижности зубов при физиологической резорбции корней. Диспропорции роста и созревания структур пародонта способствуют возникновению ювенильных форм гипертрофического гингивита, пародонтита и пародонтом.

КЛИНИЧЕСКАЯ КАРТИНА

Гингивит

Гингивит - самое распространенное заболевание пародонта у детей. Хронический гингивит встречается значительно чаще, чем острый. При всех формах гингивита поражена только одна из тканей пародонта - десна, еще нет необратимых изменений в циркулярной связке зуба, межальвеолярных костных перегородках и не нарушено эпителиальное прикрепление в зубодесневом желобке.

Острый гингивит чаще бывает локализованным и обусловлен травмой. Нередко острый (катаральный) гингивит возникает у детей в период прорезывания и смены зубов. Присоединение инфекции способствует генерализации процесса. Заболевание возникает остро, дети жалуются на боль и опухание десны, кровоточивость. При сборе анамнеза можно установить факт повреждения десны (механическая, химическая травма). При обследовании выявляют исчезновение симптома «лимонной корочки», отек и гиперемию десны, болезненность и кровоточивость при пальпации и зондировании. Эпителиальное прикрепление десны не нарушено. Из-за болезненности дети обычно перестают чистить зубы, поэтому выявляется большое количество мягкого зубного налета. Иногда можно обнаружить остатки инородного тела в межзубном промежутке.

Острый катаральный генерализованный гингивит возникает у детей при инфекционных заболеваниях: остром герпетическом стоматите (рис. 31-1), кори, скарлатине, ветряной оспе и др. Катаральный гингивит может переходить в язвенно-некротическую форму, особенно при тяжелом течении основного заболевания и неудовлетворительном гигиеническом состоянии полости рта ребенка.

pic 0202
Рис. 31-1. Острый катаральный гингивит у пациента с острым герпетическим стоматитом.

Редко встречается острый стрептококковый гингивостоматит, протекающий с генерализованным поражением десны, выраженным болевым синдромом (болит десна, горло, вся полость рта), лихорадкой, увеличением и болезненностью подчелюстных лимфатических узлов. В полости рта выявляется гиперемия слизистой оболочки, миндалин; могут образовываться десневые абсцессы. При микробиологическом исследовании обнаруживают Streptococcus pyogenes. Считается, что данная форма гингивита развивается у детей с хроническим тонзиллитом. Без специфического антибактериального лечения стрептококковая инфекция распространяется и вызывает осложнения:

  • синусит;

  • мастоидит;

  • отит;

  • пневмонию;

  • менингит;

  • перикардит;

  • ревматизм;

  • сепсис.

Острый некротизирующий язвенный гингивит (язвенный гингивит, фузоспирохетозный гингивит или гингивит Венсана) встречается редко, у детей старше 6 лет, преимущественно подростков. Патогенез определяют измененная реактивность организма и снижение устойчивости тканей пародонта к сапрофитам полости рта. Заболевание чаще возникает у детей, ослабленных после перенесенных инфекций, операций, на фоне иммунодефицита (СПИД - синдром приобретенного иммунодефицита) и тяжелых хронических заболеваний (болезни крови и др.), вследствие стресса. Предрасполагающие общие факторы - нарушение питания, недоедание, дефицит витаминов, переохлаждение, плохие жизненные условия. Определенную роль играют местные факторы: плохая гигиена полости рта, отложение зубного камня, скученность и затрудненное прорезывание зубов, кариозные полости и нависающие края пломб и т.д. Гормональный дисбаланс подросткового возраста, курение и алкоголь повышают восприимчивость детей к инфекции. Развитию острого некротизирующего язвенного гингивита часто предшествует хронический маргинальный гингивит.

Среди возбудителей заболевания преобладает анаэробная микрофлора - Fusobacterium и спирохеты (боррелии, трепонемы), реже встречаются Bacteroides, Prevotella intermedia, альфа-гемолитический стрептококк (Str. viridans), Actino-mycetaceae, Veilonella, Selenomonas, Porphyromonas gingivalis, простейшие (Trichomonas tenax, Entamoeba gingivalis). Заболевание вызывается условно-патогенной микрофлорой, поэтому неконтагиозно.

Выражены симптомы общей интоксикации: плохое самочувствие, головная боль, разбитость, слабость, бессонница, отсутствие аппетита, расстройства пищеварения, повышенная кожно-мышечная чувствительность, лихорадка. Больных беспокоят увеличение и болезненность подчелюстных и шейных лимфатических узлов, резкая боль и выраженная кровоточивость десны, невозможность приема пищи, зловонный запах изо рта, изъязвление десны, изменение вкуса и металлический привкус во рту.

При общем осмотре отмечаются бледность кожных покровов, вялость и заторможенность ребенка, слабость (родители ведут или несут ребенка), лихорадка, подчелюстной и шейный лимфаденит. Выявляют характерный гнилостный запах изо рта (галитоз), выраженный отек, гиперемию, болезненность и кровоточивость десны, некротизацию десневых сосочков (характерно усечение вершин межзубных сосочков) и маргинального края, изъязвление поверхности десны. Участки изъязвления располагаются чаще в области передних зубов, но при тяжелом процессе захватывают области премоляров и моляров (рис. 31-2). Десна выглядит серой из-за некротического налета, при удалении которого возникает кровоточивость. Язык обложен, на зубах отложения мягкого и пигментированного налета, слюна вязкая, тягучая, с примесью крови.

pic 0203
Рис. 31-2. Острый язвенно-некротический гингивит.

Лабораторные исследования выявляют лейкоцитоз, сдвиг лейкоцитарной формулы влево, увеличение СОЭ в крови и белок в моче. При гистологическом исследовании обнаруживают изъязвление эпителия десны, набухание и разрушение коллагеновых волокон, выраженную лейкоцитарную и лимфоплазмоцитарную инфильтрацию.

Без лечения инфекционный процесс распространяется на глубокие ткани пародонта (острый некротизирующий язвенный пародонтит), вызывает некроз периодонтальной связки и альвеолярной кости с последующей эксфолиацией зубов. Тяжелое осложнение - распространение инфекции на другие отделы полости рта, развитие номы. Возможно гематогенное распространение инфекции и возникновение бактериального эндокардита. Тяжесть язвенного гингивита зависит от распространенности воспалительного процесса и степени выраженности общих и местных клинических проявлений. При тяжелом язвенном гингивите и гингивите средней степени тяжести дефекты соединительного эпителия и постнекротические дефекты десны необратимы.

Хронический гингивит (локализованный или генерализованный) - самое частое заболевание пародонта в детском возрасте, чаще всего проявляется как простой маргинальный гингивит (катаральный гингивит). Основная причина катарального гингивита - микрофлора зубных отложений, которые накапливаются при плохой гигиене полости рта (рис. 31-3).

pic 0204
Рис. 31-3. Неудовлетворительная гигиена полости рта у пациента: зубной налет до (а) и после окрашивания раствором эритрозина (б).

Другие причины заболеваний пародонта (дефекты пломбирования и протезирования зубов, ЗЧА и деформации, острые края кариозных полостей и корней зубов, ортодонтические аппараты, ротовое дыхание, аномалии прикрепления уздечек губ и языка, изменение консистенции и состава защитных факторов слюны и др.) встречаются реже или сочетаются с наличием зубных отложений (рис. 31-4).

pic 0205
Рис. 31-4. Хронический катаральный гингивит у пациента подросткового возраста, находящегося на ортодонтическом лечении.

В подростковом возрасте основная причина развития гингивита - гормональный дисбаланс. В период полового созревания в тканях десны накапливаются половые гормоны, которые способствуют повышению проницаемости сосудов, формированию новых сосудистых сетей в зубодесневых областях, скоплению ней-трофилов в эпителии десневой борозды. Это вызывает нарушение обменных процессов в пародонте, повышенную сосудистую и клеточную реакции на обычные раздражители, поэтому даже на действие облигатной микрофлоры десна отвечает интенсивным воспалением, а нередко и гипертрофией. Общие хронические заболевания организма детей (сердечно-сосудистые, желудочно-кишечные, эндокринные и др.) также способствуют развитию хронического гингивита.

Хронический катаральный гингивит не вызывает у детей дискомфорта, они редко предъявляют какие-либо жалобы, а при расспросе отмечают кровоточивость десны во время чистки зубов в течение нескольких месяцев или лет. Подростки могут отмечать кровоточивость десны во время приема пищи, неприятный вкус во рту, зуд. Общее состояние больных страдает мало, лишь в периоды обострения возможны субфебрильная лихорадка и недомогание. Гингивит обычно выявляют во время профилактического осмотра, при проведении плановой санации полости рта или при обращении ребенка к стоматологу по другой причине (рис. 31-5).

pic 0206
Рис. 31-5. Хронический катаральный гингивит.

Основные местные симптомы: цианоз и отечность десневых сосочков (похожи на маленькие баллончики), реже - маргинальной и альвеолярной десны, рыхлость, пастозность, ограниченные очаги десквамации эпителия, кровоточивость десны I-II степени. При зондировании выявляют увеличение количества десневой жидкости и глубины десневой борозды из-за отека тканей, кровоточивость десны (возникает сразу или в течение 30 с); зубодесневое прикрепление не нарушено. Выявляется также большое количество мягких, реже - твердых зубных отложений, так как дети избегают чистки зубов из-за болезненности и кровоточивости десны. Значения гигиенических индексов отражают неудовлетворительный уход за полостью рта. Проба Шиллера-Писарева положительная (рис. 31-6), повышена миграция лейкоцитов по Ясиновскому, снижена стойкость капилляров десны при вакуумной пробе по Кулаженко, уменьшено напряжение кислорода в десне (полярографический метод). Рентгенографических изменений нет. Изменения периферической крови не выявляются.

pic 0207
Рис. 31-6. Окраска десневого края йодсодержащим раствором при хроническом катаральном гингивите (проба Шиллера-Писарева).

При наличии местных раздражающих факторов или под действием общих причин возможно развитие хронического воспалительного процесса десны с про-лиферативными явлениями - хронического гиперпластического гингивита (гипертрофический гингивит, отечная форма). Гипертрофия - разрастание ткани в результате увеличения размера клеток, гиперплазия - объемное разрастание ткани в результате увеличения числа клеток, однако клинически эти состояния трудно различимы. Хронический гиперпластический гингивит у детей - чаще генерализованный процесс, поражающий фронтальные участки верхней и нижней челюсти при тесном положении зубов и аномальном прикреплении мягких тканей, а также фрагменты челюстей, соответствующие аномальному соотношению зубных рядов, приводящему к перегрузке, недостаточной нагрузке или механической травме десны (рис. 31-7). Гипертрофия десны возможна при длительном ортодон-тическом лечении (рис. 31-8).

Чаще всего гиперплазия десны возникает в пубертатном периоде у детей с зубочелюстными аномалиями (открытая и глубокая дизокклюзия, скученность зубов) и мелким преддверием полости рта. Генерализованный процесс возникает при эндокринных заболеваниях, заболеваниях крови (лейкозы, миелолейкозы, тромбоцитопатии).

Локализованная гиперплазия десны развивается в ответ на раздражение краем кариозной полости или пломбы, элементами ортодонтического аппарата или ортопедического протеза.

Дети предъявляют жалобы на изменение внешнего вида и разрастание десны, зуд, кровоточивость, иногда - боль во время приема пищи, неприятный запах изо рта. При осмотре выявляются гипертрофия десневого края, особенно десневых сосочков, отечность и цианотичность, кровоточивость десны, образование «ложных десневых карманов», обилие мягкого и пигментированного налета на зубах. При выраженной гиперплазии край десны отходит от шеек зубов, деформируется, появляется болезненность.

pic 0208
Рис. 31-7. Хронический гипертрофический гингивит у пациентов с зубочелюстными аномалиями.
pic 0209
Рис. 31-8. Хронический гипертрофический гингивит у пациента в активном периоде ортодонтического лечения.

Степень тяжести заболевания зависит от выраженности гипертрофии десны:

  • легкая степень - гипертрофия десны до 1/3 высоты коронок зубов;

  • средняя степень - гипертрофия десны до 1/2 высоты коронок зубов;

  • тяжелая степень - десна покрывает 2/3 или всю коронку зуба.

Кровоточивость десны зависит от вклада экссудативного компонента в развитие воспаления. Дополнительные методы исследования (проба Шиллера-Писарева, Ясиновского, Кулаженко и др.) позволяют выявить воспаление слизистой оболочки различной степени интенсивности. Зубодесневое эпителиальное прикрепление не нарушено, изменения альвеолярной кости на рентгенограмме не выявляются. Общее состояние ребенка по данным клинико-лабораторных исследований не изменено.

Фиброзная форма гипертрофического гингивита развивается в результате приема медикаментов, чаще противосудорожных препаратов (фенитоин), реже - иммунодепрессантов (циклоспорин), блокаторов медленных кальциевых каналов (нифедипин) и при выраженных изменениях должна быть отнесена к фиброматозу десен. Степень гипертрофии десны прямо пропорциональна дозе препарата и длительности приема. Иногда причину гипертрофических разрастаний десен обнаружить не удается. Фиброзная форма протекает доброкачественно: дети предъявляют жалобы на необычный вид и форму десны лишь при значительной гиперплазии, десневые сосочки естественного цвета, не кровоточат. Признаки воспаления, нарушения зубодесневого прикрепления, изменения костной ткани, общего состояния отсутствуют.

Десквамативный гингивит может быть симптомом дермомукозных заболеваний (красный плоский лишай, пемфигус и др.), проявлением аллергической реакции на средство гигиены (зубная паста, ополаскиватель и др.), болезни Крона и другой патологии. Жалобы неспецифические: болезненность, отечность, кровоточивость десны. Чаще поражаются передние отделы полости рта. При осмотре десна ярко-красная, «глазурированная», резко болезненная при пальпации, атро-фичная. Десна теряет кератин и становится более восприимчивой к травме, десквамация эпителия легко провоцируется, десна нередко выглядит эрозированной. В патологический процесс бывает вовлечена вся десна, включая прикрепленную часть.

Аллергическая реакция на корицу, мяту в зубных пастах, жевательных резинках, напитках, хлебобулочных и кондитерских изделиях, косметических средствах, а также на другие растительные средства может проявляться плазмоклеточным гингивитом, при котором определяется плазмоклеточная инфильтрация тканей паро-донта. Клинически характерны гиперемия, гиперплазия, кровоточивость десны, со временем - образование зубодесневых карманов.

Улучшение гигиенического состояния полости рта не отражается на течении гингивита, обусловленного аллергией; традиционная терапия гингивита не приводит к выздоровлению. В лечении важно воздействовать на этиологический фактор.

Пародонтит

Пародонтит часто бывает следствием гингивита и характеризуется распространением воспаления на все ткани пародонта, разрушением зубодесневого прикрепления и образованием десневого или пародонтального кармана с последующей подвижностью и выпадением зубов.

При пародонтите морфологически изменяются все структуры пародонта.

  • Эпителий десневой борозды замещается ротовым эпителием, тяжи которого прорастают вглубь десневого сосочка и по периодонту.

  • В строме десны выражены процессы плазморрагии, мукоидного набухания, дезорганизации соединительной ткани (лизис коллагеновых и аргирофиль-ных волокон).

  • В эпителии отмечаются дистрофические изменения (вакуольная, баллонная дистрофия), акантоз, прорастание тяжей эпителия в подлежащую соединительную ткань, паракератоз, местами - атрофия эпителия и лейкоцитарная инфильтрация.

  • Кровеносные сосуды десны, периодонта и костного мозга расширены, наблюдаются склероз и гиалиноз средней оболочки, сужение просвета сосудов, периваскулярный склероз.

  • В костной ткани межзубныx перегородок наблюдаются резорбция остекластами и макрофагами, очаги пазушной и гладкой резорбции. Очаги деструкции сочетаются с участками стабильной резорбции, реже встречается образование новой костной ткани.

Распространению воспаления с десны на другие ткани пародонта способствуют микроорганизмы наддесневой и поддесневой биопленки, преимущественно, анаэробы (Treponema denticola, Porphyromonas gingivalis, Aggregatibacter actinomycetemcomitans, Prevotella intermedia, Tannerella forsythia, штаммы Selenomonas и др.), а также изменение реактивности организма, снижение местного и общего иммунитета, отсутствие необходимых лечебных воздействий.

В связи с повышением проницаемости стенок микрососудов при хроническом пародонтите повышается переход сывороточных IgA, IgG, IgM в десневую и ротовую жидкость. Неспецифическая резистентность организма снижена соответственно степени и тяжести патологического процесса:

  • угнетена функциональная активность соединительной ткани;

  • снижен титр лизоцима и фагоцитов, активность макрофагов;

  • увеличены титр аутоантител, число тучных клеток и др.

В периферической крови и в тканях пораженной десны возникает эозинофилия, свидетельствующая об аллергической реакции.

Клинические проявления пародонтита разнообразны и определяются остротой течения, тяжестью и протяженностью патологического процесса, зависят от глубины пародонтального кармана и степени деструкции костной ткани альвеолярного отростка.

Острый пародонтит у детей наблюдается редко, чаще бывает локализованным и обусловлен механическим или химическим раздражением краевого паро-донта пломбировочным материалом, искусственной коронкой, ортодонтическим аппаратом, инородным телом, некоторыми медикаментами (мышьяковистая паста, резорцин-формалиновая смесь и др.). У пациентов появляются жалобы на острую боль и кровоточивость десны. При осмотре врач выявляет яркую гиперемию десны в области одного или нескольких зубов, кровоточивость при зондировании, нарушение целостности зубодесневого соединения, зубодесневой карман различной глубины. После устранения причины выздоровление наступает быстро, но последствия пародонтита в виде рецессии десны бывают необратимы.

Хронический пародонтит обычно возникает у детей подросткового возраста. Хронический локальный пародонтит чаще вызван перегрузкой тканей пародонта при аномалиях прикуса, нарушениях положения отдельных зубов и мягких тканей (короткая уздечка языка, губ, мелкое преддверие рта). Известно, что ткани пародонта хорошо адаптированы к перегрузкам в вертикальном направлении и значительно хуже - в горизонтальном. Превышение возможностей пародонта в результате перегрузки приводит к нарушению кровоснабжения и трофики, а затем - к резорбции костной ткани.

При хроническом генерализованном пародонтите клиническая картина меняется в зависимости от степени тяжести заболевания: от незначительной кровоточивости, появляющейся периодически, до массивных отложений наддесневого и поддесневого зубного камня, рецессии десны, резорбции межзубных перегородок и образования глубоких пародонтальных карманов.

Выделяют несколько стадий пародонтита.

  • Начальная стадия протекает незаметно для больного и выявляется при профилактическом осмотре полости рта. Клиническая картина соответствует хроническому гингивиту. Рентгенологически определяется остеопороз вершин межзубных перегородок с нарушением непрерывности компактной пластинки и расширением периодонтальной щели у шеек зубов.

  • Первая стадия (легкая степень тяжести) пародонтита не вызывает значительных неприятных ощущений у пациентов: больные предъявляют жалобы на кровоточивость десны при чистке зубов, иногда - при откусывании твердой пищи. При осмотре десневые сосочки и маргинальная десна цианотичны. Пародонтальные карманы определяются около отдельных групп зубов (чаще это первые постоянные моляры) в межзубных промежутках, реже - с вестибулярной или оральной поверхности, их глубина не превышает 3-3,5 мм. Возле других зубов целостность зубодесневого соединения может сохраняться. Всегда обнаруживается большее или меньшее количество назубных отложений, гигиена полости рта неудовлетворительная. Патологической подвижности, смещения зубов нет. На рентгенограммах определяется I степень деструкции костной ткани межзубных перегородок: отсутствие компактной пластинки, резорбция вершин межзубных перегородок, убыль кости на 1/3 длины корня, очаги остеопороза. Общих нарушений нет. Клинический анализ крови не изменен.

  • При второй стадии (средняя степень тяжести) пародонтита больные предъявляют жалобы на неприятный запах изо рта, резкую кровоточивость десны при чистке зубов и откусывании пищи, изменение цвета десны и положения зубов (появление «щелей» между зубами, смещение отдельных зубов), иногда - на гноетечение. При осмотре выявляют цианоз межзубной, маргинальной и альвеолярной десны; десневые сосочки неплотно прилежат к поверхности зубов, конфигурация их изменена, они выбухают в основном за счет клеточной инфильтрации, а не отека. При зондировании определяется кровоточивость десны, пародонтальные карманы глубиной 4-5 мм, патологическая подвижность зубов I-II степени. Рентгенологически выявляется деструкция межзубных перегородок до половины длины корня, атрофия чаще смешанная, степень изменений кости у разных групп зубов различна. Общее состояние организма нарушается при гноетечении и/или абсцеди-ровании. В десневой и ротовой жидкости, крови выявляются типичные для пародонтита изменения:

    • увеличивается количество и изменяется состав десневой жидкости: накапливаются полиморфно-ядерные лейкоциты, базофилы, тучные клетки и продукты их распада [лизосомальные ферменты (эластаза, коллагеназа, гиалуронидаза, кислая фосфатаза и др.), плазменные и клеточные медиаторы воспаления (брадикинин, калликреин, гистамин, серотонин, интерлейкины, простагландины, лимфокины и др.)]; повышается содержание IgA, IgG, IgM, молочной кислоты, гидроксипролина (маркер распада коллагена), пиридинолина (маркер резорбции костной ткани) и т.д.;

    • увеличивается pH ротовой жидкости (за счет уреазной активности пародонтопатогенной микрофлоры), повышается содержание фактора некроза опухоли (ФНО), цитокинов, медиаторов воспаления, IgA, IgG, IgM, продуктов свободно-радикального окисления; уменьшается содержание ИЛ-8 и sIgA, снижается активность фагоцитоза, уменьшается активность лизоцима и т.д.;

    • в капиллярной крови десны уменьшается количество лейкоцитов, фагоцитов, гранулоцитов, моноцитов, Т-лимфоцитов, снижается функциональная активность нейтрофилов; увеличивается количество В-лимфоцитов и плазматических клеток, эозинофилов;

    • в периферической крови повышается СОЭ, увеличивается количество В-лим-фоцитов, концентрация С-реактивного белка и лимонной кислоты и т.д.

  • При третьей стадии (тяжелая степень) пародонтита жалобы пациентов наиболее выражены: боли в десне, кровоточивость, гноетечение, затрудненное жевание, неприятный запах изо рта, подвижность и смещение, отсутствие отдельных зубов. Больные подавлены, угнетены своим состоянием. Клинически определяются цианоз, кровоточивость, деформация дес-невого края, подвижность зубов II-III степени, вторичные дизокклюзии. Пародонтальные карманы определяются со всех поверхностей зуба и превышают 5 мм, реже - достигают верхушки корня. На рентгенограммах определяются костные карманы, деструкция костной ткани превышает 1/2 -2/3 длины корня зуба, а у отдельных зубов - достигает верхушки корня. Разрушение кости неравномерно с разных сторон одного и того же зуба, иногда костная ткань альвеолы резорбирована полностью. Выражены изменения общего и местного иммунного статуса, десневой и ротовой жидкости, крови. Хронический воспалительный процесс при тяжелой, реже средней степени тяжести пародонтита сопровождается гноетечением из пародонтальныx карманов и абсцедированием. Пародонтальные карманы, заполненные гнойным экссудатом, - очаги хронической инфекции. Пациенты жалуются на слабость, раздражительность, плохой сон, обострение общих заболеваний. В периоды обострения пародонтита и при абсцедировании общее состояние еще более ухудшается: появляются общее недомогание, головная боль, лихорадка до 37,5-38 °С. При осмотре отмечаются яркая окраска десны, резкая кровоточивость, при пальпации десны выделяется гной. В области одного или нескольких зубов определяется абсцесс, который иногда вскрывается самопроизвольно. В периферической крови определяется лейкоцитоз, повышение СОЭ и др. Рентгенологическая картина характеризуется усилением остеопороза, неравномерной вертикальной резорбцией с образованием костных карманов, расширением периодонтальной щели на значительном протяжении. Обострение хронического пародонтита бывает связано со снижением иммунитета, ухудшением общего состояния (острые респираторные вирусные инфекции, пневмония и т.д.) и гигиены полости рта.

После комплексного лечения обычно возникает стадия ремиссии пародонтита. Жалобы отсутствуют, у некоторых больных отмечается рецессия десны, обнажение шеек или части корней зубов, гиперестезия тканей зубов. Десна бледно-розового цвета, плотно прилежит к поверхности зуба, нет пародонтального кармана. Хорошая гигиена рта. Индекс ПМА равен 0, ПИ (пародонтальный индекс) уменьшается за счет ликвидации пародонтальных карманов и воспаления десны. На рентгенограммах нет признаков активного процесса, убыль костной ткани не прогрессирует, нет очагов остеопороза.

Агрессивные формы пародонтита (быстропрогрессирующий агрессивный пародонтит) редко встречаются в детском возрасте и проявляются быстрым разрушением всех тканей пародонта с потерей зубодесневого прикрепления, деструкцией альвеолярной кости, расшатыванием и ранней потерей зубов у соматически здоровых детей. Среди микрофлоры пародонтальных карманов при агрессивном пародонтите, как правило, есть факультативные анаэробы (Actinobacillus actinimycetemcomitans, Prevotella intermedia, Porphyromonas gingivalis и др.), продукты жизнедеятельности которых способны разрушать коллагеновые волокна пародонта. Агрессивность пародонтита почти не зависит от уровня гигиены полости рта, а определяется иммунным статусом пациентов. В этиологии заболевания имеют значение функциональные дефекты полиморфноядерных лейкоцитов, нейтрофильных гранулоцитов и моноцитов (снижение способности к хемотаксису и фагоцитозу) и факторов неспецифической защиты. Продукты жизнедеятельности микроорганизмов повышают реактивность нейтрофилов, которые начинают выделять агрессивные факторы: протеиназы (эластаза, коллагеназа), цитокины (например, ФНО) и свободные радикалы (супероксид, перекись водорода, гидроксил-радикал), повреждающие ткани пародонта.

Заболевание проявляется глубокой деструкцией альвеолярной кости при внешне непораженной десне и небольшом количестве зубных отложений. В период временного прикуса агрессивный пародонтит (препубертатный пародонтит) возникает на 2-4-м году жизни. При локализованной форме заболевания поражены единичные зубы, видимых признаков воспаления десны чаще нет, а интенсивность разрушения кости ниже, чем при генерализованной форме. При генерализованной форме поражаются все временные зубы, выражено воспаление, а иногда и рецессия десны (рис. 31-9). Следствием заболевания бывает потеря всех зубов временного прикуса. Генерализованная форма нередко сочетается с большей подверженностью детей общим инфекционным заболеваниям (средний отит).

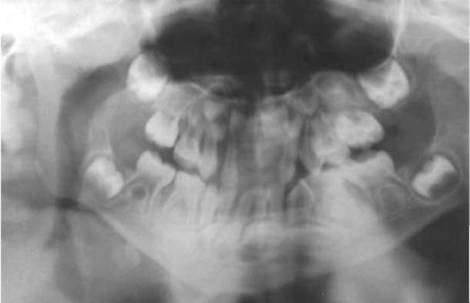
У детей в период полового созревания агрессивный периодонтит (ювенильный пародонтит) проявляется избирательным поражением первых моляров и центральных резцов. Заболевание возникает у детей 10-13 лет и характеризуется интенсивным поражением пародонта, быстро прогрессирующей деструкцией костной ткани, небольшим количеством наддесневого и поддесневого налета и зубного камня, незначительным воспалением десны. Генерализованная форма заболевания встречается редко (рис. 31-10), однако возможен переход локализованной формы в генерализованную, особенно без лечения. В течение 1-2 лет заболевание приводит к почти полной потере удерживающего аппарата пораженных зубов. Патологический процесс протекает с частыми обострениями (2-4 раза в год) и короткими ремиссиями. В период обострения появляются выраженная гиперемия и отечность десны, подвижность зубов, обильная экссудация, пародонтальные карманы достигают 8-14 мм. Клиническая ситуация осложняется потерей отдельных зубов, нарушением окклюзии, подвижностью зубов, дисфункцией височно-нижнечелюстного сустава. Рентгенологически диагностируются чашеобразные очаги деструкции альвеолярных отростков в области резцов и моляров (рис. 31-11).

pic 0210
Рис. 31-9. Рецессия десны.
pic 0211
Рис. 31-10. Генерализованный ювенильный пародонтит.
pic 0212
Рис. 31-11. Ортопантомограмма при ювенильном пародонтите.

Пародонтоз

Пародонтоз - дистрофическое поражение тканей пародонта. Распространенность этого заболевания у детей менее 1%. У детей пародонтоз встречается в виде V-образного атрофического гингивита, который поражает, как правило, временные зубы на ограниченном участке челюсти, чаще во фронтальном отделе. Характерные признаки заболевания - постепенная рецессия десны и разрушение альвеол на вестибулярной поверхности зубов, обнажение шеек и корней, образование клиновидных дефектов зубов. Воспалительные изменения и кровоточивость десны, зубной налет и камень, зубодесневые карманы и подвижность зубов отсутствуют. На ранних стадиях заболевания рентгенологические признаки деструкции костной ткани нечеткие, со временем периодонтальная щель расширяется, снижается высота альвеолярного отростка.

Пародонтолиз

Пародонтолиз характеризуется нарастающим лизисом тканей пародонта, которые изолированно или вместе с другими органами и тканями поражаются при общих заболеваниях. Проявления общего заболевания в полости рта, в частности в пародонте, могут оказаться первичными, и от стоматолога часто зависит диагностика системного патологического процесса.

Основное отличие этой группы поражений пародонта - несоответствие глубины и интенсивности разрушения связочного аппарата и кости альвеолярных отростков характеру местных патогенных факторов и возрасту пациентов, неэффективность общепринятых методов лечения.

Клинически пародонтолиз может проявляться в раннем детском возрасте в виде тяжелого распространенного воспалительно-дистрофического процесса с образованием глубоких пародонтальных карманов, разрушением всех тканей пародонта, включая костные перегородки, расшатыванием и изменением положения зубов всех групп, что в итоге ведет к ранней потере зубов. Такие проявления встречаются при циклической и постоянной нейтропении, врожденных иммунодефицитах и других заболеваниях, сопровождающихся дисглобулинемией, ретикулоэндотелиозе, сахарном диабете, болезнях крови и др.

Пародонтолиз при наследственной нейтропении. Нейтропения - гематологическое заболевание, характеризующееся уменьшением в крови количества нейтрофильных гранулоцитов менее 2 тыс. при нормальном общем содержании лейкоцитов. Нейтропения может быть острой или хронической, врожденной (наследственной) или возникнуть в любой период жизни. Наследственная нейтропения бывает постоянной и циклической. Патогенез заболевания связан с мутациями генов (в частности, с мутацией гена EL A2, отвечающего за выработку нейтрофильной эластазы), что ведет к нарушению дифференциации, созревания и апоптоза клеток миелоидного ряда. Задержка созревания нейтрофилов происходит на стадии промиелоцита или юного миелоцита. При низком уровне нейтрофилов повышается восприимчивость организма к инфекциям. Тяжесть нейтропе-нии определяется абсолютным количеством нейтрофильных лейкоцитов в 1 мкл периферической крови:

  • легкая степень - от 1000 до 1500 нейтрофилов;

  • средняя - от 500 до 1000 нейтрофилов;

  • тяжелая - менее 500 нейтрофилов.

Самая тяжелая форма постоянной наследственной нейтропении - синдром Костманна, при котором в крови ребенка почти полностью отсутствуют нейтро-филы. Заболевание наследуется по аутосомно-рецессивному типу. С первых дней жизни возникают тяжелые инфекции кожных покровов, дыхательных путей, внутренних органов, которые могут привести к гибели ребенка. В полости рта наблюдаются язвенные поражения, прорезывание зубов сопровождается гингивитом, который быстро переходит в пародонтит, прогрессирует лизис тканей пародонта, временные зубы расшатываются и выпадают. Процесс повторяется при прорезывании постоянных зубов.

При циклической форме наследственной нейтропении уменьшение продукции нейтрофилов в костном мозге наблюдается в течение 3-6 дней каждые 3 нед (15-35 дней). Заболевание проявляется с раннего детства частым возникновением различных инфекций. В период нейтропенического криза самочувствие ребенка резко ухудшается, появляются лихорадка до 38,5-39 °С, бактериальные поражения кожи, слизистых оболочек, среднего уха, легких, возможны осложнения (сепсис), угрожающие жизни ребенка. В крови и костном мозге резко снижается количество нейтрофилов, увеличивается число моноцитов, эозинофилов. В полости рта развивается характерное поражение слизистой (афты, язвы) и тканей пародонта (пародонтолиз). В период прорезывания зубов возникает язвенный гингивит, затем разрушается зубодесневое прикрепление, образуются пародон-тальные карманы, прогрессирует резорбция альвеолярного отростка, приводящая к подвижности и выпадению зубов (рис. 31-12). Из-за отсутствия нейтрофилов гноетечение не развивается. На рентгенограмме определяется горизонтальный тип деструкции альвеолярной кости с четкими контурами (рис. 31-13). После потери временных зубов процесс приостанавливается, при прорезывании постоянных зубов - возобновляется. К 12-14 годам наблюдается полная потеря постоянных зубов. После этого воспалительный процесс в десне и деструкция альвеолярной кости прекращаются. Диагностика заболевания основана на изучении гемограмм в динамике, биопсии костного мозга, генетическом анализе. Циклическая форма наследственной нейтропении наследуется по аутосомно-доминантному типу и часто обнаруживается у нескольких членов одной семьи.

pic 0213
Рис. 31-12. Поражение десен при циклической нейтропении.
pic 0214
Рис. 31-13. Ортопантомограмма при циклической нейтропении.

Возможны различные причины нейтропении.

  • Нарушение продукции нейтрофилов в костном мозге наследственного генеза (тяжелая врожденная нейтропения, синдромы Чедиака-Хигаси, Германски-Пудлака, Барта).

  • Злокачественные новообразования.

  • Воздействия радиации, прием медикаментов (фенилбутазон, сульфосалазин, метамизол, клозапин, прокаинамид, хлорамфеникол и др.).

  • Дефицит витамина В12 , фолиевой кислоты.

  • Вирусная инфекция (вирусы желтой лихорадки, гепатита В и др.).

  • Повышенное разрушение нейтрофилов при апластической анемии, химиотерапии, аутоиммунных процессах (аутоиммунная нейтропения).

  • Удаление нейтрофилов при гемодиализе.

Нейтропения, определяемая у детей дольше 3 мес, считается хронической, характеризуется повышенной частотой инфекционных заболеваний и способствует развитию пародонтолиза.

Агранулоцитоз - снижение количества нейтрофилов менее 100 в 1 мкл периферической крови или полное исчезновение гранулоцитов крови. Агранулоцитоз развивается при угнетении органов кроветворения медикаментами, ионизирующей радиацией, при аллергических заболеваниях. Острая форма протекает с нарушением общего состояния, ангиной, некротическими поражениями полости рта и пародонта, инфекционными поражениями различных органов. При хронической форме общие проявления соответствуют проявлениям нейтропении, в полости рта развиваются отечность, гиперемия и гипертрофия десны, появляются глубокие пародонтальные карманы без гноетечения. За 2-3 года может произойти полная потеря зубов из-за прогрессирующей деструкции костной ткани. Диагноз ставится на основании лейкограммы и биопсии костного мозга.

Пародонтолиз при синдроме дефицита лейкоцитарной адгезии. Синдром дефицита лейкоцитарной адгезии - редкое (1 случай на 1 млн населения в год) наследственное аутосомно-рецессивное заболевание, относящееся к иммунодефи-цитам. В его основе лежит генная мутация, приводящая к уменьшению способности лейкоцитов прикрепляться к сосудистой стенке для последующего диапедеза, миграции в очаг инфекции, хемотаксиса, фагоцитоза и дегрануляции для уничтожения патогенов.

Заболевание проявляется сразу после рождения ребенка или в раннем детстве. Основные симптомы - частые или постоянные тяжелые бактериальные инфекции, угрожающие жизни ребенка, нарушение образования гноя и плохое заживление повреждений. Поражаются кожа и слизистые оболочки полости рта (рецидивирующий язвенно-некротический стоматит, кандидоз), ЖКТ, дыхательной и мочеполовой систем. После прорезывания временных зубов характерно развитие быстропрогрессирующего генерализованного пародонтита, устойчивого к обычному лечению. Отмечаются выраженный отек и гиперемия, пролиферация десны, подвижность зубов, образование пародонтальных карманов без гноетечения. Нарастающая деструкция костной ткани приводит к полному разрушению опорного аппарата зубов и их выпадению. Прогноз заболевания зависит от тяжести генетических нарушений и определяется количеством продуцируемых нормальных лейкоцитов:

  • нормальных лейкоцитов менее 1% - 75% детей погибают в раннем детстве;

  • нормальных лейкоцитов 1-10% - свыше трети пациентов живут более 40 лет;

  • нормальных лейкоцитов больше 10% - заболевание имеет благоприятный прогноз, проявляется нечетко выраженной симптоматикой и диагностируется у детей старше 10 лет.

Для диагностики генетических нарушений применяют метод поточной цитометрии.

Пародонтолиз при гистиоцитозах. Гистиоцитозы - общее наименование группы синдромов, характеризующихся пролиферацией клеток гистиоцитарного ряда (макрофаги, моноциты, дендритические клетки), которые регулируют иммунный ответ организма и играют важную роль в борьбе с инфекцией. Гистиоцитозы - это три группы заболеваний: гистиоцитоз из клеток Лангерганса (ранее гистиоцитоз Х), гемофагоцитарный синдром и злокачественный гистио-цитоз (T-клеточная лимфома). Пародонтолиз встречается при гистиоцитозе из клеток Лангерганса, имеющем широкий спектр клинических проявлений, которые ранее описывались как отдельные нозологические формы (эозинофильная гранулема или болезнь Таратынова, болезнь Абта-Леттерера-Сиве, болезнь Хенда-Шюллера-Крисчена). В настоящее время выделяют моносистемную (поражение одного органа или системы органов) и полисистемную (поражение двух и более органов или систем органов) формы заболевания. При моносистемной форме возможно образование одного (одноочаговая форма) или двух и более (многоочаговая форма) очагов поражения. Моно- и полисистемная (генерализованная) формы лангергансоклеточного гистиоцитоза протекают с нарушением или без нарушения функции жизненно важных органов. Для данного заболевания характерно волнообразное течение. В активной фазе в течение нескольких месяцев возможны кожные высыпания, опухолеподобные образования, функциональные нарушения внутренних органов.

Распространенность лангергансоклеточного гистиоцитоза - 3-4 случая в год на 1 млн детей от 0 до 15 лет, возрастной пик поражения - 5-10 лет. Мальчики болеют чаще, чем девочки (1,4:1). Причины заболевания не установлены, предполагаются иммунологические нарушения. Болезнь характеризуется гистиоцитарной инфильтрацией костей, кожи, лимфатических узлов, печени и других органов. Для лангергансоклеточного гистиоцитоза патогномонично обнаружение в очаге поражения клеток Лангерганса (одноядерные с дольчатым ядром, складчатым хроматином и эозинофильной цитоплазмой; при электронной микроскопии выявляются уникальные цитоплазматические органеллы - гранулы Бербека).

Клинические признаки и симптомы заболевания зависят от локализации и количества очагов поражения и различны при спонтанно излечивающихся одиночных очагах и быстропрогрессирующих диссеминированных формах заболевания, приводящих к полиорганной недостаточности. Для моносистемной формы гистиоцитоза из клеток Лангерганса характерно поражение кожи, слизистой оболочки полости рта, костей, лимфатических узлов. При полисистемной форме в патологический процесс вовлекаются печень, селезенка, легкие, костный мозг, ЖКТ, ЦНС. Чаще (80%) встречаются одиночные или множественные поражения костей, преимущественно свода черепа, голеней, ребер, таза, позвонков, нижней челюсти. Характерные симптомы: боль, ограничение функции и опухоль, исходящая из очага деструкции, реже - переломы костей. Иногда при рентгенологическом обследовании по другому поводу случайно выявляется костный очаг в виде округлых и овальных теней с четко очерченными границами. При поражении височной кости и сосцевидного отростка возникают симптомы воспаления среднего уха (боль, выделения желтоватого цвета). Патология глазницы может сопровождаться выпячиванием глазного яблока. Поражение ЦНС, преимущественно гипоталамуса, приводит к появлению симптомов несахарного диабета (постоянная жажда и обильное выделение мочи), изредка сочетающегося с дисфункцией передней доли гипофиза или гипоталамуса (ожирение, аменорея, низкорослость). В 30-40% случаев, чаще у детей раннего возраста, встречаются поражения кожи в виде папулосквамозного, себорейного, экзематозного дерматоза, реже - ксанто-матоза. Белесоватые или красноватые высыпания на коже туловища и волосистой части головы, реже на конечностях, могут изъязвляться и покрываться корочками, вторично инфицироваться. Лимфатические узлы поражаются в 20-30% случаев, в основном у подростков, лимфаденит бывает местным (чаще вовлечены шейные или паховые лимфоузлы) или распространенным, при ретроорбитальном расположении очагов развивается экзофтальм. Поражение легких (симптомы: повышение температуры, слабость, потеря массы тела, реже кашель и одышка) у детей чаще встречается на поздних стадиях заболевания и неблагоприятно прогностически. Изменения вилочковой железы приводят к дистрофии и атрофии эпителия. Поражение органов пищеварения проявляется снижением массы тела, тошнотой и диареей, увеличением печени, повышением уровня билирубина и гипопротеинемией, реже асцитом. Изменения крови неспецифические, возможны анемия, лимфоцитоз, увеличение СОЭ, лейкоцитоз, эозинофилия, тромбоцитоз. Лихорадка, гепатоспленомегалия, генерализованный лимфаденит, поражения кожи, легких и костей чаще встречаются у детей раннего возраста при диссеминированных формах заболевания, имеющих крайне неблагоприятный прогноз. У пациентов без нарушения функций жизненно важных органов прогноз благоприятный.

В 10-20% случаев при лангергансоклеточном гистиоцитозе отмечают поражения полости рта, поэтому важна роль стоматолога, который первым может заподозрить заболевание. Первые признаки выявляют у грудных детей в виде незаживающих эрозий или язв на десневых валиках. На этих участках в дальнейшем происходит преждевременное прорезывание временных зубов, чаще моляров, избыточно подвижных в результате гибели зоны роста.

У детей с прорезавшимися временными зубами клинически выявляется тяжелая форма пародонтита (кровоточивость десны, язвенно-некротический гингивит, гнилостный запах изо рта, гипертрофия или рецессия десны, глубокие пародонтальные карманы с грануляциями и без гноетечения, обнажение шеек зубов, нарастающая подвижность и потеря зубов) и распространение процесса на другие участки кости челюсти, секвестрация зачатков постоянных зубов. Типичны развитие язвенно-некротического стоматита, выраженная болезненность полости рта, регионарный лимфаденит, образование оранжевого налета на зубах, десне, язвенных поражениях, обусловленного разрушением ретикулоцитов.

При постоянном прикусе клиническая картина (рис. 31-143) соответствует агрессивной форме пародонтита (выраженный воспалительный процесс, быстрое разрушение зубодесневого прикрепления и образование глубоких карманов, подвижность зубов и вторичные дизокклюзии и др.). Рентгенологически (рис. 31-15) обнаруживают неправильной формы четко очерченные очаги деструкции в костях челюстей, включая тело и ветви нижней челюсти, расположенные ниже уровня корней зубов (зубы кажутся «висящими в пустоте»). Иногда определяются утолщение периоста и резорбция корней зубов.

pic 0215
Рис. 31-14. Поражение пародонта при гистиоцитозе.
pic 0216
Рис. 31-15. Ортопантомограмма при гистиоцитозе.

В пунктате из очага поражения обнаруживают клетки Лангерганса, эозинофилы, нейтрофилы, лимфоциты, фагоцитирующие макрофаги, гигантские многоядерные клетки, очаги некроза и фиброз. Для диагностики лангергансоклеточного гистиоцитоза важно обнаружить специфический маркер клеток Лангерганса - поверхностный антиген CD1a.

Пародонтолиз при синдроме Папийона-Лефевра. Синдром Папийона-Лефевра - это наследственное аутосомно-рецессивное заболевание, обусловленное мутацией (выявлено более 40 видов мутаций) гена, ответственного за продукцию и функцию фермента катепсина C. Катепсин С участвует в активации сериновых протеиназ, которые необходимы для формировании иммунного и воспалительного ответа организма, включая фагоцитарную функцию. Катепсин С необходим для нормального развития и сохранения целостности эпителиальных кожных покровов. Так как эпителий десневого желобка и зубодесневого прикрепления представляет первую линию антибактериальной защиты десны, нарушения его дифференциации из-за недостаточности функции катепсина С, так же как и снижение фагоцитарной активности гранулоцитов, способствуют механическим повреждениям барьера и повышению чувствительности пародонта к бактериальным инфекциям.

Синдром Папийона-Лефевра встречается редко (1 случай на 1 млн), не имеет расовых и половых различий, проявляется в раннем детском возрасте. Ведущие признаки данного синдрома - ладонно-подошвенный дискератоз (рис. 31-16, а, б), который выявляется сразу после рождения ребенка, и прогрессирующее поражение пародонта (рис. 31-16, в), появляющееся после прорезывания первых зубов и приводящее к преждевременной потере временных и постоянных зубов. К 4-5 годам ребенок теряет все временные зубы, к 12-14 годам - все постоянные. У большинства пациентов дискератоз сочетается с пародонтоли-зом, редко встречается изолированный ладонно-подошвенный гиперкератоз или пародонтолиз, крайне редко пародонтолиз слабо выражен и появляется в старшем возрасте.

pic 0217
Рис. 31-16. Пациент П., 3 года. Синдром Папийона-Лефевра, кератоз подошв (а), кератоз ладоней (б), пародонтолиз (в).

Клинически синдром Папийона-Лефевра характеризуется ороговением кожи ладоней и стоп: участки гиперкератоза чередуются с участками повышенного слу-щивания эпидермиса. На коже локтей и коленей, тыльной поверхности рук и ног образуются очаги эритемы, сухости и шелушения, псориазоподобные бляшки. Степень кератоза варьирует от легкого шелушения до чрезмерного ороговения кожи. Состояние кожи ухудшается в зимний период, вплоть до появления глубоких болезненных трещин. Гистологически в участках поражения кожи выявляют гиперкератоз, иногда - паракератоз, акантоз, небольшие периваскулярные воспалительные инфильтраты. У детей с синдромом Папийона-Лефевра снижена сопротивляемость инфекции, они часто болеют, характерно развитие гнойных инфекций кожи, которые могут осложниться бактериемией и абсцессом печени. У многих пациентов определяются дистрофические изменения ногтей (поперечные борозды, узуры) и гипергидроз, вызывающий неприятный зловонный запах ладоней и подошв. Реже выявляют внутричерепные кальцификаты, деформирующий артроз, остеопороз и остеолиз фаланг, подвывихи межфаланговых суставов. При углубленном исследовании у детей с синдромом Папийона-Лефевра выявляют снижение функции нейтрофилов, лимфоцитов или моноцитов. Общее состояние детей нарушается редко, только при осложнениях бактериальных инфекций.

Развитие и прорезывание зубов происходит в обычные сроки. Первые признаки воспаления десны появляются в период прорезывания временных зубов. Гингивит быстро переходит в пародонтит, образуются пародонтальные карманы с гнойными выделениями и грануляциями, абсцедированием, развивается деструкция паро-донта, обнажаются корни зубов, зубы становятся подвижными, изменяют свое положение, выпадают. На рентгенограмме определяются лакунарные и воронкообразные очаги деструкции костной ткани челюстей (рис. 31-17).

pic 0218
Рис. 31-17. Ортопантомограмма при синдроме Папийона-Лефевра.

После потери временных зубов воспалительный процесс останавливается, деструкция альвеолярной кости прекращается, десна выглядит здоровой. При прорезывании постоянных зубов патологический процесс возобновляется и приводит к их потере. Лишь иногда третьи моляры остаются непораженными. Разрушение костной ткани полностью прекращается после выпадения всех постоянных зубов.

Пародонтолиз при метаболических нарушениях. Акаталазия (акаталаземия, болезнь Такахары) - недостаточность или полное отсутствие фермента каталазы в крови и тканях; редкое наследственное аутосомно-рецессивное заболевание, встречается у детей от близкородственных браков. Каталаза - фермент, разрушающий перекись водорода, которая образуется в тканях в процессе межуточного обмена. Недостаток каталазы в эритроцитах крови способствует нарушению липидного обмена в организме. Накопление перекиси водорода разрушает ткани, что благоприятно для развития анаэробной микрофлоры. Заболевание проявляется в раннем детском возрасте, прогрессирует и обостряется в период полового созревания, характеризуется язвенно-некротическими процессами в полости рта. Поражение десны чаще генерализованное, гингивит быстро переходит в пародонтит, образуются глубокие пародонтальные карманы, зубы расшатываются и выпадают. Даже после выпадения зубов процесс не останавливается, возможен очаговый некроз слизистой оболочки и челюстей.

Γипофосфатазия - наследственное обменное заболевание с аутосомно-рецессивным и аутосомно-доминантным типом наследования, которое встречается с частотой 1 случай на 100 тыс. новорожденных. Заболевание вызвано снижением активности тканевой неспецифической щелочной фосфатазы, которая гидроли-зирует фосфаты и обеспечивает участие неорганического фосфора в образовании кристаллов гидроксиапатита, необходимых для минерализации костей, эмали, дентина и цемента зубов.

При развитии болезни в первые месяцы жизни ребенка (перинатальная и младенческая формы гипофосфатазии) прогноз жизни неблагоприятный. В более позднем возрасте (детская или взрослая форма гипофосфатазии) прогноз благоприятный, заболевание проявляется нарушениями формирования костной ткани с последующей деформацией и переломами костей. Дети поздно начинают ходить и ходят вперевалку, они низкорослые, характерны долихоцефалия, искривленные конечности, увеличенные суставы, рахитические четки, частые боли в костях, предрасположенность к инфекции. Нередко в анамнезе есть данные об имевшихся ранее переломах костей.

Часто встречается поражение кости челюстей. Из-за недостаточного цементогенеза (гипоплазия или аплазия) нарушается периодонтальное прикрепление и фиксация зубов, зубы расшатываются и выпадают вскоре после прорезывания. Воспалительный процесс при этом заболевании вторичен. Первой поражается группа резцов, процесс генерализуется по мере прорезывания других зубов. После выпадения временных зубов вскоре, часто в неправильном положении, прорезываются постоянные зубы, которые также быстро расшатываются и выпадают. Иногда развивается многофокусный остеомиелит. У взрослых возникают остеомаляция костей и компрессионные переломы.

Гистологическое исследование выявляет уменьшение цемента и расширение полостей зубов (более всего изменены резцы), дистрофические изменения костной ткани, нарушение обызвествления хрящей и белковых матриц. Рентгенологически обнаруживают недостаточную оссификацию костей и рахитоподобные изменения, степень которых варьирует у разных пациентов и в различных костях скелета одного пациента. Корни временных зубов не резорбируются, преобладает горизонтально направленная убыль альвеолярной кости. В сыворотке крови выявляют снижение концентрации щелочной фосфатазы, в моче - фосфоэтаноламин.

При одонтогипофосфатазии поражаются только кости челюстей, главный симптом - преждевременная потеря зубов.

Гипофосфатемический витамин D-резистентный рахит (фосфат-диабет) - наследственное заболевание; тип наследования аутосомно-доминантный, сцеплен с Х-хромосомой. Болезнь проявляется после 6 мес на первом или втором году жизни.

Характерны следующие клинические и лабораторные признаки:

  • снижение уровня фосфора в сыворотке крови вследствие пониженной почечной реабсорбции неорганических фосфатов;

  • фосфатурия;

  • нормальное содержание кальция в крови;

  • увеличение содержания щелочной фосфатазы в крови;

  • повышение функции паращитовидных желез;

  • рахитоподобные изменения костной ткани;

  • прогрессирующая деформация конечностей - дугообразно искривленные ноги, деформация коленных и голеностопных суставов;

  • отсутствие чувствительности к терапии витамином D;

  • мышечная гипотония;

  • низкий рост.

На рентгенограммах выявляют рахитоподобные изменения трубчатых костей, грубоволокнистость губчатой кости. Зубы имеют увеличенные полости, рога пульпы выступают и сообщаются с ротовой полостью, что приводит к развитию пульпита, некрозу пульпы и формированию периапикальной патологии. Строение дентина глобулярное, с участками гипокальцификации, дефектами дентинных трубочек, щелевидными пространствами, доходящими до эмалево-дентинного соединения. Формирование цемента нарушено. Воспалительные изменения пародонта вторичны и возникают вследствие деструктивных форм периодонтита, приводящих к образованию десневых свищей и абсцессов с последующим удалением зубов.

Сахарный диабет - широко распространенное (болеет 5-7% населения) заболевание, проявляющееся метаболическими нарушениями вследствие уменьшения продукции и/или активности инсулина либо возникновения резистентности к инсулину. Чаще всего дети заболевают в возрасте 3-5 и 11-12 лет. Заболевание характеризуется гипергликемией и диагностируется по уровню глюкозы в крови (более 7 ммоль/л). Диабет 1-го типа возникает вследствие деструкции β-клеток островков Лангерганса поджелудочной железы иммунного, аутоиммунного или неясного генеза, что приводит к абсолютному дефициту инсулина. При диабете 1-го типа развивается резистентность к инсулину на фоне незначительной или выраженной недостаточности его продукции.

У детей и подростков чаще встречается диабет 1-го типа, который возникает внезапно и сопровождается кетоацидозом на фоне повышения уровня глюкозы в крови. При кетоацидозе появляется запах ацетона в выдыхаемом воздухе. Клинические проявления диабета - жажда, полиурия, повышение или снижение аппетита, слабость, повышенная утомляемость, жжение, зуд и сухость кожи и слизистых оболочек, гиперемия слизистой оболочки полости рта, а также симптомы нейродермита, фурункулеза, кандидоза, гингивита и пародонтита.

Сахарный диабет 2-го типа развивается постепенно, характеризуется ожирением и гипертензией, пародонтальными нарушениями. В последние годы заболеваемость детей диабетом 2-го типа увеличилась. Существуют и другие, специфические, нередко генетически и медикаментозно обусловленные формы сахарного диабета.

При диабете происходит нарушение не только углеводного, но белкового и липидного обмена. Диабетические осложнения связаны с действием конечных продуктов гликирования, которые образуются в различных органах и тканях при длительной гипергликемии и вызывают макро- и микрососудистые нарушения, утолщение базальной мембраны концевых отделов сосудистого русла, снижают функциональную активность нейтрофилов. Поражения сосудов глаз приводят к слепоте, почек - к почечной недостаточности. Сосудистые изменения в тканях пародонта вызывают повышение проницаемости капилляров, нарушение трофики, коллагеногенеза и остеогенеза, прогрессирующую деструкцию неминерализованных и минерализованных структур, повышение восприимчивости к инфекции. Увеличение концентрации глюкозы в тканевой, десневой и ротовой жидкости, ацидоз способствуют росту пародонтопатогенной микрофлоры.

Симптомы поражения пародонта могут быть первыми признаками диабета у детей:

  • цианоз, отек, рыхлость, кровоточивость и жжение в десне;

  • быстрое накопление зубного налета, наддесневого и поддесневого зубного камня;

  • подвижность и изменение положения зубов (смещение косметического центра, изменение величины межзубных промежутков);

  • рецессия десны;

  • быстрое разрушение зубодесневого прикрепления;

  • образование десневых и костных карманов с грануляциями, гнойным и геморрагическим экссудатом;

  • появление вторичной дизокклюзии;

  • склонность к гиперплазии десневого края и абсцедированию.

На рентгенограмме определяется вертикальное кратерообразное, лакунарное разрушение альвеолярной кости. Убыль костной ткани достигает значительных размеров, вплоть до полного разрушения межальвеолярных перегородок. Продолжающаяся резорбция межальвеолярных перегородок у детей, страдающих сахарным диабетом, - признак неправильного общего лечения или несоблюдения пациентом рекомендаций врача-эндокринолога.

Ребенок с симптомами диабета должен быть обязательно направлен к педиатру-эндокринологу для обследования и лечения основного заболевания. Следует помнить, что на ранних стадиях заболевания у детей содержание сахара в крови бывает нормальным или даже пониженным, и только исследование толерантности к глюкозе (сахарная кривая после углеводной нагрузки) может помочь в диагностике диабета.

Дефицит аскорбиновой кислоты наблюдается, как правило, у детей, живущих в изоляции и крайней бедности, получающих недостаточное питание, при голодании. Если дефицит аскорбиновой кислоты в организме ребенка длится 4-6 мес, развивается цинга (болезнь Меллера-Барлоу, скорбут). Аскорбиновая кислота участвует в процессах внутриклеточного окисления, всасывания железа в кишечнике, формирования коллагена и других метаболических процессах, поэтому при ее дефиците нарушается развитие дентина, костной и соединительной ткани.

Первые симптомы - вялость, быстрая утомляемость, слабость, апатичность, сердцебиение, боли в костях, экхимозы на слизистой полости рта и коже, особенно нижних конечностей, анемия. Типично поражение пародонта: болезненность, отек и синюшность, рыхлость и выраженная кровоточивость десны, деструкция периодонтального прикрепления и альвеолярной кости, расшатывание и выпадение зубов. В беззубых участках изменения десен не наблюдается. В тяжелых случаях развивается язвенно-некротический гингивит, стоматит, появляется гнилостный запах изо рта, слюнотечение. Заживление происходит медленно. Иногда гипертрофия и кровоточивость десны - единственные симптомы недостаточности аскорбиновой кислоты. Заболевание диагностируется по результатам определения уровня аскорбиновой кислоты в крови.

Другие причины кровоточивости десен

  • Тромбоцитопении сопровождаются кровоточивостью десны, выраженной в различной степени. Идиопатическая тромбоцитопеническая пурпура (болезнь Верльгофа, первичная тромбоцитопения) протекает остро или хронически, чаще болеют дети ясельного и школьного возраста, преимущественно девочки. Проявляется в виде экхимозов, петехий и геморрагий на коже и слизистых оболочках, бывает причиной геморрагического синдрома. Общее состояние детей не нарушено. Кровоточивость и гиперплазия десны могут быть единственными симптомами заболевания (рис. 31-18). Причина кровотечений - уменьшение количества тромбоцитов, реже - нарушение их функции.

pic 0219
Рис. 31-18. Гингивит при тромбоцитопении.

Вторичные тромбоцитопении развиваются при многих заболеваниях: гемобластозы, апластическая анемия, системная красная волчанка, геморрагический васкулит, инфекционные заболевания, иммунодефициты и др. При этом выражены симптомы основного заболевания, которое нередко вызывает тяжелое общее состояние детей. Кровоточивость десны - сопутствующий симптом. Выраженность геморрагий не соответствует общему состоянию детей.

  • Синдром Элерса-Данло имеет различные проявления, наиболее типичные - легкое образование синяков, кровоточивость слизистых, чрезмерная подвижность суставов, повышенная эластичность кожи.

  • Гемофилия сопровождается легко возникающими кровоподтеками, гематомами, длительной кровоточивостью при малейшем повреждении тканей, кровоизлияниями в суставы, мышцы и др. В тяжелых случаях кровотечение представляет угрозу жизни ребенка.

  • Наследственная геморрагическая телеангиэктазия (болезнь Рандю-Вебера-Ослера) проявляется образованием сосудистых звездочек («паучков») на десне, губах, нёбе, коже лица, ушей, рук и ног, под ногтями, которые белеют при надавливании и могут спонтанно кровоточить.

  • Лейкемия (лейкоз) (миелобластная и лимфобластная формы) возникает при нарушении образования клеток белой крови в костном мозге и характеризуется пролиферацией незрелых или функционально неполноценных клеток и их накоплением в периферической крови. Первые симптомы могут появиться в полости рта:

    • петехии и кровоизлияния на слизистой оболочке;

    • исчезновение зернистости, отечность, рыхлость, синюшность и кровоточивость десны;

    • диффузная гиперплазия тканей пародонта;

    • язвенно-некротический гингивит, распространяющийся на другие участки по типу «ползучих» эрозий;

    • кровоточивость может возникать на фоне бледной десны. Врача должно насторожить несоответствие характера кровотечения и тяжести травмы. Почти всегда обнаруживается гиперплазия лимфоидных образований глоточного кольца, увеличение поднижнечелюстных и шейных лимфоузлов, которые безболезненны и не спаяны с кожей. При остром лейкозе у детей выражены общие симптомы:

    • слабость;

    • лихорадка;

    • кровотечения;

    • тахикардия;

    • боли в животе, суставах и костях;

    • головная боль;

    • тошнота, рвота, диарея.
      Хронический лейкоз развивается постепенно:

    • ребенок теряет аппетит, часто болеет;

    • нарастает бледность и утомляемость;

    • снижается масса тела;

    • появляются головокружение, субфебрилитет, ознобы и ночные поты;

    • увеличиваются миндалины, лимфатические узлы, печень и селезенка;

    • у девушек отмечаются длительные менструации.

  • Дефицит витамина К проявляется кровоточивостью десны и кровоизлияниями на коже и слизистых. Возможны также гематурия, желудочно-кишечные кровотечения, мелена, внутричерепные кровоизлияния с неврологическими симптомами.

  • Прием лекарственных препаратов: варфарин и гепарин натрия могут вызывать нарушение свертываемости крови и десневые кровотечения; злоупотребление ацетилсалициловой кислотой или НПВС может повреждать тромбоциты и вызывать кровоточивость десны.

  • Самолечение зубной боли путем размещения таблеток ацетилсалициловой кислоты на слизистой оболочке вызывает ожог и локализованную кровоточивость десны.

Многие соматические заболевания наследственного, врожденного и приобретенного характера, так же как лекарственные средства, применяемые для их лечения, могут усугублять течение патологического процесса в пародонте или создавать условия для поражения пародонта. Патология пародонта распространена среди детей с заболеваниями щитовидной железы (тиреотоксикоз, гипотиреоз, аутоиммунный тиреоидит Хасимото и др.), паращитовидной железы (гиперпаратиреоз), печени и ЖКТ, при гиперкортицизме (синдром и болезнь Иценко-Кушинга), ювенильном остеопорозе, половых дисфункциях, коллагенозах (особенно при склеродермии), мочекаменной болезни, синдроме Дауна, длительном применении глюкокортикоидов, цитостатиков, иммунодепрессантов.

Синдром Дауна (синдром трисомии 21) - врожденное заболевание, обусловленное увеличением количества хромосом (47). Характеризуется нарушениями психического и физического развития детей разной степени выраженности: олигофрения, низкорослость, монголоидный тип лица, короткие пальцы, мышечная гипотония, нарушения моторики и речи и др. Часто встречаются недостаточность щитовидной и других эндокринных желез, сердечно-сосудистые аномалии, иммунно-гематологические нарушения.

При осмотре полости рта выявляется макроглоссия и складчатость языка, расщелины губ и нёба, недоразвитие верхней челюсти. Характерны гиподонтия, задержка прорезывания временных и постоянных зубов, микродонтия и гипоплазия зубов, низкий уровень пораженности кариесом, ЗЧА и деформации. Гипотония круговой мышцы рта способствует несмыканию губ, слюнотечению, появлению заед, ротовому дыханию и респираторным инфекциям, развитию ксеростомии и хронического пародонтита. Распространенность заболеваний пародонта у детей с синдромом Дауна достигает 90%, генерализованный гингивит развивается в возрасте 6-15 лет. Часто возникает острый или подострый некротический гингивит, прогрессирующий пародонтит: формируются пародонтальные карманы, развивается рецессия десны, подвижность зубов, в альвеолярной кости сочетаются вертикальный и горизонтальный типы деструкции. Наблюдается преждевременная потеря зубов, особенно часто - нижних передних.

Пародонтомы

Пародонтомы - опухоли и опухолеподобные заболевания тканей пародонта: фиброма, фиброматоз десен, липома, эпулис.

Фиброма - опухоль из зрелых элементов соединительной ткани, кровеносных и лимфатических сосудов, может быть одиночной или симметричной. Чаще образуется на оральной поверхности десен, развивается медленно, имеет плотную консистенцию, четкие контуры, не спаяна с подлежащими тканями, подвижна. При травмировании фибромы зубами возможно возникновение кровоточивости, воспаления, изъязвления.

Фиброматоз десны характеризуется прогрессирующей диффузной или ограниченной гипертрофией десневых сосочков, десневого края и альвеолярной десны (рис. 31-19). Фиброматоз десны может выступать как самостоятельное заболевание неясной этиологии или как симптом наследственной аутосомно-доминантной патологии, для которой характерен семейный анамнез фиброматоза. Фиброзные разрастания различного характера (дольчатые, сосочковые и др.) более выражены с вестибулярной стороны десны, бледно-розовые, плотные, безболезненные, не кровоточат, устойчивы к травме. Гиперплазированная десна покрывает большую часть коронок зубов, что затрудняет прием пищи, речь, гигиенический уход за зубами, нарушает эстетику улыбки, может быть причиной формирования комплекса неполноценности и социальной изоляции подростков. При ограниченном процессе поражен пародонт отдельных зубов, при генерализованном - вовлекается пародонт всех зубов верхней и нижней челюсти, фиброзная ткань разрастается и постепенно замещает разрушающийся альвеолярный отросток. Возникновение процесса около временных зубов приводит к изменению положения зачатков постоянных зубов. Прогноз заболевания не всегда благоприятный, после лечения возможны рецидивы и малигнизация.

pic 0220
Рис. 31-19. Фиброматоз десен.

Липома - доброкачественная опухоль из подслизистой жировой ткани, на десне встречается редко. Характерен медленный рост. Опухоль мягкая, плотно спаяна с десной.

Эпулис - доброкачественная опухоль, возникающая в местах хронического раздражения десны (нависающая пломба, край разрушенного зуба, зубной камень, ортодонтический аппарат или протез, ЗЧА). Опухоль развивается только рядом с зубами, чаще резцами и премолярами, поэтому условно отнесена к ряду одонто-генных. Встречается у детей в период прорезывания зубов, полового созревания, а также у девушек при использовании гормональных контрацептивов, при беременности. Выделяют фиброзный, ангиоматозный и гигантоклеточный эпулис.

  • Фиброзный эпулис - ограниченное разрастание десны бледно-розового цвета, округлой, грибовидной или неправильной формы, на широком основании или на узкой ножке. Оно имеет плотноэластическую консистенцию, гладкую или бугристую поверхность, безболезненное, не кровоточит, характеризуется медленным ростом. Чаще образование прилежит к зубам с вестибулярной стороны, но может распространяться через межзубный промежуток на оральную сторону, прорастать периодонт. Микроскопически опухоль представляет собой разрастание фиброзной ткани, в которой встречаются отдельные костные перекладины.

  • Ангиоматозный эпулис - опухоль синюшно-багрового цвета, мягкой консистенции, состоит из большого количества тонкостенных кровеносных сосудов с полостями и тучных клеток на фоне созревающей фиброзной ткани, быстро растет и легко кровоточит при травмировании. Образование обычно располагается у шейки зуба, его повехность мелкобугристая, реже - гладкая. В начальной стадии болезни кость не изменена, по мере прорастания опухоли появляются очаги остеопороза и деструкции в альвеолярном отростке, разрушаются межзубные перегородки, развивается патологическая подвижность зубов.

  • Гигантоклеточный эпулис (периферическая гигантоклеточная гранулема, периферическая остеобластокластома челюсти) - безболезненное синюшно-багровое образование мягкой или упруго-эластической консистенции, округлой или овальной формы, с бугристой поверхностью (могут быть видны вдавления от зубов-антагонистов). Заболевание чаще поражает альвеолярную кость, вызывая деструкцию альвеол, резорбцию корней, смещение и подвижность зубов. Опухоль растет медленно, легко травмируется, кровоточит, эрозируется и изъязвляется. Микроскопически определяется большое количество многоядерных гигантских клеток, гранулы гемосидерина, васкуляризация соединительнотканной стромы.

Диагноз устанавливают на основании клинической картины и результатов морфологического исследования.

ДИАГНОСТИКА

Алгоритм обследования детей с заболеваниями пародонта

  • Опрос родителей и ребенка: жалобы, анамнез жизни и заболевания.

  • Стоматологическое обследование: оценка общего состояния и состояния челюстно-лицевой области ребенка.

  • Оценка состояния тканей пародонта (основные и дополнительные методы исследования).

  • Выявление местных факторов, способствующих развитию заболеваний пародонта.

  • Выявление общих причин заболеваний пародонта (направление на консультации и дополнительные обследования).

Анамнез

Опрос ребенка и сопровождающих его взрослых начинается с выяснения жалоб. Дети обычно ни на что не жалуются, поэтому следует задавать конкретные вопросы о кровоточивости десны (при чистке зубов, употреблении жесткой пищи, беспричинно), болевых ощущениях (в покое, во время приема пищи и чистки зубов), запахе изо рта, гноетечении, сухости в полости рта и др.

При сборе анамнеза жизни учитывают особенности развития ребенка, перенесенные и сопутствующие заболевания различных органов и систем, использование медикаментов, течение препубертатного и пубертатного периода (у девушек - дату менархе, характеристику цикла, применение оральных контрацептивов), наследственный фактор заболеваний пародонта. Следует обратить внимание на наличие вредных привычек, сроки смены зубов, характер дыхания и жевания, выяснить навыки гигиены полости рта.

При сборе анамнеза заболевания определяют:

  • когда появились первые признаки болезни (как давно болен ребенок);

  • как протекало заболевание, были ли улучшения и ухудшения состояния (динамика заболевания: длительность ремиссий, частота обострений);

  • чем и как лечились самостоятельно, какие изменения происходили в процессе лечения (характер и результаты лечения);

  • обращались ли ранее к врачу, какие обследования проводились, их результат;

  • какое лечение назначал врач, выполнялись ли рекомендации, результаты лечения.

Объективное исследование

Обследование начинают с оценки общего состояния. Особое внимание обращают на признаки, которые могут иметь отношение к заболеваниям пародонта:

  • нарушение соответствия физического развития возрасту ребенка (эндокринные нарушения, изменяющие физическое развитие, способствуют возникновению болезней пародонта);

  • лихорадка, ухудшение общего самочувствия (появляются при идиопатических заболеваниях пародонта, язвенном гингивите, абсцедирующем пародонтите);

  • изменение состояния кожных покровов и слизистых оболочек (кератоз ладоней и подошв характерен для синдрома Папийона-Лефевра; дермомукозиты объясняют наличие десквамативного гингивита);

  • нарушения осанки и положения головы (ведут к развитию ЗЧА).

Обследование челюстно-лицевой области ребенка проводят по стандартному плану, обращая внимание на признаки, которые могут иметь отношение к заболеваниям пародонта:

  • увеличение регионарных лимфоузлов (при гистиоцитозах, язвенных гингивитах, абсцедирующем пародонтите и др.);

  • нарушение функций челюстно-лицевой области;

  • наличие парафункций жевательных, мимических мышц и мышц языка, приводящих к развитию ЗЧА, которые способствуют возникновению патологии пародонта.

Осмотр полости рта состоит из оценки состояния тканей пародонта и выявления местных причинных факторов заболевания. Основные методы обследования (осмотр, пальпация, инструментальное обследование с помощью зеркала и пуговчатого градуированного зонда) тканей пародонта позволяют определить признаки заболеваний пародонта:

  • изменение цвета десны (при острых воспалительных процессах - гиперемия, при хронических - синюшный оттенок);

  • изменение размера и формы десневых сосочков (потеря фестончатости десневого края, гипертрофия, атрофия, деформация);

  • изменение поверхности десны (исчезновение симптома «лимонной корочки», гладкость, блестящая поверхность, изъязвления, участки некроза);

  • изменение консистенции тканей (отек, спазм сосудов, рыхлость, инфильтрация, повышенная плотность);

  • кровоточивость десны (индекс H.P. Mühlemann, S. Son);

  • рецессия десны, обнажение шеек и корней зубов (степень потери эпителиального прикрепления, измеряется в милиметрах); степень рецессии десны можно оценить по клинической классификации P.D. Miller (1985):

    • I - рецессия в пределах свободного края десны, возможна ее полная ликвидация;

    • II - рецессия захватывает прикрепленную десну, но не затрагивает интерапроксимальные поверхности корня, можно рассчитывать на ее полное устранение;

    • III - рецессия захватывает интерапроксимальные поверхности, полное устранение сомнительно;

    • IV - рецессия на всех поверхностях зуба, разрушена кость, устранить хирургическими методами невозможно;

  • нарушение зубодесневого прикрепления, образование зубодесневого кармана (глубина кармана в милиметрах, содержимое) - определяется с четырех сторон зуба с помощью пародонтального зонда или электронного калиброванного зонда (например, системы Florida-Probe, Interprobe); в зависимости от уровня расположения дна кармана по отношению к межзубной перегородке карман может быть супраоссальным и интраоссальным; а по отношению костного кармана к зубу различают одно-, двух-, трех-, четырехсторонние или циркулярные карманы;

  • поражение фуркаций зубов оценивают методом горизонтального зондирования (зонды с изогнутыми концами, зонды Nabers) по классификации Hamp:

    • I степень - участок фуркации до 3 мм;

    • II степень - участок фуркации более 3 мм, но зонд насквозь не проходит;

    • III степень - участок фуркации, полностью проходимый для зонда;

  • болезненность десны, выделение гноя при пальпации;

  • подвижность зубов (степень подвижности); более точно подвижность зубов можно определять с помощью аппарата Periotest;

  • изменение положения зубов (вторичные дизокклюзии);

  • клиновидные дефекты зубов;

  • гиперестезия эмали, дентина, цемента корня зуба.

Лабораторные и инструментальные исследования

С помощью дополнительных методов исследования выявляют различные признаки патологии пародонта.

  • При диагностике, определении результатов лечения и диспансеризации детей с заболеваниями пародонта обязательно следует проводить оценку состояния альвеолярной костной ткани челюстей (по данным панорамной и прицельной рентгенографии, визиографии, томографии) и выявлять изменения костной ткани челюстей:

    • остеопороз;

    • деструкцию альвеолярной кости и межзубных перегородок (оценивают степень и тип деструкции межзубных перегородок);

    • вовлечение в процесс других отделов челюстей;

    • склеротическую перестройку костной ткани;

    • наличие костных карманов и др.

  • Денситометрия, проводимая по данным ультразвуковых, рентгенологических исследований, позволяет провести количественную оценку минеральной плотности костной ткани.

  • Скрытое воспаление десны выявляют с помощью пробы Шиллера-Писарева.

  • О воспалительном процессе свидетельствует также повышение температуры десны и десневых карманов (в норме температура сосочков равна 31,6 °С).

  • Выявление в поддесневой микрофлоре пародонтопатогенных бактерий [бактериологические исследования, полимеразная цепная реакция (ПЦР), оценка ферментативной активности бактерий, ферментно-иммунные тесты и др.] позволяет оценить агрессивность патологического процесса, а определение чувствительности микрофлоры к антибиотикам - составить план лечения.

  • Изменение сосудистого русла тканей пародонта свидетельствует о воспалительном, атеросклеротическом процессе и определяется по данным реопародонтографии, капилляроскопии, биомикроскопии, ультразвуковой допплерографии.

  • Состояние иммунитета оценивают по содержанию иммуноглобулинов, Т- и В-лимфоцитов в слюне, десневой жидкости и сыворотке крови; о состоянии реактивности тканей пародонта свидетельствует проба М.А. Ясиновского (интенсивность миграции лейкоцитов в ротовую полость).

  • Местный иммунитет полости рта характеризует также реакция адсорбции микроорганизмов эпителиальными клетками:

    • если количество эпителиальных клеток, на поверхности которых адсорбировано более 25 кокков, составляет 70% и более - неспецифическая резистентность тканей пародонта хорошая;

    • если количество клеток 30-70% - неспецифическая резистентность удовлетворительная;

    • количество клеток менее 30% - неспецифическая резистентность низкая. Количество эпителиальных клеток подсчитывают в мазке со здорового участка слизистой оболочки десны, окрашенном по Романовскому.

  • Изучение количественного и качественного состава десневой жидкости, слюны помогает оценить содержание защитных факторов (лизоцим, лактопе-роксидаза и др.), степень воспалительной реакции и др.

  • Снижение парциального давления кислорода (норма - 37-42 мм рт.ст.) свидетельствует о гипоксии тканей пародонта и определяется методом полярографии.

  • Проба Роттера (языковая в модификации Яковца) проводится для определения насыщенности организма аскорбиновой кислотой: на высушенную слизистую оболочку спинки языка по средней линии наносят 1 каплю 0,06% раствора краски Тильманса. Исчезновение окрашенного пятна более чем за 16-20 с - признак дефицита аскорбиновой кислоты. Детям нежелательно проводить такие болезненные диагностические исследования, как:

  • бензидиновая проба для выявления скрытого гнойного отделяемого из паро-донтальных карманов;

  • пергидролевая проба для выявления воспалительной реакции в десне - при смазывании тампоном, смоченным пергидролем, воспаленная десна белеет из-за скопления мельчайших пузырьков кислорода (при отсутствии воспаления десна окраску не меняет);

  • формалиновая проба для выявления нарушения эпителиального прикрепления десны;

  • волдырная проба Мак-Клюра-Олдрича для выявления скрытой отечности тканей и др.

Степень тяжести заболеваний пародонта оценивают с помощью индексов: ПМА, СPI, PI и др.

  • ПМА - папиллярно-маргинально-альвеолярный индекс - позволяет оценить степень тяжести воспаления десны по данным пробы Шиллера-Писарева: при значении до 30% - легкая степень, 31-60% - средняя, 61% и более - тяжелая.

  • CPI - позволяет оценить уровень поражения пародонта у населения по данным визуально-инструментального обследования (с помощью пуговчатого зонда):

    • низкий уровень - распространенность кровоточивости десен 0-50% (0,0-0,5 секстантов на человека), распространенность зубного камня 0-20% (0,0-1,5 секстантов на человека);

    • средний уровень - распространенность кровоточивости десен 51-80% (0,6-1,5 секстанта на человека), распространенность зубного камня 21-50% (1,6-2,5 секстанта на человека);

    • высокий уровень - распространенность кровоточивости десен 81-100% (более 1,5 секстантов на человека), распространенность зубного камня 51-100% (более 2,5 секстантов на человека);

  • PI - пародонтальный индекс; позволяет оценить тяжесть поражения всех тканей пародонта по данным визуального, инструментального (пародонтальный зонд) и рентгенологического обследования: значения 0,1-0,2 балла соответствуют клинически здоровой десне; 0,2-1 балл соответствуют гингивиту; 1,1-2,0 - первой стадии пародонтита (пародонтит легкой степени тяжести); 2,1-4,0 - второй стадии заболевания (пародонтит средней степени тяжести); 4,1-8,0 - третьей стадии заболевания (тяжелый пародонтит).

Некоторые исследования позволяют предположить общую патологию организма. Например, экспресс-оценка насыщенности организма девушек половыми гормонами проводится по данным микроскопии высохшей капли слюны в динамике. В норме в начале менструального цикла кристаллизация слюны слабо выражена (глыбки и точки), по мере повышения продукции эстрогенов она усиливается, и в период овуляции кристаллы приобретают вид листа папоротника. Затем картина становится нечеткой, способность слюны к кристаллизации снижается.

В процессе осмотра полости рта ребенка выявляют местные факторы, способствующие развитию заболеваний пародонта:

  • мелкое преддверие полости рта (менее 5 мм);

  • короткие, мощные, прикрепленные в области десневого сосочка уздечки языка, губ и тяжи слизистой оболочки;

  • кариозные поражения зубов, дефекты пломб;

  • аномалии положения отдельных зубов, зубных рядов и прикуса, неравномерность окклюзионных контактов (выявляют с помощью копировальной бумаги, восковых пластинок и др.);

  • оценивают возможное травматическое воздействие ортодонтических аппаратов и ортопедических конструкций;

  • назубные отложения: мягкий налет, биопленка, зубной камень (важно определить гигиеническое состояние не только всех зубов, но и ортодонтических аппаратов и ортопедических конструкций, провести количественную оценку с помощью индексов гигиены).

Дифференциальная диагностика

Дифференциальная диагностика заболеваний пародонта проводится на основании данных анамнеза, клинико-лабораторных исследований и результатов специального обследования ребенка. Обязательно рентгенологическое подтверждение диагноза.

Диагноз «гингивит», катаральный, язвенный или гипертрофический, ставят на основании соответствующих изменений десны без образования зубодесневых карманов и патологических изменений костной ткани.

При пародонтите главный дифференциально-диагностический признак - разрушение зубодесневого прикрепления, образование патологического десневого или костного кармана, деструкция альвеолярной кости межзубных перегородок.

Диагноз «локализованный гингивит/пародонтит» ставят, если поражено менее 30% всех поверхностей зубов, «генерализованный гингивит/пародонтит» - если поражено более 30%.

Для подтверждения диагноза «пародонтолиз» различного генеза требуется углубленное обследование детей, которое проводят:

  • в случаях несоответствия тяжести патологии пародонта местному стоматологическому статусу;

  • при наличии симптомов общей патологии;

  • при отсутствии положительных результатов стандартного пародонтологического лечения.

Стоматолог должен учитывать, что сам пациент или его родители могут не знать о серьезных заболеваниях, если они не достигли тяжелой степени. Особенно часто это касается скрытых форм диабета и других эндокринопатий. Обследование пациента у педиатра, эндокринолога, гематолога, генетика, иммунолога и других специалистов помогут прояснить диагноз.

Показания для консультации других специалистов

На основании данных клинического обследования можно определить вид патологии (гингивит, пародонтит, пародонтоз, пародонтома), распространенность (локализованный, генерализованный), степень тяжести (легкая, средняя, тяжелая) и некоторые причины заболевания.

При несоответствии тяжести заболевания пародонта и состояния полости рта ребенка (отсутствуют местные причинные факторы), при подозрении на наличие общих причинных факторов или идиопатических заболеваний пародонта, а также для уточнения диагноза ребенка направляют на дополнительные обследования:

  • биопсию (цитологическое исследование);

  • общие анализы крови и мочи;

  • толерантность к глюкозе (сахарная кривая);

  • содержание различных гормонов (эстрогены, прогестерон и др.);

  • рентгенографию плоских костей скелета;

  • печеночные пробы и т.п.

По показаниям направляют детей на консультации генетика, эндокринолога, детского гинеколога, гематолога и других специалистов.

Следует помнить, что общие заболевания нарушают иммунитет, способствуют возникновению и ухудшению течения заболеваний пародонта. С другой стороны, патология пародонта может быть первым признаком общих заболеваний ребенка.

ЛЕЧЕНИЕ

Лечение должно быть комплексным и включать этиотропную, патогенетическую, симптоматическую, саногенетическую и восстановительную терапию, направленную на очаг в пародонте и организм больного в целом.

В комплексном лечении ребенка участвуют врачи-специалисты различного профиля.

  • Детский стоматолог (пародонтологическое лечение, санация полости рта).

  • Ортодонт (устранение окклюзионных нарушений и ЗЧА, шинирование, протезирование).

  • Хирург-стоматолог (коррекция аномалий мягких тканей полости рта, оперативные вмешательства на тканях пародонта).

  • Стоматологический гигиенист (профессиональная гигиена, обучение и контроль гигиенического состояния полости рта).

  • Физиотерапевт (физиотерапия).

  • Педиатр, гематолог, эндокринолог и др. (общее лечение).

Принципы лечения заболеваний пародонта у детей

  • Строгая индивидуализация комплексной терапии с учетом вида, тяжести и особенностей клинического течения заболевания, а также общего состояния больного.

  • Обоснованный выбор методов и средств воздействия на очаг в пародонте и организм больного в целом.

  • Соблюдение последовательности применения различных методов и средств комплексной терапии.

  • Проведение повторных курсов лечения с целью профилактики обострения хронического процесса.

  • Организация диспансеризации.

Этиотропная терапия

  • Устранение или снижение патогенности микробной биопленки (бляшка, налет) и контроль ее образования: обучение гигиене полости рта, контролируемые чистки зубов, профессиональная гигиена полости рта, мотивация детей и родителей к комплексному лечению заболеваний пародонта.

  • Удаление минерализованных отложений (зубной камень) и полирование поверхностей корней зубов.

  • Пломбирование кариозных полостей с восстановлением контактных пунктов, полирование пломб (снижение ретенции бляшки).

  • Выравнивание окклюзионной поверхности путем избирательного пришлифовывания зубов для устранения окклюзионной травмы, супраконтактов.

  • Коррекция используемых ортодонтических и ортопедических конструкций для устранения функциональной перегрузки отдельных групп зубов.

  • Устранение вредных привычек, ЗЧА и деформаций.

  • Направление к специалистам для санации соматогенных очагов хронической инфекции, лечения общих заболеваний для устранения или уменьшения их патогенного воздействия на ткани пародонта.

Патогенетическая терапия

  • Воздействие на сосуды микроциркуляторного русла, улучшение обменных процессов.

  • Ингибирование лизосомальных ферментов - протеаз, гидролаз, кининовой системы и др.

  • Снижение активности биологически активных веществ (гистамин, серотонин, простагландины Е, F2 и др.).

  • Уменьшение экссудации, отека, нормализация сосудисто-тканевой проницаемости.

  • Воздействие на патологический процесс в костной ткани альвеолярного отростка для стимуляции репаративного остеогенеза.

  • Реминерализующая терапия для профилактики образования пришеечных кариозных полостей (исключение дополнительной травмы тканей пародонта).

Симптоматическая терапия

  • Устранение зуда и боли в десне.

  • Устранение кровоточивости десны.

  • Устранение гноетечения из пародонтальных карманов.

  • Уменьшение глубины или устранение пародонтальных карманов.

  • Укрепление расшатанных зубов.

  • Нормализация положения зубов в зубном ряду.

  • Устранение дефектов зубных рядов.

  • Нормализация эстетики.

  • Устранение неприятного запаха изо рта.

Саногенетическая терапия включает средства, усиливающие защитно-приспособительные реакции организма больного и стимулирующие регенерацию.

  • Общеукрепляющее лечение (витамины и др.).

  • Стимуляция коллагенообразования и остеогенеза.

  • Повышение защитно-приспособительной реактивности организма.

  • Специфическая и неспецифическая гипосенсибилизация.

  • Иммунокорригирующая терапия.

Восстановительная терапия

  • Организация режима питания: сбалансированное, рациональное питание. При включении в пищевой рацион учитывается способность пищи очищать зубы и усиливать функциональную нагрузку на челюсти (грубая, жесткая пища).

  • Адекватная гигиена полости рта.

  • Организация режима учебы, труда и отдыха.

  • Поддержание здорового образа жизни (закаливание организма, устранение и профилактика формирования вредных привычек - алкоголь, наркотики, курение), уменьшение влияния на организм неблагоприятных экологических факторов.

Лечение катарального гингивита

Лечение катарального гингивита, как и любого заболевания тканей пародонта, начинают с подбора средств гигиены полости рта, обучения пациента правильной индивидуальной гигиене полости рта и проведения контролируемой чистки зубов.

Детям и подросткам рекомендуют пользоваться зубной щеткой средней степени жесткости, обучают навыкам использования флоссов, межзубных ершиков, суперфлоссов, особенно, если параллельно проводится ортодонтическое лечение.

Желательно применение орального центра, который состоит из электрической зубной щетки и ротового ирригатора (системы Teledyne Water Pik и Oral-B) и позволяет в домашних условиях орошать десну растворами антисептиков и производить гидромассаж десны для улучшения микроциркуляции.

Рекомендуют в течение 2-4 нед использовать зубные пасты, содержащие антибактериальные агенты (хлоргексидин и др.). Длительное применение антибактериальных зубных паст может изменить микробный состав полости рта и ЖКТ в целом, вызвать дисбактериоз. Чтобы избежать этого, между курсами поддерживающей терапии необходимо пользоваться пастами, содержащими экстракты лекарственных растений.

Рекомендуют нанесение и втирание в десну (2-3 раза в день на 15-20 мин в течение 2-3 нед) специальных гелей с противовоспалительным, антибактериальным и дезодорирующим действием, например:

  • метрогил дента , содержащий метронидазол (антипротозойное и антибактериальное действие против анаэробных простейших и анаэробных бактерий, вызывающих развитие гингивита) и хлоргексидин (бактерицидное действие на широкий круг вегетативных форм грамотрицательных и грамположительных микроорганизмов, дрожжеподобные грибки, дерматофиты и липофиль-ные вирусы);

  • бальзам для десны «Асепта» адгезивный (хлоргексидин, метронидазол, масло мяты эфирное, ментол) закрепляется на десне и оказывает лечебное действие в течение 30 мин и более.

Рекомендуют использование официнальных ополаскивателей и спреев для полости рта, содержащих антисептики (хлоргексидин, триклозан и др.), например, «Eludril», «Biotene», «Lacalut-sprey», «Lysoplac», «Parodontax», «Listerin», «Белсол № 2», «Белсол № 3», «Пихтовый бальзам» и др. Рекомендуется полоскать рот после чистки зубов в течение минуты 0,05% раствором хлоргексидина 4-6 раз в день, 0,12-0,2% раствором - 2 раза в день. На одно плоскание достаточно 10 мл ополаскивателя. При этом тонкая пленка препарата сохраняется на зубах и слизистой оболочке 12 ч, оказывая бактерицидное действие и приостанавливая образование налета на зубах. Общий курс не должен превышать 7-10 дней, так как при длительном применении хлоргексидина возможно появление пигментированного налета на зубах, извращение вкусовой чувствительности (дисгевзия), развитие дис-бактериоза. Для полосканий полости рта также рекомендуют 0,01% раствор мира-мистина , 0,5-1% раствор пероксида водорода (перекиси водорода ), 1% водный раствор галаскорбина. Из растительных препаратов можно применять отвары шалфея, ромашки, календулы, экстракт цветков ромашки аптечной (ромазулан ), стоматофит и др., обладающие противовоспалительным, противоотечным и де зодорирующим действием.

Контролируемую чистку зубов проводят с использованием жидких индикаторов зубного налета Колор-тест, Plaviso, таблеток Dent, Динал и др. Важно научить детей и родителей контролировать гигиену полости рта в домашних условиях, убедить в том, что от качества ухода за полостью рта зависит успех лечения.

При остром катаральном воспалении, обострении хронического гингивита устраняют травмирующие факторы, удаляют зубные отложения, проводят временное закрытие кариозных полостей и активное противовоспалительное и антибактериальное лечение.

После устранения острого воспалительного процесса при хроническом катаральном гингивите проводится тщательная профессиональная гигиена полости рта ребенка.

Перед удалением зубных отложений орошают полость рта растворами антисептиков (10% раствор повидон-йода, 0,12% раствор хлоргексидина, раствор метро-нидазола, 10% водный раствор прополиса и др.) или настоями лекарственных трав (ромашка, шалфей, календула и др.), при необходимости используют местное аппликационное или инъекционное обезболивание.

Плотный зубной налет удаляют с помощью вращающихся щеточек, резиновых чашечек и пасты (Проксит, Детартрин, Полиш и др.), ультрадисперсного порошково-струйного воздействия (Air-Flow, Cavi-Jet). Но порошково-струйный метод можно использовать только у детей старшего возраста без заболеваний дыхательных путей и признаков деминерализации зубов при полном созревании зубной эмали.

Зубной камень снимают механически с помощью наборов ручных инструментов или аппаратов (пневмоскейлеры, ультразвуковые скейлеры). Перед удалением зубного камня можно применять аппликации химических препаратов для его размягчения (например, паста Полидент № 1, скалинг-гель и др.). Пневмоскейлеры используют для удаления наддесневых зубных отложений средней и слабой степени минерализации, ультразвуковые (магнитостриктивные, пьезоэлектрические) - для удаления наддесневых и поддесневых отложений любой плотности (например, Cavitron select, Piezon master, Vector, Suprasson и др.). Для удаления зубного камня из глубоких карманов используют микроультразвуковые насадки диаметром до 0,5 мм. Следует помнить, что ультразвуковые методы удаления зубных отложений противопоказаны детям с временными зубами, постоянными зубами с незавершенной минерализацией или признаками деминерализации, у больных с кардиостимуляторами, инфекционными заболеваниями (включая острые респираторные заболевания и вирусные инфекции), нарушениями иммунитета, болезнями дыхательной системы, нарушениями глотания. При наличии имплантатов и реставраций из фарфора, золота, амальгамы и композитов следует использовать специальные насадки. Ультразвуковые скейлеры генерируют тепло (пьезоэлектрические в меньшей степени), поэтому в процессе работы необходимо использовать воду для охлаждения тканей. Эффективно сочетать снятие отложений с орошением растворами хлоргексидина, йода, фтора, соды. Во время снятия зубных отложений следует соблюдать меры личной безопасности: использовать щитки, маски, защитные очки, перчатки и др. Пациентам с высоким риском инфекционного эндокардита (пороки сердца, пролапс митрального клапана, оперативные вмешательства) перед процедурой профессиональной гигиены полости рта следует, по согласованию с педиатром, проводить превентивную антибиотикотерапию.

После снятия зубного камня полируют шейки зубов, доступные участки корней зубов и пломб, процедуру завершают реминерализующей терапией и флюоризацией. Только строжайший контроль гигиенического состояния полости рта на всех этапах пародонтологического лечения поможет добиться хороших результатов.

По показаниям проводится санация полости рта:

  • удаление корней зубов, не подлежащих восстановлению штифтово-культевыми конструкциями;

  • лечение заболеваний твердых тканей зубов;

  • восстановление и замена некачественных пломб.

Пломбирование завершают тщательным шлифованием и полированием пломб финишными борами, полировочными дисками и полосками, карборундовыми, резиновыми и силиконовыми головками, резиновыми чашечками, щетками и полировочными пастами. Очаги деминерализации эмали в пришеечной области или ее незаконченное «созревание» требуют курсов реминерализующей терапии и глубокого фторирования зубов.

При необходимости проводится вестибулопластика, пластика аномальных уздечек языка и губ, ортодонтическое лечение, коррекция ортодонтических аппаратов и протезов, выравнивание окклюзионных контактов.

У большинства детей для ликвидации катарального воспаления десны достаточно качественной гигиены полости рта и устранения других местных факторов. При сохранении очагов гиперемии используют противовоспалительные препараты: 5% фенилбутазоновая мазь, 5% индометациновая мазь, 3% мазь ацетилсалициловой кислоты, холина салицилат (холисал ) и мундизал гель (который содержит холина салицилат и цеталкония хлорид) в виде аппликации на десну на 10-15 мин или лечебных десневых повязок. Можно применять также 5% гепариновую мазь, солкосерил , бензидамин (тантум ), который оказывает местное противовоспалительное и обезболивающее действие.

На период лечения целесообразно назначать витамины: аскорутин , декамевит , пангексавит , центрум или другие витаминные комплексы. Также необходимо назначать аскорбиновую кислоту, так как она способствует укреплению сосудистой стенки, снижает кровоточивость, регулирует окислительно-восстановительные процессы, участвует в синтезе коллагена и др. Растворимые таблетки аскорбиновой кислоты (упсавит витамин С ) назначают по 1 таблетке в день в течение 1 мес.

В пищевом рационе должны преобладать белки, витамины, минеральные вещества, твердая пища. Следует ограничить применение углеводов и жиров, мягкой и липкой пищи.

При необходимости применяют физиотерапию, массаж и гидромассаж, гирудо-терапию, коротковолновое ультрафиолетовое облучение, гелий-неоновый лазер, лекарственный электрофорез (5% аскорбиновая кислота, папаверин, 5% раствор аминокапроновой кислоты). Эти препараты воздействуют на обмен веществ, уменьшают фибринолитическую активность слюны. Папаверин оказывает дезагрегационное действие, способствует быстрому восстановлению структуры эпителиальных клеток.

Особое место среди физиотерапевтических методов лечения занимает пелоидотерапия. Пелоидиловая сульфидная грязь образуется на дне соленых водоемов (например, озеро Саки, Крым, Украина). Грязь обладает противовоспалительным, десенсибилизирующим, противомикробным, трофическим, бактерицидным, регенерирующим действием. Сульфидную иловую грязь наносят на десну аппликаци-онно или с помощью электрофореза (гальваногрязелечение). Пелоидотерапия при хроническом гингивите у детей - высокоэффективный, безопасный и недорогой метод лечения.

У пациентов с заболеваниями органов и систем одновременно с местными лечебными воздействиями проводится лечение у соответствующих специалистов.

Эффективность лечения хронического катарального гингивита оценивают с помощью клинических и дополнительных методов исследования. Определяют цвет, рельеф, плотность, степень кровоточивости десны, индексы (гигиенический по Федорову-Володкиной, Грин-Вермильону и ПМА). Курс лечения заканчивают при отсутствии жалоб, хорошем гигиеническом состоянии полости рта и улучшении клинических показателей. Для закрепления эффекта лечения рекомендуется ежедневно после гигиенических процедур проводить пальцевой массаж десен (скользящими движениями пальца в направлении от верхушек корней к десневому краю) 2 раза в день по 5 мин с обеих сторон альвеолярного отростка.

Лечение гипертрофического гингивита

Лечение гипертрофического гингивита зависит от этиологии, патогенеза, клинического течения, формы и стадии заболевания, степени гиперплазии соединительной ткани десны. У детей с общей патологией план лечения должен быть согласован с соответствующими специалистами: психоневрологом (возможность снижения дозировки или замены противосудорожных препаратов), эндокринологом (устранение нарушений гормонального баланса), трансплантологом (возможность уменьшения дозировки иммуннодепрессантов) и др. Наиболее сложно лечение детей с хроническим гипертрофическим гингивитом вследствие дисбаланса гормонов развивающейся половой системы. Такие дети требуют длительного комплексного лечения, диспансерного наблюдения.

При отечной форме гипертрофического гингивита первоначально нужно устранить все причинные факторы. Для этого проводят:

  • обучение правильной гигиене полости рта;

  • профессиональную чистку зубов;

  • санацию полости рта;

  • коррекцию аномалий мягких тканей, окклюзионных взаимоотношений и т.д.

Затем проводится противовоспалительная терапия. Для уменьшения отека и кровоточивости гипертрофированной десны назначают полоскания и аппликации противовоспалительных препаратов после чистки зубов в течение 2-4 нед.

  • 1% спиртовой раствор экстракта травы зверобоя продырявленного (новоима-нин ) перед применением разводится дистиллированной водой в 10 раз и используется в виде аппликаций в течение 15-20 мин 1-2 раза в день.

  • Отвар цветков календулы и ромашки для полосканий полости рта 2-3 раза в день.

  • Отвар коры дуба, цветов арники, корневища лапчатки, травы зверобоя, корневища и корня кровохлебки, плодов черемухи, листа крапивы, травы тысячелистника для полоскания полости рта 2-3 раза в день. Эти растительные средства содержат дубильные вещества и обладают вяжущим действием. Дубильные вещества (танин и др.) образуют нерастворимые соединения с белками (альбуминаты), формируя на поверхности слизистой нерастворимую пленку, которая защищает нервные окончания от раздражения продуктами распада и уменьшает боль. Кроме этого, они сужают расширенные сосуды, уплотняют их стенку и уменьшают проницаемость.

  • Метрогил дента вносится в зубодесневую борозду, наносится на область десен и в межзубные промежутки на 30 мин 2 раза в день в течение 10 дней.

  • 5% фенилбутазоновая мазь, 3% мазь ацетилсалициловой кислоты, индоме-тациновая мазь, холина салицилат (холисал гель), мундизал гель в виде аппликаций и втираний 2-3 раза в день.

Детям после процедур не рекомендуется полоскать рот и принимать пищу 30 мин.

После устранения воспалительного отека и кровоточивости десны назначают биогенные препараты, обладающие мягким склерозирующим и кератолитическим действием.

  • Бефунгин (экстракт из березового гриба чаги) перед применением разводится теплой кипяченой водой 1:1 и применяется в виде аппликаций 2-3 раза в день в течение 2-4 нед.

  • Мараславин (комплексный растительный препарат, содержащий винный уксус и экстракты понтийской полыни, цветков гвоздики, черного перца) в виде аппликаций на 15-20 мин ежедневно 10-20 дней.

Возможно использование физических факторов: лазеротерапия, электрофорез или фонофорез 5% йодида калия, 10% раствора кальция хлорида, раствора гиа-луронидазы ежедневно или через день 15-20 дней. При выраженном снижении стойкости капилляров назначают вакуум-массаж, а при отсутствии воспалительного процесса - дарсонвализацию (15-20 сеансов), однако эти процедуры болезненны и их применение у детей ограничено. Применяется гепарин натрия (анти-коагулирующее, противогипоксическое действие, улучшение микроциркуляции, нормализация кислородного баланса тканей) путем электрофореза, инъекций в переходную складку или втираний в десну (гепариновая мазь ) - 10-12 процедур.

При отсутствии эффекта от перечисленных мероприятий и при выраженной гипертрофии десны прибегают к склерозирующей терапии.

Для введения в десневые сосочки (процедуры болезненны, у детей применение ограничено) используют 50-65% растворы глюкозы , 30% водный раствор сали-цилата натрия, растворы гиалуронидазы с лидокаином, эмульсии гидрокортизона и др.; их применяют в виде инъекций, вводя от вершины к основанию десневого сосочка по 0,1-0,2 мл (до побледнения сосочка) 3-8 раз с перерывом 1-2 дня; одновременно склерозируют 3-4 сосочка. После 2-3 инъекций склерозирующей терапии заметно уплотнение сосочков и уменьшение их объема (рис. 31-20).

Детям с фиброзной формой гипертрофического гингивита не требуется противовоспалительная терапия, поэтому после достижения хорошего гигиенического состояния полости рта и устранения местных раздражающих факторов проводят склерозирующую терапию и физиотерапевтическое лечение.

pic 0221
Рис. 31-20. Ювенильный гипертрофический гингивит до (а) и после (б) лечения.

Если консервативная терапия неэффективна, проводят криодеструкцию, диатермокоагуляцию, лазерное испарение гипертрофированных участков десны. У детей в период незрелости гормональной половой сферы хирургические методы (гингивэктомия) не рекомендованы, так как они могут привести к деструкции пародонтальной связки, возникновению более глубоких поражений пародонта и рецидивов гипертрофии десен.

Лечение язвенного гингивита

Лечение язвенного гингивита требует неотложной антибактериальной терапии. Внутрь назначают метронидазол - препарат, обладающий противопротозойным действием и активный в отношении анаэробных бактерий. Детям старше 13 лет метронидазол назначают по 0,4-0,5 г 3 раза в день 7 дней, детям до 13 лет - по 7,5 мг на кг массы тела 3 раза в день. Современный препарат из группы нитроими-дазолов орнидазол лишен многих побочных действий метронидазола. Орнидазол назначают детям с массой больше 35 кг по 0,5 г 2 раза в день 5 дней, с массой меньше 35 кг - по 25 мг на 1 кг массы тела 1 раз в день. Также можно назначать нифурател (макмирор ), который оказывает противотрихомонадное действие и применяется по 0,2 г 3 раза в день после еды в течение 7-10 дней.

Обязательна десенсибилизирующая терапия: антигистаминные препараты (прометазин, лоратадин, эбастин, хлоропирамин, клемастин и др.) в возрастных дозировках. Например, лоратадин назначают взрослым и детям старше 12 лет по 10 мг (1 таблетка или 2 чайные ложки сиропа) 1 раз в сутки, детям до 12 лет - по 5 мг (1 /2 таблетки или 1 чайная ложка сиропа) 1 раз в сутки 5-7 дней.

Необходимо назначать поливитамины (ревит , пангексавит , центрум и др.) по 1-3 драже в день и аскорбиновую кислоту по 0,5 г 2-3 раза в день (также назначают аскорутин , настой шиповника и др.).

При затяжном течении язвенного гингивита применяют препараты, повышающие резистентность организма: эхинацеи пурпурной травы сок (иммунал ) по 20-30 капель 3 раза в день 2-3 нед; настойки женьшеня, лимонника китайского, элеутерококка, аралии, родиолы розовой, пантов благородного оленя экстракт (пантокрин ) и другие адаптогены по 10-40 капель, в зависимости от возраста, 3 раза в день 2-3 нед.

По показаниям назначают жаропонижающие средства (сироп парацетамола и др.), салицилаты. Рекомендуют обильное питье для дезинтоксикации. Диета должна быть полноценной по составу, не раздражающей, богатой витаминами. Надо исключить горячую пищу, кофе, алкоголь, курение и др. При тяжелом течении гингивита больной нуждается в освобождении от учебы или работы.

Местное лечение начинают с обезболивания (10% лидокаин, 20% бензокаин, калгель и др.). После этого слизистую оболочку орошают теплыми растворами антисептиков, осторожно удаляют некротический налет.

Применение протеолитических ферментов [трипсин, химотрипсин, трипсин+химотрипсин (химопсин ), террилитин , кокарбоксилаза] облегчает удаление некротизированных тканей, обеспечивает противоотечное и противовоспалительное действие. Содержимое флакона с ферментом непосредственно перед использованием растворяют в 10 мл дистиллированной воды и делают аппликации на область поражения на 15-20 мин. Можно использовать иммобилизированные ферменты (имо-зимаза ), которые обладают более длительным действием (2-3 ч), хорошо фиксируются на слизистой оболочке, оказывают местное иммуномодулирующее действие.

Затем в течение 15-20 мин проводят аппликации на десну антимикробных препаратов, воздействующих на анаэробную флору: суспензия метронидазола на хлоргексидине, тизоль с метронидазолом, гель метрогил дента , пленки Диплен-Дента с метронидазолом/хлоргексидином (фиксируются к влажной поверхности десны, где сохраняются несколько часов) и др.

Важно устранить местные раздражающие факторы: сошлифовать острые края зубов и корней, закрыть кариозные полости временными пломбами, временно отказаться от использования съемных ортодонтических аппаратов и протезов и т.д. Травматичные мероприятия (удаление зубов, снятие зубного камня и др.) лучше отложить до полной эпителизации эрозий и язвочек, иначе возможно утяжеление язвенно-некротического процесса, распространение его на соседние отделы полости рта и вглубь на костную ткань челюстей.

В домашних условиях нужно осторожно, но тщательно удалять налет и чистить зубы противовоспалительными антибактериальными зубными пастами. После гигиенических процедур полоскают рот теплыми противовоспалительными антисептическими растворами (1% раствор перекиси водорода , 0,05% раствор хлоргексидина и др.) по 2-3 мин 2-3 раза в день. Рекомендуют таблетки себидина (содержит хлоргексидин и аскорбиновую кислоту) для рассасывания в полости рта, ингаляции ингалипта (удерживать в полости рта 5-7 мин). Хорошие результаты дают аппликации, полоскания и таблетки с лизоцимом , например ларипронт по 1 таблетке каждые 2-3 ч для рассасывания в полости рта. Рекомендуются аппликации мазей, содержащих антибиотики, антисептики, ферменты и глюкокортикоиды в различных комбинациях (фастин 1 и др.). После местных процедур необходимо в течение 30 мин воздерживаться от приема пищи.

После стихания активного инфекционного процесса для более быстрой эпителизации эрозий и язв назначают аппликации кератопластиков по 15-20 мин 2-3 раза в день: сок алоэ и каланхоэ, масло шиповника и облепихи, солкосерил и актовегин , масляные растворы ретинола и витамина Е, бетакаротен каротолин , аекол , поливинокс (винилин , бальзам Шостаковского ), 10% метилурациловую мазь , линетол (льняного масла жирных кислот этиловых эфиров смесь), ливиан , винизоль и др. Применять эти препараты на ранних стадиях заболевания не рекомендуется, так как они могут создавать благоприятные условия для размножения анаэробной флоры, отягощая заболевание. Солкосерил дентальная адгезивная паста оказывает ранозаживляющее и обезболивающее действие, а также фиксируется на слизистой оболочке полости рта в течение 2-3 ч, что выгодно отличает ее от других форм лекарственных препаратов.

Лечение пародонтита

Лечение пародонтита сложное, особенно при быстропрогрессирующих агрессивных формах (ювенильный пародонтит), и требует комплексного подхода при выборе лечебных мероприятий в связи с наличием следующих факторов:

  • высокая степень деструкции альвеолярной кости;

  • подвижность и изменение положения зубов;

  • потеря отдельных зубов;

  • нарушение окклюзионных взаимоотношений;

  • дисфункция височно-нижнечелюстного сустава;

  • влияние различных внешних факторов;

  • наличие соматических заболеваний;

  • незавершенность роста и формирования ЗЧС и организма в целом.

Выбор методов и средств лечения зависит от клинического течения (обострение хронического, хронический, ремиссия и т.д.) и тяжести пародонтита (легкий, средней тяжести и тяжелый).

В отличие от гингивита, в комплексной терапии пародонтита средней и тяжелой степени возможно хирургическое вмешательство для устранения пародонтального кармана и стимуляции репаративного остеогенеза.

Лечение хронического пародонтита начинают с комплекса профессиональной гигиены полости рта:

  • назначение средств и предметов гигиены;

  • мотивация, обучение и контроль индивидуальной гигиены полости рта;

  • тщательное удаление зубных отложений;

  • выравнивание поверхности обнаженных корней зубов;

  • полирование;

  • ремотерапия.

Важно очищать язык и полоскать ротовую полость растворами антисептиков для уменьшения количества пародонтопатогенов на языке, в криптах миндалин и складках слизистой оболочки. К другим лечебным мероприятиям, в том числе к медикаментозной терапии, приступают только после усвоения больным навыков гигиены полости рта.

При остром или обострении хронического пародонтита и абсцедировании требуются неотложные лечебные меры (устранение травмирующих факторов, вскрытие абсцесса, антибиотикотерапия и др.), поэтому гигиене полости рта обучают после ликвидации острого воспаления.

Устранение местных факторов риска заболеваний пародонта (санация полости рта, пластика коротких уздечек губ, мелкого преддверия рта, лечение аномалий прикуса и т.д.), нормализация окклюзии, устранение травмирующих факторов и шинирование подвижных зубов помогают избежать травмы пародонта и ретенции микробного налета, нормализуют жевательную функцию, что важно для успешного лечения пародонтита любой этиологии.

Проводят местное медикаментозное противовоспалительное лечение. Для большинства пациентов достаточно НПВС (5% фенилбутазоновая мазь, 3% мазь ацетилсалициловой кислоты, индометациновая мазь, холина салицилат, гель); антисептиков (Perio-Chip - хлоргексидиновый чип на основе коллагена, пленки Диплен-Дента с хлоргексидином, сангвиритрин и др.); лекарственных средств на основе природных компонентов: пихтовой живицы, прополиса, мумие, лецитина , природных масел: шиповника, чайного дерева, амаранта; аскорбиновой кислоты и витамина Е. Лекарственные средства на основе природных компонентов обладают антисептическим, анаболическим, антиоксидантным действием и приятны на вкус, поэтому их можно применять у детей разного возраста. Препараты вводят в пародонтальные карманы на турундах, делают аппликации в виде геля или пасты - повязки. Например, сангвиритрин (0,2% водноспиртовой или 0,01-0,1% водный раствор) вводят на тонких турундах на 20 мин ежедневно или через день, 4-6 процедур на курс.

Обнаружение в поддесневой биопленке основных пародонтопатогенов (Actino-bacillus actinimycetemcomitans, Porphyromonas gingivalis, Prevotella intermedia) - показание для антибиотикотерапии. Перед лечением определяют чувствительность микрофлоры к антибиотикам. Выбор локального или системного применения антибиотиков зависит от конкретной клинической ситуации, удаленности места жительства пациента от стоматологической клиники, сопутствующих заболеваний, постоянного приема других лекарственных препаратов.

Местное примение антибиотиков обеспечивает их высокую концентрацию в очаге воспаления и уменьшает системные побочные эффекты, результат лечения меньше зависит от сотрудничества пациента. Однако при местном лечении трудно заполнить фуркации и узкие карманы, проникновение препаратов в соседние ткани ограничено. Антибиотикосодержащие лекарственные средства вводят в зубодесневые карманы после профессиональной гигиены полости рта.

  • Метронидазол - гель Elyzol, рекомендуется повторное применение через 7-10 дней; пленки Диплен-Дента М с метронидазолом.

  • Тетрациклин - нить Actisite (23 см × 0,5 мм), которой заполняют карман, закрывают цианакрилатом и удаляют через 10 дней, недостаток - нить трудно устанавливается в области боковых зубов.

  • Доксициклин - гель Атридокс, недостаток - полностью не рассасывается, остатки приходится удалять.

  • Комбинация препаратов, например доксициклин, метронидазол и кларитромицин в основе коллагенового геля Коллост.

При системном применении антибиотик приникает во все ткани организма, однако не достигается высокая концентрация в пародонтальном очаге, могут возникать системные побочные эффекты, результат лечения зависит от сотрудничества пациента. Применяют следующие препараты (дозы даны для подростков старше 14 лет):

  • тетрациклин - по 250 мг 4 раза в день 21 день;

  • метронидазол - по 400 мг 3 раза в день 8 дней;

  • ципрофлоксацин - по 500 мг 2 раза в день 10 дней;

  • клиндамицин - по 300 мг 4 раза в день 7 дней;

  • фторхинолоны (ципрофлоксацин и др.) назначают при устойчивости к другим антибиотикам.

Назначение антибиотиков - серьезное вмешательство в организм пациента и проводится с соблюдением основных правил применения этих препаратов под строгим контролем врача.

Пробиотики - бактериальные препараты из живых микробных культур для лечения дисбактериоза полости рта и ЖКТ. Благодаря антагонистической активности они подавляют рост патогенной микрофлоры пародонтальных карманов, оказывают антиаллергическое действие, повышают защитные силы организма и нормализуют функцию пищеварительной системы. К таким препаратам относятся линекс , биоспорин , лактобактерии ацидофильные (ацилакт ), бифидобактерии бифидум (бифидумбактерин ) и др. Например, биоспорин назначают по 2 дозы 3 раза в день 14 дней, линекс - по 1-2 капсулы 3 раза в день в течение 2 нед. Одновременно назначают пребиотик - субстрат для роста нормальной микрофлоры. Например, сироп «Лактусана» (содержит лактулозу) по 5 мл 2 раза в день во время еды в течение 7-14 дней.

При упорном гноетечении из пародонтальных карманов целесообразна сорбционная детоксикация с помощью энтеросорбентов (полиметилсилоксана полигидрат (энтеросгель ), повидон (энтеродез ), кремния диоксид коллоидный (поли-сорб ), лигнин гидролизный (полифепан ) и др.), которые обладают также антиаллергическим действием и улучшают показатели клеточного и гуморального иммунитета (повышают фагоцитоз нейтрофилов, активизируют Т-лимфоциты, уменьшают эозинофилию и уровень циркулирующих иммунных комплексов). Например, лигнин гидролизный назначают внутрь по 1 столовой ложке в 100 мл воды 3 раза в день 10-20 дней, а также вводят в виде суспензии в пародонтальный карман под повязку на 1-2 ч.

Для инактивации продуктов перекисного окисления липидов, разрушающих ткани пародонта, назначают антиоксиданты: кверцетин , метионин, витамин Е, аскорбиновую кислоту и др. Например, ретинол+витамин Е (аевит ) по 1-2 капсулы в день в течение месяца. Действие антиоксидантов усиливается при одновременном назначении адаптогенов - женьшеня, родиолы розовой, элеутерококка по 30-40 капель 3 раза в день в течение месяца, исключая прием на ночь. Можно применять цветки липы, зеленый чай, аралии маньчжурской корни (сапарал ), пантов благородного оленя экстракт (пантокрин ) и др. Новый отечественный препарат мексидол (этилметилгидроксипиридина сукцинат) оказывает выраженное антиоксидантное действие и ингибирует процессы перекисного окисления, улучшает микроциркуляцию, нормализует клеточный метаболизм, стабилизирует мембраны клеток, обладает антигипоксической, психотропной, антистрессорной активностью.

Важная роль отводится иммуннокоррекции. Применяются эхинацеи пурпурной травы сок (иммунал ), ларипронт , бендазол, азоксимера бромид (полиоксидо-ний ), глюкозаминил мурамилдипептид (ликопид ). Хорошо зарекомендовал себя имудон (лизатов бактерий смесь), который действует на уровне полости рта, увеличивая выработку факторов местного иммунитета (лизоцим, sIgA и др.). Имудон назначают по 1 таблетке 6 раз в день 20 дней, таблетку полностью рассасывают в полости рта и воздерживаются от приема пищи 30-60 мин. Другие иммуномодуляторы назначает иммунолог после анализа иммунограммы (левамизол, пентоксил , альфа-глутамил-триптофан и др.).

Седативная терапия важна для нормализации психологического статуса пациента. Для больных пародонтитом характерны раздражительность, мнительность, повышенная реактивная тревожность и плохой сон. Эти симптомы - последствия нарушения внешнего вида (оголение корней, подвижность зубов) и десоциа-лизации молодых людей (гноетечение, неприятный запах изо рта и т.д.). Врач-стоматолог может назначить препараты растительной группы: настойка пиона, пустырника, валерианы по 20-30 капель 2-3 раза в день, Ново-Пассит по 1 чайной ложке 3 раза в день в течение месяца. Полезно использовать приемы психотерапии: внушать пациентам, что их заболевание поддается лечению, демонстрировать фотографии других больных до и после комплексной терапии и т.д. При необходимости возможно наблюдение и лечение у психотерапевта.

Комплексная остеотропная терапия проводится после оценки поступления и усвоения кальция организмом ребенка. В рацион рекомендуют включать молочные продукты, твердые сорта сыра и другие продукты с повышенным содержанием кальция. Назначают препараты кальция (до 1000 мг ионизированного кальция в день в пубертатный период). Лактат кальция меньше раздражает слизистую оболочку желудка, карбонат кальция содержит больше свободного кальция. Например, препарат Кальций-Д3 Никомед (колекальциферол+кальция карбонат) назначают по 2 таблетки 1 раз в сутки, лучше вечером, в течение месяца, затем - по 1 таблетке 1 раз в сутки еще 2 мес. Рекомендуется проведение 2 раза в год поддерживающей терапии (по 2 таблетки 1 раз в сутки 10 дней, затем по 1 таблетке 1 раз в сутки 20 дней). Из других препаратов можно рекомендовать Кальций-Сандоз форте (кальция карбонат+кальция лактоглюконат) и др. Препараты для остеотропной терапии, которые тормозят резорбцию кости и усиливают остео-генез, назначает эндокринолог или другой специалист по лечению остеопатий по результатам остеоденситометрии и других анализов. К таким препаратам можно отнести фториды (натрия фторид), гормоны (кальцитонин), антирезорбенты-бифосфонаты (этидроновая кислота, алендроновая кислота) и другие.

Все медикаменты назначают с учетом противопоказаний и побочных действий, избегая полипрагмазии.

При пародонтите средней и тяжелой степени (глубина пародонтального кармана более 4 мм), при нарастании деструкции пародонта показано хирургическое лечение (кюретаж, гингивэктомия, остеогингивопластика, лоскутные операции, мукогингивоостеопластика). Выбор способа хирургического лечения зависит от общего состояния больного и местного статуса, у детей предпочтительнее менее радикальные вмешательства (кюретаж). Операции проводят после медикаментозной терапии (чаще используют антисептические средства или антибиотики широкого спектра действия, например, хлоргексидин, метронидазол, сангвиритрин ) и устранения острого воспалительного процесса (нет выделения гноя из пародонтального кармана, язвенно-некротических изменений десны и др.). До и после операций для профилактики местных и системных осложнений (нагноение операционной раны, пневмония, бактериальный эндокардит и др.) на протяжении 10-14 дней обязательно применение антибиотиков.

Для закрепления результатов лечения назначают физиотерапевтические процедуры (орошение отварами лекарственных трав, коротковолновое ультрафиолетовое облучение, гелий-неоновый лазер, пелоидотерапия и др.). При стабилизации процесса воспаление пародонта не прогрессирует, уменьшаются и ликвидируются пародонтальные карманы, улучшается общее состояние больного, рентгенологическая картина стабилизируется или исчезают явления остеопороза.

Прогноз при генерализованном пародонтите индивидуальный и зависит от множества факторов:

  • уровень потери костной ткани;

  • обнажение фуркаций;

  • морфология костного дефекта;

  • степень подвижности зубов;

  • соотношение размеров коронки и корня;

  • окклюзия;

  • гигиена;

  • общее состояние здоровья и т.д.

Пациента обязательно ставят на диспансерный учет, регулярно наблюдают и проводят поддерживающую терапию.

В стадии ремиссии для профилактики обострения проводят реабилитационные меры, направленные на улучшение микроциркуляции и обменных процессов в пародонте. Для этого контролируют гигиену полости рта, назначают препараты, влияющие на сосуды пародонта (аскорбиновая кислота, никотиновая кислота, кокарбоксилаза, пиридоксин), средства, стимулирующие костеообразование [препараты кальция (КальцийМагний , Кальций-Д3 Никомед , Кальцинова и др.), тиреокальцитонин (кальцитрин) и др.], биогенные стимуляторы, витамины.

До и после курсов лечения при каждом диспансерном посещении повторно обследуют ткани пародонта для оценки результата лечения: улучшение, без изменений (стабилизация), ухудшение.

Следует учесть, что применение у детей некоторых манипуляций (введение в увеличенные сосочки 60% глюкозы , вакуум-терапия и дарсонвализация десны) ограничено из-за значительной болезненности.

Лечение пародонтолиза

Лечение пародонтолиза (идиопатические заболевания с прогрессирующим лизисом тканей пародонта) состоит из терапии основного заболевания, которую проводят врачи-специалисты (гематолог, эндокринолог и др.) и комплекса стандартного пародонтологического лечения (устранение местных повреждающих факторов, нормализация гигиены полости рта, симптоматическая терапия, включая протезирование после потери зубов). Физиотерапия при пародонтолизе не показана. Прогноз пародонтологического лечения зависит от успеха терапии основной патологии.

Нейтропению и агранулоцитоз у детей лечит гематолог. Стоматологическое лечение детей включает профессиональную гигиену полости рта, своевременное удаление подвижных зубов, протезирование. Важно обучить родителей уходу за зубами ребенка, рекомендовать ежедневное применение антибактериальных средств гигиены (зубные пасты, гели для десен, полоскания) и устранение жевательной нагрузки (полужидкая пища). В период обострения применяют антибиотики, обезболивание, кератопластические средства.

Синдром дефицита лейкоцитарной адгезии лечат иммунологи, гематологи. Пародонтологическое лечение проводится по стандартной схеме, особое внимание уделяют поддержанию идеального гигиенического состояния полости рта, постоянному применению антисептиков, антибактериальных, противогрибковых средств.

Детей с гистиоцитозом из клеток Лангерганса лечит гематолог, стоматологическое лечение эффективно только при успешной общей терапии. Помимо стандартного комплекса пародонтологических мероприятий, необходимо выскабливание грануляционной ткани в очагах поражения челюстей, которое при моносистемной форме гистиоцитоза из клеток Лангерганса может привести к стойкой ремиссии или полному излечению. Подвижные зубы удаляют, замещая дефекты съемными протезами.

Синдром Папийона-Лефевра лечит дерматолог совместно со стоматологом. Стандартное пародонтологическое лечение включает профессиональную гигиену полости рта, кюретаж пародонтальных карманов, антибиотикотерапию, удаление зубов с подвижностью III степени, протезирование (рис. 31-21).

pic 0222
Рис. 31-21. Синдром Папийона-Лефевра, пародонтолиз, через 3 года на этапе поддерживающей терапии (пациент П., 6 лет).

Эффективность терапии пародонтолиза у детей с синдромом Папийона-Лефевра низкая, но шансы сохранения постоянных зубов повышаются, если пародонтологическое лечение начинается в раннем возрасте.

Специфического лечения акаталазии и гипофосфатазии нет, симптоматическое лечение малоэффективно. После потери зубов необходимо протезирование.

Гипофосфатемию лечит эндокринолог, пародонтологическое лечение стандартное, после потери зубов - протезирование.

Сахарный диабет лечит эндокринолог. Поскольку излечение от диабета невозможно, цель стоматолога - уменьшение вредного влияния этиологических факторов и воздействие на отдельные патогенетические звенья заболевания (повышение резистентности организма, устранение воспаления). Регулярные курсы поддерживающей пародонтологической терапии стабилизируют состояние пародонта при условии успешной общей терапии. При декомпенсированной форме диабета у ребенка пародонтологическое лечение малоэффективно.

В лечении цинги главное - витаминотерапия и своевременное устранение дефицита аскорбиновой кислоты в пищевом рационе детей. На ранних стадиях заболевание полностью излечимо, на более поздних стадиях, когда уже произошла потеря зубов, требуется протезирование.

Лечение тромбоцитопении, синдрома Элерса-Данло, гемофилии, наследственной геморрагической телеангиэктазии, лейкемии - удел гематологов (онкогематологов), стоматологическое лечение симптоматическое.

Для лечения кровоточивости десны при дефиците витамина К или приеме лекарственных веществ достаточно устранить этиологический фактор и провести симптоматическую терапию.

Пародонтологическое лечение при синдроме Дауна стандартное, но требует участия родителей или опекунов, которые обеспечивают тщательную гигиену полости рта детей и выполнение рекомендаций стоматолога.

Лечение пародонтом

Лечение пародонтом хирургическое: иссечение измененных тканей с последующим гистологическим исследованием.

Прогноз лечения фибром и липом благоприятный: фиброма иссекается в пределах здоровых тканей, липома вылущивается вместе с капсулой. При лечении фиброматоза десны прогноз неблагоприятный, возможны рецидивы и малигнизация.

При хирургическом лечении эпулис иссекают у основания на альвеолярном отростке с последующей диатермокоагуляцией или криодеструкцией ростковой зоны в периодонте. При периферической остеобластокластоме резецируют альвеолярный отросток вместе с зубами, находящимися в зоне опухоли. При неполном удалении возможны рецидивы эпулиса.

СПИСОК ЛИТЕРАТУРЫ

Болезни пародонта. Лечение. Преподавание раздела в системе модулей: учебное пособие / под ред. О.О. Янушевича. - М.: Практическая медицина, 2014. - 180 с.

Быков В.Л. Гистология и эмбриональное развитие органов полости рта человека: учебное пособие. - М.: ГЭОТАР-Медиа, 2014. - 624 с.

Велбери Р.Р., Даггал М.С., Хози М.-Т. Детская стоматология: руководство / пер. с англ. под ред. Л.П. Кисельниковой. - М.: ГЭОТАР-Медиа, 2013. - С. 247-270.

Грудянов А.И. Средства и методы профилактики воспалительных заболеваний пародонта. - М.: МИА, 2012. - 96 с.

Грудянов А.И., Фоменко Е.В. Методы консервативного лечения воспалительных заболеваний пародонта. - М.: МИА, 2013. - 96 с.

Загорский В.А. Ортопедическое лечение заболеваний пародонта. М.: БИНОМ, 2015. 280 с.

Пародонтология: национальное руководство / под ред. Л.А. Дмитриевой. - М.: ГЭОТАР-Медиа, 2013. - 712 с.

Стоматология детского возраста: учебник: в 3 ч. 2-е изд., перераб. и доп. / В.М. Елизарова [и др.]. - М.: ГЭОТАР-Медиа, 2016. - Ч. 1. Терапия. - С. 337-373.

Хамитова Н.Х., Мамаева Е.В. Клиника, диагностика и лечение заболеваний пародонта в детском возрасте. - Казань: Медлитература, 2009. - 192 с.

Clerehugh V., Kindelan S. Guidelines for periodontal screening and management of children and adolescents under 18 years of age. - British society of Periodontology and British society of Paediatric dentistry, 2012.

McDonald R.E., Avery D.R., Dean J.A. Dentistry for Child and Adolescent. 8th ed. - Missouri: Mosby, 2004. - Ch. 20. Gingivitis and Periodontal Diseases. - P. 413-452.

Newman M.G, Takei H.H., Carranza F.A. Carranza’s Clinical Periodontology. 11th ed. - India: Saunders, 2011. - Ch. 11. Gingival Diseases in Childhood. - P. 104-110.


1. УЕТ - условная единица трудоемкости.
2. Метаанализ - статистический метод, позволяющий объединять данные двух и более исследований и определять усредненные результаты эффективности вмешательств, степени взаимосвязи факторов риска и заболеваний, точности диагностических тестов.
3. Диагноз «профессиональная эрозия зубов» может быть поставлен, если выявлена профессиональная деятельность, способствующая постоянному воздействию кислот на зубы (например, дегустаторы вин, работники кислотных производств, спортсмены, занимающиеся водными видами спорта, и др.). В детском возрасте такой диагноз возможен в случаях выявления эрозии зубов у детей, занимающихся водными видами спорта.
4. Тантум® Верде (Азиенде Кимике Риуните Анжелини Франческо А.К.Р.А.Ф. С.п.А., Италия) - таблетки для рассасывания, раствор для местного применения, спрей для местного применения дозированный.